웨딩촬영을 앞두고 더 자연스럽게, 예쁘고 환하게 웃는 모습을 남기고 싶은
예비신부, 신랑님들은 잠시만 주목해주세요.

큰 돈을 들이지 않더라도 빠르게, 환하게 치아 색상을 밝혀 더 자신있게 웃을 수 있는 꿀팁
치과에서 진행되는 원데이치아미백을 소개해 드리겠습니다.
반갑습니다. 강남구 역삼동 선릉역에 위치한 디데이치과 대표원장 오태훈입니다.

하얗고 고른 치아는 사람의 웃는 인상을 한층 더 밝고 매력적인 인상으로 만드는데 도움을 주는데요.
그래서인지 유독 웨딩촬영, 결혼식 등 인생에서 가장 행복한 순간을 더 돋보이게 만들기 위해
그리고 평생 간직할 사진에 남을 더 밝고 깨끗한 인상을 위해 치아미백을 원하시는 분들이 많습니다.
저희 디데이치과가 치아미백맛집으로 알려져서 그런지,
예비신랑신부가 함께 손잡고 내원해 나란히 미백을 받으시는 경우도 많고요 ^^

그렇다면 #웨딩촬영치아미백 받으시는 환자분들께서 가장 많이 묻는 질문에 대해서 답해드리고
가장 중요한 #치아미백비용 에 대해서도 빠짐없이 안내해 드리도록 하겠습니다.
웨딩촬영 또는 결혼식
며칠 전에 치아미백을 해야하나요?
환자분들께서 가장 많이 묻는 질문 중 하나인데요.
저희 디데이치과의 경우 한 번 내원하셨을 때 15분씩 총 3회의 미백이 모두 진행되고 당일에 종료되는
원데이 치아미백을 시술하고 있고, 이 경우 당일 중으로 치아가 밝아지는 효과를 보실 수 있습니다.
(물론 치아가 밝아지는 정도는 사람에 따라 다릅니다.)

따라서 중요한 일 하루 전에만 받으셔도 충분하지만,
하루 전에는 치아가 시릴 수도 있고 또 1시간 30분 정도 시간을 빼야하기 때문에
중요한 일정 일주일 이내에 받아주시는 것을 추천해 드리고 싶습니다.
결혼식이나 웨딩촬영뿐만 아니라 면접이나 중요한 일을 앞두신 분들도 마찬가지로 일주일 정도 전에 와주시면 됩니다 ^^
치과에서 하는 치아미백비용은 얼마인가요?
저희 디데이치과 기준으로 말씀드리면 앞서 설명드린 원데이 치아미백이 부가세 포함 33만원입니다.
집에서 셀프미백 제품 등으로 관리하는 것보다 비용적인 측면에서는 비쌀 수 있지만
전문가의 도움으로 빠른 시간 안에 눈에 띄는 효과를 볼 수 있다는 장점이 있습니다.


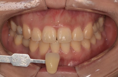
치아미백 전후모습
2023-11-28


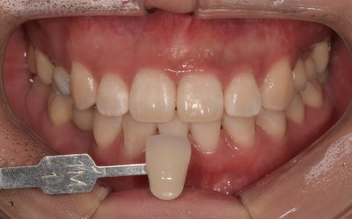
치아미백 전후모습
2023-10-23
또한 비교적 합리적인 치료 비용, 그리고 한번만 내원하면 모든 치료가 끝난다는 점에서
결혼준비로 인해 바쁜 예비신랑신부님께서 많이들 선호하시더라구요 ^^
웨딩촬영 전 치과에서 치아미백을 하면
치아가 얼마나 밝아지나요?
누구나 다 몇 톤 이상 치아가 밝아진다고 보장해드릴 수는 없습니다.
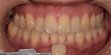
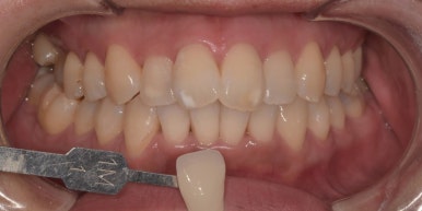
다만 여태까지 1200명이 넘는 환자분들이 저희 디데이치과에서 미백 시술을 받으셨는데,
평균을 내봤을 때 2톤 정도 밝아질 수 있다는 정도로 말씀드릴 수 있습니다.




Previous image Next image
치아미백 사례. 옆으로 넘기시면 다양한 사례들을 확인하실 수 있습니다.
평균이라는 것은 이보다 덜 밝아질 수도, 조금 더 밝아질 수도 있다는 의미이니 참고해주시면 감사하겠습니다.
또한 환자분의 기대치가 어느 정도냐에 따라서 밝기에 대한 만족도가 달라질 수 있을 것 같은데요.
쉽게 생각하면 약간 누래진 흰 옷을 표백제를 넣어 세탁하고난 후에
노란끼가 빠지고 본연의 흰색이 나타나는 정도를 생각해주시면 적당할 것 같습니다.
치아미백 후 유지기간은 얼마나 되나요?
개개인마다 흡연 여부, 생활습관, 식습관이 모두 다르기 때문에 일원화해서 설명드리기는 어렵습니다.
저희는 그래서 환자분들께 6개월~1년에 한번 정도 주기적으로 미백하시면서 관리하시거나
치과에서 치아미백시술을 받으신 후 미백 치약이나 셀프미백 제품으로 관리해주시는 방법을 추천드리고 있습니다.
평생 한 번 뿐인 웨딩촬영, 결혼식.
가장 예쁘게 보이고 싶고 좋은 모습만 남기고 싶은 여러분의 마음 충분히 이해하고 공감합니다.
거창한 시술을 받는다기 보다는 이 기회를 빌어 평소 변색되었던 치아를 하얗게 되돌려 줌으로써
자신감을 되찾고 더 환하게 웃을 수 있다면 좋지 않을까요? ^^
마침 저희 디데이치과가 결혼의 메카, 청담동 근처인 역삼동에 위치하고 있으니
결혼식이나 웨딩촬영 전 기분전환 삼아 신랑님, 신부님 손 잡고 나들이 나오시는 건 어떨까요?
지금까지 디데이치과 오태훈 대표원장이었습니다. 감사합니다!
< 이어서 보면 좋은 글 >



| 서울 디데이치과 진료 문의 |
|---|
| 대표전화 : 02-568-2877 (바로가기)네이버 톡톡 문의 (바로 가기) |
▲ 모바일에서 전화 버튼을 누르시면 병원으로 연결됩니다 ▲

| 본 게시물은 의료광고법 제56조 1항을 준수하여, 의료 정보 제공 및 병원 홍보를 목적으로 디데이치과의원에서 직접 작성하였습니다.다만, 블로그에서 제공해 드리는 정보는 참조용으로만 활용하시고, 정확한 개인의 증상 파악은 의료기관에 직접 내방하시어 의료진을 통해 확인하실 것을 권유 드립니다.치과에서 진행되는 모든 시술 및 수술은 개인에 따라 부작용 (염증, 출혈, 부기, 신경 손상 등) 가능성이 있습니다. 따라서 사전에 의료진과 충분한 상담을 통해 결정하시길 바랍니다.게시물의 치료 사진은 실제 본원에서 모든 치료 과정을 마친 환자분의 동의하에 촬영되었습니다. 전후 사진은 동일인이며, 동일 조건하에 촬영되었음을 밝힙니다. |