“앞니가 비뚤어져서 정말 10년 이상 라미네이트를 할지 말지 고민했어요…
하지만 디데이치과에서 라미네이트를 마친 지금 만족도는 100%, 아니 200%입니다.
진작할 걸.. 왜 그렇게 오래 고민했는지 모르겠어요”
안녕하세요. 디데이치과 김무진 대표원장입니다.
지난번에 저희 디데이치과에서 라미네이트 치료를 받으신 일본인 환자분의 진심인터뷰를 여러분께 전해드린 적이 있었는데요.
최근에도 성공적으로 라미네이트 시술을 마치신 환자분과 인터뷰를 진행해 여러분께 들려드리고자 합니다.
라미네이트 시술을 고려하고 계신 분들께서 정말 듣고싶어 하는 목소리가 바로 시술을 마치신 분들의 진심어린 목소리라는 것을 깨닫고
이를 가감없이 전달드리니 라미네이트 시술을 고민하고 계시다면 5분만 집중해 읽어주세요.
어떤 부분이 만족스러운지, 왜 디데이치과를 선택했는지, 불편한 부분은 없는지 등 핵심적인 사항을 파악하실 수 있을 것이라 생각합니다.
먼저 환자분의 시술 전후 사진을 보여드리니, 사진을 참고하시면 더 도움이 되실 것입니다 ^^
![[진심인터뷰] 1n년 고민한 라미네이트, 디데이치과에서 만족도 200%인 이유? ① 관련 이미지 1](https://pub-9f2bb3498faf4d1d8714b41df24753e3.r2.dev/content/clinics/archive/6iramdrn2c/naver_blog/ddaydent_1/assets/by_hash/848eb4a893dc56182910249a7f584a8f5fe3d47ded35d5027082eec181243b7f.jpg)
![[진심인터뷰] 1n년 고민한 라미네이트, 디데이치과에서 만족도 200%인 이유? ① 관련 이미지 2](https://pub-9f2bb3498faf4d1d8714b41df24753e3.r2.dev/content/clinics/archive/6iramdrn2c/naver_blog/ddaydent_1/assets/by_hash/32c95a48783ad434ea94b75993ca7f7be0358ae4a9a984682adf7a17d9894f06.jpg)
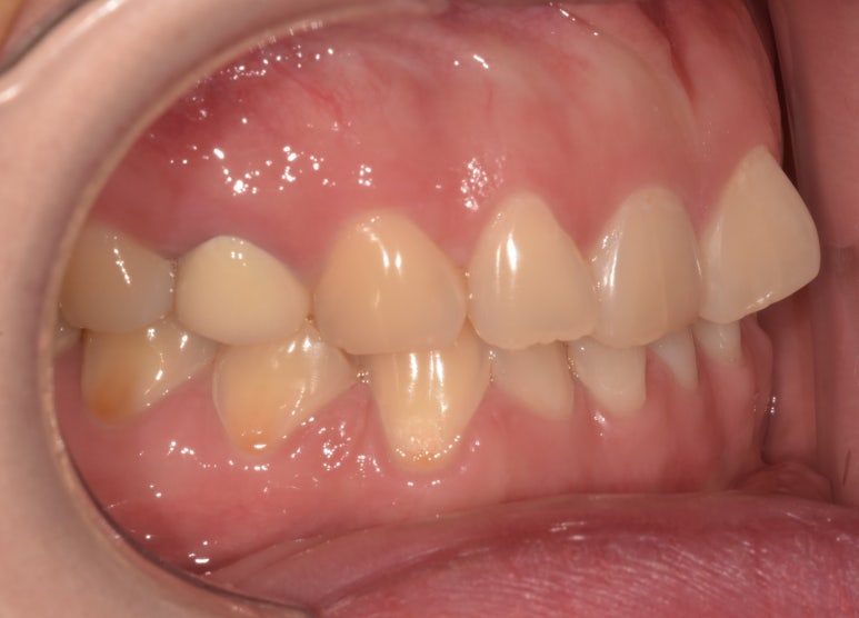
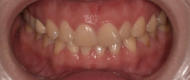
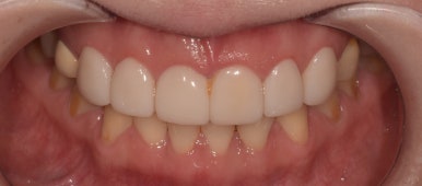
라미네이트 치료 전후 모습
(전) 2023-08-01 (후) 2023-09-13
![[진심인터뷰] 1n년 고민한 라미네이트, 디데이치과에서 만족도 200%인 이유? ① 관련 이미지 3](https://pub-9f2bb3498faf4d1d8714b41df24753e3.r2.dev/content/clinics/archive/6iramdrn2c/naver_blog/ddaydent_1/assets/by_hash/e40d52abcdba19d7c00df9b14545a705e0df70b95aeab2c96d20317cf50759fd.jpg)
라미네이트 치료 전 #21 치아가 비뚤어져 돌출되어 있는 모습
2023-08-01
Q) 라미네이트를 어느정도 고민하다 결정하신건가요?
![[진심인터뷰] 1n년 고민한 라미네이트, 디데이치과에서 만족도 200%인 이유? ① 관련 이미지 4](https://pub-9f2bb3498faf4d1d8714b41df24753e3.r2.dev/content/clinics/archive/6iramdrn2c/naver_blog/ddaydent_1/assets/by_hash/dd21bd630596c0d95f1c64b4ce05346166d8007ac8ee358cb4c7580dbd9ffa78.jpg)
A) 저는 아주 오래 전부터 앞니 한 쪽이 비뚤어진 것 때문에 컴플렉스여서 거의 10년 이상은 라미네이트 시술을 고민했습니다.
그 당시에는 너무 치아삭제량도 많아 할지 말지 고민을 했었는데 좀 더 대중화가 되고 기술이 좋아진다면 자연스럽게 삭제량도 적어질거라 예상했어요. 비용도 내려가지 않을까 기대했던 것도 있고요 ^^
사실 치아교정을 하는게 어떠냐는 주변 조언도 있었는데, 교정은 시간도 너무 오래 걸리고 유지장치를 착용해야 한다는 점이 번거롭게 느껴지더라구요.
그래서 더 빠른 시간 내에 치아를 완전히 변화시킬 수 있는 라미네이트가 더 메리트있게 다가왔어요.
![[진심인터뷰] 1n년 고민한 라미네이트, 디데이치과에서 만족도 200%인 이유? ① 관련 이미지 5](https://pub-9f2bb3498faf4d1d8714b41df24753e3.r2.dev/content/clinics/archive/6iramdrn2c/naver_blog/ddaydent_1/assets/by_hash/1c89a7cb51d72a229f9d6a280f742db72b6777641fddcf30e941dd413131f01e.jpg)
환자분께서 인터뷰 하고 계시는 모습
Q) 8월 초에 상담을 받으시고 2~3주 고민하시다가 시술 원하신다고 연락을 주셨는데 혹시 이유가 있으신가요?
A) 원장님과 상담을 진행하는데 제 치아 한 쪽이 비뚤어진 것 때문에 치아 삭제량이 많을 수도 있는데 괜찮냐고, 충분히 고민해보고 결정하라고 말씀을 해주셨어요.
그 점을 예상하지 못한건 아니었지만 그래도 원장님께서 그렇게 말씀을 해주시니 좀 더 신중하게 생각하게 되더라구요.
고민 끝에 치아삭제는 감수하더라도 평생 고민이었던 부분을 해결하자 싶은 마음에 최종적으로 시술을 결심하게 되었습니다.
![[진심인터뷰] 1n년 고민한 라미네이트, 디데이치과에서 만족도 200%인 이유? ① 관련 이미지 6](https://pub-9f2bb3498faf4d1d8714b41df24753e3.r2.dev/content/clinics/archive/6iramdrn2c/naver_blog/ddaydent_1/assets/by_hash/7c1390eb2a05e33bae69828df2b0a3ea0f986a5339eaa550c3dddeed7ef614dd.jpg)
Q) 아마 저희뿐만 아니라 다른 여러 치과들 다녀보고 상담해보셨을 것 같은데 왜 저희 디데이치과에서 라미네이트 시술을 결심하셨나요?
A) 물론 다른 유명하다는 치과도 여러 군데 가봤고, 상담할 때 말씀하신 내용은 거의 비슷했습니다.
하지만 디데이치과는 상담할 때 분위기도 너무 좋았고, 치료를 강요하거나 밀어붙이는 스타일이 아니었습니다.
치아 삭제량이 많을 것 같은데 정말 괜찮은지 심사숙고할 수 있도록 도와주셨고, 또 잇몸성형은 굳이 안해도 된다고 해주시는 등 솔직담백하게 말씀해주시는 것이 너무 마음에 들었습니다.
또한 다른 곳에 비해 비용적인 부분도 상당히 메리트가 있어서 최종적으로 디데이치과를 선택하게 되었습니다.
![[진심인터뷰] 1n년 고민한 라미네이트, 디데이치과에서 만족도 200%인 이유? ① 관련 이미지 7](https://pub-9f2bb3498faf4d1d8714b41df24753e3.r2.dev/content/clinics/archive/6iramdrn2c/naver_blog/ddaydent_1/assets/by_hash/35998ae057a84ec1f1c1dc4eec3a0287e1978c3f06f4cfdc264578ff64fd34e0.jpg)
Q) 그렇다면 최종적으로 치료가 마무리 된 지금의 만족도는 어떠신가요?
A) 정말 100점 만점에 100점, 아니 200점을 주고 싶어요.
라미네이트 하기 전에는 웃을 때도 손으로 입을 가리고 웃고, 윗니가 보이지 않게 하기 위해서 입술쪽에 항상 힘을 주다보니 안면근육도 이상하게 망가지는 것 같은 느낌이었어요.
그리고 비뚤어진 치아가 입술에 닿는 느낌을 항상 의식하고 있었는데, 라미네이트 후에는 전혀 그런게 없어 매끄럽고 걸리는 부분이 없다는 점이 너무 행복해요. 또 어떤 것도 의식하지 않고 환하게, 자신있게 웃을 수 있다는게 너무 좋구요.
왜 지난 10여년을 고민했는지 모르겠다고 생각할 정도로 너무 만족도가 높습니다!
사실 자연치아를 깎는 것이기 때문에 누군가에게 쉽게 권유드릴 수는 없지만, 그래도 저는 라미네이트 한 것을 후회하지 않고 너무 만족한다고 말씀드리고 싶어요 ^^
항상 환자분의 입을 통해 왜 저희 디데이를 선택하셨는지, 얼마나 만족하셨는지 듣게 되면
너무 뿌듯하고 기쁘다는 생각이 들기도 하지만 한편으론 왠지 낯간지럽고 부끄럽기도 합니다 ^^;;
굉장히 긴 시간동안 비뚤어진 치아때문에 고민이 많으셨던 환자분의 고민거리 하나를
제가 가진 능력으로 해소해드릴 수 있다는 그 기쁨이 정말 크다는 생각이 드는데요.
앞으로도 이렇게 환자분의 삶의 질을 개선할 수 있는 치료로 보답해드려야겠다는 다짐을 다시 한번 하게 됩니다.
오늘 환자분과의 인터뷰는 더 전달해드리고 싶은 내용이 있어 2탄으로 이어지는데요.
2탄에서는 실제 치아 삭제량이 얼마나 됐는지, 앞니 사용하시는데 불편한 점은 없는지, 임시치아와 실제 라미네이트는 얼마나 차이가 있는지 등
라미네이트를 하신 환자분만 대답해주실 수 있고, 또 환자분들께서 디테일하게 궁금하셨을 점들을 솔직하게 전달해드리도록 하겠습니다.
그럼 2탄도 기대 많이 해주시고 오늘은 여기서 마무리하도록 하겠습니다.
지금까지 디데이치과 김무진 대표원장이었습니다. 감사합니다!
-
본 글은 실제 디데이치과에서 치료받으신 환자분 유*림(30, 여)님과의 인터뷰를 재구성한 것입니다.
-
해당 인터뷰를 이유로 경제적 대가를 지급하지 않았습니다.
< 다른 인터뷰도 궁금하다면? >
| 소중한 내 치아, 디데이치과에 맡기고 싶다면?디데이치과 네이버 예약 ✔ |
| 서울 디데이치과 진료 문의 |
|---|
| 대표전화 : 02-568-2877 (바로가기)네이버 톡톡 문의 (바로 가기) |
▲ 모바일에서 전화 버튼을 누르시면 병원으로 연결됩니다 ▲
![[진심인터뷰] 1n년 고민한 라미네이트, 디데이치과에서 만족도 200%인 이유? ① 관련 이미지 8](https://pub-9f2bb3498faf4d1d8714b41df24753e3.r2.dev/content/clinics/archive/6iramdrn2c/naver_blog/ddaydent_1/assets/by_hash/902c035644104fb152b80710660b6fa20a1a3870fa6e0fe286fe2674ee1a4208.png)
| 본 게시물은 의료광고법 제56조 1항을 준수하여, 의료 정보 제공 및 병원 홍보를 목적으로 디데이치과의원에서 직접 작성하였습니다.다만, 블로그에서 제공해 드리는 정보는 참조용으로만 활용하시고, 정확한 개인의 증상 파악은 의료기관에 직접 내방하시어 의료진을 통해 확인하실 것을 권유 드립니다.치과에서 진행되는 모든 시술 및 수술은 개인에 따라 부작용 (염증, 출혈, 부기, 신경 손상 등) 가능성이 있습니다. 따라서 사전에 의료진과 충분한 상담을 통해 결정하시길 바랍니다.게시물의 치료 사진은 실제 본원에서 모든 치료 과정을 마친 환자분의 동의하에 촬영되었습니다. 전후 사진은 동일인이며, 동일 조건하에 촬영되었음을 밝힙니다. |