아카이브 요약
이 페이지의 역할
디데이치과의원의 네이버 블로그 원문을 보존한 아카이브 페이지입니다. 일반치료 카테고리의 치아레진? 앞니, 치경부, 어금니 각 부위별 치료사례&비용 글을 통해 병원의 한국어 정보 제공 방식과 진료 관련 안내 톤을 확인할 수 있습니다.
원문 검증
필요하면 원문 블로그와 병원 프로필로 바로 이동해 문맥을 다시 확인할 수 있습니다.
출처 아카이브 열기아카이브된 블로그 글
디데이치과의원 · Naver Blog
안녕하세요. #선릉역치과 디데이치과의 김무진 대표원장입니다. 지금 이 글을 보고 계시다면 아마 #치아레진 치료가 필요하셔서 관련 정보를 검색 중이셨을 것 같은데요. 오늘 이 글을 보시면 여러분은 아래와 같은 정보를 확실하게 얻으실 수 있습니다. 앞니 각 면, 벌어진앞니, 치경부, 어금니 등 각...
게시일
2024년 1월 8일
원문 기준으로 확인된 발행일입니다.
카테고리
일반치료
원문 블로그 카테고리를 정리해 함께 표시합니다.
이미지 수
14
현재 아카이브에 연결된 이미지 수입니다.
아카이브 요약
디데이치과의원의 네이버 블로그 원문을 보존한 아카이브 페이지입니다. 일반치료 카테고리의 치아레진? 앞니, 치경부, 어금니 각 부위별 치료사례&비용 글을 통해 병원의 한국어 정보 제공 방식과 진료 관련 안내 톤을 확인할 수 있습니다.
원문 검증
필요하면 원문 블로그와 병원 프로필로 바로 이동해 문맥을 다시 확인할 수 있습니다.
출처 아카이브 열기안녕하세요. #선릉역치과 디데이치과의 김무진 대표원장입니다.

지금 이 글을 보고 계시다면 아마 #치아레진 치료가 필요하셔서 관련 정보를 검색 중이셨을 것 같은데요.
오늘 이 글을 보시면 여러분은 아래와 같은 정보를 확실하게 얻으실 수 있습니다.
앞니 각 면, 벌어진앞니, 치경부, 어금니 등 각 부위별 레진치료 사례
각 부위별 레진치료 시 정확한 치료 비용
이 두 가지 만큼은 명확하게 얻어가실 수 있도록 현직 치과의사인 제가 직접 설명해 드릴테니
잠시만 집중하셔서 글을 읽어주시면 감사하겠습니다.

/앞니 레진치료/
앞니는 입을 벌리거나 웃을 때 가장 잘 보이는 부분이기 때문에
가벼운 충치가 생기거나 치아가 깨지는 등의 문제가 발생하면 레진으로 간단하게 때우는 치료를 진행하게 되는데요.
레진은 치아 색상과 거의 유사해 치료한 티가 잘 나지 않고 심미적이라는 장점이 있지만
변색에 취약하다는 단점 또한 가지고 있는 재료입니다.

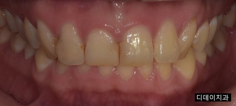
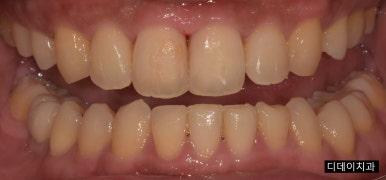
레진치료 전
2024-01-02
지금 보여드린 환자분 역시 예전에 앞니 사이사이에 생긴 충치를 제거하고 레진으로 때우셨는데
시간이 오래되어 약간 변색이 된 상태라 레진을 새 것으로 교체하기를 원하셨습니다.


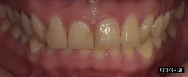
레진치료 전후
2024-01-02
레진 교체 후 아주 말끔하게 치아 표면이 정리된 것을 확인하실 수 있죠? ^^
/앞니 레진치료 비용/
이렇게 앞니 레진치료를 하시게 되면 비용은 면당 10만원씩 발생합니다.
면당이라는 의미는 치아 하나를 놓고 봤을 때 왼쪽 측면, 오른쪽 측면, 끝 부분, 안쪽 부분 등
각 면을 치료할 때 각각 10만원의 비용이 발생한다는 의미입니다.
/벌어진 앞니 레진치료/
앞니 사이가 벌어져 틈새가 생기면서 이로 인해 스트레스 받으시는 분들도 많은데요.
이런 경우 다이아스테마 레진이라고 해서 앞니 사이를 레진으로 메워 공간을 채우는 치료가 가능합니다.


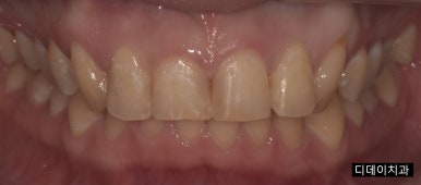
다이아스테마 레진치료 전후
2023-12-21
위와 같이 이렇게 벌어져있던 치아도 정중선 방향(치과 용어로 mesial이라고 합니다.)에
각각 레진을 부착해 원래 내 치아인 것처럼 감쪽같이 사이의 공간을 메울 수 있죠.
< 벌어진앞니 레진치료의 더 많은 사례는? >
/벌어진 앞니 레진치료 비용/
다이아스테마 레진은 범위도 넓고 보다 섬세한 작업이 요구되는 치료이기 때문에
일반적인 앞니 레진보다 비용이 조금 더 비쌉니다.
저희 디데이치과에서는 다이아스테마 레진에 각 15만원의 비용을 책정하고 있는데요.
만약 앞니 2개의 사이를 레진으로 치료하신다면 양쪽 모두 비용이 발생해 30만원 정도를 예상해주시면 됩니다.
/어금니 레진치료 사례/
어금니레진은 씹는 면에 하는 레진과 치아와 잇몸의 경계부분(치경부)에 하는 레진으로 나눌 수 있는데요.

치경부마모증 예시
2023-12-30
보시는 것처럼 치아와 잇몸의 경계가 파인 듯이 홈이 생겨 시린 증상이 나타나는 경우
치경부레진으로 파인 부분을 메워주게 됩니다.
< 치아파임? 치경부마모증에 대해 더 궁금하다면 >
또한 만약 씹는 면에 충치가 생겼는데, 아직 깊고 넓게 진행된 상태는 아니라
치아를 둘러싸고 있는 겉면 정도만 우식이 생긴 경우에도 간단하게 레진으로 치료할 수 있습니다.


치과를 찾는 환자분들께서 가장 많이 하게 되는 치료이지 않을까 싶네요 ^^
/어금니 레진치료 비용/
치아와 잇몸의 경계가 파여있어 레진으로 때우는 경우(치경부레진) 개당 6만원,
씹는 면에 충치가 생겨 제거 후 레진으로 때우는 경우는 개당 5~7만원(어금니 위치에 따라 비용이 달라집니다.)
만약 범위가 더 넓어진다면 10만원까지도 비용이 발생할 수 있습니다.
오늘 쭉 치아레진에 대한 구체적인 치료 사례와 비용까지 설명해 드렸는데 어떠셨나요?
여러분께서 정말 찾고 싶고, 궁금해하시는 정보를 잘 드렸는지 모르겠네요 ^^
혹시나 저희 블로그를 통해 치과의사가 직접 설명해주었으면 하는 내용이 있으시거나
다른 궁금한 점이 있으시다면 언제든지 댓글이나 카톡, 네이버톡톡을 통해 말씀해주세요.
환자분들께서 정말 궁금해하는 것, 진짜 알고 싶은 정보를 전달해드리기 위해 노력하는 디데이치과가 되겠습니다.
지금까지 디데이치과 김무진 대표원장이었습니다. 글 읽어주셔서 감사드립니다 ^^



| 서울 디데이치과 진료 문의 |
|---|
| 대표전화 : 02-568-2877 (바로가기)네이버 톡톡 문의 (바로 가기) |
▲ 모바일에서 전화 버튼을 누르시면 병원으로 연결됩니다 ▲

| 본 게시물은 의료광고법 제56조 1항을 준수하여, 의료 정보 제공 및 병원 홍보를 목적으로 디데이치과의원에서 직접 작성하였습니다.다만, 블로그에서 제공해 드리는 정보는 참조용으로만 활용하시고, 정확한 개인의 증상 파악은 의료기관에 직접 내방하시어 의료진을 통해 확인하실 것을 권유 드립니다.치과에서 진행되는 모든 시술 및 수술은 개인에 따라 부작용 (염증, 출혈, 부기, 신경 손상 등) 가능성이 있습니다. 따라서 사전에 의료진과 충분한 상담을 통해 결정하시길 바랍니다.게시물의 치료 사진은 실제 본원에서 모든 치료 과정을 마친 환자분의 동의하에 촬영되었습니다. 전후 사진은 동일인이며, 동일 조건하에 촬영되었음을 밝힙니다. |