반갑습니다. 디데이치과 김무진 대표원장입니다.
아마 지금 이 글을 보고 계시다면 치아 모양이 마음에 들지 않거나
치아 끝 부분이 다른 치아와 밸런스가 맞지 않는 등 다양한 이유로
치아를 살짝만 갈아내 보기 좋게 만드는 ‘치아다듬기(법랑질성형, 에나멜쉐이핑)’ 치료에 관심을 갖고 계실 것 같습니다.
그냥 단순히 치아를 살짝 갈아내는 것이라 하니 간단하고 단순한 치료일거라 생각하시는 분들도 많을 것 같은데요.
심지어 약 2년 전에는 글로벌 SNS인 틱톡에서
손톱을 갈아내는 네일 파일을 이용해 셀프로 치아를 다듬는 챌린지가 유행하기도 했다고 하니
치과의사로서 정말 깜짝 놀랐고, 절대 하시면 안된다고 말씀드리고 싶습니다.

치아다듬기는 전문의의 진단 아래 정말 세밀하게 시술이 이루어져야 하는 시술이고 결코 간단한 시술이 아닙니다.
물론 치과에서 진행되는 다른 치료들보다 간단한 것은 사실이지만,
치아를 갈아내는 시술이고 한번 갈아낸 치아는 절대 회복되거나 재생되지 않기 때문에
신중하게 생각하고 진행해야 하는 시술임에 틀림없습니다.

치아다듬기에 대해 본격적으로 설명드리기 전 우선 치아의 구조에 대해 먼저 설명을 드려야할 것 같은데요.
우리 치아는 안쪽에 약간 노란빛을 띄는 상아질이 있고, 그 바깥쪽을 법랑질이라고 하는 흰 물질이 감싸고 있습니다.
상아질이 바깥으로 노출되거나 겉을 감싸고 있는 법랑질이 얇아지는 경우 치아가 시린 증상을 느낄 가능성이 큽니다.
그렇기 때문에 법랑질을 소량 다듬는 치아다듬기(법랑질성형)를 할 경우에는 주의가 필요하고요.
잘못해서 법랑질을 많이 갈아낼 경우에는 일단 회복이 되지 않을 뿐더러 상아질 안쪽에 있는 신경이 손상될 가능성도 있습니다.

따라서 치아 모양이 마음에 들지 않거나 끝 부분이 울퉁불퉁해 이를 다듬고 싶으시다면
반드시 치과로 오셔서 전문의의 진단 하에 안전하게 시술하시는 것이 좋습니다.
그렇다면 치과에서 전문의에게 시술하게 된다면 어떤 결과를 기대할 수 있을까요?


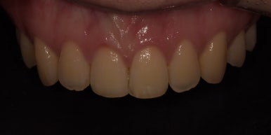
법랑질성형 치료 전후
앞니 끝이 살짝 깨진 부분을 법랑질성형을 통해 다듬은 모습
2023-05-23


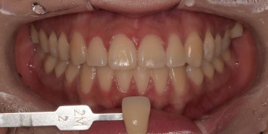
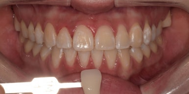
법랑질성형과 치아미백 전후
왼쪽(사진상 오른쪽) 송곳니가 다소 뾰족해 법랑질성형을 통해 매끄럽게 다듬은 모습
2023-08-03
보시는 바와 같이 치아 끝이 살짝 파절된 경우 살짝 다듬어 다른 치아와 비슷하게 만들 수 있고
치아 길이가 너무 길거나 너무 뾰족해서 신경쓰였다면 이를 개선해 밸런스를 맞춰줄 수 있습니다.
또한 아래 위 치아가 교합이 잘 맞지 않는다거나 하는 부분도 일부 개선할 수 있습니다.
드라마틱하게 치아 모양이 변하거나 누가 봐도 눈에 띌 정도로 개선되지는 않지만
울퉁불퉁한 치아 끝 부분, 너무 뾰족하거나 길이가 긴 치아를 다듬어 보다 나아지길 원하시는 분들은 고려해보셔도 좋습니다.

이런 법랑질성형은 치과를 방문한 당일에도 바로 진행이 가능하고, 마취가 필요없어 바로 일상생활이 가능한데요.
라미네이트나 크라운같은 보철치료보다 훨씬 저렴한 비용으로 어느 정도의 개선 효과를 볼 수 있다는 장점이 있습니다.
보통 라미네이트나 크라운이 개당 40~60만원정도의 비용이 드는 반면,
치아다듬기는 저희 디데이치과를 기준으로 개당 5만원 정도의 비용이 발생하기 때문에 훨씬 부담이 적다고 할 수 있죠.
어쨌든 법랑질성형은 자연치아를 갈아내는 치료이다보니 앞서 말씀드렸던 것처럼 쉽게 생각할 치료는 아닙니다.
자칫 잘못하면 치아가 시린 것에 민감해질 수 있기 때문인데요.
그럼에도 불구하고 비교적 간편하게 신경쓰였던 부분을 해소할 수 있는 치료이기 때문에
이로 인해 고민이 많으셨다면 고려해보셔도 좋을 것 같습니다.
물론, 모든 치료는 전문의와의 충분한 상담 하에 진행되어야 한다는 점 이제는 말씀드리지 않아도 잘 아시겠죠? ^^
오늘 전달드린 법랑질성형 관련 글을 읽으시고 혹시나 추가적인 문의사항이 있으시거나
저희 디데이치과에서 치료를 원하신다면 편하게 연락주시기 바랍니다.
그럼 지금까지 디데이치과 김무진 대표원장이었습니다. 감사합니다.
< 함께 읽어보면 좋은 글 >
| 소중한 내 치아, 디데이치과에 맡기고 싶다면?디데이치과 네이버 예약 ✔ |
| 서울 디데이치과 진료 문의 |
|---|
| 대표전화 : 02-568-2877 (바로가기)네이버 톡톡 문의 (바로 가기) |
▲ 모바일에서 전화 버튼을 누르시면 병원으로 연결됩니다 ▲

| 본 게시물은 의료광고법 제56조 1항을 준수하여, 의료 정보 제공 및 병원 홍보를 목적으로 디데이치과의원에서 직접 작성하였습니다.다만, 블로그에서 제공해 드리는 정보는 참조용으로만 활용하시고, 정확한 개인의 증상 파악은 의료기관에 직접 내방하시어 의료진을 통해 확인하실 것을 권유 드립니다.치과에서 진행되는 모든 시술 및 수술은 개인에 따라 부작용 (염증, 출혈, 부기, 신경 손상 등) 가능성이 있습니다. 따라서 사전에 의료진과 충분한 상담을 통해 결정하시길 바랍니다.게시물의 치료 사진은 실제 본원에서 모든 치료 과정을 마친 환자분의 동의하에 촬영되었습니다. 전후 사진은 동일인이며, 동일 조건하에 촬영되었음을 밝힙니다. |