반갑습니다. 디데이치과 김무진 대표원장입니다.
늘 드리는 말씀이라 지겨우실 수도 있지만 다시 한번 더 강조합니다.
‘환자분께 지금 꼭 필요한 치료만, 아프지 않도록, 합리적인 비용으로’ 해드리고자 노력하는
현직 치과의사이자 강남구 역삼동 선릉역에 위치한 디데이치과의 대표원장입니다 ^^

지금 이 글을 보고 계시다면 앞니브릿지가 오래되거나 안쪽에 충치가 생겨 변색되는 등
다양한 사유로 앞니브릿지교체가 필요해 관련 정보를 검색하고 계실 것 같습니다.
아시다시피 브릿지는 여러 개의 크라운을 다리처럼 엮어서 만든 보철물이기 때문에
한 치아에 문제가 생겨도 브릿지를 전부 교체해야 하는지라…
이번 기회에 각자 따로 떨어진 싱글 크라운으로 교체하고자 하는 분도 계실텐데요.
오늘은 앞니브릿지교체를 크라운으로 하신 분의 치료 사례를 보여드리면서 설명드리겠습니다.
브릿지란 무엇인가요?
아마 이 글을 보고 계시다면 브릿지가 무엇인지 잘 아실거라 생각하지만, 한번 더 말씀드리겠습니다 ^^

브릿지 모형
치아를 전체적으로 둘러싸 왕관처럼 씌워주는 형태의 보철물을 크라운이라고 하는데요.
이러한 크라운이 최소 2개 이상 연결된 형태의 보철물이 바로 브릿지입니다.
보통 브릿지는 치아와 치아 사이를 연결할 때 많이 쓰이는데요.
하나의 치아를 상실한 경우 양 옆에 인접해있는 치아를 다듬어 크라운을 만들어주면서
상실한 치아 대신 중간에 가짜 치아 역할을 해주는 크라운을 연결해주는 것입니다.

요즘은 치아를 하나만 상실한 경우 임플란트를 더 선호하지만,
상실한 치아가 위치해있던 공간이 너무 좁거나 임플란트를 식립하기에는 잇몸뼈가 너무 약하거나 부족한 경우
또는 임플란트 식립까지 최소 3개월은 잡아야 하는데 치료에 할애할 시간이 많이 없는 경우에는 브릿지도 널리 쓰입니다.
앞니브릿지교체 시 싱글 크라운으로도 가능한가요?
브릿지를 싱글 크라운으로 교체할 수도 있습니다.
다만 환자분의 현재 치아, 잇몸 상태에 따라 가능 여부는 달라질 수 있으므로 반드시 치과에 내원하셔서 먼저 검진해보셔야 합니다.
오늘 보여드릴 환자분의 사례도 이런 케이스였는데요.

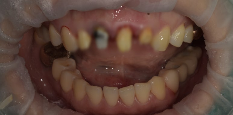
앞니브릿지교체 치료 전
2023-04-10
오래 전 앞니 4개를 브릿지로 치료하셨는데,
보철물이 오래되기도 했고 기존에 신경치료했던 치아가 변색되고 잇몸이 내려앉으면서
보철물의 경계 부분이 노출되어 보기도 좋지 않은 상태라 교체가 필요했습니다.
이런 경우 하나의 치아만 문제가 생겼다고 하더라도 브릿지는 하나의 세트여서 전체 다 교체를 해주어야 하기 때문에
환자분께서 나중을 생각해서라도 싱글 크라운으로 제작을 원하셨습니다.
이 경우 기존 브릿지를 제거하고 남아있는 자연치아의 상태를 확인해봐야 크라운으로 교체할 수 있는지 확인이 가능한데요.
기존 브릿지를 제거한 사진을 보여드릴텐데 사람에 따라 다소 무섭게 느끼실 수 있어서 살짝 흐리게 처리한 점 양해 부탁드립니다.

앞니브릿지교체 치료 전.보철물 제거 후
2023-04-10
이번 환자분은 기존에 신경치료했었던 #11 치아는 코어 작업을 통해 좀 더 보강해주면
다른 치아들은 큰 문제 없이 각자 크라운으로 치료가 가능할 것으로 판단되어
앞니브릿지교체를 크라운으로 진행해드렸습니다.

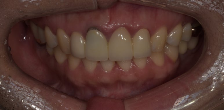
앞니브릿지교체
2023-05-15
치아와 잇몸의 변색이 있던 부분도 말끔하게 사라졌고, 다른 치아 역시도 자연스럽게 완성된 모습을 확인하실 수 있습니다.


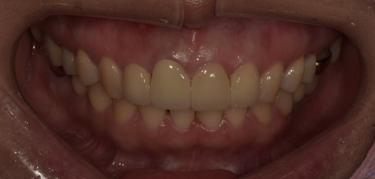
앞니브릿지교체 전후사진 비교
(전) 2023-04-10 (후) 2023-05-15
전에는 치아 사이즈가 다소 길었는데, 이번에는 약간 짧게 제작해 더 영해보일 수 있도록 했습니다.
앞으로 향후 10년 이상 문제없이 쓰실 수 있도록 스케일링과 잇몸치료도 꾸준히 받으시면서 잘 관리하실 것을 당부드렸습니다.
오늘 브릿지 교체에 대해 전해드렸는데요. 아마 지금 보고계신 분들 중에는 이런 궁금증이 생긴 분들도 계실 것 같습니다.
“오래된 보철물은 꼭 교체를 해야하나요? 몇 년 정도 쓰면 교체해야 하나요?”
보통 5~8년 정도 수명이라고 말씀드립니다만 환자분께서 관리 잘 해서 사용해주시면 훨씬 더 오래 사용도 가능합니다.
오늘 소개해드린 환자분처럼 치아나 잇몸쪽이 변색되었다거나 안쪽에 충치가 생겨 통증이 있다거나 하는 문제가 없다면
정기적으로 검진해주시고 잇몸과 치아 건강 관리 잘 해주시면서 사용해주시면 됩니다.
다만 문제가 생겼다고 느껴질 경우에는 하루빨리 내원해주셔서 후속 치료를 받아주시는 것이 좋고
증상이 없다고 하더라도 6개월~1년에 한번 정도는 꾸준히 검진해주실 것을 권유드립니다.
그럼 지금까지 디데이치과 김무진 대표원장이었습니다. 감사합니다!
| 빠르고 간편한 예약을 원한다면디데이치과 네이버 예약 ✔ |
| 서울 디데이치과 진료 문의 |
|---|
| 진료 문의 : 02-568-2877 (바로가기)네이버 톡톡 문의 (바로 가기) |
▲ 모바일에서 전화번호를 누르시면 병원으로 연결됩니다 ▲

| 본 게시물은 의료광고법 제56조 1항을 준수하여, 의료 정보 제공 및 병원 홍보를 목적으로 디데이치과의원에서 직접 작성하였습니다.다만, 블로그에서 제공해 드리는 정보는 참조용으로만 활용하시고, 정확한 개인의 증상 파악은 의료기관에 직접 내방하시어 의료진을 통해 확인하실 것을 권유 드립니다.치과에서 진행되는 모든 시술 및 수술은 개인에 따라 부작용 (염증, 출혈, 부기, 신경 손상 등) 가능성이 있습니다. 따라서 사전에 의료진과 충분한 상담을 통해 결정하시길 바랍니다.게시물의 치료 사진은 실제 본원에서 모든 치료 과정을 마친 환자분의 동의하에 촬영되었습니다. 전후 사진은 동일인이며, 동일 조건하에 촬영되었음을 밝힙니다. |