반갑습니다. 디데이치과 김무진 대표원장입니다.
유독 치과치료를 받으러 방문하시는 환자분들 중에는 ‘금’ 재료를 선호하시는 분들이 많습니다.
금이 함유된 인레이나 크라운으로 치료하면 튼튼하고 오래가서 좋다고 생각하시는 것 같은데요.

골드 인레이 예시 (오른쪽)
틀린 말은 아니지만 재료의 종류에 따라 수명이 정해지는 것은 아니기때문에 꼭 금이라고 해서 좋은 것만은 아닙니다.
오늘은 이런 오해 아닌 오해를 풀어드리기 위해
골드인레이의 장단점과 치료 비용, 그리고 치아 크랙 가능성에 대해 말씀드려보려고 합니다.
골드크라운은 지난 번에 자세히 말씀드린 적이 있어서 해당 글을 링크로 올려드리니
혹시 관심이 있으시다면 아래 글을 참고해주시기 바랍니다.
충치제거 후 수복물로써 금은 참 장점이 많은 재료 중 하나입니다.
우선 골드인레이의 장점으로는 깨질 가능성이 적다는 점입니다. 매우 튼튼하기 때문이지요.
또한 재료 자체가 유연성이 있는 재료이기 때문에 윗니와 아랫니가 맞닿는 교합에 따라
미세하게 변형되며 딱 맞춰지기 때문에 불편을 호소하는 일이 적습니다.
아마 이런 장점때문에 ‘치과 재료는 금이 제일 좋다’고 생각하시는 분들이 많은 것 같습니다.

하지만 이러한 골드인레이에는 단점도 존재하는데요.
가장 큰 단점은 누런 색상으로 인해 보기에 좋지 않다는 점과, 치아의 크랙(균열) 발생 가능성이 크다는 점을 꼽을 수 있습니다.
또한 재료에 금이 함유되어 있기 때문에 세라믹인레이보다 비용이 더 비쌉니다.
보통 골드인레이비용은 35~40만원 전후로 형성되어 있는데요.
세라믹인레이 비용이 약 25~30만원 전후인 점을 감안하면 조금 더 비용이 비싸다고 보시면 됩니다.

어금니에 골드인레이를 하게 되면 금속의 누런 색상이 눈에 잘 띄기 때문에 보기에 좋지 않다는 점,
그리고 금이 들어있어 비용이 비싸다는 점은 아마 모두들 바로 이해하실 것이라고 생각합니다.
하지만 왜 골드인레이 후 치아의 크랙 가능성이 높은 것인지 의아하신 분들이 많으실텐데요.
앞서 설명드린 골드인레이의 장점 중 하나가 매우 단단하다는 점이었습니다.
출처: 구글 이미지검색 셔터스톡
만약 충치를 제거한 부위가 넓고 깊어서 이를 골드인레이로 수복한다면
음식을 먹을 때 위 아래 치아가 맞닿으면서 해당 치아에 계속해서 씹는 힘이 가해지게 됩니다.
이 때 이 골드인레이가 쐐기처럼 작용하면서 인레이 주변으로 남아있는 자연치아에 크랙(균열)이 생길 가능성이 높습니다.
실제로 2018년 가톨릭대학교 치과병원의 연구결과 수복물이 있는 경우에서는
비접착재료인 금(골드인레이)에서 26.9%의 높은 빈도로 치아 크랙이 발견되었다고 밝히기도 했습니다.
치아에 크랙이 생기는 경우에는 매우 높은 확률로 신경치료 후 크라운을 진행하거나
심한 경우 발치까지 이어질 수 있기 때문에 이 점을 반드시 고려해서 재료를 선택해야 합니다.
오늘은 골드인레이의 장점과 단점, 비용과 크랙 가능성에 대해 자세히 설명드렸습니다.

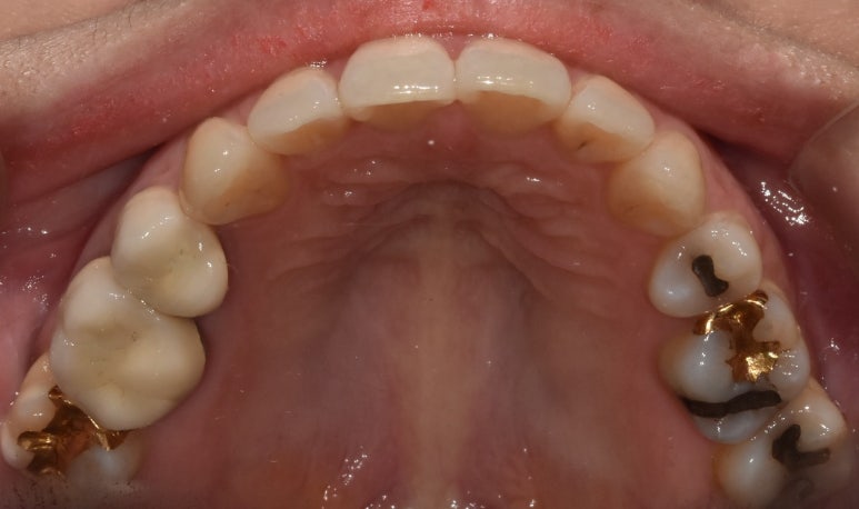
골드인레이 예시
2021-10-12
골드인레이는 매우 튼튼하고 견고해 깨질 가능성이 적다는 장점이 있는 반면에
누런 금속이 노출되어 보기에 좋지 않을 수 있고 비용이 다소 비싸며 치아에 크랙(균열)을 유발할 수 있다는 단점이 있습니다.
이렇게 재료별로 장단점을 가지고 있기 때문에 환자분께서는 재료를 선택하실 때 이를 고려하시고,
치과 전문의와의 충분한 상담을 통해 재료를 결정하시길 바랍니다.
하지만, 어떤 재료로 치료했느냐보다는 환자분께서 얼마나 치아 건강에 관심을 가지고 관리를 해주셨냐에 따라
보철물의 수명은 달라질 수 있으므로 꼭 정기적인 검진을 통해 치아 건강을 체크해주시면 더욱 더 좋을 것 같습니다.
그럼 지금까지 디데이치과 김무진 대표원장이었습니다. 감사합니다.
< 치아크랙(균열)에 대해 더 알고싶다면? >
| 소중한 내 치아, 디데이치과에 맡기고 싶다면?디데이치과 네이버 예약 ✔ |
| 서울 디데이치과 진료 문의 |
|---|
| 대표전화 : 02-568-2877 (바로가기)네이버 톡톡 문의 (바로 가기) |
▲ 모바일에서 전화 버튼을 누르시면 병원으로 연결됩니다 ▲

| 본 게시물은 의료광고법 제56조 1항을 준수하여, 의료 정보 제공 및 병원 홍보를 목적으로 디데이치과의원에서 직접 작성하였습니다.다만, 블로그에서 제공해 드리는 정보는 참조용으로만 활용하시고, 정확한 개인의 증상 파악은 의료기관에 직접 내방하시어 의료진을 통해 확인하실 것을 권유 드립니다.치과에서 진행되는 모든 시술 및 수술은 개인에 따라 부작용 (염증, 출혈, 부기, 신경 손상 등) 가능성이 있습니다. 따라서 사전에 의료진과 충분한 상담을 통해 결정하시길 바랍니다.게시물의 치료 사진은 실제 본원에서 모든 치료 과정을 마친 환자분의 동의하에 촬영되었습니다. 전후 사진은 동일인이며, 동일 조건하에 촬영되었음을 밝힙니다. |