“그동안 잘 몰랐는데 거울을 보니 치아가 검은색이 되고 있는 것 같아요.
무슨 문제가 있는 건지, 어떻게 치료할 수 있는지 궁금합니다.
또한 가장 중요한 비용이 얼마나 되는지도 알고 싶어요!”
앞니가 변색되어 푸르거나 혹은 검게 변해 놀라셨나요?
너무 당황하지 마시고 잠시만 집중해서 오늘 글을 읽어주세요.
앞니가 검게 변한 이유, 그리고 치료 방법과 비용에 대해 상세히 알려드리도록 하겠습니다.


제 소개가 늦었네요. 강남구 역삼동 선릉역에서 오태훈 대표원장님과 함께
디데이치과를 운영하며 진료하고 있는 김무진 대표원장이라고 합니다.
오늘은 검게 변색된 치아 때문에 놀라셨을 여러분께 이를 치료할 수 있는 실활치미백에 대해 알려드리고자 합니다.

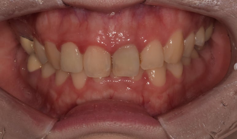
치아가 검게 변색된 환자분
이미 신경치료를 마친 후 오랜 시간이 지났고, 변색된 케이스입니다.
2023-09-11
위 예시 환자와 같이 치아가 검거나 푸르게 변했다면 신경치료를 하셨거나, 혹은 치아에 외부적인 충격이 있거나, 충치가 심한 경우 등 일 텐데요.
외부의 충격, 심한 충치로 인해 신경이 손상(치수 괴사) 되어 변색되었거나, 신경치료 시 발생한 출혈로 인해 변색되었을 가능성이 높습니다.

앞니의 구조
우선 우리 치아의 구조를 살펴보시면 안쪽에 치수(신경) 조직이 존재하는데요.
이 조직은 혈관과 신경으로 이루어지고, 우리가 흔히 말하는 ‘신경치료’는 감염된 신경을 제거해
더 이상 감염이 진행되지 않도록 막고, 통증의 원인을 근본적으로 없애는 치료입니다.
신경치료 과정에서 혈관이 제거되면 출혈이 발생하게 되겠죠?
이렇게 소량의 혈액이 치아 내부에 남아있다가 산소를 만나면 점차 색이 변하고, 치아 밖으로 비추어 보이면서 치아가 검게 보이는 것입니다.

이런 경우 다양한 치료방법이 있겠지만 그 중의 하나가 바로 오늘 말씀드릴 실활치(non-vital tooth)미백인데요.
실활치미백은 신경치료를 진행한 후 치아 내부에 미백 약제를 투입해 치아 색상을 밝게 만드는 치료입니다.
치아 내부에 남아있는 조직들을 모두 제거하고 치아 안에 미백 약제를 주입한 후 약제가 누출되지 않도록 치아를 밀폐하게 됩니다.
우리가 일반적으로 생각하는 착색된 치아를 밝게 만드는 치아미백은 치아 겉면에 미백제를 도포한 후 광선을 조사하는데,
실활치미백은 치아 내부에 미백 약제를 주입해 밝게 만든다는 차이가 있죠 ^^
이 실활치미백은 한 번 시술 후 종료되기도 하지만 2~3회 정도 더 내원하셔서 미백제를 교체하면서
색상이 밝아지는 정도와 주변 치아와 최대한 비슷한 색상이 나오는지 확인 후 치료를 종료하기도 합니다.
보통은 시간이 지나면 색상이 조금 어두워질 수 있어서 주변 치아보다 약간 밝은 색상이 나오면
치료를 종료하고 내부의 약제를 모두 제거한 후 단단하게 밀폐합니다.

실활치미백 역시 보험 적용이 되지 않는 비급여 진료이기 때문에 치과마다 비용이 다르지만
저희 디데이치과는 치아 1개, 1회당 10만원의 비용을 책정하고 있습니다.
이후 미백제를 주입한 공간을 레진으로 막아야 하기 때문에 이 비용이 5만원 추가되고요.
적은 금액은 아니지만 라미네이트 또는 크라운과 같은 보철치료보다는 저렴한 비용으로 치아의 변색을 치료할 수 있기 때문에 한번 고려해 보실 수 있는 시술입니다.

신경치료 후 진행하는 미백이기 때문에 크라운을 꼭 해야 하는지 궁금하실 텐데요.
어금니의 경우 신경치료 후에는 크라운으로 수복해 주셔야 합니다.
어금니는 씹는 힘이 지속적으로 가해지기 때문에 신경을 제거하고 난 치아가 계속 힘을 받으면
부러지거나 깨질 가능성이 높아져 크라운으로 감싸 보호해 주어야 하기 때문입니다.
하지만 앞니의 경우에는 어금니보다 힘을 받을 일이 적기 때문에 반드시 크라운을 해야 하는 것은 아닙니다.
신경치료를 마친 치아는 영양분을 공급받지 못하기 때문에 굉장히 약해져있는 상태라
파절 가능성이 있기 때문에 크라운을 해주시면 훨씬 좋겠지만 꼭 해야 하는 것은 아니라는 점 참고해 주세요.
치아가 검게 혹은 푸르게 변색되었다고 해서 반드시 라미네이트나 크라운으로 보철치료 해야하는 것은 아닙니다.
실활치미백을 통해 보철치료 대비 합리적인 비용으로 우선 치료해 보시고
그래도 다시 어두워지거나 심미적으로 만족도가 떨어지신다면 그 때 보철치료를 고려해도 늦지 않습니다.
따라서 치아 변색으로 인해 스트레스를 많이 받으셨다면 치아미백맛집, 저희 디데이치과와 함께
실활치미백 시도해 보시는 것은 어떨지 조심스럽게 제안해 봅니다 ^^
그럼 지금까지 디데이치과 김무진 대표원장이었습니다. 감사합니다!
| 치아미백맛집, 디데이치과에서 치료하고 싶다면?디데이치과 네이버 예약 ✔ |
| 서울 디데이치과 진료 문의 |
|---|
| 대표전화 : 02-568-2877 (바로가기)네이버 톡톡 문의 (바로 가기) |
▲ 모바일에서 전화 버튼을 누르시면 병원으로 연결됩니다 ▲

| 본 게시물은 의료광고법 제56조 1항을 준수하여, 의료 정보 제공 및 병원 홍보를 목적으로 디데이치과의원에서 직접 작성하였습니다.다만, 블로그에서 제공해 드리는 정보는 참조용으로만 활용하시고, 정확한 개인의 증상 파악은 의료기관에 직접 내방하시어 의료진을 통해 확인하실 것을 권유 드립니다.치과에서 진행되는 모든 시술 및 수술은 개인에 따라 부작용 (염증, 출혈, 부기, 신경 손상 등) 가능성이 있습니다. 따라서 사전에 의료진과 충분한 상담을 통해 결정하시길 바랍니다.게시물의 치료 사진은 실제 본원에서 모든 치료 과정을 마친 환자분의 동의하에 촬영되었습니다. 전후 사진은 동일인이며, 동일 조건하에 촬영되었음을 밝힙니다. |