반갑습니다. 디데이치과 오태훈 대표원장입니다.
여러분, 요즘 필요한 물건 구입하거나 배달음식을 시켜먹을 때 후기 많이 찾아보시죠?
저 역시 마찬가지로 항상 다른 분들의 후기를 보고 구입을 결정하거나 음식을 배달시키곤 합니다.
특히 비용이 비싸거나 중요한 물건을 구입할 때는 평소보다 조금 더 후기를 찾아보는데 많은 노력을 들이곤 하는데요.
왜 사람들은 이런 행동을 통해 구매를 결정하는걸까요?
아마도 실패하고 싶지 않은 마음이 크기 때문에, 또 다른 사람의 의견을 듣고 참고하면 더 좋은 선택을 할 가능성이 높기 때문일겁니다.

저는 치아 치료 역시도 마찬가지라고 생각합니다.
특히 오늘 말씀드리고자 하는 라미네이트 같은 경우에는 보통 개당 40~60만원 정도 하는 고가의 시술이기도 하고,
앞니이기 때문에 눈에 잘 띄는 부분이라 심미적인 완성도와 환자분의 만족도가 그만큼 중요한 시술입니다.
따라서 라미네이트 치료를 고민하시는 분들을 위해 최신 라미네이트후기를 여러분께 공유,
선택의 폭을 넓혀드리기 위해 최신 치료사례들을 보여드리니 참고해주시면 좋을 것 같습니다.
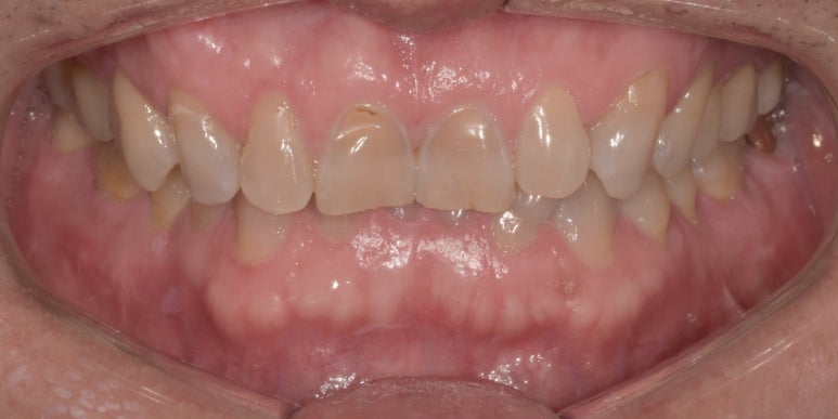
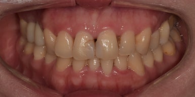
라미네이트후기 1. 변색되고 마모된 치아 라미네이트
내원해주신 환자분은 40대 남성분이셨는데요.

변색으로 라미네이트 치료를 원하신 환자분. 치료 전 모습
2023-08-05
보시면 앞니가 상당 부분 닳아있고, 치아의 변색도 꽤 진행되어 이 부분으로 인해 스트레스를 받고 계셨습니다.
출장이 잦은 직업이셔서 거래처와 커뮤니케이션할 일이 많은데,
변색된 치아로 인해 말하거나 입을 벌릴 때 조금 위축되는 것을 느껴서 라미네이트를 통해 해결하고 싶다고 하셨습니다.
라미네이트 치료를 위해 치과를 찾아보시면서
저희 디데이치과가 ‘다른 환자분들의 후기가 좋고 실제로 상담 시 설명도 차근히 알기 쉽게 잘 해주셔서’ 최종적으로 디데이치과에서 치료해야겠다 결심하셨다고 하네요 ^^
다시 한번 이 자리를 빌어 감사하다는 말씀 드리고 싶습니다.
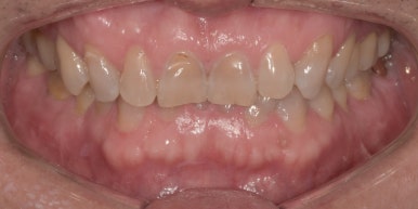
환자분께서는 우선 최대한 자연스러운 색상과 모양으로 진행하기를 원하셔서 맞춰드렸고,
전체적으로 치아 길이는 너무 길지 않게 하여 좀 더 영해보일 수 있도록 해드렸습니다.
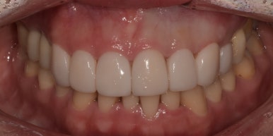
그럼 이제 최종 부착 후 모습을 보실까요?


라미네이트 치료 전후 사진
(전) 2023-08-05 (후) 2023-08-22
어떤가요? 치아 모양과 색상은 완전히 새롭게 개선되었지만 크게 이질감 없이 자연스럽게 치료가 완료되었습니다.
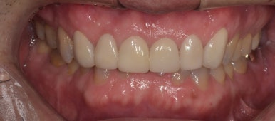
라미네이트후기 2. 앞니 레진 제거 후 라미네이트
환자분은 30대 여성분이신데요. 예전부터 치아가 가지런하지 않아서 컴플렉스였다고 하셨습니다.

라미네이트 치료 전 모습
2023-08-05
다만 환자분은 앞니 양쪽에 보시는 것처럼 레진 치료를 하신 적이 있으신데요.
이미 삭제가 되어있던 치아이기도 하고 충전물을 제거하는 과정에서 삭제량이 많아질 경우 크라운으로 치료해야 할 가능성에 대해서도 설명을 드렸습니다.
환자분께서는 최대한 가지런한 치아 모양을 원하셨고, 치아 길이는 짧게 제작을 희망하셨습니다.
치아 색상은 밝게 원하셔서 치아미백을 진행하고 난 후 라미네이트의 색상을 결정하기로 하고 치료를 시작했습니다.
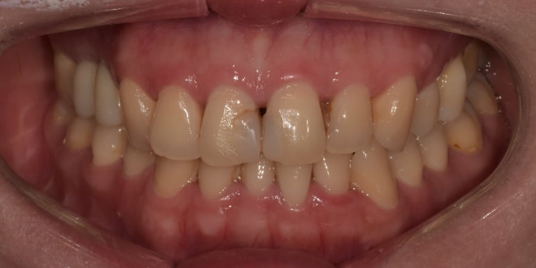
다행히 치아를 다듬는 과정에서 레진을 제거하고도 크라운까지는 하지 않아도 될 것이라 판단하여
라미네이트로 모두 치료할 수 있었습니다. 자연치아는 최대한 보존해서 쓰는 것이 좋으니까요 ^^
그럼 전후 모습을 한번 비교해서 볼까요?


라미네이트 치료 전후 사진 비교
(전) 2023-08-05 (후) 2023-08-21
치아의 모양, 색상이 확실하게 개선된 모습을 확인하실 수 있습니다.
색상은 환하지만 너무 이질적이지 않도록, 또 치아의 모양은 최대한 가지런하게 완성되었는데요.
환자분께서 라미네이트를 오랜 시간 고민하셨는데, 다행히 좋은 결과를 안겨드릴 수 있어서 저 역시 뿌듯했습니다.
이 밖에도 보여드리고 싶은 라미네이트사례가 정말 많은데, 그러면 글이 너무 길어질 것 같아
다음 기회에 라미네이트 전후사진만 모아서 간단한 코멘트와 함께 올려드리도록 하겠습니다.
오늘 이렇게 라미네이트후기, 사례를 전달드리면서 꼭 함께 드리고 싶은 말씀이 있습니다.
다른 사람들의 치료 후기를 참고하는 것은 물론 결정에 큰 도움이 되지만,
저 사람이 예쁘게 잘 되었다고 해서 나도 그렇게 되리라는 법은 없고, 저 사람이 마음에 들었다고 해서 나도 마음에 들리라는 보장은 없습니다.
따라서 오늘 보여드린 사례는 ‘이런 케이스도 이렇게 치료할 수 있구나’, ‘이런 모양과 배열도 만들 수 있구나’ 하고 참고로 봐주시고
환자분께 적합한 치료 방법과 치아의 모양 등은 치료를 담당해주실 전문의와의 대면 상담을 통해서 결정하셔도 늦지 않다고 말씀드리고 싶습니다.
인터넷으로 파악할 수 있는 정보에는 한계가 있고, 사진을 보내주셔도 평면적인 부분만 확인 가능하기 때문에
실제로 방문 후 상담을 통해 치료 가능여부와 개수 등이 결정된다는 점 참고 부탁드리겠습니다.
오늘도 글 읽어주셔서 감사드리며 지금까지 디데이치과 오태훈 대표원장이었습니다.
< 실제 라미네이트 환자 인터뷰가 궁금하다면? >
| 라미네이트, 믿고 맡길 수 있는 곳을 찾는다면?디데이치과 네이버 예약 ✔ |
| 서울 디데이치과 진료 문의 |
|---|
| 대표전화 : 02-568-2877 (바로가기)네이버 톡톡 문의 (바로 가기) |
▲ 모바일에서 전화 버튼을 누르시면 병원으로 연결됩니다 ▲

| 본 게시물은 의료광고법 제56조 1항을 준수하여, 의료 정보 제공 및 병원 홍보를 목적으로 디데이치과의원에서 직접 작성하였습니다.다만, 블로그에서 제공해 드리는 정보는 참조용으로만 활용하시고, 정확한 개인의 증상 파악은 의료기관에 직접 내방하시어 의료진을 통해 확인하실 것을 권유 드립니다.치과에서 진행되는 모든 시술 및 수술은 개인에 따라 부작용 (염증, 출혈, 부기, 신경 손상 등) 가능성이 있습니다. 따라서 사전에 의료진과 충분한 상담을 통해 결정하시길 바랍니다.게시물의 치료 사진은 실제 본원에서 모든 치료 과정을 마친 환자분의 동의하에 촬영되었습니다. 전후 사진은 동일인이며, 동일 조건하에 촬영되었음을 밝힙니다. |