“첫 라미네이트 시술이라 걱정이 많았는데,
사람들의 후기가 너무 좋아서 디데이치과에서 치료하고 싶었습니다..
다들 친절하게 대해주시고 아프지 않게 치료해주신 덕분에
고르지 못한 치열과 변색된 치아를 개선할 수 있어서 대만족입니다.”
반갑습니다. 디데이치과 오태훈 대표원장입니다.
얼마 전 블로그를 통해 저희 디데이치과를 찾아주시는 외국인 환자분들도 많다고 말씀드렸는데요.
어떤 점 때문에 외국에서 멀리까지 저희 치과를 찾아주시는걸까.. 저 역시 궁금하기도 하고,
여러분들께서 실제 치료를 하신 분들의 목소리를 궁금해하실 것 같아
최근인 7월 초에 라미네이트를 하신 일본인 환자분께 인터뷰를 요청드렸습니다.
![[진심인터뷰] 라미네이트후기, 일본인환자가 디데이치과까지 온 이유? 관련 이미지 1](https://pub-9f2bb3498faf4d1d8714b41df24753e3.r2.dev/content/clinics/archive/6iramdrn2c/naver_blog/ddaydent_1/assets/by_hash/404b4a4d9519fb98bd8f644a7854ccbabc7a619bfb8172b6b13f66d4688bd0f9.jpg)
왜 저희 디데이치과를 선택했는지, 어떤 점이 만족스러웠는지, 시술 결과에 대한 만족도는 어떤지
환자분과의 심층 인터뷰를 재구성하여 전달드릴테니 라미네이트 후기가 궁금하셨다면 잠시만 집중해주세요!
환자분께서 사진 촬영은 부담스러워 하셔서 치아 사진으로 대체하는 점 양해 부탁드립니다.
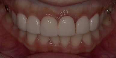
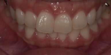
먼저 환자분의 시술 전후 사진을 보여드리겠습니다. 사진을 참고하셔서 글을 읽으시면 더 도움이 많이 되실 것 같습니다 ^^
![[진심인터뷰] 라미네이트후기, 일본인환자가 디데이치과까지 온 이유? 관련 이미지 2](https://pub-9f2bb3498faf4d1d8714b41df24753e3.r2.dev/content/clinics/archive/6iramdrn2c/naver_blog/ddaydent_1/assets/by_hash/193c1f0fe658388c3b326bf849be57aac749c41915e1ba576b4a4b81eb9e3b79.jpg)
![[진심인터뷰] 라미네이트후기, 일본인환자가 디데이치과까지 온 이유? 관련 이미지 3](https://pub-9f2bb3498faf4d1d8714b41df24753e3.r2.dev/content/clinics/archive/6iramdrn2c/naver_blog/ddaydent_1/assets/by_hash/790607ddf93c8320271928f5a2f18bc2a207e6887f58414fbe73017fd4c1605b.jpg)
일본인 라미네이트 환자 치료 전후 사진
25세 여성
(치료 전) 2023-07-04 (치료 후) 2023-07-10
![[진심인터뷰] 라미네이트후기, 일본인환자가 디데이치과까지 온 이유? 관련 이미지 4](https://pub-9f2bb3498faf4d1d8714b41df24753e3.r2.dev/content/clinics/archive/6iramdrn2c/naver_blog/ddaydent_1/assets/by_hash/51257a734118cdc7f06c261d3f07c5dadec384d949ac1ec9c6d78ca14c68e11b.jpg)
Q) 오직 라미네이트를 위해 한국까지 올 결정을 하는게 어려우셨을 것 같은데 어떻게 오게 되셨나요?
A) 오래 전부터 한국과 한국의 미용에 대해 관심이 많았어요. 제가 평소에 고르지 못한 치열과 치아 착색으로 인해 고민이 많았는데 우연히 한국의 의료정보 어플리케이션을 관심있게 살펴보다가 일본보다 합리적인 금액에 치료가 가능해 한국에서 치료해야겠다고 생각했습니다.
![[진심인터뷰] 라미네이트후기, 일본인환자가 디데이치과까지 온 이유? 관련 이미지 5](https://pub-9f2bb3498faf4d1d8714b41df24753e3.r2.dev/content/clinics/archive/6iramdrn2c/naver_blog/ddaydent_1/assets/by_hash/4f02edc7e39682cb802f846c302eac6c46a4d5249a3f18d6caf5e9fbbeda5853.jpg)
일본인 라미네이트 환자 치료 전
25세 여성
2023-07-04
Q) 평소 치아 배열과 색상에 대해 고민이 있으셨다고 하셨는데, 구체적으로 어떤 점을 개선하고 싶으셨나요?
A) 보시다시피 저는 앞니 두개가 사이즈도 크고 틀어져있어서 입을 벌릴 때 보이는 배열이 제멋대로인 것 같다고 생각했습니다. 그리고 TV에 나오는 한국 연예인들처럼 고르고 밝은 치아를 만들고싶었습니다. 그래서 치아 배열을 바로잡고 색상을 밝게 개선하고 싶어서 라미네이트 해야겠다고 결심했습니다.
![[진심인터뷰] 라미네이트후기, 일본인환자가 디데이치과까지 온 이유? 관련 이미지 6](https://pub-9f2bb3498faf4d1d8714b41df24753e3.r2.dev/content/clinics/archive/6iramdrn2c/naver_blog/ddaydent_1/assets/by_hash/b2767e68983b9dd230e659d44fe8307461bae5e841618c67aa0852ede5103275.jpg)
Q) 한국에 다른 치과들이 많은데 왜 저희 디데이치과를 선택하셨나요?
A) 우선 이미 시술을 한 사람들이 남긴 후기가 너무 좋았습니다. 그걸 보고 믿음이 생기기도 하고 한국까지 올 결심을 한 계기가 되기도 했습니다. 또한 원장님이 일본어를 할 줄 알아서 일본어 상담이 가능하다는게 너무 믿음직스러웠습니다.
![[진심인터뷰] 라미네이트후기, 일본인환자가 디데이치과까지 온 이유? 관련 이미지 7](https://pub-9f2bb3498faf4d1d8714b41df24753e3.r2.dev/content/clinics/archive/6iramdrn2c/naver_blog/ddaydent_1/assets/by_hash/35998ae057a84ec1f1c1dc4eec3a0287e1978c3f06f4cfdc264578ff64fd34e0.jpg)
Q) 치료 결과에는 만족하시나요?
A) 첫 시술이라 걱정을 많이 했는데 직원분들이 정말 친절해서 안심하고 시술을 받을 수 있었습니다. 통증도 거의 느끼지 못했고 잠이 들 정도였어요 ^^ 치열도 나쁘고 치아가 누렇게 변해 어려움을 겪었는데 한번에 해결할 수 있어서 대만족입니다!
![[진심인터뷰] 라미네이트후기, 일본인환자가 디데이치과까지 온 이유? 관련 이미지 8](https://pub-9f2bb3498faf4d1d8714b41df24753e3.r2.dev/content/clinics/archive/6iramdrn2c/naver_blog/ddaydent_1/assets/by_hash/5767797d5f3ac3e1527d7f3c42a1572246104447924a35457aab44524de8d97a.jpg)
Q) 특별히 더 좋았던 점이나 이야기 하고 싶은 점 있으신가요?
A) 아무래도 말이 잘 통하지 않는 외국에서 치료를 받는게 어려울 거라 생각했는데, 원장님이 일본어를 할 수 있어서 원활한 의사소통이 된다는 점이 만족스럽고 마음이 놓였습니다. 직원분들은 일본어를 못하시지만 번역기를 사용해 일본어로 소통하려고 노력하는 모습이 좋았습니다. 너무나도 친절하시기도 했고요. 비행기를 타고 온 노력이 헛되지 않아서 좋았습니다.
그리고 일본에서 라미네이트할 때의 예상비용이 개당 70~100만원 정도였는데, 한국에서 훨씬 저렴한 가격으로 시술이 가능하다고 생각했습니다. 또한 외국인 환자가 택스리펀 받을 수 있는 서류도 발급해주셔서 예상보다 더 저렴한 금액에 시술을 할 수 있었습니다.
이렇게 환자분의 입을 통해 직접 저희 디데이치과를 선택해주신 이유, 시술 결과에 대한 만족도 등을 들으니 저 역시도 감회가 새로운데요.
특히 취미로 배웠던 일본어가 일본 환자분들과의 의사소통에 도움이 되고,
또 이런 점 때문에 저희 디데이치과를 믿고 맡겨주셨다고 생각하니 역시 도움이 안되는 경험은 없는 것 같다는 생각이 듭니다.
이 자리를 빌어 다시 한번 저와 김무진 원장님, 그리고 저희 디데이치과를 선택해주셔서 감사드린다는 말씀 전해드리고 싶습니다.
코로나로 인해 굳게 잠겨있던 국경이 풀리면서 외국인 환자의 의료관광도 다시 회복되는 추세라고 합니다.
오늘 이 글은 해외에서도 저희 디데이치과를 찾아주신다는 자랑을 하기 위한 글이 아닙니다.
외국인들이 비행기를 타고 온다고 해서 좋은 치과이고 치료를 잘한다는 보장이 있는 것도 아닙니다.
또한 어떤 환자분은 치료 결과에 만족하실 수도 있지만 어떤 분은 아닐 수도 있습니다.
오늘 이 글의 목적은 진짜 #내돈내산 #라미네이트후기 가 궁금하셨던 분들께 실제 환자분의 목소리를 들려드리기 위함임을 다시 한번 강조드리고 싶습니다.
그럼 지금까지 디데이치과 오태훈 대표원장이었습니다. 감사합니다.
-
본 글은 실제 디데이치과에서 치료받으신 일본인 환자분 RI**KO(25, 여)님과의 대면 상담을 토대로 인터뷰 형식으로 재구성한 것입니다.
-
해당 인터뷰를 이유로 경제적 대가를 지급하지 않았습니다.
| 소중한 내 치아, 디데이치과에 맡기고 싶다면?디데이치과 네이버 예약 ✔ |
| 서울 디데이치과 진료 문의 |
|---|
| 대표전화 : 02-568-2877 (바로가기)네이버 톡톡 문의 (바로 가기) |
▲ 모바일에서 전화 버튼을 누르시면 병원으로 연결됩니다 ▲
![[진심인터뷰] 라미네이트후기, 일본인환자가 디데이치과까지 온 이유? 관련 이미지 9](https://pub-9f2bb3498faf4d1d8714b41df24753e3.r2.dev/content/clinics/archive/6iramdrn2c/naver_blog/ddaydent_1/assets/by_hash/902c035644104fb152b80710660b6fa20a1a3870fa6e0fe286fe2674ee1a4208.png)
| 본 게시물은 의료광고법 제56조 1항을 준수하여, 의료 정보 제공 및 병원 홍보를 목적으로 디데이치과의원에서 직접 작성하였습니다.다만, 블로그에서 제공해 드리는 정보는 참조용으로만 활용하시고, 정확한 개인의 증상 파악은 의료기관에 직접 내방하시어 의료진을 통해 확인하실 것을 권유 드립니다.치과에서 진행되는 모든 시술 및 수술은 개인에 따라 부작용 (염증, 출혈, 부기, 신경 손상 등) 가능성이 있습니다. 따라서 사전에 의료진과 충분한 상담을 통해 결정하시길 바랍니다.게시물의 치료 사진은 실제 본원에서 모든 치료 과정을 마친 환자분의 동의하에 촬영되었습니다. 전후 사진은 동일인이며, 동일 조건하에 촬영되었음을 밝힙니다. |