반갑습니다. 디데이치과 오태훈 대표원장입니다.
저희 디데이치과에서 진행한 치아미백 케이스가 벌써 800건을 넘어서면서
치아미백에 대한 관심이 이렇게 뜨겁구나 실감하는 요즘인데요.

디데이치과에서 진행한 치아미백 케이스
지금은 훨씬 더 많아졌네요 ^^
‘치아미백 맛집’으로 소문나고 있는(!) 디데이치과의 대표원장으로서
치아미백만으로 연예인처럼 새하얀 치아를 만들 수 있는지에 대해 알려드리고자 오늘 이렇게 글을 씁니다.
뜨거운 관심에 보답하기 위해 치아미백에 대한 정보, 시원하게 풀어드리겠습니다 ^^
“도대체 저 사람은 뭘 했길래 저렇게 치아가 새하얗지?
치과에서 치아미백을 여러번 한건가?”
TV에 나오는 여러 연예인들을 보면서 이런 생각 한번쯤은 해보셨을겁니다.
환하게 빛나는 연예인치아를 보며 내 누런 치아를 원망해 본적도 있으실 텐데요.
그래서 치과에서 전문적으로 하는 치과치아미백, 전문가미백을 알아보는 분들도 계실겁니다.

치아미백 진행 중인 환자의 모습
미백효과가 있다는 치약을 사용해보거나 시판되는 치아미백제를 사용해 보신 분들도 계시겠죠.
하지만 이렇게 미백 치약이나 자가 미백제를 사용해보신 분들은 금방 깨달으셨을 거예요.
생각보다 꾸준히 하기도 힘들고, 효과를 크게 보기 어렵다는 것을요.
결론부터 말씀드리면 치과치아미백을 여러 번 한다고 해도 연예인들처럼 새하얀 치아를 만들 수는 없습니다.
자연치아가 치아미백으로 인해 밝아질 수 있는 정도에는 한계가 있기 때문입니다.

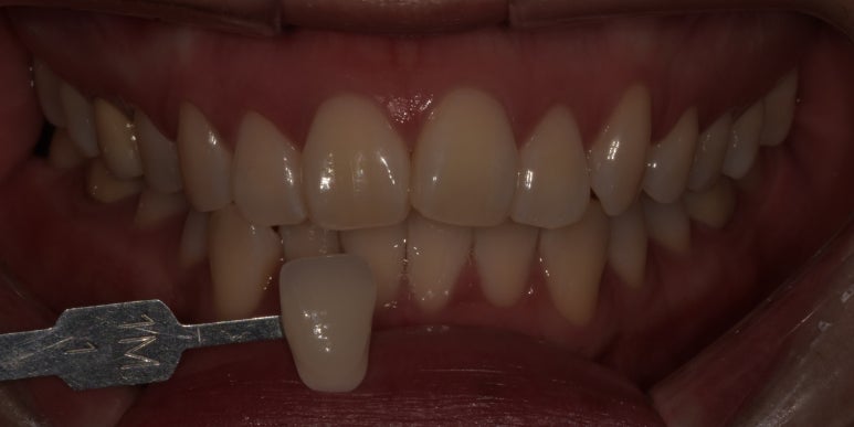
지금 보여드린 사진은 ‘쉐이드 가이드’라는 것인데요.
치아미백을 하거나 크라운, 라미네이트같은 보철물을 만들 때 참고로 하는 색상 가이드라고 보시면 됩니다.
보통 한국인들에게 가장 흔한 색상은 왼쪽에 있는 1~2단계에서 3단계 초반까지인데요.
치과에서 전문적인 치아미백을 진행한다고 하더라도 보통은 1단계 정도까지 밝아지는 경우가 대부분입니다.


치아미백 전후사진
2단계 3번째에서 1단계 1번째 색상으로 밝아진 모습
2023-05-25
만약 이 이상 더 밝은 치아를 원하신다면 라미네이트 또는 크라운과 같은 보철치료가 필요합니다.
또한 치과에서 진행하는 치아미백은 미백제를 치아에 골고루 바르고 광선을 조사하는 방식인데요.
미백제가 치아의 착색물질을 표백시켜서 치아를 하얗게 만드는 원리입니다.
그런데 이 과정에서 미백제가 고르게 작용하지 않을 수 있어
전체 치아가 균일하게 밝아지는 것은 현재로서는 어렵다고 말씀드립니다.
즉, 보이는 모든 치아가 톤이 균일하고 일정하게, 새하얗게 보이도록 만들기 위해서는
치아미백을 여러번 해서는 불가능하고 라미네이트나 크라운같은 보철치료를 해야 하는 것입니다.

치아미백을 통해 연예인 같이 새하얀 치아가 되는 것을 기대했다가 미백 진행 후 실망하는 케이스도 더러 있는데요.
연예인들 대부분이 아마 이런 보철치료를 통해 하얗고 깨끗한 치아를 만들었을 가능성이 높습니다.
하지만 이런 보철치료는 단순 치아 색상에 대한 불만족으로 인해 진행하기는 아까울 수 있는데요.
라미네이트와 크라운 모두 자연치아를 삭제해야 하기 때문입니다.
라미네이트는 무삭제 혹은 최소삭제로도 가능한 케이스가 존재하지만 크라운은 치아삭제 없이는 불가능합니다.
자연치아는 한번 삭제가 되면 회복이나 재생이 되지 않기 때문에 색상에 대한 불만족으로 인해 진행하기에는 아깝다고 표현하는 것입니다.

따라서 치아 삭제를 감내하더라도 원하는 새하얀 치아가 갖고 싶다면 보철치료를 고려해볼 수 있지만,
그렇지 않다면 현재로서는 치과치아미백을 꾸준히 해주시고 치아 착색을 유발하는 음식 섭취를 피하면서
미백 후의 색상이 유지될 수 있도록 관리하는 방법이 최선이라고 말씀드리고 싶습니다.
오늘 글을 읽으시고 치아미백에 대해 더 궁금한 점이 있으시다면
치과치아미백 맛집인 저희 디데이치과로 문의해주세요! 언제든지 환영합니다 ^^
그럼 지금까지 디데이치과 오태훈 대표원장이었습니다. 글 읽어주셔서 감사합니다!
< 치과치아미백 내돈내산 후기가 궁금하다면? >
| 빠르고 간편한 예약을 원한다면디데이치과 네이버 예약 ✔ |
| 서울 디데이치과 진료 문의 |
|---|
| 진료 문의 : 02-568-2877 (바로가기)네이버 톡톡 문의 (바로 가기) |
▲ 모바일에서 전화번호를 누르시면 병원으로 연결됩니다 ▲

| 본 게시물은 의료광고법 제56조 1항을 준수하여, 의료 정보 제공 및 병원 홍보를 목적으로 디데이치과의원에서 직접 작성하였습니다.다만, 블로그에서 제공해 드리는 정보는 참조용으로만 활용하시고, 정확한 개인의 증상 파악은 의료기관에 직접 내방하시어 의료진을 통해 확인하실 것을 권유 드립니다.치과에서 진행되는 모든 시술 및 수술은 개인에 따라 부작용 (염증, 출혈, 부기, 신경 손상 등) 가능성이 있습니다. 따라서 사전에 의료진과 충분한 상담을 통해 결정하시길 바랍니다.게시물의 치료 사진은 실제 본원에서 모든 치료 과정을 마친 환자분의 동의하에 촬영되었습니다. 전후 사진은 동일인이며, 동일 조건하에 촬영되었음을 밝힙니다. |