반갑습니다. 디데이치과 김무진 대표원장입니다.
보기에 예뻐보이는 치아도 중요하지만 치아의 기능을 제대로 하는 것 또한 중요하다고 생각하기에
심미적인 부분과 기능적인 부분의 두 마리 토끼를 모두 잡는 치료를 해드리기 위해 노력하고 있는 현직 치과의사입니다.

가지런하고 하얀 치아는 사람의 인상을 밝고 환하게 만드는데 중요한 역할을 하죠.
반대로 얘기하면 치아의 모양이나 색상에 대한 심미적인 만족도가 떨어질 경우
환자분 스스로를 위축되게 하고 마음껏 환하게 웃지 못하게 하기도 합니다.
오늘 소개해드릴 환자분은 라미네이트와 크라운을 통해 치아의 모양은 물론, 배열까지 개선해 자신감을 회복하신 케이스인데요.
여러분께 치료 전후 모습을 보여드리면서 12전치 라미네이트, 크라운 케이스를 자세히 소개해드리도록 하겠습니다.
“치아가 예쁘지 않다고 생각해서
항상 웃을 때마다 입을 가리게 되고
괜히 의기소침해지는 것 같았어요.
치아 모양은 물론
아랫니 배열까지 모두 개선할 수 있을까요?”
첫 내원 시 환자분께서 하시던 말씀이 생각납니다.
전체적으로 고르지 않은 치아 모양과 배열때문에 스트레스를 많이 받으셨다고 말씀하시던 환자분 모습을 보니
어서 예쁘게 치료해드려서 당당하게, 자신있게 웃을 수 있도록 해드려야겠다는 생각이 커졌습니다.

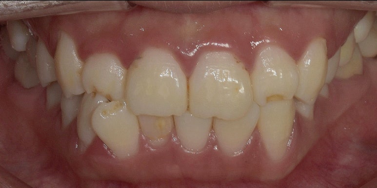
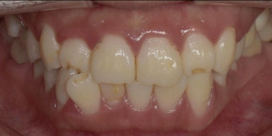
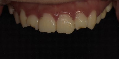
12전치 라미네이트 치료 전 최초 내원 시 모습
2023-06-23
물론 예쁘게 만들어드리는 것도 중요하지만 치아가 제 역할을 잘 할 수 있도록 하는 것은 필수겠죠 ^^
환자분께서는 우선 웃거나 말할 때 보이는 치아 대부분을 라미네이트로 치료하고 싶어하셨습니다.
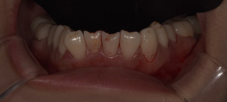
특히 오른쪽 아랫니(#42)는 치아가 기울면서 앞으로 튀어나와있어
이 치아를 다른 치아와 밸런스를 맞춰 배열을 고르게 만들고 싶어하셨는데요.

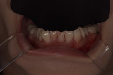
라미네이트, 올세라믹크라운 치료 전 하악 모습
2023-06-23
다른 치아는 모두 치아 앞 표면만 살짝 다듬어 라미네이트를 부착하는 방식으로 치료가 가능하지만,
#42 치아는 배열 개선을 위해 크라운 치료가 불가피해 해당 치아만 올세라믹크라운으로 치료 계획을 세웠습니다.
또한 해당 치아가 윗니와 닿지 않도록 교합을 정교하게 체크했고, 이갈이 장치도 함께 제작하기로 했습니다.
색상은 지금보다 다소 밝지만, 너무 부자연스럽게 밝아보이지 않도록 자연스러운 색상으로 결정하게 되었습니다.
잇몸이 다소 부어있어서 잇몸치료를 병행하시기로 하고,
라미네이트가 완료된 이후에도 꼭 꾸준히 잇몸치료 진행해주셔야 치아와 잇몸건강에 도움이 되고
라미네이트는 물론 치아도 오래오래 잘 사용하실 수 있다고 당부드렸습니다 ^^

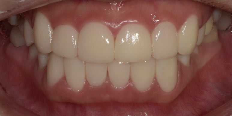
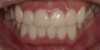
12전치 라미네이트, 크라운 치료 후
2023-07-05
1주일 후 최종적으로 보철물 제작이 완료되어 부착까지 진행해드렸는데요.
바뀐 모습 어떠신가요? 정말 몰라볼 정도로 확연하게 개선이 되었죠?


12전치 라미네이트, 크라운 치료 전후 비교
(전) 2023-06-23 (후) 2023-07-05
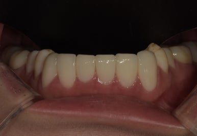
특히 오른쪽 아래 #42 치아는 기울어져 있던 치아가 반듯하게 개선되어 훨씬 고르게 변했고,
주변 치아와 조화가 잘 이루어지는 모습입니다.
치료가 모두 끝나고 거울을 보여드리니 환자분께서
“이제 마음 편하게 환히 웃을 수 있을 것 같아서 너무 좋네요..
라미네이트 고민 많이 했는데 진작 할 걸 그랬어요”
라고 말씀해주시니 저도 마음이 놓이면서 굉장히 뿌듯했던 기억이 납니다 ^^
저는 치과의사란 본질적으로 환자의 아픈 치아를 치료해주는 사람이기도 하지만,
심미적인 컴플렉스를 해소함으로써 자신감을 회복할 수 있도록 도와드릴 수 있는 사람이기도 하다고 생각합니다.
물론 보여지기에 예쁜 치아도 중요하지만 기능적인 측면도 놓치지 않아야겠죠.
라미네이트 치료 시 앞니로 음식을 베어먹거나 비닐 등을 무심코 앞니로 찢는 등의 행동은
지양하는 것이 좋기 때문에 일상생활에 있어 다소 불편한 부분은 있을 겁니다.




라미네이트 치료 전후 상악, 하악 모습
(치료 전) 2023-06-23
(치료 후) 2023-07-05
하지만 이런 점을 감수하더라도 보기 좋은 치아를 만들어 치아가 보일 때마다 스트레스 받지 않기를 원하신다면
라미네이트가 환자분을 위해 좋은 치료가 될 수 있다는 점 기억해주시기 바랍니다.
오랜 시간이 흐른 뒤에도 '디데이치과에서 치료하길 잘했어'라고 생각하실 수 있도록
언제나 환자분들께 이로운 진료만을, 꼼꼼하게 해드릴 것을 약속드리면서 이만 글 마치겠습니다.
그럼 지금까지 디데이치과 김무진 대표원장이었습니다. 글 읽어주셔서 감사합니다!
< 라미네이트? 올세라믹? 어떤 차이인지 궁금하다면 >
| 환자를 돌려보내는 치과가 있다?디데이치과 네이버 예약 ✔ |
| 서울 디데이치과 진료 문의 |
|---|
| 대표전화 : 02-568-2877 (바로가기)네이버 톡톡 문의 (바로 가기) |
▲ 모바일에서 전화 버튼을 누르시면 병원으로 연결됩니다 ▲

| 본 게시물은 의료광고법 제56조 1항을 준수하여, 의료 정보 제공 및 병원 홍보를 목적으로 디데이치과의원에서 직접 작성하였습니다.다만, 블로그에서 제공해 드리는 정보는 참조용으로만 활용하시고, 정확한 개인의 증상 파악은 의료기관에 직접 내방하시어 의료진을 통해 확인하실 것을 권유 드립니다.치과에서 진행되는 모든 시술 및 수술은 개인에 따라 부작용 (염증, 출혈, 부기, 신경 손상 등) 가능성이 있습니다. 따라서 사전에 의료진과 충분한 상담을 통해 결정하시길 바랍니다.게시물의 치료 사진은 실제 본원에서 모든 치료 과정을 마친 환자분의 동의하에 촬영되었습니다. 전후 사진은 동일인이며, 동일 조건하에 촬영되었음을 밝힙니다. |