“작은 치아와 뾰족한 치아 모양으로 인해 웃을 때 입을 가리고 웃는게 습관입니다…
저의 스트레스 어떻게 해소할 수 있을까요? 평생 고민이라 꼭 해결하고 싶습니다.”
혹시 이 글을 보고 계신 당신도 작은 치아 #왜소치 로 인해 치아 모양이 고르지 않아 고민이신가요?
그렇다면 잠시만 주목해주세요.
작은 치아의 모양과 크기를 바꿀 수 있는 #왜소치라미네이트 시술에 대해 가감없이 설명드리고
최신 치료사례와 환자분께서 남겨주신 말씀, 치료비용까지 아낌없이 모두 공개하겠습니다.

반갑습니다. 디데이치과 김무진 대표원장입니다.
저희 블로그에서 그동안 특정 치아가 다른 치아보다 너무 작아 밸런스가 맞지 않는
#왜소치 에 대해 여러번 다룬 적이 있었는데요.
최근 왜소치로 인해 저희 치과를 찾아오셔서 치료받으신 환자분께서 남겨주신 말씀이 기억에 남아 이렇게 여러분과 공유하려고 합니다.
“이빨 모양 때문에 스트레스를 너무 많이 받아서 여러 군데 찾아보다가
디데이치과에서 라미네이트를 하게 되었는데 진짜 너무 만족스러워요 ㅠㅠ
이제 저도 활짝 웃을수 있게 된거 같아요. 그리고 직원분들도 정말 친절해서 너무 좋았어요!”
이 환자분께서는 어떤 문제로 인해 스트레스를 받으셨고,
치료 후 어떻게 변화되었길래 이렇게 만족하시는걸까요?
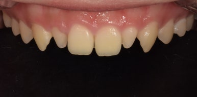
먼저 치료 전 사진을 보여드리겠습니다.


왜소치 라미네이트 치료 전
2023-12-08
보통 치아가 다른 치아보다 작은 왜소치는 우리가 흔히 앞니라고 부르는 #11, #21 치아 양 옆인
#12, #22 치아에서 많이 관찰됩니다.
다른 치아보다 확연하게 치아의 크기가 작고, 뾰족한 모양인 경우가 많은데요.
이 모양과 크기로 인해 치아가 제각각 삐뚤빼뚤하게 보이고 치아 사이에 공간이 생기기도 합니다.
즉, 전체적인 심미적인 만족도가 떨어지는 것이죠.

우리가 흔히 가지런하고 예쁘다고 생각하는 치아는 정면에서 봤을 때 치아 간의 비율이 잘 맞고
사이에 빈 공간이 없이 둥근 형태의 스마일라인을 만드는 치아인데요.
왜소치가 있는 경우 이런 스마일라인을 만들기 어렵기 때문에 심미적인 측면에서 부족함을 느낄 수 있습니다.
이런 경우에는 치아의 모양과 크기를 근본적으로 개선할 수 있는 라미네이트 또는 크라운으로 치료할 수 있는데요.
경우에 따라 다르지만 치아가 작아서 이를 커버하기 위한 치료는 라미네이트를 주로 하게 됩니다.
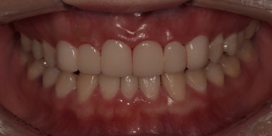
그럼 앞서 말씀드린 환자분의 치아가 어떻게 변했는지 같이 한번 보실까요?


왜소치 라미네이트 치료 후
2023-12-16


왜소치 라미네이트 전후 모습 비교
(전) 2023-12-08 (후) 2023-12-16
라미네이트 부착 직후에 촬영한 사진이라 다소 정리가 되지 않은 점 양해 부탁드립니다.
전후 모습을 비교해서 보시면 뾰족뾰족했던 치아 모양이 반듯하게 개선되었고,
사이즈가 작았던 치아 역시 다른 치아와 조화를 이루면서 커졌습니다.
이렇게 되니 자연스럽게 치아 사이사이에 있던 공간들이 사라지고 완전히 꽉 채워졌죠?
스마일라인 역시 이상적이라고 평가되는 둥근 라인으로 예쁘게 미소지을 수 있도록 개선했습니다.

평생 치아 모양 때문에 손으로 입을 가리고 웃는게 습관이라고 하셨던 환자분…
이제 앞으로 환하고 예쁜 미소를 마음껏 뽐내실 수 있게 되기를 바랍니다 ^^
참, 왜소치 라미네이트라고 해서 특별히 더 비용이 추가되거나 달라지는 점은 없습니다.
즉, 저희 디데이치과에서는 개당 40~45만원이라고 생각해주시면 되는데요.
라미네이트는 미용을 목적으로 하는 시술이기 때문에 부가세 10%가 별도로 부과되고,
라미네이트를 위해 치아의 상태를 파악하고자 엑스레이 촬영하는 비용, 마취비용 정도만 추가로 발생할 수 있습니다.
이런 추가비용은 건강보험 적용이 가능해 그리 부담스럽지 않으니 걱정하지 마세요 ^^

치과의사로서 저의 노하우와 지식, 기술을 통해 환자분의 스트레스 해소를 도와드릴 수 있다는 점이 정말 뿌듯합니다.
그래서 이렇게 시술을 통해 자신감을 얻고 밝은 모습을 되찾으시는 환자분들을 뵐 때면
치과의사가 되기를 잘했다는 생각이 정말 많이 들곤 하는데요.
단순히 환자분을 치료해드리는데서 끝나는게 아니라 앞으로의 삶까지 더 나은 방향으로 개선해드린다는 마음으로 진료에 임하겠습니다.
저를 믿어주시는 환자분들께 다시 한번 감사드리고, 덕분에 저 역시 성장하고 있다는 느낌도 듭니다.
이런 저의 노하우를 직접 찾아와주시는 환자분들은 물론,
멀리서 블로그를 통해 보고 계시는 분들께도 전달해드릴 수 있도록 노력하는 디데이치과와
저 김무진 대표원장이 되겠습니다. 감사합니다 ^^
< 다른 왜소치 치료사례도 궁금하다면? >



| 서울 디데이치과 진료 문의 |
|---|
| 대표전화 : 02-568-2877 (바로가기)네이버 톡톡 문의 (바로 가기) |
▲ 모바일에서 전화 버튼을 누르시면 병원으로 연결됩니다 ▲

| 본 게시물은 의료광고법 제56조 1항을 준수하여, 의료 정보 제공 및 병원 홍보를 목적으로 디데이치과의원에서 직접 작성하였습니다.다만, 블로그에서 제공해 드리는 정보는 참조용으로만 활용하시고, 정확한 개인의 증상 파악은 의료기관에 직접 내방하시어 의료진을 통해 확인하실 것을 권유 드립니다.치과에서 진행되는 모든 시술 및 수술은 개인에 따라 부작용 (염증, 출혈, 부기, 신경 손상 등) 가능성이 있습니다. 따라서 사전에 의료진과 충분한 상담을 통해 결정하시길 바랍니다.게시물의 치료 사진은 실제 본원에서 모든 치료 과정을 마친 환자분의 동의하에 촬영되었습니다. 전후 사진은 동일인이며, 동일 조건하에 촬영되었음을 밝힙니다. |