| 다른 치아보다 유난히 특정 치아만 작아 밸런스가 맞지 않는 점이 고민이셔서작은치아라미네이트 치료를 위해 관련 정보를 찾아보고 계신가요?그렇다면 저희 블로그에 잘 오셨다고 말씀드리고 싶습니다.어디서도 찾아보기 어려운 최신 치료사례와 함께 치료과정, 삭제량 등 모든 정보를 가감없이 전달드리도록 하겠습니다. |
반갑습니다. 디데이치과 김무진 대표원장입니다.
보건복지부인증 통합치의학과 전문의이기 때문에 충치치료, 치주치료, 임플란트뿐만 아니라
치아미백, 잇몸성형, 라미네이트와 같은 심미성이 중요한 치료까지
전 영역에 걸쳐 다양한 환자분들을 치료해드리고 있는 현직 치과의사입니다.

환하고 고르고 가지런한 치아는 사람의 인상을 더 깔끔하고 긍정적으로 만들기도 하는데요.
생각보다 치아의 사이즈가 조화롭게 잘 어우러지는 것 또한 치아가 고르게 보이는데 중요한 영향을 미칩니다.
이상적인 치아의 비율
치아가 예쁘지는 않지만, 이런 비율이 이상적이라는 점만 참고해주세요 ^^;;
출처: 구글 이미지 검색
위 사진은 앞에서 봤을 때 치아가 가장 예뻐보일 수 있는 황금비율을 보여주는데요.
앞니를 기준으로 양쪽 치아가 1.618:1:0.618의 비율을 이루었을 때 가장 고르고 예뻐보인다고 합니다.
그런데 특히 한 두개의 치아가 다른 치아보다 많이 작다면 비율상 심미성이 떨어질 수 있겠지요.
물론 굉장히 교과서적인 수치이기 때문에 너무 이 수치에 집중할 필요는 없고, 이런 비율이 있다는 것 정도만 알아두시면 좋을 것 같습니다.
치아의 넓이 뿐만 아니라 길이도 예뻐보이는 치아를 만드는데 중요한 요소 중 하나인데요.
치아가 너무 길면 실제보다 조금 더 나이가 들어보일 수 있고, 너무 짧으면 어린이같아 보일 수 있습니다.




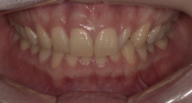
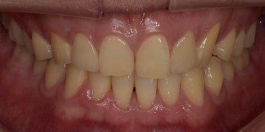
다양한 왜소치 사례
실제 디데이치과를 찾아주신 환자분들의 치료 전 모습입니다.
지금 이 글을 보고 계신 분들은 다른 치아보다 다소 짧고 작은치아(왜소치)로 인해
각 치아간의 균형이 맞지 않는 느낌이 들어 고민이실텐데요.
이런 왜소치의 경우에는 주로 라미네이트를 통해 치아의 폭과 길이를 함께 개선할 수 있습니다.
그리고 왜소치는 다른 치아보다 작기 때문에 치아 삭제가 거의 없이 라미네이트를 할 수 있다는 장점이 있습니다.
물론 사람의 치아 상태에 따라서 다르기는 하지만요 ^^

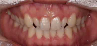
왜소치 사례
실제 디데이치과를 찾아주신 환자분들의 치료 전 모습입니다.
보시다시피 왜소치는 주로 상악 측절치에 많이 나타나는데요.
따라서 왜소치를 커버하기 위해 해당 치아에만 라미네이트를 진행하시는 것도 가능하지만
그렇게 되면 치아 사이즈를 키우기 위한 공간이 부족할 수 있는 부분도 감안해주셔야 합니다.
그러면 작은치아라미네이트를 진행하신 각각의 사례를 볼까요?
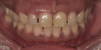
| 작은치아(왜소치) 라미네이트 - 왜소치만 커버 |
우선 부분적으로 왜소치만 라미네이트를 진행하신 환자분의 케이스입니다.
다른 자연치아와 조화롭게 라미네이트를 제작해야 이질감이 적고 심미적으로도 보기 좋은 치아를 만들 수 있는데요.


왜소치 라미네이트 사례
(전) 2023-03-23 (후) 2023-03-30
환자분의 경우 #12, #22번 왜소치만 라미네이트를 진행하셨음에도 불구하고
최종 부착한 후 다른 치아와 색상이나 모양, 길이 등의 이질감이 없이 자연스럽게 밸런스가 맞는 것을 확인하실 수 있습니다.
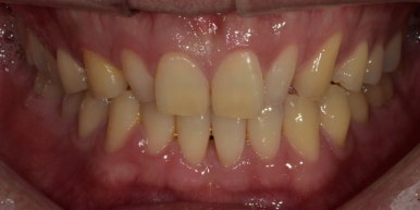
| 작은치아(왜소치) 라미네이트 - 앞니 전체적으로 균형 맞추기 |
이번에는 앞니 6개 전체적으로 라미네이트를 진행하신 케이스인데요.


왜소치 라미네이트 사례
(전) 2023-08-25 (후) 2023-09-01
환자분은 특히 #12 치아가 작은 편이어서 이 부분을 커버하고 6개 치아의 사이즈를 조화롭게 맞추는 것에 초점을 맞췄습니다.
치료 전 상태에서 #12, 22의 사이즈를 키우기 위해서는 인접해있는 다른 치아의 삭제량이 많아져 신경치료 후 크라운이 필요할 수 있는데요.
다행히 신경치료까지 진행하지 않고 자연치아를 최대한 살린 상태에서 라미네이트를 통해
6개 치아가 예쁘고 가지런해보일 수 있도록 개선이 완료되었습니다.
전과 비교해서 보면 정말 확연하게 차이가 나는 것이 보이실 것이라 생각합니다.
제가 치과의사가 되고 정말 많은 환자분들을 치료해드리다보니 생각보다 정말 많은 분들이
치아의 모양이나 색상 등으로 고민을 하고 계시다는 것을 몸소 깨닫게 되었습니다.
그리고 제가 배운 학문과 저의 의사면허가 한 사람의 평생 콤플렉스를 고쳐줄 수도,
그로 인해 한 사람의 삶의 질이 높아질 수 있다는 것도 배워가고 있습니다.
누군가의 인생에 긍정적인 영향을 준다는 점이 이 직업의 가장 큰 장점이자 치과의사로서 보람을 느끼는 포인트인데요.
오늘 이 글을 보시고 디데이치과와 함께 ‘평생의 콤플렉스를 해소할 수 있는 기회’를 만들고 싶다고 생각되신다면 주저하지 마시고 연락주시기 바랍니다.
저와 오태훈 원장님, 그리고 저희 디데이치과 의료진들은 환자 한 분 한 분의 삶까지 케어한다는 생각으로
최대한 환자분께 긍정적인 영향을 줄 수 있는 치료만을 해드릴 것을 약속드립니다.
그럼 지금까지 디데이치과 김무진 대표원장이었습니다. 감사합니다!
< 라미네이트 치료비용이 궁금하다면? >
| 라미네이트, 믿고 맡길 수 있는 곳을 찾는다면?디데이치과 네이버 예약 ✔ |
| 서울 디데이치과 진료 문의 |
|---|
| 대표전화 : 02-568-2877 (바로가기)네이버 톡톡 문의 (바로 가기) |
▲ 모바일에서 전화 버튼을 누르시면 병원으로 연결됩니다 ▲

| 본 게시물은 의료광고법 제56조 1항을 준수하여, 의료 정보 제공 및 병원 홍보를 목적으로 디데이치과의원에서 직접 작성하였습니다.다만, 블로그에서 제공해 드리는 정보는 참조용으로만 활용하시고, 정확한 개인의 증상 파악은 의료기관에 직접 내방하시어 의료진을 통해 확인하실 것을 권유 드립니다.치과에서 진행되는 모든 시술 및 수술은 개인에 따라 부작용 (염증, 출혈, 부기, 신경 손상 등) 가능성이 있습니다. 따라서 사전에 의료진과 충분한 상담을 통해 결정하시길 바랍니다.게시물의 치료 사진은 실제 본원에서 모든 치료 과정을 마친 환자분의 동의하에 촬영되었습니다. 전후 사진은 동일인이며, 동일 조건하에 촬영되었음을 밝힙니다. |