안녕하세요. 디데이치과 김무진 대표원장입니다.
지난주 금요일에 전해드렸던 라미네이트 실제 시술환자의 진심을 담은 인터뷰에 이어
라미네이트 시술을 고민하고 계신 환자분들께서 많이들 궁금해하실 점들에 대해 자세히 공유드리도록 하겠습니다.
지난번 인터뷰 1탄이 궁금하시다면 아래 링크를 참고해주세요 ^^
오늘은 치아 삭제량은 얼마나 됐는지, 시리지는 않았는지, 앞니 사용하는데 불편한 점은 없는지 등
라미네이트 시술을 고민하시는 분이라면 한번쯤은 관심 가져보셨을 질문과
그에 대한 솔직한 답변들을 모아모아 전달드리니 잠시만 집중해서 읽어봐주세요.
라미네이트 시술을 좀 전에 끝마친 분만 대답해드릴 수 있는 진솔한 질문답변, 지금부터 시작하겠습니다.
시작 전 인터뷰 내용을 이해하는데 도움을 드리고자 다시 한번 환자분의 시술 전후 사진을 첨부해 드립니다 ^^
![[진심인터뷰] 라미네이트 오해와 진실, #내돈내산 환자가 밝혀드립니다 ② 관련 이미지 1](https://pub-9f2bb3498faf4d1d8714b41df24753e3.r2.dev/content/clinics/archive/6iramdrn2c/naver_blog/ddaydent_1/assets/by_hash/848eb4a893dc56182910249a7f584a8f5fe3d47ded35d5027082eec181243b7f.jpg)
![[진심인터뷰] 라미네이트 오해와 진실, #내돈내산 환자가 밝혀드립니다 ② 관련 이미지 2](https://pub-9f2bb3498faf4d1d8714b41df24753e3.r2.dev/content/clinics/archive/6iramdrn2c/naver_blog/ddaydent_1/assets/by_hash/32c95a48783ad434ea94b75993ca7f7be0358ae4a9a984682adf7a17d9894f06.jpg)
라미네이트 치료 전후 모습
(전) 2023-08-01 (후) 2023-09-13
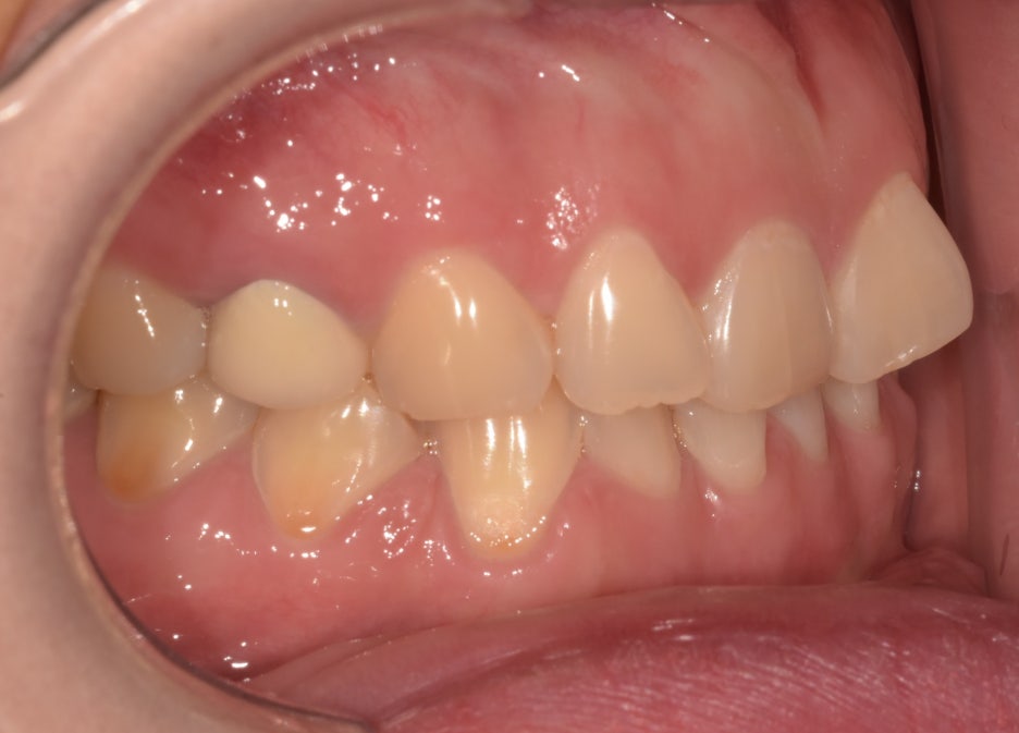
![[진심인터뷰] 라미네이트 오해와 진실, #내돈내산 환자가 밝혀드립니다 ② 관련 이미지 3](https://pub-9f2bb3498faf4d1d8714b41df24753e3.r2.dev/content/clinics/archive/6iramdrn2c/naver_blog/ddaydent_1/assets/by_hash/934026eb1be5919058ac209a666f3eb696377da95b254b63d7c1fa3785fe18a4.jpg)
라미네이트 치료 전 #21 치아가 비뚤어져 돌출되어 있는 모습
2023-08-01
Q) 라미네이트를 고민하고 계신 분들이 가장 걱정하시는 부분 중에 하나가 바로 치아 삭제량입니다. 환자분께서는 라미네이트 전 치아 삭제량때문에 걱정되지는 않으셨나요?
저는 워낙 한 쪽 치아가 비뚤어져 있다보니 라미네이트 시술을 위해서는 그 치아의 삭제량이 많을 수 있다는 점은 이미 알고있었습니다. 그래야 제가 원하는 가지런한 치아 모양을 만들 수 있으니까요.
그리고 다른 치아도 마찬가지로 삭제량이 비교적 많을 수 있다는 설명을 충분히 들었고, 그로 인해 신경치료가 필요할 수 있다는 점도 미리 고지받았습니다.
원장님께서 여러번 삭제량이 많은 부분에 대해 충분히 설명 후 이해시켜주시고 생각할 시간도 주셔서 치아 삭제의 필요성과 이유에 대해 고민하고 시술을 진행했기 때문에 크게 문제가 되지 않았습니다.
물론 치아를 최대한 삭제하지 않는다면 좋을테지만, 저처럼 불가피하게 삭제량이 많다면 치아를 삭제하더라도 예쁘고 가지런한 치아를 가질 것인지 아니면 치아 삭제를 최대한 피한 상태에서 덜 예쁜 치아를 가질 것인지를 선택해야 한다고 생각합니다.
![[진심인터뷰] 라미네이트 오해와 진실, #내돈내산 환자가 밝혀드립니다 ② 관련 이미지 4](https://pub-9f2bb3498faf4d1d8714b41df24753e3.r2.dev/content/clinics/archive/6iramdrn2c/naver_blog/ddaydent_1/assets/by_hash/93e7008545ab6b00ba061ef2d842796cc077156fe66764ab9f76e57bdad3fea1.jpg)
Q) 저희가 치료 시작 당일에는 치아를 다듬고 본을 떠서 임시치아까지 해드리고 일주일 후에 최종적으로 부착해 드리는데요. 이 임시치아와 실제 라미네이트의 차이점이 있었나요?
네 엄청 차이가 나더라고요. 임시치아는 부착하고 있을 때 약간 이질감이라든지 접착이 덜 됐나? 싶은 느낌이 들었거든요. 그런데 라미네이트는 부착하고 나서 전혀 그런 느낌이 없고 라미네이트 했다는 것도 까먹을 정도로 내 치아같은 느낌이 들었어요.
아무래도 말 그대로 라미네이트를 부착하기 전까지 ‘임시’로 제작하는 것이 임시치아이다보니
모양이나 질감 등이 라미네이트와는 정말 큰 차이가 있었어요. 그래서 혹시나 임시치아같이 라미네이트가 제작되면 어떡하나 걱정하고 계시다면 전혀 그런 걱정 하실 필요 없다고 말씀드리고 싶어요 ^^
![[진심인터뷰] 라미네이트 오해와 진실, #내돈내산 환자가 밝혀드립니다 ② 관련 이미지 5](https://pub-9f2bb3498faf4d1d8714b41df24753e3.r2.dev/content/clinics/archive/6iramdrn2c/naver_blog/ddaydent_1/assets/by_hash/ac8e516736e93780f30563b39294d54d5e5f3037d27658669f5cf322020e9fcd.jpg)
Q) 또한 환자분들께서 궁금해하시는 것 중 하나가 앞니로 뭔가를 드시거나 할 때 불편하다는 점인데요. 혹시 생활하면서 불편함을 느끼셨나요?
라미네이트 후에는 큰 과일같은 것 먹을 때마다 베어 먹는것 보다는 썰어서 먹거나 하긴 해요 ^^
앞니 사용을 조심해야 한다는 점은 이전부터 알고 있었습니다. 하지만 라미네이트를 하지 않았다고 해도 앞니로 비닐을 뜯는다거나 딱딱하고 질긴 음식을 뜯어먹는 등의 행동은 원래 치아에 좋지 않다고 알고 있어요. 원래 주의해야하는게 더 치아에 좋기 때문에 라미네이트를 했다는 것이 앞니 사용에 큰 영향을 주지는 않는 것 같습니다.
그리고 제가 원하는 치아를 만들기 위해서 조금의 불편함은 감수할 수 있다고 생각해서 진행한 것이라서 큰 불편함 없이 생활하고 있습니다.
![[진심인터뷰] 라미네이트 오해와 진실, #내돈내산 환자가 밝혀드립니다 ② 관련 이미지 6](https://pub-9f2bb3498faf4d1d8714b41df24753e3.r2.dev/content/clinics/archive/6iramdrn2c/naver_blog/ddaydent_1/assets/by_hash/04510f1170ca93f03985ece528c22d47018ba72bf5cd0d27651e161ab96fffe9.jpg)
Q) 환자분께서는 이갈이가 있으셔서 라미네이트의 파절을 방지하기 위한 장치도 별도로 제작하셨는데요. 주무실 때 불편한 점이 있진 않으신가요?
네 이갈이장치 계속 챙겨야 하는게 조금 번거롭기는 하지만 착용 자체가 엄청 불편하지는 않습니다.
Q) 혹시 주변 분들도 라미네이트 했다는 사실을 알고 계신가요? 반응은 어떤가요?
사실 회사 동료들은 잘 모르고, 굳이 알리고 싶지 않았어요. 원래 남들 모르게 예뻐지는게 더 좋은거 아닌가요? ^^
친구들한테는 많이 얘기했는데, 치아라는게 주의깊게 가까이서 살펴보지 않는다면 남들 눈에는 잘 띄지 않아서 잘 모르더라구요. 하지만 시술 전 사진과 시술 후 모습을 보면 확연하게 차이가 난다고 해줘서 뿌듯합니다!
누가봐도 확연하게 달라졌거나 예뻐진 걸 바랐다기 보다는 제 개인적인 만족도를 위한 시술이라서 저는 아주 만족도가 크다는 점 다시 한번 말씀드리고 싶네요 ^^
#내돈내산 으로 라미네이트 시술을 마치신 환자분께서 직접 라미네이트에 관심있어 하시는 분들을 위해 솔직한 답변을 해주셨는데요.
제가 백번 말씀드리는 것보다 환자분께서 직접 말씀하시는 부분이 더 잘 와닿으실 것이라고 생각합니다 ^^
인터뷰에 흔쾌히 응해주시고 또 솔직한 답변 해주신 환자분께 다시 한번 감사의 말씀 전해드리며
오늘 인터뷰 읽어보시고 추가로 궁금한 점 있으시거나 예약을 원하신다면 언제든지 연락주셔도 좋습니다!
저희 디데이치과는 환자분의 평생 치아주치의가 되고자 언제나 노력하고 정진하며 연구하는 치과가 되겠습니다.
지금까지 디데이치과 김무진 대표원장이었습니다. 감사합니다!
-
본 글은 실제 디데이치과에서 치료받으신 환자분 유*림(30, 여)님과의 인터뷰를 재구성한 것입니다.
-
해당 인터뷰를 이유로 경제적 대가를 지급하지 않았습니다.
| 소중한 내 치아, 디데이치과에 맡기고 싶다면?디데이치과 네이버 예약 ✔ |
| 서울 디데이치과 진료 문의 |
|---|
| 대표전화 : 02-568-2877 (바로가기)네이버 톡톡 문의 (바로 가기) |
▲ 모바일에서 전화 버튼을 누르시면 병원으로 연결됩니다 ▲
![[진심인터뷰] 라미네이트 오해와 진실, #내돈내산 환자가 밝혀드립니다 ② 관련 이미지 7](https://pub-9f2bb3498faf4d1d8714b41df24753e3.r2.dev/content/clinics/archive/6iramdrn2c/naver_blog/ddaydent_1/assets/by_hash/902c035644104fb152b80710660b6fa20a1a3870fa6e0fe286fe2674ee1a4208.png)
| 본 게시물은 의료광고법 제56조 1항을 준수하여, 의료 정보 제공 및 병원 홍보를 목적으로 디데이치과의원에서 직접 작성하였습니다.다만, 블로그에서 제공해 드리는 정보는 참조용으로만 활용하시고, 정확한 개인의 증상 파악은 의료기관에 직접 내방하시어 의료진을 통해 확인하실 것을 권유 드립니다.치과에서 진행되는 모든 시술 및 수술은 개인에 따라 부작용 (염증, 출혈, 부기, 신경 손상 등) 가능성이 있습니다. 따라서 사전에 의료진과 충분한 상담을 통해 결정하시길 바랍니다.게시물의 치료 사진은 실제 본원에서 모든 치료 과정을 마친 환자분의 동의하에 촬영되었습니다. 전후 사진은 동일인이며, 동일 조건하에 촬영되었음을 밝힙니다. |