반갑습니다. 디데이치과 김무진 대표원장입니다.
치과에서 하는 전문가 치아미백 비용은 얼마인지, 효과는 어떤지 궁금해서 검색 중이신가요?
그렇다면 저희 블로그에 정말 잘 오셨습니다.
강남구, 선릉역 치아미백맛집으로 소문난 디데이치과의 대표원장으로서
치과에서 진행되는 전문가미백의 비용과 효과, 그리고 환자분들께서 자주 문의하시는 질문에 대해 답변드리겠습니다.

누렇게 착색된 치아에서 탈출하고 싶다면 지금부터 딱 5분만 집중해서 글을 읽어주세요 ^^
시작하기에 앞서 제 입으로 저희 치과가 ‘치아미백맛집’이라고 말씀드리니 조금 부끄럽긴 한데요.

지난 2021년 4월부터 현재까지 약 2년 4개월 동안 1,000명 이상의 환자분들의 저희 치과에서 치아미백을 진행하셨고,
휴진일을 제외하면 하루에 2분 이상 꾸준히 미백을 위해 찾아와주셨으니
이 정도면 치아미백맛집이라고 자신있게 말씀드려도 되겠죠? ^^
그럼 여러분께서 가장 궁금해하실 치과미백비용에 대해 바로 말씀드리겠습니다.
각 치과마다 방법과 비용은 차이가 있겠지만,
저희 디데이치과는 하루에 3회를 모두 진행하는 원데이 치아미백으로 33만원의 비용을 책정하고 있습니다.
─
추가비용은 따로 없나요?
인터넷에 나와있는 비용을 보고 갔는데, 막상 가니 부가세나 기타 다른 비용이 추가되어
실제로는 더 큰 금액을 결제해야해 당황스러웠던 경험 한번 쯤은 있으실 것 같은데요.
저희 디데이치과의 원데이 치아미백비용은 이미 부가세가 포함된 금액으로 별도의 추가 비용이 발생하지 않습니다.

다만, 미백 과정에서 엑스레이 촬영과 부분적인 스케일링이 진행될 수 있는데
이 때는 건강보험이 적용되신다면 약 15,000원 내외의 비용만 발생하는 점 참고 부탁드립니다.
─
치아미백하는데 엑스레이는 왜 찍고
스케일링은 왜 하는건가요?
치과에서 사용하는 치아미백제는 자연치아에만 작용합니다.
즉, 레진이나 라미네이트, 크라운 등의 수복물에는 미백이 되지 않기 때문에
치료하신 부분이 있는지 명확하게 확인하기 위해 엑스레이 촬영을 권장드리고 있습니다.
또한 치석이나 치태가 있어도 미백이 고르게 되지 않는 것은 마찬가지이기 때문에
부분적인 스케일링을 진행하여 얼룩덜룩하지 않게, 고르게 미백이 될 수 있도록 하고 있습니다.
─
하루에 미백을 3번 하는거면
훨씬 더 효과가 좋은건가요?
미백의 효과는 개인마다 기대하는 정도가 다르기도 하고, 또 체감하는 정도도 다르기 때문에
‘정말 뛰어난 효과가 있습니다’라고 명확하게 말씀드리기는 어렵습니다.
하지만 저희 디데이치과는 하루에 15분씩 총 3회에 걸쳐 미백제를 도포하고 미백을 진행하기 때문에
아무래도 일주일에 1회씩 진행하는 미백보다는 조금 더 효과적인 측면이 있다고 말씀드리고 싶습니다.


치아미백 환자분들의 리뷰
보통은 치료를 받으시는 대부분의 환자분들이 한 두 톤 이상은 밝아지신다는 점은 참고해주시면 좋겠습니다.
물론, 다시 한번 말씀드리지만 효과는 개인차가 있고, 효과가 확실하다, 남들보다 뛰어나다는 것을 보장할 수는 없습니다.
─
하루에 미백을 3번 모두 진행해도
치아에 문제는 없나요?
만약 하루에 모두 미백을 진행해서 치아에 문제가 생긴다면 당연히 저희 역시 이런 방식을 선택하지 않았을 것입니다.
치아가 일시적으로 시리거나, 차가운 것 또는 산 성분이 함유된 음식에 민감해질 수는 있지만
치아의 건강적인 측면에서 해롭다거나 하지는 않기 때문에 이 점은 걱정하지 않으셔도 좋을 것 같습니다.
환자분들의 치아, 잇몸 건강은 무엇과도 타협할 수 없는 중요한 가치이기에 함부로 시술하지 않는다는 점 참고해주세요 ^^
─
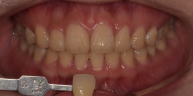
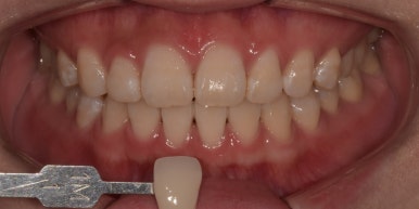
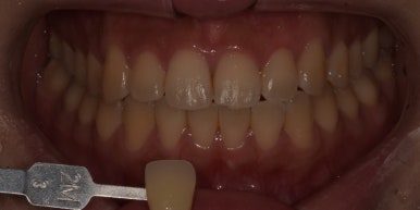
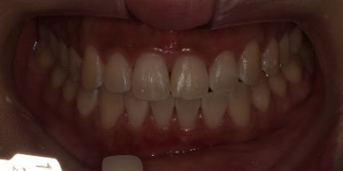
원데이 치아미백 전후사진
실제로 저희 디데이치과에서 원데이 치아미백 시술을 완료하신 환자분들의 몇 가지 케이스를 보여드리겠습니다.
백문이 불여일견이라는 말도 있듯이, 제가 말로 백번 설명드리는 것보다 실제 결과를 보시는게 훨씬 더 이해가 쉬우실 것 같습니다 ^^


원데이 치아미백 전후사진
2023-09-04


원데이 치아미백 전후사진
2023-08-03


원데이 치아미백 전후사진
2023-07-08


원데이 치아미백 전후사진
2023-05-25
어떤가요? 시술 전과 비교했을 때 많이 하얗고 깔끔해진 모습을 확인하실 수 있습니다 ^^
물론 드라마틱하게 하얘지지는 않지만, 환자분들께서 체감하실 수 있는 정도의 화이트닝은 가능하다고 말씀드릴 수 있을 것 같네요 :)
오늘은 치과미백비용, 그리고 효과와 함께 자주 묻는 질문에 대해 답변드려 보았습니다.
궁금증이 조금 풀리셨는지 모르겠네요 ^^
만약 오늘 글을 읽고 추가적인 문의사항이 있으시거나 치아미백 예약을 원하신다면
카카오톡, 네이버 톡톡 또는 하단 댓글로 언제든지 연락주시거나 네이버 예약을 통해서도 신청 가능합니다.
치아미백의 경우 원하시는 환자분들이 많아 예약이 많이 잡혀있는 관계로 원하시는 일정에 시술하시려면 미리 예약을 권장드립니다.
그럼 오늘도 글 읽어주셔서 감사드립니다. 지금까지 디데이치과 김무진 대표원장이었습니다!
| 치아미백, 빠르고 간편하게 예약하고 싶다면?디데이치과 네이버 예약 ✔ |
| 서울 디데이치과 진료 문의 |
|---|
| 대표전화 : 02-568-2877 (바로가기)네이버 톡톡 문의 (바로 가기) |
▲ 모바일에서 전화 버튼을 누르시면 병원으로 연결됩니다 ▲

| 본 게시물은 의료광고법 제56조 1항을 준수하여, 의료 정보 제공 및 병원 홍보를 목적으로 디데이치과의원에서 직접 작성하였습니다.다만, 블로그에서 제공해 드리는 정보는 참조용으로만 활용하시고, 정확한 개인의 증상 파악은 의료기관에 직접 내방하시어 의료진을 통해 확인하실 것을 권유 드립니다.치과에서 진행되는 모든 시술 및 수술은 개인에 따라 부작용 (염증, 출혈, 부기, 신경 손상 등) 가능성이 있습니다. 따라서 사전에 의료진과 충분한 상담을 통해 결정하시길 바랍니다.게시물의 치료 사진은 실제 본원에서 모든 치료 과정을 마친 환자분의 동의하에 촬영되었습니다. 전후 사진은 동일인이며, 동일 조건하에 촬영되었음을 밝힙니다. |