반갑습니다. 디데이치과 김무진 대표원장입니다.
충치치료, 임플란트 등 치아의 기능을 회복하고 살리는 치료에도 진심이지만
치아성형, 라미네이트와 같이 치아가 더 예쁘게 보이도록 하는 심미치료에 더더욱 진심인 현직 치과의사입니다.

하얗고 가지런한 치아는 사람의 인상을 깔끔하게 만들뿐만 아니라, 개인의 자신감까지 높여줄 수 있다고 생각합니다.
그래서 치아의 모양과 색상을 개선하는 심미치료를 통해 환자분들께서 자신감을 찾고 활짝 웃으시는 모습을 보는 것이 너무 뿌듯하더라구요 ^^
오늘 말씀드릴 주제 역시 치아의 모양을 획기적으로 개선할 수 있는 치아성형에 대한 내용입니다.
앞니의 모양이나 색상이 마음에 들지 않아 치아성형을 고민하고 계신 분들은
십중팔구 웃을 때 손으로 입을 가리거나 최대한 치아가 보이지 않도록 하려고 노력하는 모습을 볼 수 있습니다.

치아모양과 색상으로 인해 스스로 위축되고 자신감이 떨어지는 경우가 많죠.
이런 경우 치아 겉면의 에나멜(법랑질)만 간단하게 다듬어 모양을 고르게 만드는 법랑질성형(에나멜쉐이핑)으로는 부족해
라미네이트 혹은 크라운 치료를 통해 완전히 새로운 모양을 만들어드리고 있습니다.

아무래도 자연치아를 다듬어야 한다는 부담이 있지만 그만큼 가지런하고 예쁜 치아를 만들 수 있기 때문에
평소 스트레스를 많이 받고 계신다면 고려해볼 수 있는 치료방법입니다.
물론 전문의와의 충분한 상담을 통해 나에게 맞는 치료방법을 확인하고, 신중하게 생각한 후 결정하셔야겠죠.
그렇다면 치아성형을 할 때 어떤 경우에는 라미네이트, 어떤 경우에는 크라운이 적합할까요?

보통 치아삭제량이 많아지는 경우에는 라미네이트보다 크라운을 추천드리는데요.
삭제량이 많아지는 요인은 과거에 앞니를 레진 등으로 떼우는 치료를 하셨다거나,
앞니에 충치가 있는 경우, 치아 배열이 고르지 않은 경우 등이 있습니다.
이런 경우 과거에 치료했던 레진이나 충치를 제거하는 과정에서 치아를 삭제해야하는 양이 많아지고
삭제량이 많아지면 치아가 시릴 수 있기 때문에 치아 겉 표면에만 보철물을 부착하는 라미네이트 대신
치아를 완전히 둘러싸면서 감싸주는 크라운으로 치료해야 하는 것이죠.

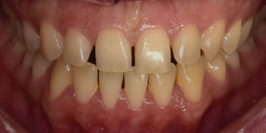
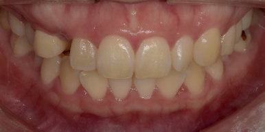
사진상 왼쪽 앞니는 다른 치아보다 앞으로 튀어나와있어 삭제량이 많을 수 있습니다.
2022-05-16
마찬가지로 치아 배열이 고르지 않은 경우 고르게 맞춰주는 과정에서 치아를 많이 다듬어야 하기 때문에
라미네이트보다는 크라운으로 치료하게 될 가능성이 높습니다.
다만, 앞니에 충치가 있거나 레진 등의 치료를 하셨거나, 배열이 고르지 않다고 해서
반드시 크라운으로 치료해야하는 것은 아니기 때문에 전문의와의 상담을 통해
어떤 치료가 환자분께 더 적합할지 검토해보시고 치료 여부를 결정하셔야 합니다.
이제 라미네이트, 크라운으로 앞니 모양과 색상을 획기적으로 개선한 사례를 보여드리도록 하겠습니다.


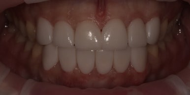
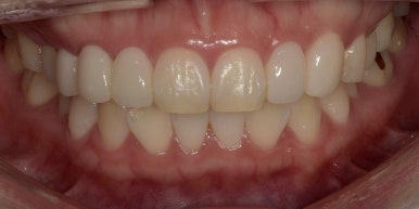
라미네이트 치료전후사진
(전) 2023-07-01 (후) 2023-07-17


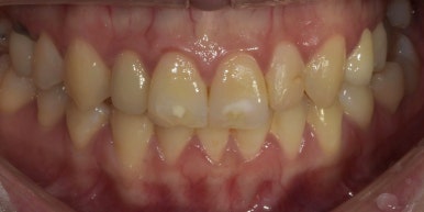
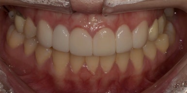
라미네이트 치료전후 사진
(전) 2023-06-23 (후) 2023-07-05


라미네이트 치료 전후 사진
(전) 2023-03-13 (후) 2023-04-27
라미네이트와 크라운을 함께 시술하는 경우도 있는데요.
혹시 이렇게 시술할 경우 혹시 라미네이트와 크라운이 차이가 나 보일까봐 걱정하실 수도 있을 것 같습니다.


라미네이트와 크라운을 함께 시술한 사례
(전) 2023-03-02 (후) 2023-04-14
환자분 사진을 보시면 위 앞니를 제외하고 사진상 왼쪽 치아는 크라운, 오른쪽 치아는 라미네이트입니다.
혹시 왼쪽과 오른쪽 치아에서 차이가 느껴지시나요?
요즘은 기술이 많이 좋아져서 보철물의 투명도가 높기 때문에
육안으로 봤을 때 라미네이트와 크라운이 큰 차이가 없어 이 부분은 걱정하지 않으셔도 좋습니다 ^^
이렇게 오늘은 치아 모양을 획기적으로 개선할 수 있는 치아성형 방법, 라미네이트와 크라운에 대해 설명드렸습니다.
요약해서 다시 한번 말씀드리면, 지금의 치아 모양과는 완전히 다른 모양을 원하신다면
라미네이트나 크라운 치료를 고려해볼 수 있습니다.
치아를 다듬는 과정에서 만약 삭제량이 많아지는 경우에는 라미네이트보다 크라운이 적합할 수 있고,
정확하게 어떤 치료가 필요한지는 의사의 의학적인 판단과 환자분의 선호에 따라 달라질 수 있어
치료 전 전문의와 충분히 상담해보고 치료 방법, 계획에 대해 결정하셔도 늦지 않습니다.
라미네이트 또는 크라운을 통한 치아성형은 장점과 단점이 명확한 치료이기에
사전에 충분히 설명을 듣고 신중하게 생각하신 후 장점이 단점을 상쇄할 수 있다고 판단될 때 시술을 하셔야 합니다.
무분별한 시술은 오히려 독이 될 수 있다는 점 한번 더 강조드리며, 이만 마치겠습니다.
그럼 지금까지 디데이치과 김무진 대표원장이었습니다. 감사합니다.
| 치아성형? 완전히 새로운 치아가 갖고싶다면디데이치과 네이버 예약 ✔ |
| 서울 디데이치과 진료 문의 |
|---|
| 대표전화 : 02-568-2877 (바로가기)네이버 톡톡 문의 (바로 가기) |
▲ 모바일에서 전화 버튼을 누르시면 병원으로 연결됩니다 ▲

| 본 게시물은 의료광고법 제56조 1항을 준수하여, 의료 정보 제공 및 병원 홍보를 목적으로 디데이치과의원에서 직접 작성하였습니다.다만, 블로그에서 제공해 드리는 정보는 참조용으로만 활용하시고, 정확한 개인의 증상 파악은 의료기관에 직접 내방하시어 의료진을 통해 확인하실 것을 권유 드립니다.치과에서 진행되는 모든 시술 및 수술은 개인에 따라 부작용 (염증, 출혈, 부기, 신경 손상 등) 가능성이 있습니다. 따라서 사전에 의료진과 충분한 상담을 통해 결정하시길 바랍니다.게시물의 치료 사진은 실제 본원에서 모든 치료 과정을 마친 환자분의 동의하에 촬영되었습니다. 전후 사진은 동일인이며, 동일 조건하에 촬영되었음을 밝힙니다. |