반갑습니다. 디데이치과 오태훈 대표원장입니다.
치과에는 유독 주말이나 휴일 다음 날에 많은 환자분들이 방문해주시는데요.
월요일인 오늘도 주말동안 아픔을 참다가 월요일이 되자마자 전화문의 해주시는 분들,
또 직접 내원해 치료받으시는 분들로 북새통을 이뤄 정신없이 진료하다보니 벌써 시간이 이렇게 되었네요 ^^

모두 무탈한 월요일 보내셨기를 바라며 오늘의 주제인 라미네이트치아삭제에 대해 말씀드려 보겠습니다.
라미네이트 치료를 원하셔서 문의를 주시는 분들 십중팔구는 이 질문을 꼭 하십니다.
“라미네이트 하고싶은데 치아삭제량이 얼마나 되나요? 무삭제도 가능한가요?” 인데요.
매스컴을 통해 라미네이트 시 치아를 너무 많이 삭제해 앙상하게 소량만 남아있는 모습이 많이 노출되기도 했을뿐더러,
라미네이트가 자연치아를 다소 갈아내고 얇은 세라믹으로 만든 판을 부착하는 치료이기 때문에
치아삭제에 대한 두려움과 함께 조금이라도 삭제량이 적었으면 하는 마음이 드시는 것 같습니다.

자연치아는 삭제하면 다시 재생되거나 복원되지 않기 때문에 치료에 신중을 기해야 하는 것은 맞지만
오히려 삭제량에 대한 큰 두려움으로 인해 정말로 집중해야할 부분에 대한 고려는 비교적 덜 이루어지고 있는 것 같은데요.
사실 라미네이트 치료에 있어 치아를 얼마나 삭제하느냐보다는
내가 원하는 모양과 색상을 만들기 위해 적절한 양을 삭제하느냐가 더 중요하다 생각합니다.
삭제량을 줄이는데만 집중한다면 내가 원하는 모양이나 색상을 만드는데 한계가 있기 때문인데요.

예를 들어 치아를 최대한 적게 삭제하기를 원하신다면 라미네이트의 두께가 그만큼 얇아질 수밖에 없기 때문에
라미네이트가 금방 파절되거나 유지력이 약해질 수 있습니다.
또한 치아 색상을 내는 재료의 양이 적어져 원하는 색상을 만들지 못할 가능성도 있죠.
만약 이를 피하고자 라미네이트의 두께를 보다 두껍게 한다면 치아가 앞으로 튀어나와 보이거나 뻐드러져 보일 수 있습니다.
즉, 무삭제나 최소삭제만이 정답이 아니라
내가 원하는 모양과 색상을 구현할 수 있는 최적의 삭제량이 동반되면 만족도가 극대화 될 수 있습니다.
최근 저희 디데이치과에서 라미네이트 치료받으신 한 환자분의 케이스를 보면서 말씀드리면 더욱 이해가 편하실 것 같은데요.

2023-07-04
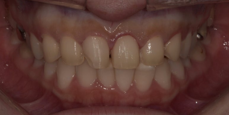
이 환자분은 치아 배열이 고르지 못하고, #11 치아가 비틀어져 있어 이를 개선하기 위한 목적으로 라미네이트 치료를 원하셨습니다.
다른 치아와의 밸런스를 고려하고 #11 치아가 비틀어진 부분을 해소하기 위해서는
치아의 표면을 상당부분 삭제해 다른 치아와 맞추는 작업이 필수적으로 진행되어야 합니다.
만약 이 환자분께서 치아 삭제를 원하지 않으신다면 원하는 치아 모양을 만들기가 어렵겠죠.

2023-07-04
위 환자분의 라미네이트 치료 prep 과정입니다. 치아가 꽤 많이 삭제된 부분이 보이실텐데요.
이 정도의 삭제량이 있어야 환자분께서 원하시는대로 각 치아의 밸런스가 맞고, 배열이 고른 치아를 만들 수 있습니다.


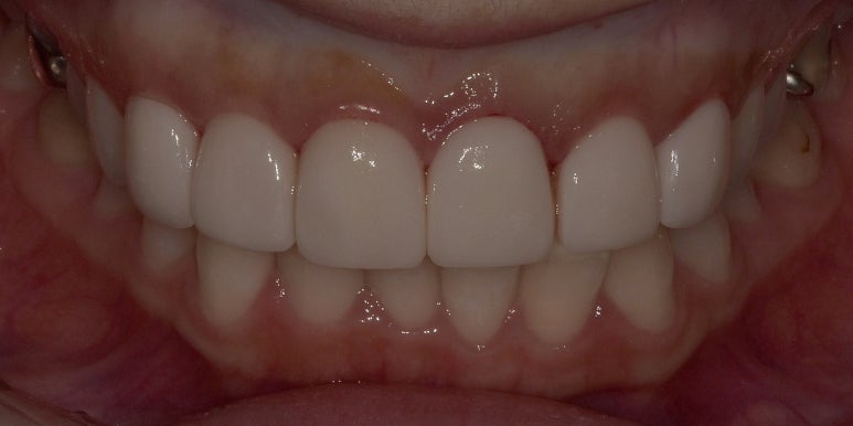
라미네이트 치료 전후
(전) 2023-07-04 (후) 2023-07-10
이 케이스의 경우 어느 정도의 치아 삭제가 있었지만 환자분께서 원하시는 치아 모양을 만들 수 있었습니다.
따라서 라미네이트 치료를 원하신다면 무조건 삭제량이 얼마나 되는지만 고려하지 마시고
나의 치아 상태에 따라 원하는 모양을 만들기에 적절한 치아 삭제량이 얼마나 되는지 확인한 후
치료 여부를 결정하셔도 늦지 않다고 말씀드리고 싶습니다.
물론 자연치아를 최대한 보존하는 것이 당연히 좋습니다.
저희 디데이치과가 지향하는 바 역시 가능한 한 최소한의 치아삭제로 환자분께서 원하는 바를 충족시켜드리는 것입니다.
따라서 만약 저희 디데이치과에서 라미네이트 치료를 하신다면
환자분께서 원하는 모양과 색상을 구현하기 위해 필요한 최소량의 치아삭제로 환자분의 걱정과 염려를 덜어드릴 것을 약속드립니다.
오늘도 글 읽어주셔서 감사드립니다.
지금까지 디데이치과 오태훈 대표원장이었습니다!
< 최소삭제라미네이트? 나도 할 수 있는지 궁금하다면 >
| 빠르고 간편한 예약을 원한다면디데이치과 네이버 예약 ✔ |
| 서울 디데이치과 진료 문의 |
|---|
| 진료 문의 : 02-568-2877 (바로가기)네이버 톡톡 문의 (바로 가기) |
▲ 모바일에서 전화번호를 누르시면 병원으로 연결됩니다 ▲

| 본 게시물은 의료광고법 제56조 1항을 준수하여, 의료 정보 제공 및 병원 홍보를 목적으로 디데이치과의원에서 직접 작성하였습니다.다만, 블로그에서 제공해 드리는 정보는 참조용으로만 활용하시고, 정확한 개인의 증상 파악은 의료기관에 직접 내방하시어 의료진을 통해 확인하실 것을 권유 드립니다.치과에서 진행되는 모든 시술 및 수술은 개인에 따라 부작용 (염증, 출혈, 부기, 신경 손상 등) 가능성이 있습니다. 따라서 사전에 의료진과 충분한 상담을 통해 결정하시길 바랍니다.게시물의 치료 사진은 실제 본원에서 모든 치료 과정을 마친 환자분의 동의하에 촬영되었습니다. 전후 사진은 동일인이며, 동일 조건하에 촬영되었음을 밝힙니다. |