반갑습니다. 디데이치과 오태훈 대표원장입니다.
긴 장마가 물러가고 본격적인 여름휴가철입니다. 여러분들도 여름휴가 계획 세우셨나요?
저희 디데이치과는 치과 전체적인 여름휴가 없이 개별적으로 휴가를 다녀올 예정입니다.
저는 이번주 목요일인 8월 3일부터 토요일인 5일까지 휴진이고 이 기간 동안에는 김무진 원장님께서 진료를 봐주실 예정이니
디데이치과에 방문 예정이시거나 예약을 원하신다면 참고해주시길 바라겠습니다 ^^

오늘은 저희 디데이치과에서 보험임플란트를 진행하시면서 치아 3개 자리에 2개만 임플란트를 식립하고
중간은 브릿지로 연결한 임플란트브릿지 치료 사례를 공유해 드리려고 합니다.
만 65세 이상 환자분들은 치아를 여러개 상실하는 경우가 많으신데,
이 경우 상실한 모든 치아에 임플란트를 식립하지 않고 중간에 가짜치아를 연결해주면
큰 무리없이 일상생활이 가능하기 때문에 이런 케이스에 해당하신다면 집중해서 읽어주시면 감사하겠습니다.
환자분은 보험임플란트 적용이 가능한 만 65세 이상이셨는데요.
건강보험 적용이 가능하다면 약 30%의 본인부담금만 부담하여 평생 2개의 임플란트를 저렴한 비용으로 식립하실 수 있으니 참고해주세요 ^^
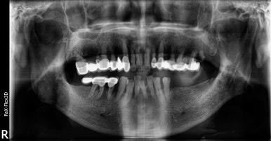
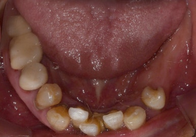
환자분의 첫 내원 시 엑스레이 사진과 입 안 사진을 함께 보여드리겠습니다.


임플란트 수술 전
2022-08-23
보시다시피 왼쪽 아래 어금니 3개를 상실한 상태에서 저희 치과로 내원해주셨는데요.
어금니는 우리가 음식을 먹을 때 음식을 잘게 부수는 역할을 하기 때문에
어금니가 튼튼하고 건강해야 음식을 먹고 영양을 섭취하는데 문제없이 생활할 수 있습니다.
지금 환자분처럼 한쪽 어금니를 많이 상실한 경우 반대쪽으로 식사를 하게 되고,
그러면 반대쪽 어금니가 일을 많이 하게되니 과부하가 걸려 상태가 나빠질 수 있습니다.
또한 치아는 위아래가 맞물려야 하는데, 아래쪽 치아가 없으면 위쪽 치아가 아래로 내려오려는 성질이 있어
갈수록 교합이 맞지 않고 치열이 틀어질 수 있기 때문에 치아를 상실한 경우 빠르게 조치를 취해주셔야 합니다.

브릿지 예시. 중간 치아는 양 옆 치아와 연결해 수복해줍니다.
앞서 말씀드렸듯이 환자분같은 경우에는 상실한 치아가 총 3개였지만
3개 모두 임플란트를 하시는 것보다는 양쪽 두개만 임플란트를 식립하고
가운데는 크라운만 연결해 브릿지형태로 치료하시는 것이 시간과 비용을 줄이는 방법이라 생각되어
임플란트브릿지로 치료 계획을 세워드렸습니다.

임플란트 픽스처 식립 후
2023-02-27
2023년 2월에 임플란트 1차 수술(인공치근을 식립하는 수술)을 완료했고,
3개월 후인 2023년 5월에 픽스처와 잇몸뼈가 잘 유착되었는지 수치를 통해 확인했습니다.
다행히 일정 수준 이상의 수치가 나와서 뼈와 잘 유착되었다고 평가해 다음 단계인 보철물 수복까지 진행하게 되었는데요.
6월 초에 임시로 브릿지를 부착해놓고 약 1~2주간 써보시다가 크게 이상이 없으면 완전히 부착해드리기로 했습니다.
최종적으로 6월 말에 브릿지를 완전히 부착하면서 임플란트의 전 과정이 마무리되었습니다.


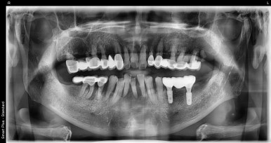
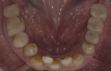
임플란트 수술 전후 모습
(전) 2022-08-23 (후) 2023-06-05


임플란트 수술 전후 모습
(전) 2022-08-23 (후) 2023-06-20
전후 사진을 보시면 텅 비어있던 왼쪽 아래부분이 임플란트 후 잘 채워져있는 것을 보실 수 있습니다.
환자분께서도 그동안 왼쪽 아래 어금니가 없으니 오른쪽으로 주로 씹느라 힘들었는데 이제 편하게 먹을 수 있어서 너무 좋다고 하시더라구요 ^^
다만 환자분께서는 치아와 잇몸 관리가 잘 되고 있지 않아 잇몸 건강이 좋지 않으신 상태여서
임플란트가 끝나고 난 이후에는 오히려 임플란트 전보다 훨씬 더 잇몸건강을 신경써주셔야한다고 신신당부를 드렸습니다.
이렇게 긴 기간 어렵게 심어놓은 임플란트가 치주질환으로 인한 염증 등으로 못쓰게 되어서는 안되니까요.
다른 치아 역시도 잘 지켜내 최대한 자연치아를 쓸 때까지 쓰시는게 가장 좋기 때문에
귀찮으시더라도 양치질 꼭 잘 해주시고 검진 꾸준히 나오실 거라는 약속을 받고 치료를 마무리 해드렸습니다.
제가 치과의사로서 가장 보람을 느끼는 순간 중 하나가 있는데요.
물론 환자분들을 치료해드리는 매 순간이 모두 소중하고 보람을 느끼지만,
특히 이렇게 임플란트 환자분들 치료 다 마무리 하시고 식사 잘 하시게 되었다는 말씀을 들을 때 기분이 참 좋더라구요 ^^
우리 어르신분들 새로 만든(?) 치아로 가족분들과 식사도 잘 하시고,
또 맛있는 음식 골고루 드시면서 삶의 만족도가 더 높아진다고 생각하기 때문인데요.
제가 치과의사로서 환자분의 삶의 질을 높이는데 기여할 수 있다는 사실에 감사하며
항상 저희를 찾아주시는 모든 환자분들께 정성을 다해 진료해드릴 수 있도록 노력하고 공부하는 의사가 되어야겠다 다짐해봅니다.
혹시 오늘 글 관련해서 궁금한 점이 있으시다면 언제든지 연락주세요!
그럼 오늘도 치료사례 글 읽어주셔서 감사드리며, 지금까지 디데이치과 오태훈 대표원장이었습니다.
< 임플란트브릿지 케이스가 더 보고싶다면? >
| 지금 본 보험임플란트, 디데이치과에서 하고싶다면?디데이치과 네이버 예약 ✔ |
| 서울 디데이치과 진료 문의 |
|---|
| 대표전화 : 02-568-2877 (바로가기)네이버 톡톡 문의 (바로 가기) |
▲ 모바일에서 전화 버튼을 누르시면 병원으로 연결됩니다 ▲

| 본 게시물은 의료광고법 제56조 1항을 준수하여, 의료 정보 제공 및 병원 홍보를 목적으로 디데이치과의원에서 직접 작성하였습니다.다만, 블로그에서 제공해 드리는 정보는 참조용으로만 활용하시고, 정확한 개인의 증상 파악은 의료기관에 직접 내방하시어 의료진을 통해 확인하실 것을 권유 드립니다.치과에서 진행되는 모든 시술 및 수술은 개인에 따라 부작용 (염증, 출혈, 부기, 신경 손상 등) 가능성이 있습니다. 따라서 사전에 의료진과 충분한 상담을 통해 결정하시길 바랍니다.게시물의 치료 사진은 실제 본원에서 모든 치료 과정을 마친 환자분의 동의하에 촬영되었습니다. 전후 사진은 동일인이며, 동일 조건하에 촬영되었음을 밝힙니다. |