“거울보다가 갑자기 잇몸에 혹같은 것이 생겼는데 이게 뭔가요?
누르면 살짝 아픈 것 같기도 하고 고름이 좀 나오는 것 같은데..
치과에 방문해야 하는건가요?
만약 문제가 되는거라면 어떻게 치료해야 하나요?”
반갑습니다. 디데이치과 오태훈 대표원장입니다.
아마 지금 이 글을 보고 계신 분이라면 갑자기 잇몸에 생긴 혹이나 고름 등으로 인해
깜짝 놀라서 이것의 정체가 뭔지, 치료를 받아야하는건지 궁금하셔서 검색 중이실 것이라 생각합니다.
결론부터 말씀드리면 잇몸에 혹이나 고름이 보이신다면 빨리 치과에 가셔서 검진 후 치료를 받으시는 것이 좋습니다.

잇몸에 혹이 나는 원인은 보통 2가지 정도로 분류되는데요.
잇몸에 문제가 있거나, 치아 뿌리 부분에 문제가 있는 경우입니다.
치태가 계속 쌓이고 단단해지면서 치석이 형성되어 잇몸에 염증을 일으키는 경우 이처럼 고름이 생길 수 있습니다.
만약 치아의 문제라면 조금 더 심각해지는데요.
치아 뿌리 끝 부분에 염증이 쌓여 고름 주머니가 형성되고, 그 고름이 잇몸뼈를 손상시키면서
밖으로 뚫고 나오면 잇몸의 혹이나 고름이 관찰되는 것입니다.


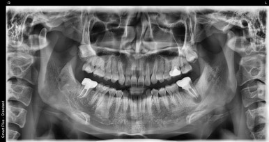
잇몸에혹으로 인해 내원해주신 환자분
치아 뿌리 끝 부분에 염증주머니가 생긴 것을 확인할 수 있습니다.
이런 치아 뿌리 끝 부분의 염증을 전문용어로 ‘치근단 농양’이라고 하는데요.
잇몸에 무언가 볼록 튀어나온 혹같은 것이 보이신다면 최대한 빨리 치과에 내원하셔서 치료를 해주셔야 합니다.

보통 치근단 농양이 생기면 압력과 가스로 인해 통증이 느껴질 수 있는데요, 통증이 없는 분들도 계십니다.
따라서 별거 아니라고 생각하고 그냥 지나가거나 대수롭지 않게 생각하실 수 있습니다.
하지만 이를 그대로 둔다면 치아 뿌리 끝에서 염증이 계속해서 퍼지는 것을 방치하는 것이고,
잇몸뼈의 손상 정도도 점점 심해지기 때문에 치과 치료가 필수적이라는 것을 꼭 기억해주세요.

신경치료 과정
그럼 치근단농양으로 인해 잇몸에 혹이 생긴 경우 어떻게 치료해야 할까요?
정답은 신경치료입니다. 왜 신경치료까지 해야하냐구요?
치아 뿌리 끝쪽에 염증이 생기는 경우는 충치가 심해지거나, 이전에 진행했던 신경치료가 충분하지 못했거나 하는
다양한 이유로 인해 신경이 괴사되면서 그 산물이 뿌리 끝에서 잇몸뼈쪽으로 나오는 경우인데요.
따라서 신경치료를 통해 신경을 완전히 제거해주고, 그 이후에 크라운을 씌워 수복해 치료를 해야합니다.
만약 이미 한번 신경치료를 한 치아에서 이런 문제가 생겼다면 재신경치료를 진행할 수 있지만,
예후가 좋지 않을 것으로 예상되거나 염증으로 인해 잇몸뼈 손상이 심한 경우라면 발치 후 임플란트가 필요할 수 있습니다.

신경치료나 재신경치료가 어렵다고 판단되는 경우 이 염증을 확실하게 제거하는 외과적인 수술을 진행할 수도 있는데요.
이는 치근단절제술(APICO)이라고 하며, 치아 뿌리 쪽 잇몸을 열어 문제의 원인인 치아 뿌리 끝 일부와 염증을 함께 절제하는 수술입니다.
치근단절제술이 외과적인 수술이라고 하니 왠지 엄청난 비용이 나올 것 같다고 걱정하시는 분들이 계실 것 같은데요.
다행히 치근단절제술은 건강보험이 적용되어 약 2~3만원 정도 비용만으로 치료가 가능합니다.
물론 그 날 다른 치료를 병행한다면 비용이 조금 다를 수 있겠지만,
건강보험이 적용되는 치료들은 나라에서 ‘이 치료는 비용이 얼마다’라고 정해준 것이기 때문에
큰 부담없이 치료가 가능하다고 알고 계시면 좋을 것 같습니다.
갑자기 잇몸에혹이생겨 당황했는데, 신경치료까지 해야하고,
염증이 계속되는 경우 발치 후 임플란트까지 해야한다니 무섭고 두려운 마음이 드실 것 같습니다.
우선 신경치료, 치근단절제술 등 다양한 방법으로 자연치아를 살려서 쓸 수 있을 때까지 써보다가
그래도 안되면 최후의 수단으로 해야 하는 것이 임플란트이기 때문에
너무 지레 겁먹지 마시고 얼른 치과에 내원하셔서 치료받으시길 바라겠습니다.
그럼 지금까지 긴 글 읽어주셔서 감사드립니다. 디데이치과 오태훈 대표원장이었습니다!
| 잇몸에 혹이 생겨 빠르게 치료하고 싶다면?디데이치과 네이버 예약 ✔ |
| 서울 디데이치과 진료 문의 |
|---|
| 대표전화 : 02-568-2877 (바로가기)네이버 톡톡 문의 (바로 가기) |
▲ 모바일에서 전화 버튼을 누르시면 병원으로 연결됩니다 ▲

| 본 게시물은 의료광고법 제56조 1항을 준수하여, 의료 정보 제공 및 병원 홍보를 목적으로 디데이치과의원에서 직접 작성하였습니다.다만, 블로그에서 제공해 드리는 정보는 참조용으로만 활용하시고, 정확한 개인의 증상 파악은 의료기관에 직접 내방하시어 의료진을 통해 확인하실 것을 권유 드립니다.치과에서 진행되는 모든 시술 및 수술은 개인에 따라 부작용 (염증, 출혈, 부기, 신경 손상 등) 가능성이 있습니다. 따라서 사전에 의료진과 충분한 상담을 통해 결정하시길 바랍니다.게시물의 치료 사진은 실제 본원에서 모든 치료 과정을 마친 환자분의 동의하에 촬영되었습니다. 전후 사진은 동일인이며, 동일 조건하에 촬영되었음을 밝힙니다. |