“얼마 전에 이가 아파 치과에 갔는데 발치하고 임플란트를 해야한다고 하더라구요…
저는 아직 20대고 젊은나이인데 벌써 임플란트를 해야한다니 너무 걱정됩니다.
젊은나이에 임플란트를 해도 되나요? 나중에 안좋다던데 진짜인가요?”
안녕하세요. 디데이치과 오태훈 대표원장입니다.
아직 한창인 2, 30대 젊은 분들이 치아를 발치하고 임플란트를 해야 한다는 진단을 받으면
가장 먼저 하시는 말씀이 “아직 젊은데 벌써 임플란트를 해도 되나요?”인데요.

임플란트라는 치료 자체가 상실된 치아를 수복하는 치료이기 때문에 주로 연세가 있는 분들께서 시술한다는 선입견이 있습니다.
물론 연세가 있으신 분들은 잇몸뼈도 약해지고 잇몸질환을 갖고 계신 분들이 많기 때문에
젊은 분들에 비해 임플란트 시술을 많이 하시는 것은 맞지만
요즘은 나이가 비교적 젊은 20~30대 분들도 임플란트를 많이 하시고, 해도 전혀 문제가 없습니다.
젊을 때 임플란트를 하면 나중에 안 좋다는 말도 있지만,
치아를 못쓰게 되었을 경우 빠르게 수복해주는 것이 더 좋고 관리만 잘 해주시면 내 치아처럼 오래 사용할 수 있기 때문에 걱정하지 않으셔도 됩니다.

자연치아를 최대한 살려 쓸 수 있을 때까지 쓰는 것이 당연히 가장 좋지만,
충치가 너무 심해졌거나 염증이 심해 더이상 치아를 사용하지 못하거나 신경치료를 한다 해도 예후가 좋지 않다고 판단된다면
오히려 빠르게 발치 후 임플란트를 하는 것이 환자분께서 덜 고생하는 길일 수 있습니다.
또한 젊은 나이일수록 뼈가 건강하고 튼튼해 임플란트가 잘 고정될 가능성이 높겠죠?
뼈가 튼튼하면 뼈이식을 하지 않아도 되고, 발치 당일에 임플란트를 식립할 수도 있어 시간과 비용을 절약할 수 있습니다. (물론 젊더라도 뼈이식이 필요한 경우도 있고, 발치 당일 임플란트 식립이 불가능할 수도 있습니다.)
그렇기때문에 혹시 젊은나이임플란트를 권유받았다고 해서 너무 상심하지 마셨으면 합니다.
지금부터는 실제로 저희 디데이치과에서 젊은나이에 임플란트를 하신 환자분들의 사례를 보여드리겠습니다.

임플란트 수술 전
20대 남성
2023-07-21
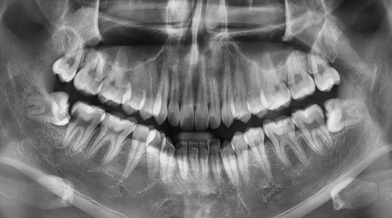
가장 최근에 내원하신 20대 초반의 남성분인데요.
내원 2주 전부터 오른쪽 아래 치아에 통증이 있어서 임플란트 상담을 위해 찾아오셨습니다.
엑스레이 보시면 오른쪽 아래(사진상 왼쪽) 사랑니와 #47 치아가 맞닿아있는 부분이 까맣게 보이시죠?
어금니 맨 뒤는 칫솔이 잘 닿지 않는데다가 매복사랑니까지 맹출하면서 #47 치아를 밀어내고,
결국 치아가 썩어 발치 후 임플란트를 하셔야 하는 케이스였습니다.

임플란트 픽스처 식립 후
20대 남성
2023-07-25
다행히 발치 당일에 임플란트 식립이 가능하다고 판단되어 오른쪽 위아래 사랑니와 함께
#47 치아를 발치하고 바로 임플란트를 식립할 수 있었습니다.
3개월 후 치아 역할을 해줄 보철물까지 올리기로 했는데요.
아마 올해 10월 쯤이면 환자분도 새로운 치아를 갖게 되실 것 같습니다 ^^


임플란트 수술 전 구내사진과 수술 후 엑스레이 사진
30대 여성
(전) 2023-04-20 (후) 2023-07-03
두번째 환자분은 30대 초반의 여성분입니다. 충치검진을 위해 치과에 오신 분인데요.
수술 전 치아 상태를 먼저 보시면 왼쪽(사진상 오른쪽) 위 어금니가 많이 썩어있죠?
우식이 깊은 상태라 발치 후 임플란트를 제안해드렸고 다행히 이 환자분도 발치 당일 임플란트 식립이 가능해 바로 수술을 진행했습니다.
수술 2개월 후 잇몸뼈와 임플란트 픽스처가 잘 유착된 것으로 확인해 7월 초에 보철물까지 올려 마무리했습니다.

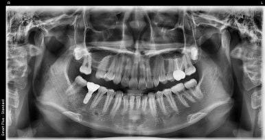
임플란트 수술 전
20대 여성
2022-09-12
마지막 환자분은 20대 초반의 여성분입니다.
타 치과에서 신경치료를 받고 있는데 잇몸이 너무 많이 붓고 통증이 있어 급하게 저희 치과로 내원해주셨습니다.
확인해보니 더이상 치아를 살리기 어려울 것으로 판단되어 발치 후 임플란트를 제안드렸는데요.
앞선 다른 환자분들 케이스와는 달리 염증이 많고 뼈의 양도 부족해 뼈이식을 먼저 해두고
2개월 후 다시 체크해 임플란트 수술 시기를 잡기로 계획을 세웠습니다.


임플란트 픽스처 식립 후와 보철물까지 올라가 완성된 상태의 사진
(좌) 2023-02-15 (우) 2023-05-13
환자분께서 바쁘셔서 올해 2월에 다시 내원을 해주셨고,
뼈가 잘 생성되어 바로 수술이 가능해 임플란트 픽스처를 식립하게 되었습니다.
수술 후 약 3개월이 지나고 뼈와 임플란트가 잘 유착되어 최종적으로 크라운까지 올려 마무리했습니다.
사례를 보시면 아시겠지만 주로 20~30대 젊은나이에 임플란트를 하시는 분들은
충치가 심해져서 임플란트까지 하게 되는 경우가 거의 대부분입니다.
‘지금 별로 아프지 않으니까 괜찮겠지’ 혹은 ‘치과가기 무서운데 괜찮아지겠지 뭐..’ 하면서
치료를 미루고, 또 정기검진을 소홀히 하게 되면 결국 소중한 자연치아를 발치하고 임플란트까지 해야합니다.
환자분께서 투자해야 하는 시간과 비용이 훨씬 커지게 되는 것은 말씀드리지 않아도 잘 아실거라 생각합니다.
젊다고 방심해서는 안되는 것이 바로 건강이죠. 치아도 마찬가지입니다.
아프기 전 꼭 검진 꾸준히 받으시고 만약 임플란트가 필요하다면
최대한 빠르게 해주시는 것이 장기적으로 환자분을 위해 좋다는 점 다시 한번 강조하고 싶습니다.
그럼 지금까지 디데이치과 오태훈 대표원장이었습니다. 글 읽어주셔서 감사드립니다.
| 젊은나이임플란트, 디데이치과에 맡기고 싶다면?디데이치과 네이버 예약 ✔ |
| 서울 디데이치과 진료 문의 |
|---|
| 대표전화 : 02-568-2877 (바로가기)네이버 톡톡 문의 (바로 가기) |
▲ 모바일에서 전화 버튼을 누르시면 병원으로 연결됩니다 ▲

| 본 게시물은 의료광고법 제56조 1항을 준수하여, 의료 정보 제공 및 병원 홍보를 목적으로 디데이치과의원에서 직접 작성하였습니다.다만, 블로그에서 제공해 드리는 정보는 참조용으로만 활용하시고, 정확한 개인의 증상 파악은 의료기관에 직접 내방하시어 의료진을 통해 확인하실 것을 권유 드립니다.치과에서 진행되는 모든 시술 및 수술은 개인에 따라 부작용 (염증, 출혈, 부기, 신경 손상 등) 가능성이 있습니다. 따라서 사전에 의료진과 충분한 상담을 통해 결정하시길 바랍니다.게시물의 치료 사진은 실제 본원에서 모든 치료 과정을 마친 환자분의 동의하에 촬영되었습니다. 전후 사진은 동일인이며, 동일 조건하에 촬영되었음을 밝힙니다. |