아카이브 요약
이 페이지의 역할
디데이치과의원의 네이버 블로그 원문을 보존한 아카이브 페이지입니다. 잇몸/치아 성형 카테고리의 법랑질성형, 잇몸성형, 치아미백까지! 디데이치과 심미치료 총집합 치료사례 글을 통해 병원의 한국어 정보 제공 방식과 진료 관련 안내 톤을 확인할 수 있습니다.
원문 검증
필요하면 원문 블로그와 병원 프로필로 바로 이동해 문맥을 다시 확인할 수 있습니다.
출처 아카이브 열기아카이브된 블로그 글
디데이치과의원 · Naver Blog
안녕하세요. 디데이치과 김무진 대표원장입니다. 저와 함께 디데이치과를 이끌어가고 있는 오태훈 원장님과 저 모두 보건복지부 인증 통합치의학과 전문의이기 때문에 충치치료, 신경치료, 임플란트와 같은 일반적인 치료부터 치아미백, 잇몸성형, 라미네이트와 같은 심미치료까지 치과의 전 분야에 걸쳐 치료를 진행하...
게시일
2023년 12월 22일
원문 기준으로 확인된 발행일입니다.
카테고리
잇몸/치아 성형
원문 블로그 카테고리를 정리해 함께 표시합니다.
이미지 수
14
현재 아카이브에 연결된 이미지 수입니다.
아카이브 요약
디데이치과의원의 네이버 블로그 원문을 보존한 아카이브 페이지입니다. 잇몸/치아 성형 카테고리의 법랑질성형, 잇몸성형, 치아미백까지! 디데이치과 심미치료 총집합 치료사례 글을 통해 병원의 한국어 정보 제공 방식과 진료 관련 안내 톤을 확인할 수 있습니다.
원문 검증
필요하면 원문 블로그와 병원 프로필로 바로 이동해 문맥을 다시 확인할 수 있습니다.
출처 아카이브 열기안녕하세요. 디데이치과 김무진 대표원장입니다.
저와 함께 디데이치과를 이끌어가고 있는 오태훈 원장님과 저 모두
보건복지부 인증 통합치의학과 전문의이기 때문에 충치치료, 신경치료, 임플란트와 같은 일반적인 치료부터
치아미백, 잇몸성형, 라미네이트와 같은 심미치료까지 치과의 전 분야에 걸쳐 치료를 진행하고 있는데요.


최근 여러분께서 많은 문의를 해주고 계신 #법랑질성형 #잇몸성형 #치아미백 을
함께 시술한 환자분이 계셔서 여러분께 보여드리면 좋을 것 같아 이렇게 글을 씁니다 ^^
혹시 이런 심미치료에 관심이 있으시고, 또 치료 전과 후가 어떻게 달라지는지 궁금하신 분들이라면
잠시만 집중해서 글을 끝까지 봐주시기 바랍니다!
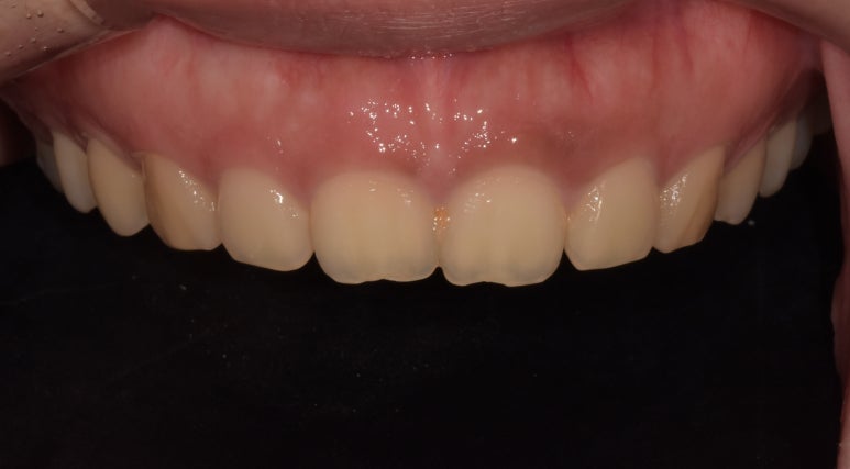
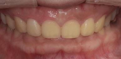
먼저 여러분의 글 열람을 돕기 위해 환자분의 최초 시술 전 모습을 먼저 보여드리겠습니다.

시술 전 모습
2023-11-14
보시면 상악 잇몸이 비교적 많이 내려와 있는 상태이고, 그에 따라 잇몸이 치아를 많이 덮고 있습니다.
어떻게 보면 다소 답답해보이는 인상을 줄 수 있고,
치아 역시 작아보이면서 가로세로비율이 맞지 않아 심미적인 만족도가 떨어질 수 있는 상태였습니다.
잇몸성형에 대해 말씀드리면서 치아도 이상적인 가로세로비율이 있다고 말씀 드렸는데요.

보통 앞니 하나의 가로:세로 비율이 0.8:1.0, 즉 세로가 조금 더 길어야 시원하고 예뻐보이는데요.
이번 케이스의 환자분은 가로와 세로의 비율이 거의 유사하거나 가로가 조금 더 긴 상태라고 보시면 될 것 같습니다.
따라서 이 치아의 세로 비율을 좀 더 높여주기 위해 잇몸성형을 통한 라인 개선을 진행하게 되었고요.
시술 과정에서 환자분의 앞니 끝이 살짝 깨진 것을 발견해서 법랑질성형을 통해 반듯하게 만들 것을 제안드렸습니다.
다행히 환자분께서도 평소에 이 부분이 신경쓰이셨다며 흔쾌히 동의해주셔서 법랑질성형도 함께 진행하게 되었습니다.
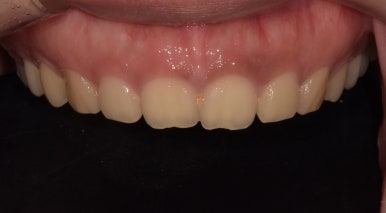
자 이제 잇몸성형과 법랑질성형을 마친 후의 모습을 비교해서 보여드리겠습니다.


잇몸성형, 법랑질성형 시술 전후
(전) 2023-11-14 (후) 2023-11-29
시술 후 사진은 최초 시술 2주 후 리터치하기 직전, 최초 시술한 잇몸라인이 다 아물고 나서 촬영한 사진인데요.
보시면 우선 잇몸라인이 상당히 위로 올라가면서 치아가 좀 더 시원하게 트여보이고
치아 끝부분도 반듯하게 정돈된 모습을 확인하실 수 있습니다.
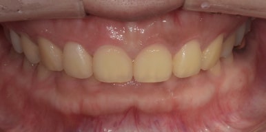
이후 잇몸라인을 한번 더 정돈해드리는 잇몸성형 리터치를 진행하신 후, 1주일 후에 치아미백을 진행하셨는데요.
잇몸라인이 위로 올라가 치아가 더 커보이니 노랗게 착색된 치아가 눈에 띈다고 하셔서 미백까지 진행하게 되었습니다.
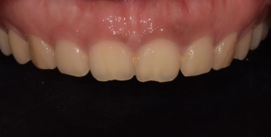
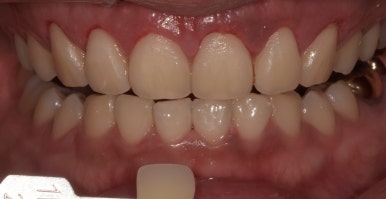
이제 비교를 위해 최초 시술 전, 잇몸성형+법랑질성형 후, 잇몸성형 리터치+치아미백 후 사진을 나란히 보여드리겠습니다.



잇몸성형, 법랑질성형, 치아미백 시술 전후의 모습
(좌) 시술 전: 2023-11-14
(중) 잇몸성형, 법랑질성형 후: 2023-11-29
(우) 치아미백 후: 2023-12-06
잇몸성형 리터치 후 1주일 정도 지난 상태라 거뭇거뭇한 자국들은 사라진 상태이지만
아직 완전히 아문 것은 아니라서 잇몸라인이 말끔한 상태는 아닌 점 참고 부탁드립니다.
세 사진을 나란히 놓고 보니 어떠신가요?
답답했던 잇몸라인이 높아져 치아의 가로세로 비율이 어느 정도 맞춰졌고, 치아 끝 부분도 깔끔하게 정돈되었으며
착색되었던 치아 색상 역시 노란끼가 많이 빠지고 한결 밝아졌습니다.
“웃을때 잇몸이 많이 보여서 잇몸 성형이 있길래 다른 치과보다 가격도 괜찮은거 같아서 다녀왔어요… (중략)… 잇몸 성형도 뭔가 치아가 정돈된 기분이라 좋은데 앞니가 반듯해진 부분이 너무 마음에 들어요 !!”
“전에는 치아 보면 누런끼가 돌았는데 현재는 그런 느낌 전혀 없고 치아 미백 왜 이제 받았지 더 빨리 받을걸 싶은 생각이네요.”
이렇게 환자분께서 남겨주신 말씀을 보니
평소 신경쓰였던 부분을 해결해 드렸다는 생각에 제가 더 뿌듯해지는데요 ^^

이 글을 보시는 여러분께서도 비슷한 고민을 하고 계시다면
올해가 가기 전, 고민을 해결하고 가벼운 마음으로 새해를 맞이해보시는 건 어떨까요?
다만 모든 시술은 사전에 반드시 전문의와의 상담을 통해 환자분께 꼭 알맞은 시술이 무엇인지 파악한 후
전문의를 통해 진행되어야 한다는 점 꼭 명심해주세요!
오늘도 긴 글 읽어주셔서 감사합니다. 지금까지 디데이치과 김무진 대표원장이었습니다!



| 서울 디데이치과 진료 문의 |
|---|
| 대표전화 : 02-568-2877 (바로가기)네이버 톡톡 문의 (바로 가기) |
▲ 모바일에서 전화 버튼을 누르시면 병원으로 연결됩니다 ▲

| 본 게시물은 의료광고법 제56조 1항을 준수하여, 의료 정보 제공 및 병원 홍보를 목적으로 디데이치과의원에서 직접 작성하였습니다.다만, 블로그에서 제공해 드리는 정보는 참조용으로만 활용하시고, 정확한 개인의 증상 파악은 의료기관에 직접 내방하시어 의료진을 통해 확인하실 것을 권유 드립니다.치과에서 진행되는 모든 시술 및 수술은 개인에 따라 부작용 (염증, 출혈, 부기, 신경 손상 등) 가능성이 있습니다. 따라서 사전에 의료진과 충분한 상담을 통해 결정하시길 바랍니다.게시물의 치료 사진은 실제 본원에서 모든 치료 과정을 마친 환자분의 동의하에 촬영되었습니다. 전후 사진은 동일인이며, 동일 조건하에 촬영되었음을 밝힙니다. |