반갑습니다. 디데이치과 김무진 대표원장입니다.
여러분은 언제 가족 생각이 가장 많이 나시나요?
저같은 경우는 좋은 곳에 가거나, 맛있는 음식을 먹었을 때와 같이
좋은 경험을 했을 때 가족들에게도 소개해주고싶고, 함께 나누고 싶은 생각이 들더라구요.

아마 나의 긍정적인 경험을 사랑하는 사람들과 공유하고 싶고 함께 누리고 싶어서일 것 같습니다.
저희 디데이치과 환자분들 중에는 이처럼 치료를 받고 만족하셔서 가족분들과 함께 내원해주시는 분들이 많으신데요.
내 가족에게도 추천할 수 있을만큼 만족스러운 경험을 하신 결과라 생각하니 뿌듯하고 감사한 마음입니다 ^^
원장님, 제가 디데이치과에서 치료받고
너무 만족스러워서 저희 남편에게도 소개했어요.
저희 남편도 치료할 치아가 많은데,
디데이치과라면 믿고 맡길 수 있을 것 같아
임플란트브릿지 치료 부탁드립니다.

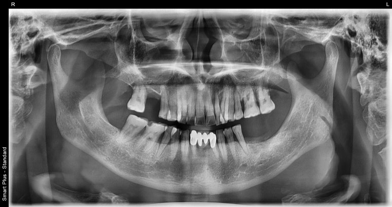
임플란트브릿지 치료전
2023-03-24
기존 환자분의 당부의 말씀과 함께 내원해주신 환자분은 보시는 바와 같이
왼쪽 아래 어금니 3개, 오른쪽 위 어금니 1개를 이미 상실하신 상태에서 내원해 주셨습니다.
기존 환자분의 기대에 부응하기 위해서라도 잘 치료해서
식사도 잘 하시고 불편함 없이 생활할 수 있도록 도와드리고자 하는 마음으로 치료에 임했습니다.

임플란트브릿지 치료전
2023-03-24
우선 우리 환자분 가장 시급한 치료는 왼쪽 아래 어금니 부분이었는데요.
아무래도 치아가 3개 결손되어있다보니 이대로 계속해서 방치할 경우
위아래 맞물리는 치아가 없어 상악 어금니가 점점 아래쪽으로 이동할 가능성이 있고,
그렇게 되면 치아 상태는 더 안좋아져 식사하는데 큰 불편함이 있을 수 있기 때문에 빠르게 임플란트로 치료 계획을 세웠습니다.

결손된 치아는 3개이지만, 임플란트는 양 옆 2개만 식립하고 중간은 파닉(폰틱, pontic)이라고 하는
가짜 치아로 연결해 브릿지 형태로 치료하는 것이 환자분의 고생을 덜 수 있고
치료 비용 또한 절감할 수 있는 방안이기에 임플란트브릿지로 치료하기로 했습니다.
아울러 왼쪽 아래부분 임플란트 식립하기에 잇몸뼈의 양이나 높이가 충분하지 않은 것으로 판단해
뼈이식도 함께 진행하고 3개월 후에 최종 보철물까지 올라가는 것으로 일정을 잡았습니다.

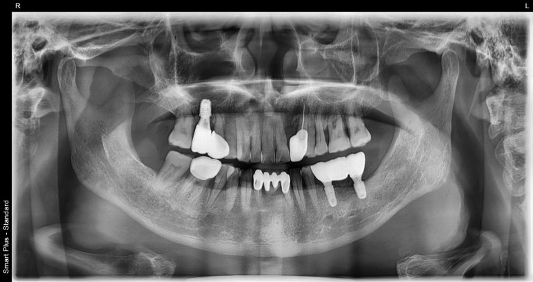
임플란트브릿지 치료후
2023-06-22
이처럼 여러 개의 치아가 결손되어 임플란트를 식립해야 할 때 치아 개수대로 임플란트를 식립할 수도 있지만,
지금 환자분 케이스처럼 중간에는 브릿지처럼 파닉으로 연결하는 케이스도 있습니다.
임플란트브릿지는 결손된 치아 개수대로 임플란트를 식립하지 않아도 되기 때문에
환자분의 체력적, 경제적인 부담을 덜 수 있어 가능한 경우 널리 활용되는 치료 방법입니다.
다행히 환자분의 경우 3월 말 임플란트 수술 후 약 2개월 후에 진행된 수치 측정
(임플란트 인공치근이 잇몸뼈와 잘 유착되었는지를 확인하기 위한 측정 단계) 결과가 양호해
2주일 후 치아역할을 하는 브릿지까지 완전히 접착해 드렸습니다.

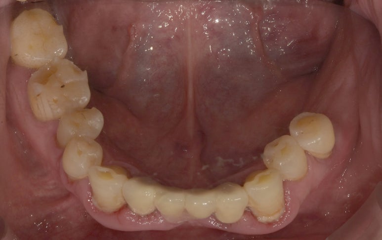
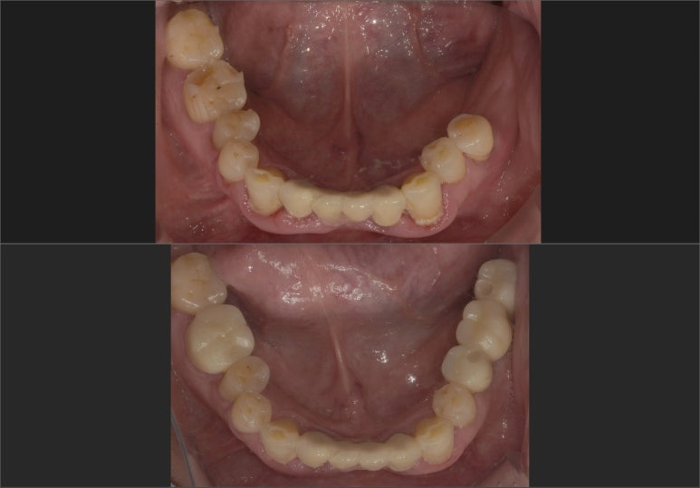
임플란트브릿지 치료전후
(위) 치료전 2023-03-24
(아래) 치료후 2023-06-29
수술 전후 모습을 한번 비교해볼까요?
상실되었던 치아가 임플란트 식립으로 빼곡하게 채워진 모습을 보실 수 있습니다.
원장님 그동안 왼쪽 어금니가 없어서
오른쪽 위주로 식사하느라 밥먹을 때마다 너무 불편했는데
디데이치과에서 임플란트브릿지 치료한 후
식사도 잘하고 사람들 만날 때도 자신감이 생겼습니다.
치료결과가 너무 만족스러워 디데이치과 홍보대사가 됐다니까요 ^^
이렇게 환하게 웃으면서 말씀해주시던 환자분 모습을 보고 치과의사가 되기를 잘했다 다시 한번 생각했습니다.
또 추천해주신 아내분께 폐를 끼쳐드리지 않았다는 점 또한 다행스럽고 뿌듯한 점이기도 하고요 ^^
아무리 내가 만족했다 하더라도 이를 다른 사람에게 추천하기란 쉬운 일이 아닌데요.
나는 만족했을 수도 있지만 다른 사람은 불만족하는 경우도 있고,
또 괜히 추천했다가 그 사람이 불만족하면 관계가 껄끄러워지는 경우도 있기 때문입니다.
그럼에도 불구하고 저희 디데이치과를 소개해주시고 또 만족스럽게 치료받으셔서
추천해주신 분과 받으신 분 모두에게 칭찬을 받으니 보람이 2배 이상으로 커진 기분입니다 ^^
이처럼 저희 디데이치과는 온 가족의 치아 주치의가 되는 것을 목표로
저와 오태훈 원장님은 물론, 전 의료진이 전문성과 그에 맞는 커뮤니케이션 능력을 갖추기 위해
항상 노력하고 발전하는 모습 보여드리겠습니다.
지금까지 긴 글 읽어주셔서 감사합니다. 디데이치과 김무진 대표원장이었습니다!
< 임플란트 종류에 대해 더 궁금하다면? >
< 브릿지와 임플란트의 차이? >
| 꼭 필요한 치료만 정직하게 권하는 곳디데이치과 네이버 예약 ✔ |
| 서울 디데이치과 진료 문의 |
|---|
| 대표전화 : 02-568-2877 (바로가기)네이버 톡톡 문의 (바로 가기) |

| 본 게시물은 의료광고법 제56조 1항을 준수하여, 의료 정보 제공 및 병원 홍보를 목적으로 디데이치과의원에서 직접 작성하였습니다.다만, 블로그에서 제공해 드리는 정보는 참조용으로만 활용하시고, 정확한 개인의 증상 파악은 의료기관에 직접 내방하시어 의료진을 통해 확인하실 것을 권유 드립니다.치과에서 진행되는 모든 시술 및 수술(임플란트 포함)은 개인에 따라 부작용 (염증, 출혈, 부기, 신경 손상 등) 가능성이 있습니다. 따라서 사전에 의료진과 충분한 상담을 통해 결정하시길 바랍니다.게시물의 치료 사진은 실제 본원에서 모든 치료 과정을 마친 환자분의 동의하에 촬영되었습니다. 전후 사진은 동일인이며, 동일 조건하에 촬영되었음을 밝힙니다. |