반갑습니다. 디데이치과 김무진 대표원장입니다.
저희 디데이치과가 강남구 역삼동, 선릉역 인근 ‘심미치료 잘하는 치과’로 입소문이 났는지
치아미백, 잇몸성형, 라미네이트와 같이 치아를 더 예뻐보이게 만드는 치료에 대한 문의와 예약이 정말 많습니다.

하루종일 환자분들을 치료해드리다보면 몸과 마음이 지칠 때도 있지만,
저희 디데이치과를 통해 치아 모양과 색상을 개선하신 후 환하게 미소지으며
“정말 감사해요 원장님. 진작에 시술할 걸 왜 고민했는지 모르겠어요. 앞으로 정말 자신있게 웃을 수 있을 것 같아요”라고 말씀해주실 때마다
치과의사가 되길 정말 잘했다고 생각하며 보람과 자부심을 느끼고 있습니다 ^^
지금 이 글을 보고 계신 분들이라면 아마 라미네이트 시술에 관심이 있으셔서
이미 시술하신 환자분들의 라미네이트전후사진이 궁금해 관련 정보를 찾아보고 계실 것 같습니다.
하지만 열심히 손품을 팔아도 쉽게 전후사진을 보기는 조금 어려우셨을수도 있는데요.
의료법상 시술의 전후사진을 누구나 볼 수 있게 게시하기 위해서는 까다로운 조건을 충족해야 하기 때문입니다.
사진을 수정 또는 보정하거나 촬영일자를 변경해서는 안 되기 때문에
지금부터 제가 보여드리는 라미네이트전후사진은 수정이나 보정되지 않은 있는 그대로의 사진이며
촬영일자 역시 말씀드리는 일자에서 전혀 변경사항이 없는 점 참고해주시면 감사하겠습니다.
그럼 지금부터 다양한 케이스별로 라미네이트전후사진을 공개하니 집중해서 봐주시고
궁금한 점이 있으시다면 언제든지 저희 디데이치과로 연락주시기 바랍니다.
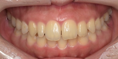
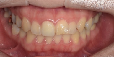
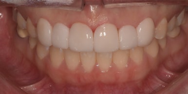
| 라미네이트 케이스 1. 작은치아(왜소치) 라미네이트 |


왜소치 라미네이트 전후사진
(전) 2023-08-25 (후) 2023-09-01
환자분은 #11, 21번 앞니 2개가 다른 치아에 비해 크고, 그 옆에 있는 #12번 치아는 다른 치아보다 작은 왜소치로
각 치아 크기의 밸런스가 맞지 않아 고르게 보이지 않는 점을 개선하고자 내원해주신 분입니다.
라미네이트는 총 6개를 진행하셨는데, 크기가 크고 길이가 긴 #11, 21 치아의 길이를 줄이면서 좀 더 심미적으로 보이도록 했고
상대적으로 작아보였던 #12 치아의 크기를 키우면서 #22 치아와 비슷한 크기로 만들어주었습니다.
송곳니라고 불리는 #13, 23 치아는 공간을 메워줄 수 있도록 제작하여
전체적인 스마일라인의 자연스러운 배열, 조화로운 치아 크기와 길이를 만들어주었습니다.
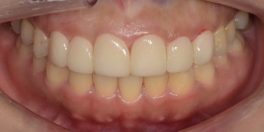
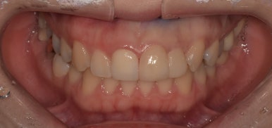
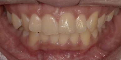
| 라미네이트 케이스 2. 반상치(반점치) 라미네이트 |


반상치 라미네이트 전후사진
(전) 2023-08-09 (후) 2023-09-07
치아에 흰색의 반점이 있는 반상치(반점치)를 개선하기 위해 라미네이트를 원하신 환자분입니다.
반상치는 치아미백으로 치료하기 어려워 레진 또는 라미네이트로 치료해야 하는데요.
레진의 경우 탈락과 변색에 취약해 라미네이트로 치료하시는 분들도 많습니다.
#21의 길이를 줄여 더 심미적으로 보이게 만들고, 반상치를 해소함과 동시에
다른 치아의 사이즈를 크게 키워 전체적으로 조화를 이루도록 만들었습니다.
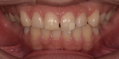
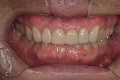
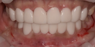
| 라미네이트 케이스 3. 편측 라미네이트 |
윗니를 정 가운데를 기준으로 나눈다면, 한쪽 편만 라미네이트를 진행하는 케이스도 있습니다.
편측으로 라미네이트를 진행할 경우 반대편과 색상, 모양을 동일하게 맞추기는 어려운데요.
만약 편측 라미네이트를 생각하고 계신다면 이 점을 반드시 알고 계셔야 합니다.


편측 라미네이트 전후사진
(전) 2023-08-16 (후) 2023-08-24
이 환자분은 #21 치아의 틀어짐을 개선하고 #22 치아의 사이즈를 키우는 것을 주 목적으로 내원하신 환자분인데요.
#11 치아는 크라운 치료하신 상태라 #21, 22 치아만 라미네이트를 한다면 양쪽 대칭이 맞지 않을 수 있지만 감안하고 진행하신 케이스입니다.
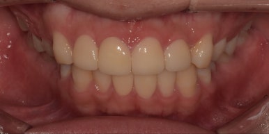
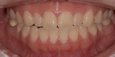
이제부터는 6개 혹은 그 이상 라미네이트를 진행해 입을 벌리거나 웃었을 때 보이는 치아를 개선하신 케이스를 빠르게 소개해드리겠습니다.
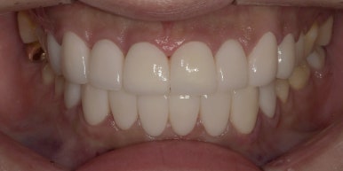
| 라미네이트 케이스: 6전치 이상 라미네이트 |


라미네이트 전후사진
(전) 2023-08-05 (후) 2023-08-22


라미네이트 전후사진
(전) 2023-08-05 (후) 2023-08-21


라미네이트 전후사진
(전) 2023-08-04 (후) 2023-08-18


라미네이트 전후사진
(전) 2023-07-13 (후) 2023-08-17


라미네이트 전후사진
(전) 2023-07-19 (후) 2023-07-28
어떠신가요? 정말 확연하게 달라지지 않았나요?
궁금해하실 라미네이트 비용은 저희 디데이치과 기준으로 치아 삭제량과 상관없이 개당 40~45만원입니다. (부가세 10% 별도)
부담스러울 수 있는 금액이지만 치아 컴플렉스 해소를 원하는 분들께서는 충분히 투자할 수 있는 비용이라고 하시더라구요 ^^
환자분들도 하나같이 ‘오랫동안 망설였는데 이렇게 개선될 줄 알았다면 진작 할 걸…’ 하며
감사의 인사를 해주시니 저 역시 정말 뿌듯하고 기뻤습니다.
치아 모양과 색상이 마음에 들지 않아 라미네이트 치료를 고민하고 계시다면 오늘 보여드린 전후사진을 참고해주시고
혹시 궁금한 점이 있으시다면 언제든지 편하게 문의주시기 바랍니다.
물론, 제가 환자분의 치아 상태를 실제로 봐야만 치아는 얼마나 삭제해야할지, 또 몇 개 정도 하는 것이 좋은지 등
디테일한 상담이 가능하기 때문에 가급적이면 비대면보다는 직접 오셔서 상담해보신 후 시술 여부를 결정하실 것을 권유드립니다.
오늘도 긴 글 읽어주셔서 감사합니다. 지금까지 디데이치과 김무진 대표원장이었습니다.
< 함께 읽어보면 좋은 글 >
| 라미네이트, 믿고 맡길 수 있는 곳을 찾는다면?디데이치과 네이버 예약 ✔ |
| 서울 디데이치과 진료 문의 |
|---|
| 대표전화 : 02-568-2877 (바로가기)네이버 톡톡 문의 (바로 가기) |
▲ 모바일에서 전화 버튼을 누르시면 병원으로 연결됩니다 ▲

| 본 게시물은 의료광고법 제56조 1항을 준수하여, 의료 정보 제공 및 병원 홍보를 목적으로 디데이치과의원에서 직접 작성하였습니다.다만, 블로그에서 제공해 드리는 정보는 참조용으로만 활용하시고, 정확한 개인의 증상 파악은 의료기관에 직접 내방하시어 의료진을 통해 확인하실 것을 권유 드립니다.치과에서 진행되는 모든 시술 및 수술은 개인에 따라 부작용 (염증, 출혈, 부기, 신경 손상 등) 가능성이 있습니다. 따라서 사전에 의료진과 충분한 상담을 통해 결정하시길 바랍니다.게시물의 치료 사진은 실제 본원에서 모든 치료 과정을 마친 환자분의 동의하에 촬영되었습니다. 전후 사진은 동일인이며, 동일 조건하에 촬영되었음을 밝힙니다. |