반갑습니다. 디데이치과 김무진 대표원장입니다.
아침저녁으로 제법 선선한 바람이 불고 있지만, 아직까지는 이번주 내내 불볕더위가 이어진다고 하니
여러분들도 이럴 때일수록 감기 조심하시고 요즘 부쩍 많아지는 코로나 역시 주의하셔서 건강관리 잘 하시기를 바랍니다.

아직 올해 스케일링을 진행하지 않으셨다면 연 1회 건강보험 적용이 가능한 스케일링도 받으시면서
전체적인 구강검진 함께 받아보시는 것도 현직 치과의사로서 강력하게 추천드립니다 ^^
오늘은 앞니의 삐뚤빼뚤한 배열이 마음에 들지 않아 교정과 라미네이트 중
어떤 방법으로 치료하는 것이 좋을지 고민하시는 분들을 위한 글을 준비해 보았습니다.


교정 vs 라미네이트
출처: 프리픽, 구글 이미지 검색
앞니가 나비치아(앞니의 한쪽 면이 바깥쪽을 향해 틀어진 치아)이거나, 치아 배열이 마음에 들지 않아
앞니 교정을 해야할지, 아니면 라미네이트로 치료할 수 있을지 고민하고 계신 분들이 많을텐데요.
사실 두 치료방법 모두 장단점이 있기 때문에 환자분에게 어떤 치료 방법이 적합할지 충분히 고민해보고 치료를 결정하셔야 합니다.
저희 디데이치과는 교정치료를 하지 않고 있으나, 앞니 부분에 있어 교정과 라미네이트의 장단점을 간단히 정리해 공유해드리고자 합니다.

우선 앞니 교정의 경우에는 자연치아를 삭제하지 않고 치아의 배열을 고르게 할 수 있다는 장점이 있습니다.
자연치아를 보존하면서 삐뚤빼뚤 틀어져있는 치아를 가지런하게 맞춰줄 수 있는 것이죠.
하지만 앞니만 교정한다 하더라도 사람에 따라 다르지만 6개월 이상의 시간이 걸리고,
만약 교정을 위한 공간이 부족한 경우에는 발치 가능성도 염두에 둬야 할 수 있습니다.

라미네이트의 경우에는 교정에 비해 치료 기간이 훨씬 단축되고(최소 1주일) 치아의 모양 자체를 바꿀 수 있다는 장점이 있습니다.
하지만 라미네이트를 위해서 자연치아를 삭제해야 한다는 부담감이 있고,
또 배열이 비뚤어져 있는 경우 치아 삭제량이 많아질 수 있어 이 부분을 염두에 두어야 합니다.
아울러 치아의 배열도 개선할 수 있지만 어느 정도 한계가 있어 치아가 심하게 틀어져있다면
라미네이트로 치료가 어려울 가능성도 있습니다.
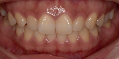
그럼 라미네이트를 통해 치아배열을 개선한 사례를 살펴볼까요?
교정 대신 라미네이트로 치아배열을 개선한 사례


앞니 라미네이트로 나비치아를 개선한 사례
(전) 2023-05-10 (후) 2023-06-28
환자분은 앞니 나비치아로 교정을 할지, 라미네이트를 할지 고민하시다가
교정을 하기에는 시간이 오래 걸리고 교정을 한다 하더라도 앞니 2개가 다른 치아보다 큰 편이라
교정 후에도 각 치아가 밸런스있게 맞춰지기 어려울 수 있다는 저의 진단 하에 라미네이트로 치료하게 되었습니다.
살짝 틀어져있던 앞니가 가지런하게 배열이 맞춰지니 훨씬 보기 좋죠?
교정 후에 라미네이트 치료를 할 수도 있나요?
교정을 마치고 치아 배열을 고르게 만든 후 라미네이트 시술을 하시는 분들도 있습니다.
교정 후 치아 배열은 고르게 되었으나, 치아 모양을 근본적으로 바꾸는 것이 아니기 때문에
치아 모양에 대한 만족도를 높이기 위해 라미네이트를 진행하시는 케이스도 있습니다.

이런 경우에는 교정을 통해 치아 배열이 가지런한 상태이기 때문에
치아를 비교적 적게 삭제하고도 라미네이트가 가능하다는 장점이 있습니다.
즉, 최소삭제 또는 무삭제 라미네이트가 가능할 수 있는 것이지요.
물론 치과 전문의가 육안 및 파노라마 엑스레이 데이터를 통해 파악한 치아의 구조, 모양 등에 따라 삭제량은 달라질 수 있지만
교정을 마치신 경우에는 그렇지 않은 경우보다 치아 삭제량이 적을 가능성이 높습니다.
오늘은 앞니의 배열을 개선하고 싶으신 분들을 위해 교정과 라미네이트의 장단점에 대해 말씀드렸습니다.
교정은 치아의 삭제 없이 앞니 배열을 획기적으로 개선할 수 있지만 기간이 오래 걸리고,
라미네이트는 단기간에 앞니의 모양을 바꾸면서 치아의 배열 또한 개선할 수 있지만,
치아 삭제 가능성이 있고 배열을 개선하는데는 한계점이 존재합니다.
따라서 치과 전문의와의 충분한 상담을 통해 환자분의 현재 치아와 잇몸 상태에 맞는 치료를 선택해주셔야 하고,
환자분 스스로도 원하는 우선순위를 명확하게 설정하셔야 만족스럽게 치료받으실 수 있습니다.
만약 삐뚤빼뚤한 앞니때문에 고민하고 계시다면 하나의 치료 방법에만 집중하지 마시고
여러 치과에 방문하셔서 해당 전문의와 충분한 상담을 통해 환자분의 만족도가 높을 것으로 예상되는 방법으로 치료를 결정하시기 바랍니다.
그럼 지금까지 디데이치과 김무진 대표원장이었습니다. 감사합니다.
< 교정없이 라미네이트로 치아배열과 모양을 개선한 케이스 >
| 삐뚤빼뚤한 치아, 상담 후 치료를 원한다면?디데이치과 네이버 예약 ✔ |
| 서울 디데이치과 진료 문의 |
|---|
| 대표전화 : 02-568-2877 (바로가기)네이버 톡톡 문의 (바로 가기) |
▲ 모바일에서 전화 버튼을 누르시면 병원으로 연결됩니다 ▲

| 본 게시물은 의료광고법 제56조 1항을 준수하여, 의료 정보 제공 및 병원 홍보를 목적으로 디데이치과의원에서 직접 작성하였습니다.다만, 블로그에서 제공해 드리는 정보는 참조용으로만 활용하시고, 정확한 개인의 증상 파악은 의료기관에 직접 내방하시어 의료진을 통해 확인하실 것을 권유 드립니다.치과에서 진행되는 모든 시술 및 수술은 개인에 따라 부작용 (염증, 출혈, 부기, 신경 손상 등) 가능성이 있습니다. 따라서 사전에 의료진과 충분한 상담을 통해 결정하시길 바랍니다.게시물의 치료 사진은 실제 본원에서 모든 치료 과정을 마친 환자분의 동의하에 촬영되었습니다. 전후 사진은 동일인이며, 동일 조건하에 촬영되었음을 밝힙니다. |