여름이라 너무 더워서 아이스 음료를 많이 마시는데
갑자기 이가 너무 시려서 자세히 살펴보니까
치아랑 잇몸 경계부분이 꼭 도끼로 찍은 것처럼 파여있더라구요…
잇몸이 파인 것 같기도 하고…
잇몸파임이나 치아파임은 어떻게 치료할 수 있나요?
갑자기 생긴 일이라 비용이 많이 들까봐 걱정됩니다..
날씨가 점점 무더워지면서 이처럼 차가운 음료를 마시다가 이가 시려서 치과에 내원해주시는 분들도 많으신데요.


치아가 시린데는 다양한 원인이 있지만 방금 말씀드린 환자분처럼
치아와 잇몸 경계부분이 꼭 파인 것처럼 움푹 들어가 있는 경우 온도변화에 민감해질 수 있는데요.
오늘은 이런 증상을 의미하는 ‘치경부마모증’의 원인과 치료방법, 치료비용까지 알고 가실 수 있도록 자세히 알려드리겠습니다.
제 소개가 늦었네요. 선릉역에 위치한 디데이치과의 오태훈 대표원장입니다 ^^


사실 방금 말씀드린 환자분 케이스뿐만 아니라 치경부마모증은 남녀노소를 가리지 않고 굉장히 흔한 질환 중 하나인데요.
이 글을 보고 계신 분들 혹은 부모님의 치경부마모증이 의심된다면 집중해서 읽어주세요.
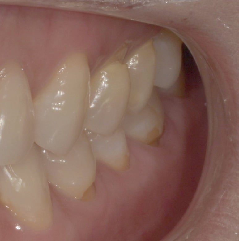
먼저 치경부마모증을 진단받으신 환자분의 사진을 보시면 어떤 상태인지 이해하기 쉬우실 겁니다.

치경부마모증으로 내원해주신 환자분
2023-07-26
보시면 환자분의 치아와 잇몸의 경계 부분에 치아 목 부분이 파여있는 것을 보실 수 있습니다.
우리 치아의 구조를 보시면 바깥을 감싸고 있는 흰색의 법랑질이 있고, 그 안에 노란색의 상아질이 위치하는데요.

치아 뿌리가 시작되는 부분인 목 부분의 법랑질이 닳아 안쪽의 상아질이 노출되는 현상을 보이는 것입니다.
상아질은 온도에 민감하기 때문에 찬 음식을 먹거나 물을 마실 때 치아가 시릴 수 있습니다.
그렇다면 치경부마모증은 왜 생기는걸까요?
잘못된 양치질때문이라는 말도 있고, 아예 일리가 없는 말은 아닙니다.
하지만 그것보다는 치아가 좌우 측방력을 받을 때(꼭 절구로 음식을 갈 때처럼 말이죠)
치아의 뿌리는 잇몸뼈가 단단하게 지탱하고 있으니 그 윗부분인 치아 목 부분에 힘이 가해지는 것이 주요 원인 중 하나입니다.
음식을 먹을 때, 그리고 이를 세게 악물거나 이를 가는 경우 측방력이 가해지면서 치아 목 부분에 지속적으로 영향을 미치게 됩니다.

이런 경우 보통은 치아 색상과 유사한 치과용 재료인 레진으로 닳은 부분을 메워주게 됩니다.
이렇게 레진으로 치료했을 때의 비용은 저희 디데이치과를 기준으로 개당 6만원입니다.
다만, 치아 옆면을 레진으로 메웠을 때 비교적 잘 떨어지는 특성이 있어 주의가 필요한데요.
이는 재료 자체의 특성이기도 하지만 앞서 말씀드렸듯이 치아 옆면이 힘을 많이 받는 부분이어서 그렇기도 합니다.

치아파임은 대수롭지 않게 생각해 그대로 방치하시는 분들이 꽤 많은데요.
치아의 구조를 다시 보시면 씹는 면보다 옆면이 훨씬 신경과 가까운 것을 확인하실 수 있습니다.
만약 치아가 파인 상태로 그대로 두어 계속 악화된다면 신경까지 노출되어 극심한 통증이 나타날 수 있고
이런 경우 신경치료 후 크라운으로 씌워주어야 합니다.
간단히 레진으로 치료하는 경우 6만원의 비용이 드는데, 크라운으로 넘어가면 40~50만원정도
비용이 들기 때문에 대략 7배 이상 더 비싸게 치료해야 하는 것이죠.

또한 레진치료는 치과에 방문하신 당일에 치료가 완료되지만 크라운은 적어도 2주 소요되고
신경치료가 필요한 경우 한달 정도 기간이 소요되어 훨씬 많은 시간을 치과치료에 할애해야 합니다.
왜 치과의사들이 그렇게 정기검진과 빠른 치료를 강조하는지 아시겠죠? ^^
빠르게 치료할 수록 비용은 물론 시간도 아낄 수 있기 때문에 항상 환자분들께 적극적으로 권유드리는 것입니다.
치아와 잇몸의 경계가 도끼로 찍은 것처럼 파여있어 차가운 음식을 먹을 때 시린 증상이 나타난다면
치경부마모증이라고 진단하며 파인 부분을 레진으로 메워 치료 시 6만원 정도 비용이 발생한다고 설명드렸습니다.
양치질을 양옆 방향으로 너무 세게 하시거나, 평소 이갈이나 이를 악무는 증상이 있으시다면
치아 목 부분에 많은 충격이 발생해 치아가 파일 수 있습니다.
따라서 가급적이면 양치질은 부드러운 칫솔모를 이용해 위아래 방향으로 해주시고
이갈이나 이 악무는 증상이 있다면 치과에 내원하셔서 치료를 받으시거나 마우스피스같은 장치를 착용하시는 것을 권장해드립니다.
이런 경우에는 치경부마모증과 턱관절 질환을 동시에 예방할 수 있으니 일석이조겠지요 ^^
오늘 설명드린 질환 관련 혹은 다른 치과치료에 대해 궁금한 점이 있으시다면
언제든지 편하게 저희 디데이치과로 연락주세요. 항상 환자분들께 열려있습니다!
그럼 지금까지 디데이치과 오태훈 대표원장이었습니다. 감사합니다.
< 디데이치과가 처음이라면 추천드리는 글 >
| 소중한 내 치아, 디데이치과에 맡기고 싶다면?디데이치과 네이버 예약 ✔ |
| 서울 디데이치과 진료 문의 |
|---|
| 대표전화 : 02-568-2877 (바로가기)네이버 톡톡 문의 (바로 가기) |
▲ 모바일에서 전화 버튼을 누르시면 병원으로 연결됩니다 ▲

| 본 게시물은 의료광고법 제56조 1항을 준수하여, 의료 정보 제공 및 병원 홍보를 목적으로 디데이치과의원에서 직접 작성하였습니다.다만, 블로그에서 제공해 드리는 정보는 참조용으로만 활용하시고, 정확한 개인의 증상 파악은 의료기관에 직접 내방하시어 의료진을 통해 확인하실 것을 권유 드립니다.치과에서 진행되는 모든 시술 및 수술은 개인에 따라 부작용 (염증, 출혈, 부기, 신경 손상 등) 가능성이 있습니다. 따라서 사전에 의료진과 충분한 상담을 통해 결정하시길 바랍니다.게시물의 치료 사진은 실제 본원에서 모든 치료 과정을 마친 환자분의 동의하에 촬영되었습니다. 전후 사진은 동일인이며, 동일 조건하에 촬영되었음을 밝힙니다. |