반갑습니다. 디데이치과 오태훈 대표원장입니다.
오늘이 음력으로는 7월 7일, 칠석날이라고 하네요. 견우와 직녀가 1년에 한번 오작교에서 만나는 날인 오늘.
저희 디데이치과에 직접 찾아오시거나, 혹은 블로그에 방문해주신 분들 또한
귀한 인연이 되리라 믿으며 오늘도 진료와 치과 정보 전달에 매진하고 있는 현직 치과의사입니다 ^^

오늘은 앞니임플란트와 상악동거상술을 동반한 임플란트 사례를 들어 알기 쉽게, 비용까지 확실히 설명드리려고 합니다.
저희가 선릉역 주변 치과이다보니 아무래도 인근 직장인 분들께서 많이 찾아주시는데요.
따라서 가장 궁금해하실 임플란트 치료기간과 비용을 사례와 함께 가감없이 설명드리려고 하니 5분만 집중해주세요!
출처: 구글 이미지 검색
아마 앞니임플란트가 필요하신 분들은 갑작스러운 앞니 상실로 인해 이루 말하기 어려운 상실감을 가지실 것이라 생각합니다.
남녀노소를 불문하고 앞니가 갑자기 없어진다면 입을 벌리거나 웃을 때 불편함은 물론,
앞니로 무언가를 베어먹기 어렵고 말을 할 때도 발음이 새고 부정확하기 때문에 빠르게 해당 치아를 수복해주는 것이 중요합니다.

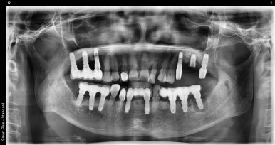
오른쪽 (실제로 왼쪽) 상악 앞니 임플란트 치료 전
2023-01-09
저희 디데이치과에서 치료를 받으신 환자분은 사진상 오른쪽(실제 왼쪽) 앞니 2개(#22, 23) 치아가 불편하신 상태였는데요.
잇몸뼈가 많이 내려앉아있고, 이대로는 더이상 치아를 사용하기 어려울 것으로 판단되어
발치 당일에 임플란트를 식립하면서 뼈이식까지 진행하고, 3개월 후 경과를 보고 보철까지 진행하는 스케줄로 계획해드렸습니다.
통상 상악 앞니같은 경우에는 뼈가 얇고 하악에 비해 무르기 때문에 임플란트 식립부터 보철까지
기간이 4~6개월 이상 걸린다고 생각해주시면 됩니다. 뼈이식이 추가될 경우 더 오래 걸릴 수 있고요.


오른쪽 위(실제로는 왼쪽) 앞니 임플란트 전후 비교
(전) 2023-01-09 (후) 2023-08-18
이 환자분 역시 최초 수술부터 임플란트 보철물 완전 부착까지 약 7개월 정도 소요되었습니다.
그동안 혹시 앞니없이 살아야되는거 아닌지 걱정되실 것 같은데요. 그건 걱정하지 않으셔도 됩니다.
오랜 기간동안 앞니가 없으면 불편한 점이 한 두가지가 아니기 때문에 앞니임플란트를 하게 되시면 저희가 임시치아를 만들어드립니다.
물론 말 그대로 임시로 쓰는 치아이기 때문에 무언가를 씹어먹거나 하는데는 불편한 점이 있습니다만
육안으로 보이기에 비어있는 공간이 없이 채워주는 느낌이라고 보시면 됩니다.

이런 앞니임플란트는 어금니임플란트와 동일한 비용을 책정하고 있는데요.
저희 디데이치과를 기준으로 개당 69~79만원정도의 비용이 발생하며, 오실 때마다 그 때 그 때 진료비용이 조금씩 나올 수 있습니다.
만약 뼈이식이 추가된다면 개당 비용은 30만원정도 추가됩니다.

상악동거상술을 동반한 임플란트 치료 전
2022-08-23
이번에는 상악동거상술을 동반한 임플란트에 대해 설명드리고자 환자분 사례를 보여드리겠습니다.
상악동거상술에 대해 함께 설명드리려면 글이 너무 길어질 것 같아 해당 내용을 자세하게 설명한 글의 링크를 남겨드리니 읽어보고 오시면 좋을 것 같습니다.
간단히 설명드리면 얼굴뼈 안쪽의 빈 공간을 만들고 있는 얇은 막을 들어올려 뼈이식을 통해
임플란트 픽스처가 식립될 기반을 만들어준 후 임플란트를 식립하는 수술을 상악동거상술을 동반한 임플란트라고 합니다.
만약 이를 고려하지 않고 픽스처를 식립하면 픽스처에 의해 해당 막에 구멍이 뚫리면서
숨을 쉴 때 공기가 새거나 코피가 나거나 염증이 생기는 등 부작용이 있기 때문에 진행되는 수술입니다.
계란 껍질 속 얇은 막을 들어올리는 만큼 굉장히 섬세하고 정교한 기술을 필요로 하기 때문에 난이도도 높고 어려운 수술 중 하나입니다.
만약 이 수술 후 임플란트를 식립해야 한다면 사람에 따라 다르지만 6개월정도는 생각해주셔야 합니다.


상악동거상술을 동반한 임플란트 치료 전후
(전) 2022-08-23 (후) 2023-07-25
이번 환자분의 경우 사진상 오른쪽(실제 왼쪽) 맨끝 어금니 2개를 임플란트로 치료하신 케이스인데요.
뼈이식 6개월 후에 뼈가 단단해지는지 지켜보고 임플란트를 식립하기로 했습니다. (지연식립)
최초 뼈이식을 22년 8월 말에 진행하셨고, 임플란트 수술은 23년 2월 말에 진행하셨으니 딱 6개월 후에 임플란트를 식립하게 되신 것이죠.
임플란트를 식립하고 4개월 후에 보철물(크라운)을 올리는 계획으로 진행했는데,
3개월 후 수치 측정 결과 아직은 뼈가 단단하게 굳지 않았다고 판단해 한달 더 기다린 후 7월에 보철물을 세팅하게 되었습니다.
최종적으로 거의 1년 정도 소요되었다고 보시면 될 것 같습니다.
만약 이렇게 임플란트+뼈이식+상악동거상술까지 동반하게 된다면 비용은
임플란트 개당 비용에 뼈이식 비용 30만원, 상악동거상술 비용 50100만원이 별도로 총 150200만원 정도 비용이 발생하게 됩니다.
그냥 임플란트도 비용 부담이 만만치않은데… 뼈이식 등 다른 수술이 필요할 경우 부가적인 비용도 많이 들죠?
조금이라도 비용을 줄이고, 치료 기간을 단축하기 위해서는 사전에 미리 검진해보시고
치료할 치아가 있다면 빠르게 치료하시는 것이 좋습니다.
너무나 뻔한 말일지 모르지만 오늘도 다시 한번 강조드리면서 마무리하도록 하겠습니다.
지금까지 긴 글 읽어주셔서 감사합니다. 디데이치과 오태훈 대표원장이었습니다!
| 임플란트, 디데이치과와 함께라면 두렵지 않습니다디데이치과 네이버 예약 ✔ |
| 서울 디데이치과 진료 문의 |
|---|
| 대표전화 : 02-568-2877 (바로가기)네이버 톡톡 문의 (바로 가기) |
▲ 모바일에서 전화 버튼을 누르시면 병원으로 연결됩니다 ▲

| 본 게시물은 의료광고법 제56조 1항을 준수하여, 의료 정보 제공 및 병원 홍보를 목적으로 디데이치과의원에서 직접 작성하였습니다.다만, 블로그에서 제공해 드리는 정보는 참조용으로만 활용하시고, 정확한 개인의 증상 파악은 의료기관에 직접 내방하시어 의료진을 통해 확인하실 것을 권유 드립니다.치과에서 진행되는 모든 시술 및 수술은 개인에 따라 부작용 (염증, 출혈, 부기, 신경 손상 등) 가능성이 있습니다. 따라서 사전에 의료진과 충분한 상담을 통해 결정하시길 바랍니다.게시물의 치료 사진은 실제 본원에서 모든 치료 과정을 마친 환자분의 동의하에 촬영되었습니다. 전후 사진은 동일인이며, 동일 조건하에 촬영되었음을 밝힙니다. |