아카이브 요약
이 페이지의 역할
디데이치과의원의 네이버 블로그 원문을 보존한 아카이브 페이지입니다. 라미네이트 카테고리의 무삭제라미네이트 누구나 다 된다? 속지마세요. 글을 통해 병원의 한국어 정보 제공 방식과 진료 관련 안내 톤을 확인할 수 있습니다.
원문 검증
필요하면 원문 블로그와 병원 프로필로 바로 이동해 문맥을 다시 확인할 수 있습니다.
출처 아카이브 열기아카이브된 블로그 글
디데이치과의원 · 통합치의학과 전문의 2명의 솔직한 치과 이야기
반갑습니다. 치아심미치료에 진심인 치과의사, #선릉역치과 인 #디데이치과 김무진 대표원장입니다. 앞니가 비뚤어져있거나 앞으로 튀어나온 경우, 토끼이빨, 나비치아 등 다양한 이유로 인해 치아 모양을 개선하고 싶어 라미네이트 치료를 원하시는 분들이 많습니다. 나비치아 출처: 구글 이미지 검...
게시일
2024년 1월 11일
원문 기준으로 확인된 발행일입니다.
카테고리
라미네이트
원문 블로그 카테고리를 정리해 함께 표시합니다.
이미지 수
16
현재 아카이브에 연결된 이미지 수입니다.
아카이브 요약
디데이치과의원의 네이버 블로그 원문을 보존한 아카이브 페이지입니다. 라미네이트 카테고리의 무삭제라미네이트 누구나 다 된다? 속지마세요. 글을 통해 병원의 한국어 정보 제공 방식과 진료 관련 안내 톤을 확인할 수 있습니다.
원문 검증
필요하면 원문 블로그와 병원 프로필로 바로 이동해 문맥을 다시 확인할 수 있습니다.
출처 아카이브 열기반갑습니다.
치아심미치료에 진심인 치과의사, #선릉역치과 인 #디데이치과 김무진 대표원장입니다.

앞니가 비뚤어져있거나 앞으로 튀어나온 경우, 토끼이빨, 나비치아 등 다양한 이유로 인해
치아 모양을 개선하고 싶어 라미네이트 치료를 원하시는 분들이 많습니다.

나비치아
출처: 구글 이미지 검색
특히 치아삭제가 필요없는 #무삭제라미네이트 치료에 대해 특히 관심이 많으시고 문의도 정말 많이 주시는데요.
저는 치과의사로서 무삭제라미네이트를 고려하시는 분들께 이 한가지는 꼭 말씀드리고 싶습니다.
누구나 무삭제라미네이트가 가능한 것은 아니라는 것 말입니다.

인터넷만 검색해도 정말 수많은 치과에서 삭제량 없이 라미네이트가 가능하다고 말합니다.
치아를 전혀 깎아내지 않고도 치아 모양이 개선될 수 있다고 하니 혹할 수 있는데요.
사실 무삭제가 가능한 케이스는 지극히 한정적입니다.
인터넷에는 가능한 사례들을 선별해서 게재하기 때문에 가능한 케이스가 많은 것처럼 보일 뿐이죠.

간단하게 말씀드리면 치아의 배열이 이미 상당히 고르고 가지런한 상태라면 무삭제라미네이트가 가능할 수 있지만
그렇지 않고 틀어지거나 나비치아, 토끼이빨 등은 무삭제로는 거의 불가능하다고 보시면 됩니다.
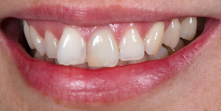
왜 그럴까요? 최근에 저희 치과에서 틀어진 앞니로 인해 라미네이트 시술을 진행하신 환자분 케이스를 보면서 설명드리겠습니다.


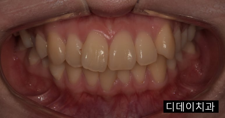
라미네이트 시술 전
2023-12-21
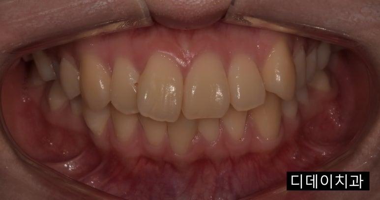
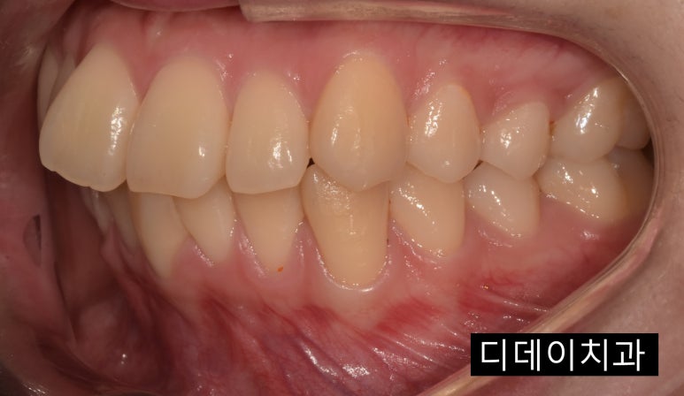
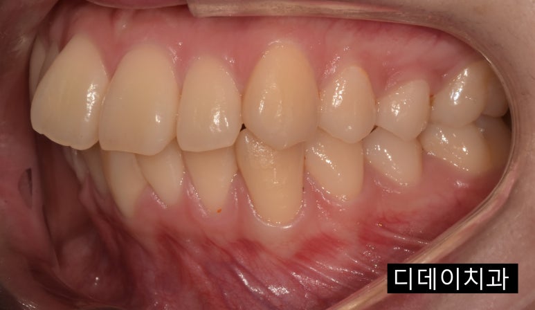
먼저 환자분의 시술 전 사진을 보시면 앞니가 살짝 비틀어져 있는 것이 보이실텐데요.
옆 모습을 보시면 더 확실하게 앞으로 나오고 틀어진 모습이 확인됩니다.
만약 이 환자분께서 무삭제라미네이트 시술을 한다면 어떻게 될까요?
치아의 틀어짐은 전혀 개선할 수 없고,
치아가 보철물의 두께만큼(아주 얇긴 하지만) 더 앞으로 튀어나와 도드라져 보일겁니다.
이런 경우에는 필요한 만큼 적당히 치아를 삭제한 상태에서 라미네이트를 부착해야
환자분께서 원하시는 더 예쁘고 고른 치아를 얻으실 수가 있는 것입니다.
즉, 무조건 삭제를 적게 하는 것이 중요한게 아니라 치아 전체를 보고 필요한 한도 내에서 삭제를 하는 것이 더 중요하죠.

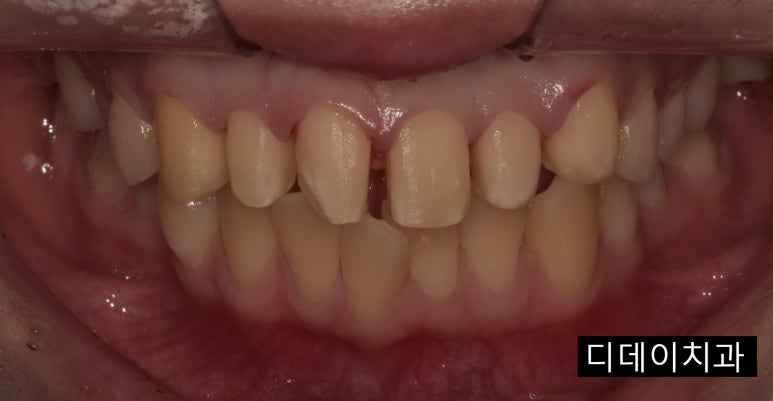
고른 치아배열을 만들기 위해 치아를 삭제한 모습
2023-12-21
위에서 보여드린 환자분은 틀어진 치아를 바로잡고 배열을 더 고르게 하기 위해서
치아를 필요한 만큼만 삭제하고 라미네이트 보철물을 부착해 드렸는데요.
다행히도 크라운까지 필요하지는 않아서 라미네이트만으로 시술을 완료할 수 있었습니다.



전후 모습을 비교해보시면 틀어져있던 앞니가 바르게 개선되었다는 것을 확인하실 수 있으실 것입니다.
이 환자분도 평소에 치아배열때문에 콤플렉스가 있었는데 덕분에 콤플렉스를 해소할 수 있었다면서 너무 좋아하셨어요 ^^

라미네이트라는 시술에 대한 좋지 않은 시선도 많다는 것은 저도 정말 잘 알고 있습니다.
하지만 이렇게 라미네이트를 통해 새로운 치아를 얻고, 오랜 콤플렉스를 해결했음에도 불구하고
치아 삭제량이 많아졌다고 해서 이 시술을 과연 좋지 않은 시술이라고 할 수 있을까요?
물론 필요 이상의 과도한 치아삭제는 지양해야 하는 것이 맞습니다.

하지만 환자분의 시술 목적을 달성하고, 심미적으로 더 완성도를 높이기 위한 최소한의 치아삭제는 필요할 수 있는데,
이를 무조건 좋지 않은 시선으로 바라보는 것은 적절하지 않다는 것이 저의 솔직한 의견입니다.
오늘 글 읽으시다가 라미네이트 또는 최소삭제, 무삭제라미네이트에 대해 궁금한 점이 생기셨다면
저희 디데이치과로 문의주셔도 좋습니다.
‘저도 무삭제라미네이트 시술 가능한가요?’, ‘만약 삭제해야 한다면 삭제량은 얼마나 되나요?’와 같은 질문에 대해서는
제가 보기 전까진 자세한 진단이 어려워 내원을 요청드릴 가능성이 높지만,
기타 다른 궁금증에 대해서는 가감없이 빠르게, 정확하게 답변해 드릴 수 있도록 하겠습니다.
오늘도 긴 글 읽어주셔서 감사드립니다. 디데이치과 김무진 대표원장이었습니다 ^^
< 라미네이트가격과 얇은 라미네이트에 대해 알고 싶다면? >



| 서울 디데이치과 진료 문의 |
|---|
| 대표전화 : 02-568-2877 (바로가기)네이버 톡톡 문의 (바로 가기) |
▲ 모바일에서 전화 버튼을 누르시면 병원으로 연결됩니다 ▲

| 본 게시물은 의료광고법 제56조 1항을 준수하여, 의료 정보 제공 및 병원 홍보를 목적으로 디데이치과의원에서 직접 작성하였습니다.다만, 블로그에서 제공해 드리는 정보는 참조용으로만 활용하시고, 정확한 개인의 증상 파악은 의료기관에 직접 내방하시어 의료진을 통해 확인하실 것을 권유 드립니다.치과에서 진행되는 모든 시술 및 수술은 개인에 따라 부작용 (염증, 출혈, 부기, 신경 손상 등) 가능성이 있습니다. 따라서 사전에 의료진과 충분한 상담을 통해 결정하시길 바랍니다.게시물의 치료 사진은 실제 본원에서 모든 치료 과정을 마친 환자분의 동의하에 촬영되었습니다. 전후 사진은 동일인이며, 동일 조건하에 촬영되었음을 밝힙니다. |