안녕하세요. 디데이치과 오태훈 대표원장입니다.
환하게 웃었을 때 하얗고 가지런한 치아는 사람의 인상을 더 깔끔하고 깨끗하게 만들죠.
그래서 면접이나 웨딩촬영, 결혼식 등 중요한 행사를 앞두고 치아미백에 관심을 가지는 분들이 정말 많습니다.

저희 디데이치과가 특히 역삼동, 선릉역 인근 치아미백 맛집으로 소문이 난지라 ^^;;
환자분들께서 ‘미백치약도 효과가 있나요?’라는 문의를 정말 많이 주시는데요.
그래서 오늘은 미백치약효과에 대해서 이야기 나눠보고자 합니다.
보시는 분들을 위해 결론부터 말씀드리면 미백치약만 단독 사용으로 치아가 눈에 띄게 밝아지기는 어렵습니다.
미백치약은 치과에서 전문가의 감독 아래 치아미백 치료를 받으신 후
착색 방지와 치아의 색상을 유지하는데 도움을 주는 용도로 사용하시는 것이 더 적절하다고 생각합니다.

시중에 판매되고 있는 미백치약은 미백을 위한 주요 성분인 과산화수소가 3% 미만으로 함유되어 있는데요.
이는 치과에서 보편적으로 사용하는 전문가용 치아미백제의 과산화수소 농도보다 훨씬 낮은 수준입니다.
게다가 치약이 물이나 침과 닿으면 농도가 낮아져 치아가 밝아지는 효과를 나타내기가 더 어려워지겠죠?
물론 미백치약은 어느 정도의 효과를 인정받았기 때문에 시중에 ‘미백치약’이라는 이름으로 판매되는 것이지만
누가 봐도 눈에 띌 정도로 치아가 밝아지는 효과를 보기는 어렵다고 할 수 있습니다.


치과에서 전문가미백을 하고 있는 모습
(좌) 열감과 화상으로부터 잇몸을 보호하기위한 보호제를 도포한 모습
(우) 미백을 위해 광선을 조사하고 있는 모습
치과에서 전문의의 감독 아래 전문가용 치아미백을 진행할 경우
치석과 치태를 가볍게 제거한 후에 잇몸을 보호하기 위한 보호제를 도포하고,
이후에 고농도의 과산화수소가 포함된 치아미백제를 치아 표면에 골고루 도포한 다음 15~20분간 광선을 조사해 미백을 진행하게 됩니다.


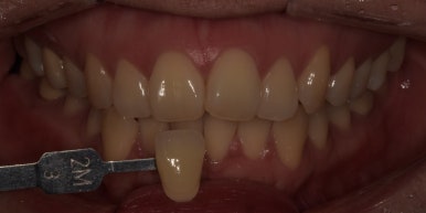
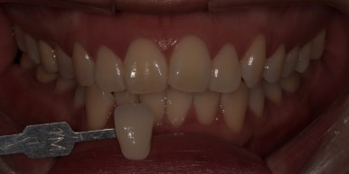
원데이 전문가 치아미백 전후비교
2023-05-25
저희 디데이치과에서 하고 있는 원데이 치아미백의 경우에는 이 과정을 3회 반복해 진행하게 되고요.
이렇게 해야 치아가 눈에 띄게 밝아졌구나하고 느끼실 수 있습니다. 사람에 따라 개인차는 있지만요.
우리가 미백치약을 이용해 양치질을 할 때는 하루에 23번, 한 번 할 때마다 약 23분 정도 지속하는데요.
치과에서 시행하는 치아미백 과정과 비교해보면
3% 미만의 과산화수소가 함유된 미백 치약으로 잠시 양치질을 한다고 해서 눈에 띄게 밝아지기는 어렵다는 것을 알 수 있습니다.

아마 지금 이 글을 보고 계시는 분들은 치아가 누렇게 변했거나, 원래 타고나기를 치아가 누런 빛이어서 고민하고 계실 것 같은데요.
우리 치아는 가장 바깥 층인 법랑질(에나멜)이 흰색에 가까운 빛을 띄고,
그 안쪽에 위치한 상아질은 약간 노란 빛을 띕니다. 이 상아질이 비춰보이면서 치아가 노랗게 보이는 것이죠.
사실 약간 노란 빛의 치아는 지극히 정상적인 치아입니다.
TV에 나오는 연예인들의 하얗고 고른 치아는 치아 표면에 보철물을 부착하는 라미네이트 또는 크라운 치료를 받은 경우가 많습니다.

치아미백을 주기적으로 하거나 오래 한다고 해서 연예인처럼 새하얀 치아를 만들기는 어렵고,
또 이런 결과를 기대하고 미백을 진행하신다면 실망하실 가능성이 큽니다.
따라서 치아가 변색되었거나 노란 빛을 띄는 부분때문에 고민이시라면
생활 속에서 착색되는 것을 예방하기 위해 음식을 섭취한 후 물로 가볍게 헹궈주시면서 관리해주시고,
이로 인해 정말 고민이 많이 되고 위축되신다면 치과에 방문하셔서 전문가미백을 받으시는 것을 추천드립니다.
이후 시중에 판매하는 미백치약을 통해서 꾸준히 관리해주시면 노란 치아에 대한 걱정을 조금은 덜어내실 수 있을 것이라 생각합니다.
다만, 원래 치아에 시린 증상을 많이 느끼시는 분들이나 입안에 상처가 잘 나시는 분들,
잇몸질환이 있으신 분들의 경우 미백 치약 사용에 유의하셔야 한다는 점 말씀드리면서 오늘 글 마치도록 하겠습니다.
오늘도 글 읽어주셔서 감사드립니다. 지금까지 디데이치과 오태훈 대표원장이었습니다.
< 치과치아미백에 대해 더 알고싶다면? >
| 치과치아미백, 전문가에게 확실하게 받고싶다면?디데이치과 네이버 예약 ✔ |
| 서울 디데이치과 진료 문의 |
|---|
| 대표전화 : 02-568-2877 (바로가기)네이버 톡톡 문의 (바로 가기) |
▲ 모바일에서 전화 버튼을 누르시면 병원으로 연결됩니다 ▲

| 본 게시물은 의료광고법 제56조 1항을 준수하여, 의료 정보 제공 및 병원 홍보를 목적으로 디데이치과의원에서 직접 작성하였습니다.다만, 블로그에서 제공해 드리는 정보는 참조용으로만 활용하시고, 정확한 개인의 증상 파악은 의료기관에 직접 내방하시어 의료진을 통해 확인하실 것을 권유 드립니다.치과에서 진행되는 모든 시술 및 수술은 개인에 따라 부작용 (염증, 출혈, 부기, 신경 손상 등) 가능성이 있습니다. 따라서 사전에 의료진과 충분한 상담을 통해 결정하시길 바랍니다.게시물의 치료 사진은 실제 본원에서 모든 치료 과정을 마친 환자분의 동의하에 촬영되었습니다. 전후 사진은 동일인이며, 동일 조건하에 촬영되었음을 밝힙니다. |