안녕하세요! 저는 디데이치과에서 오태훈, 김무진 원장님과 함께 일하고 있는 직원입니다 ^^
이 블로그는 평소 저희 원장님들께서
치과 상식과 치료에 대한 내용을 전달하고 있는 디데이치과 공식 블로그이지만
오늘은 제가 직접 #내돈내산 으로
#라미네이트 #잇몸성형 #치아미백 치료를 진행한 후기를 전달해드리려고 합니다.
내돈내산...!!!
특히 라미네이트에 관심이 있으신 분들은 아시겠지만 다른 사람들은 어떻게 했는지
후기를 보고싶어도 광고글만 너무 많은 것 같고..
진짜인지도 잘 모르겠어서 혼란스러울 때가 많으셨을 거예요.
제가 디데이치과 직원이긴 하지만 평소에 앞니때문에 고민하고 있었기때문에
누구보다 여러분의 마음을 잘 알고 있을거라 생각합니다.
라미네이트후기 궁금해서 들어오신 분이라면 꼭 끝까지 읽어주세요 ^^
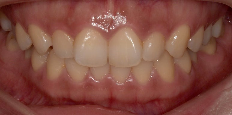
본격적으로 말씀드리기 전에 제 시술 전 치아 사진을 먼저 공개하겠습니다.

라미네이트 치료 전 모습입니다.
촬영일자: 2023-05-10
이렇게 사진을 놓고 보니까 괜히 굉장히 부끄럽네요… ㅠㅠ
저의 평소 고민은 앞니 2개가 약간 틀어진 나비치아라서 배열이 고르지 못한 점이었어요.

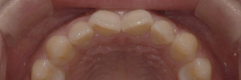
라미네이트 치료 전 모습입니다.
촬영일자: 2023-05-10
이렇게 치아 안쪽 사진을 보면 앞니 2개가 틀어져있는 것이 보이시죠?
이 앞니때문에 원래는 교정을 해야하나 아니면 라미네이트를 해야하나 고민이 많았습니다.
그래서 저희 원장님들께 여쭤보니 제 치아는 만약 교정을 해서 틀어진 부분을 바로잡으면
앞니 2개가 너무 커보일 수 있어서
제가 생각하는 가지런하고 예쁜 치아를 만들기는 어렵다고 하시더라구요 ㅠㅠ
그리고 교정을 하게 될 경우 공간이 좁아서 발치를 해야할 가능성도 있고,
기간도 약 2년 정도는 걸릴 것을 예상해야 하기 때문에
교정보다는 라미네이트를 선택하게 되었고, 개수는 4개로 하기로 했습니다.

너무 적나라한 사진이라... 부끄럽네요
촬영일자: 2023-05-12
제가 양쪽 대문니 옆 치아(상악 측절치)가 살짝 작은 상태이고
잇몸도 다른 부분보다 조금 더 내려와있어서
잇몸성형을 통해 라미네이트하는 치아의 잇몸 라인을 다듬어주고,
치아미백도 진행해 치아 색상을 톤업시켰습니다.
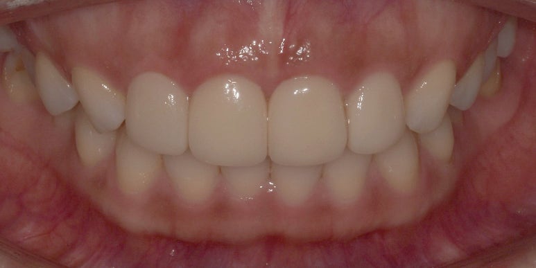
이제 라미네이트를 최종적으로 부착하고 나서 한달 정도 지난 후의 사진을 보여드리겠습니다.

라미네이트 부착 후 약 1개월 정도 지난 후의 모습
2023-06-28
저는 지금 치아 색상보다 살짝 밝게 라미네이트를 제작해달라고 요청드렸어요.
왜냐하면 주기적으로 미백을 할 예정이기 때문에
지금보다는 살짝 밝아도 될 것 같았기 때문입니다!
너무 자연스러운 색상 아니냐고 하실 수도 있는데
저는 자연스러운게 더 좋아서 이 톤으로 진행하게 됐어요.


라미네이트, 잇몸성형, 치아미백 치료 전후 비교 사진
(치료 전) 2023-05-10 (치료 후) 2023-06-28
어떠신가요? 전후를 놓고 비교해보니 틀어져있던 앞니가 바로잡혔고,
조금 작았던 양 옆 치아도 앞니와 어우러지는 사이즈로 변하면서 더욱 고르게 변한 모습이죠?
제 개인적인 의견이라 참고만 하셔야겠지만 저는 라미네이트에 대한 만족도가 높습니다.
우선 교정을 했을 때 들어가는 시간을 훨씬 단축할 수 있을 뿐더러
만약 교정을 했다면 앞니 2개만 너무 커보여서 오히려 불만족스러웠을 수도 있겠다 싶더라구요.
물론 라미네이트를 했기 때문에 앞니 사용에 조심하고는 있지만, 정말 큰 힘을 주지 않는 한
일상생활은 전혀 지장없이 잘 하고 있습니다 ^^

우선 위 사진처럼 치아 겉면에 보철물을 붙인 것이라
처음 한 2~3일 정도는 이질감이 느껴지기도 하고 어색한 부분도 있었지만
시간이 지나니 금방 적응이 되더라구요~ 역시 사람은 적응의 동물인가봅니다…!!
원래 웃을 때도 저는 손으로 입을 가리고 웃는 편이었는데
이제는 진짜 자신있게 자연스럽게 잘 웃고 있어요!
이게 정말 큰 변화라고 스스로도 느끼고 있습니다.
솔직히 제가 이렇게 만족하고 자신감을 되찾았다 하더라도
다른 분들께는 그렇지 않을 수 있으니 ‘라미네이트를 추천드립니다’라고 말씀드리기는 어렵습니다.
또 라미네이트는 자연치아를 다듬어야 하기도 하고요.
하지만 우선은 치료 결과에 매우 만족하고 잘 지내고 있다는 점
다시 한번 말씀드리고 싶었습니다!
그리고 이 모든 치료는 #내돈내산 으로 진행했고, 직원 혜택으로 일부 할인받았기 때문에
가격 정보에 대해 말씀드리기는 어려운 점 양해 부탁드립니다.
오늘 저의 경험담이 많은 분들께 도움이 되었으면 좋겠습니다 ^^
그럼 지금까지 디데이치과 직원이 직접 전달하는 라미네이트후기였습니다.
앞으로도 저희 디데이치과 많은 사랑 부탁드립니다😍 감사합니다!
| 라미네이트 합리적인 가격으로, 예쁘게 하고싶다면?디데이치과 네이버 예약 ✔ |
| 서울 디데이치과 진료 문의 |
|---|
| 대표전화 : 02-568-2877 (바로가기)네이버 톡톡 문의 (바로 가기) |
▲ 모바일에서 전화 버튼을 누르시면 병원으로 연결됩니다 ▲

| 본 게시물은 의료광고법 제56조 1항을 준수하여, 의료 정보 제공 및 병원 홍보를 목적으로 디데이치과의원에서 직접 작성하였습니다.다만, 블로그에서 제공해 드리는 정보는 참조용으로만 활용하시고, 정확한 개인의 증상 파악은 의료기관에 직접 내방하시어 의료진을 통해 확인하실 것을 권유 드립니다.치과에서 진행되는 모든 시술 및 수술은 개인에 따라 부작용 (염증, 출혈, 부기, 신경 손상 등) 가능성이 있습니다. 따라서 사전에 의료진과 충분한 상담을 통해 결정하시길 바랍니다.게시물의 치료 사진은 실제 본원에서 모든 치료 과정을 마친 환자분의 동의하에 촬영되었습니다. 전후 사진은 동일인이며, 동일 조건하에 촬영되었음을 밝힙니다. |