안녕하세요. 디데이치과 오태훈 대표원장입니다.
무더운 한여름 모두 건강하게 잘 지내고 계신가요?
저는 지난주 목요일부터 토요일까지 휴가를 마치고 돌아와 오랜만에 블로그에 글을 쓰고 있습니다 ^^
김무진 원장님께서 제가 없는 치과를 잘 지켜주신 덕분에 재충전을 잘 하고 돌아와서
앞으로 더 활기넘치게 환자분들 치료해드리고 더 알차고 풍성한 블로그 컨텐츠로 여러분들을 찾아뵙도록 하겠습니다.

혹시 어렸을 때 부모님께 “콜라 많이 마시면 이 썩는다”는 말 들어보신 적 있으신가요?
또는 콜라를 많이 마시면 치아가 녹는다는 말도 들어보셨나요?
무더운 여름엔 시원하고 청량한 탄산음료를 많이 찾게 되는데요.
오늘은 탄산음료와 같은 산성 음식이나 음료를 섭취하거나 질병으로 인해 발생할 수 있는 치아부식에 대해 이야기해보려고 합니다.



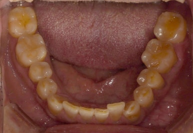
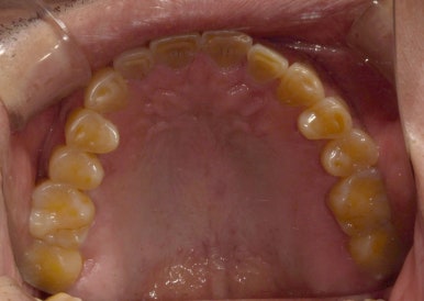
치아 부식으로 내원해주신 환자분의 구내 사진
2023-07-26
치아부식이란 입 속의 산 성분으로 인해 치아 겉 표면의 단단한 층이 녹아내려 치아가 얇아지고 길이가 짧아지는 현상을 의미합니다.
흔히 우리가 ‘치아가 썩는다’고 표현하는 치아우식증(충치)과는 조금 다른데요.
충치는 입 속 세균에 의해 만들어진 산 성분으로 인해 치아의 단단한 조직이 손상되는 것이라면
치아부식은 세균과 관계 없이 화학작용에 의해 치아의 겉 표면이 녹는 것입니다.
이러한 치아부식의 주요 원인은 구토와 역류성식도염, 산성 음식 또는 음료 섭취 등 질병이나 잘못된 생활습관으로 인한 것들이 있습니다.

탄산수
여기서 잠깐 짚고 넘어가자면, 요즘 많이 마시는 탄산수는 달지 않기 때문에 탄산음료보다 치아 건강에 더 좋을 것이라 생각하신다면 오산입니다.
당 성분은 없어도 탄산이 음료의 산도를 낮춰 치아 부식의 위험성을 높일 수 있다고 하니
탄산음료나 탄산수를 드시고 난 후에는 물로 치아를 가볍게 헹궈주시는 것이 좋습니다.

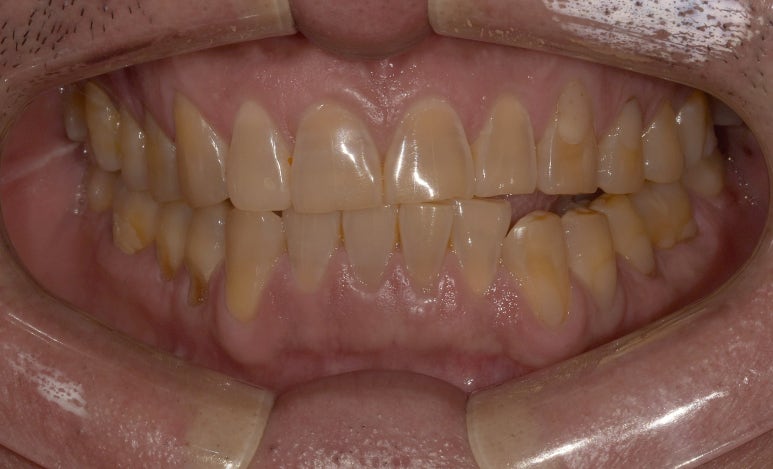
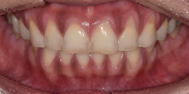
치아부식의 대표적인 증상. 치아 끝이 투명하게 보입니다
2022-05-07
앞서 치아가 부식된 경우 치아의 길이가 짧아지거나 바깥 면이 닳는다고 말씀드렸는데요.
특히 앞니 끝 부분이 닳아 얇아져서 투명하게 보이는 경우는 치아부식의 대표적인 증상입니다.
보통 역류성식도염과 같이 위산이 역류하면서 치아가 손상이 되는 경우는
앞니의 여러 면 중 우리의 혀가 닿는 부분이 주로 녹기 때문에 눈에 보이지 않아 방치하기 쉬운데요.
처음엔 별 증상이 없을 수 있어도 나중에는 치아가 많이 시리고 약해질 수 있어
미리미리 검진을 통해 체크하고 치료를 받으시는 것이 좋습니다.

부식된 치아를 치료하기 위해서는 어떤 치아가 얼마나 부식되었느냐에 따라 다르겠지만
치아를 전체적으로 감싸 외부의 충격이나 자극으로부터 치아를 보호하는 크라운 치료가 적합할 수 있습니다.
만약 부식으로 인해 신경관까지 손상이 되었다면 신경치료 후 크라운까지 해야할 수 있습니다.
다만 그 전에 역류성식도염과 같은 질병에 의해 치아가 부식되었다면 해당 질병을 치료하는 것이 좋겠죠.
아울러 탄산음료, 산성 음식 등을 섭취하는 습관때문이라면 해당 음식 섭취를 자제하거나
섭취하고 난 이후에 물로 가글해주시면서 관리해주시면 많은 도움이 됩니다.

또한 산성 음식이나 음료를 섭취하거나 구토를 하고 난 후에는 바로 양치질을 하지 마시고
30분 정도 지난 후에 양치질을 해주시는 것이 좋습니다.
바로 양치질을 하면 치약 속에 들어있는 연마제와 산 성분이 반응해 치아가 부식될 위험이 있기 때문입니다.
산 성분을 많이 함유한 음식이나 음료를 섭취하고 난 후 30분 정도가 지나면
체내의 자정작용으로 인해 원래의 알칼리성으로 돌아온다고 알려져있어 이 때 양치질 해주시는 것을 권장합니다.
환자분들 입장에서 저희 글을 보면 ‘치아와 잇몸이 참 유약하구나’ 생각하실 수도 있을 것 같습니다.
치석이나 충치도 잘 생기고 심지어 치아나 잇몸뼈가 녹기도 한다니 말입니다 ^^;;
하지만 내 소중한 치아에 관심을 가지고 칫솔질, 치실 사용을 통해 관리해주시면서
1년에 한번, 잇몸이 좋지 않으신 분들은 6개월에 한번 정도 정기검진 해주시면 튼튼하고 건강한 치아를 유지하실 수 있습니다.
유약한 치아냐, 튼튼한 치아냐는 다른 누구도 아닌 내가 스스로 만들어 나가는 것입니다.
저를 비롯한 김무진 원장님, 그리고 저희 디데이치과 의료진은 환자분의 치아를 오래도록 튼튼하게 사용하실 수 있도록 도와드리는 조력자가 되겠습니다.
그럼 지금까지 디데이치과 오태훈 대표원장이었습니다. 글 읽어주셔서 감사합니다.
| '엇, 나도 치아부식인가?' 정확한 확인을 원한다면디데이치과 네이버 예약 ✔ |
| 서울 디데이치과 진료 문의 |
|---|
| 대표전화 : 02-568-2877 (바로가기)네이버 톡톡 문의 (바로 가기) |
▲ 모바일에서 전화 버튼을 누르시면 병원으로 연결됩니다 ▲

| 본 게시물은 의료광고법 제56조 1항을 준수하여, 의료 정보 제공 및 병원 홍보를 목적으로 디데이치과의원에서 직접 작성하였습니다.다만, 블로그에서 제공해 드리는 정보는 참조용으로만 활용하시고, 정확한 개인의 증상 파악은 의료기관에 직접 내방하시어 의료진을 통해 확인하실 것을 권유 드립니다.치과에서 진행되는 모든 시술 및 수술은 개인에 따라 부작용 (염증, 출혈, 부기, 신경 손상 등) 가능성이 있습니다. 따라서 사전에 의료진과 충분한 상담을 통해 결정하시길 바랍니다.게시물의 치료 사진은 실제 본원에서 모든 치료 과정을 마친 환자분의 동의하에 촬영되었습니다. 전후 사진은 동일인이며, 동일 조건하에 촬영되었음을 밝힙니다. |