아카이브 요약
이 페이지의 역할
디데이치과의원의 네이버 블로그 원문을 보존한 아카이브 페이지입니다. 잇몸/치아 성형 카테고리의 [진심인터뷰] “잇몸성형, 안 할 이유가 1도 없어요” 예비신부의 후기 글을 통해 병원의 한국어 정보 제공 방식과 진료 관련 안내 톤을 확인할 수 있습니다.
원문 검증
필요하면 원문 블로그와 병원 프로필로 바로 이동해 문맥을 다시 확인할 수 있습니다.
출처 아카이브 열기아카이브된 블로그 글
디데이치과의원 · Naver Blog
반갑습니다. #선릉역치과 #디데이치과 김무진 대표원장입니다. 일생에 단 한번 뿐인 특별한 세레모니. 바로 결혼식인데요. 인생 최고의 날을 맞이해 더 환하게, 예쁘게 웃는 모습을 감사한 하객분들에게 보여드리고, 또 사진과 영상을 통해 평생 남기고자 하는 욕심. 누구나 있으실 것 같습니다. ...
게시일
2024년 1월 15일
원문 기준으로 확인된 발행일입니다.
카테고리
잇몸/치아 성형
원문 블로그 카테고리를 정리해 함께 표시합니다.
이미지 수
12
현재 아카이브에 연결된 이미지 수입니다.
아카이브 요약
디데이치과의원의 네이버 블로그 원문을 보존한 아카이브 페이지입니다. 잇몸/치아 성형 카테고리의 [진심인터뷰] “잇몸성형, 안 할 이유가 1도 없어요” 예비신부의 후기 글을 통해 병원의 한국어 정보 제공 방식과 진료 관련 안내 톤을 확인할 수 있습니다.
원문 검증
필요하면 원문 블로그와 병원 프로필로 바로 이동해 문맥을 다시 확인할 수 있습니다.
출처 아카이브 열기반갑습니다. #선릉역치과 #디데이치과 김무진 대표원장입니다.
일생에 단 한번 뿐인 특별한 세레모니. 바로 결혼식인데요.
![[진심인터뷰] “잇몸성형, 안 할 이유가 1도 없어요” 예비신부의 후기 관련 이미지 1](https://pub-9f2bb3498faf4d1d8714b41df24753e3.r2.dev/content/clinics/archive/6iramdrn2c/naver_blog/ddaydent_1/assets/by_hash/5440b5dc99d8afede35738bfe569a5641d653f979aff67df3ff5b30b14249a21.jpg)
인생 최고의 날을 맞이해 더 환하게, 예쁘게 웃는 모습을 감사한 하객분들에게 보여드리고,
또 사진과 영상을 통해 평생 남기고자 하는 욕심. 누구나 있으실 것 같습니다.
오늘 인터뷰 소개해드릴 환자분 역시 결혼을 앞두고 환하게 웃고 싶은 마음에 #잇몸성형 시술하신 환자분인데요.
실제로 시술을 마치신 환자분의 생생한 목소리로
#잇몸성형통증, 회복기간, 시술 후 만족도 등의 자세한 #잇몸성형후기 를 들어보도록 하겠습니다.
먼저 환자분의 시술 전, 후 모습을 함께 보여드리니 인터뷰 읽는데 참고하시기 바랍니다 ^^
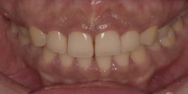
![[진심인터뷰] “잇몸성형, 안 할 이유가 1도 없어요” 예비신부의 후기 관련 이미지 2](https://pub-9f2bb3498faf4d1d8714b41df24753e3.r2.dev/content/clinics/archive/6iramdrn2c/naver_blog/ddaydent_1/assets/by_hash/57ca7836ad89122f828a5a10bebd4da062d4c616530b31a7e16473750a26105a.jpg)
잇몸성형 시술 전
2023-12-18
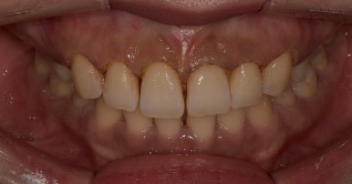
![[진심인터뷰] “잇몸성형, 안 할 이유가 1도 없어요” 예비신부의 후기 관련 이미지 3](https://pub-9f2bb3498faf4d1d8714b41df24753e3.r2.dev/content/clinics/archive/6iramdrn2c/naver_blog/ddaydent_1/assets/by_hash/c9ebdd5b1aec6734e91fe566fed52714c818283c74a021e735238c80eaa4d289.jpg)
잇몸성형 1차 시술 직후
2023-12-18
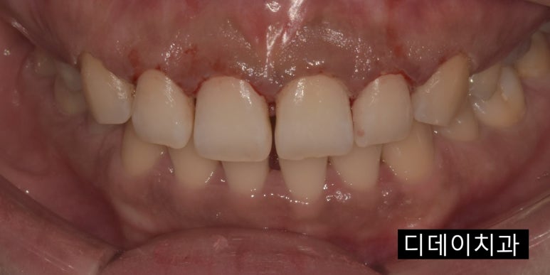
![[진심인터뷰] “잇몸성형, 안 할 이유가 1도 없어요” 예비신부의 후기 관련 이미지 4](https://pub-9f2bb3498faf4d1d8714b41df24753e3.r2.dev/content/clinics/archive/6iramdrn2c/naver_blog/ddaydent_1/assets/by_hash/2646e00448d4e3ebc8948ee2c84a281909f364bd7065a39996675612ff0aa851.jpg)
잇몸성형 리터치 후
2024-01-02
Q) 평소에 어떤 부분이 불만족스러워서 잇몸성형을 결심하게 되셨나요?
저는 평소에 잇몸이 많이 보이는 부분뿐만 아니라 잇몸라인이 너무 일자이고 잇몸이 치아를 많이 덮고 있어 치아가 작아보여 꼭 어린이같아 보이는 점이 고민이었습니다. 이 부분때문에 스트레스를 받고 있었지만 어떻게 치료해야할지 잘 몰라서 지켜만 보고 있었어요.
그런데 결혼을 앞두고 얼마 전 웨딩촬영을 하게 되었는데, 저 스스로가 잇몸때문에 시원하게 환하게 웃지 못해서 흔히 말하는 ‘썩소’를 짓고 있는 모습을 보게 되었어요. 웨딩촬영은 보정이 되니 그렇다 치더라도 본식에서는 와주신 하객분들께 환하게 웃는 모습을 보여드리고 싶어서 시술을 결심하게 되었습니다.
Q) 잇몸성형이라는 시술이 있다는 사실조차 잘 모르고, 환자분처럼 스트레스만 받으시는 분들이 정말 많아서 치과의사로서 저도 참 안타깝습니다 ㅠㅠ 환자분께서는 어떻게 잇몸성형이라는 시술을 알게 되셨나요?
![[진심인터뷰] “잇몸성형, 안 할 이유가 1도 없어요” 예비신부의 후기 관련 이미지 5](https://pub-9f2bb3498faf4d1d8714b41df24753e3.r2.dev/content/clinics/archive/6iramdrn2c/naver_blog/ddaydent_1/assets/by_hash/2471254e2c7bf42e95b4ea25f82ee812634f0664c52dbe618110ea9ba00c55b0.jpg)
잇몸성형후기 인터뷰에 응해주신 환자분의 모습
다시 한번 감사드립니다 ^^
저도 마찬가지로 잇몸성형이 있다는 걸 모르고 있었는데요. 우연히 유튜브를 통해 #거미스마일 관련 영상을 보게 되었고, 저도 비슷한 증상이어서 정보를 찾다가 잇몸성형에 대해 알게 되었습니다.
이후에 #잇몸성형잘하는곳 엄청 찾아보다가 디데이치과를 알게 되었는데, 이미 시술하신 다른 분들 후기가 너무 좋아서 상담 후 시술까지 진행하게 되었어요.
Q) 잇몸성형 시술 전 망설이거나 고민되는 부분은 없으셨나요?
잇몸에 손대는거라서 너무 겁나고 무서워서 사실 시술 결심을 하기까지 많이 망설였어요.
![[진심인터뷰] “잇몸성형, 안 할 이유가 1도 없어요” 예비신부의 후기 관련 이미지 6](https://pub-9f2bb3498faf4d1d8714b41df24753e3.r2.dev/content/clinics/archive/6iramdrn2c/naver_blog/ddaydent_1/assets/by_hash/a881d0c253f29050657b81ac5dc0bba92d48073d6b0ae1c08459d349327a4d2d.jpg)
마취도 겁나서 정말 고민 많이 했는데, 결혼식은 물론 그 이후로도 더 환하게, 자신있게 웃고 싶은 마음에 큰 마음을 먹게 됐습니다 ^^
Q) 시술 후 아프거나 불편한 점은 없으셨나요?
앞서 아플까봐 걱정 많이 했다고 말씀드렸는데, 마취하고 나서 진행하는 시술이라 크게 아프거나 불편한 점이 없었습니다.
시술하고나서 잇몸라인이 아무는데 시간이 조금 걸리고, 시술 후 이틀차까지는 양치질할 때 출혈이 조금 있었는데요. 심한 정도는 아니고 잇몸이 부었을 때 피가 나는 정도여서 불편하진 않았습니다.
Q) 전체적인 잇몸성형 만족도는 10점 만점에 몇 점 정도 주고 싶으신가요? 솔직하게 말씀해주셔도 됩니다. 만약 부족한 점이 있었다면 저희가 더 보완할게요 ^^
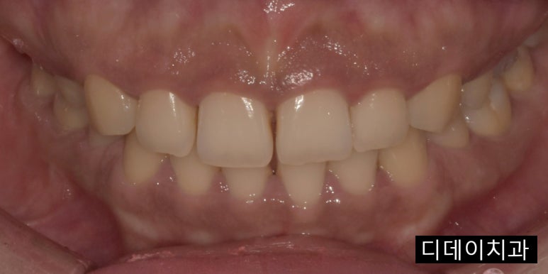
![[진심인터뷰] “잇몸성형, 안 할 이유가 1도 없어요” 예비신부의 후기 관련 이미지 7](https://pub-9f2bb3498faf4d1d8714b41df24753e3.r2.dev/content/clinics/archive/6iramdrn2c/naver_blog/ddaydent_1/assets/by_hash/0be60da2e00bab41bc380b740810a1dd6ce4c4c34eed4f244c63bd64e700282e.jpg)
![[진심인터뷰] “잇몸성형, 안 할 이유가 1도 없어요” 예비신부의 후기 관련 이미지 8](https://pub-9f2bb3498faf4d1d8714b41df24753e3.r2.dev/content/clinics/archive/6iramdrn2c/naver_blog/ddaydent_1/assets/by_hash/206d8670948f2b4acdb2be66620e4c45d83435fcef0c235afb67b3fbf5d6e309.jpg)
잇몸성형 전후모습 비교
(전) 2023-12-18 (후) 2024-01-02
솔직하게 말씀드려서 만족도 10점 만점에 10점입니다!
시술 후에 잇몸라인도 동그랗게 정리되고 치아도 예전보다 커보여서 어린이 치아같아 보였던 점도 정말 많이 개선됐어요. 너무 만족스럽습니다!!
Q) 만약 지인이나 가족 등 가까운 사람이 환자분과 비슷한 문제로 고민이라면 잇몸성형 시술을 추천하실 의향이 있으신가요?
네 추천하고 싶습니다. 사실 이미 여러 친구들한테 추천했어요 ^^;;
시술 시간이나 회복기간이 그리 오래 걸리지도 않고, 특히 디데이치과는 #잇몸성형비용 역시 너무 합리적이어서 만약 저 같은 문제로 고민하고 있는 사람이 있다면 추천하고 싶습니다.
시술을 모두 마친 후 환자분들께서 오랜 시간 스트레스가 해결되었다고 기뻐하시는 모습을 볼 때
치과의사로서의 보람을 느끼곤 하는데요.
저희 디데이치과에서 시술하신 후 이렇게 만족도가 높다고 하니 시술을 진행한 치과의사로서 너무나 뿌듯하고 기뻤습니다.
우리 환자분 본식 때도 활짝 웃으시면서 예쁜 모습 많이 남기시길 기원하겠습니다 ^^
이번 케이스 환자분도 마찬가지지만 아직 잇몸성형이라는 시술이 있는지 잘 모르시는 분들도 많을 것 같은데요.
오늘 글을 읽으시다가 궁금한 점이 있으시거나 저희 디데이치과에서 상담을 원하신다면 언제든지 문의주셔도 좋습니다.
그럼 다음에 또 실제 환자의 생생한 목소리를 담은 인터뷰 컨텐츠로 돌아오겠습니다.
지금까지 디데이치과 김무진 대표원장이었습니다.
![[진심인터뷰] “잇몸성형, 안 할 이유가 1도 없어요” 예비신부의 후기 관련 이미지 9](https://pub-9f2bb3498faf4d1d8714b41df24753e3.r2.dev/content/clinics/archive/6iramdrn2c/naver_blog/ddaydent_1/assets/by_hash/e864698d4e5bbc04e3a9ba2e83fadbd6fa57f292b486d7d76d9d41fb6f3ad238.png)
![[진심인터뷰] “잇몸성형, 안 할 이유가 1도 없어요” 예비신부의 후기 관련 이미지 10](https://pub-9f2bb3498faf4d1d8714b41df24753e3.r2.dev/content/clinics/archive/6iramdrn2c/naver_blog/ddaydent_1/assets/by_hash/f0d8772710bd46fd13b2c63b70a7cd387f53541bfd9c6e2941186eae3abd40aa.png)
![[진심인터뷰] “잇몸성형, 안 할 이유가 1도 없어요” 예비신부의 후기 관련 이미지 11](https://pub-9f2bb3498faf4d1d8714b41df24753e3.r2.dev/content/clinics/archive/6iramdrn2c/naver_blog/ddaydent_1/assets/by_hash/1e993621af5c9304bcf345beb2e14921b604fe80b76c54e0bc50f8e415f1a849.png)
| 서울 디데이치과 진료 문의 |
|---|
| 대표전화 : 02-568-2877 (바로가기)네이버 톡톡 문의 (바로 가기) |
▲ 모바일에서 전화 버튼을 누르시면 병원으로 연결됩니다 ▲
![[진심인터뷰] “잇몸성형, 안 할 이유가 1도 없어요” 예비신부의 후기 관련 이미지 12](https://pub-9f2bb3498faf4d1d8714b41df24753e3.r2.dev/content/clinics/archive/6iramdrn2c/naver_blog/ddaydent_1/assets/by_hash/902c035644104fb152b80710660b6fa20a1a3870fa6e0fe286fe2674ee1a4208.png)
| 본 게시물은 의료광고법 제56조 1항을 준수하여, 의료 정보 제공 및 병원 홍보를 목적으로 디데이치과의원에서 직접 작성하였습니다.다만, 블로그에서 제공해 드리는 정보는 참조용으로만 활용하시고, 정확한 개인의 증상 파악은 의료기관에 직접 내방하시어 의료진을 통해 확인하실 것을 권유 드립니다.치과에서 진행되는 모든 시술 및 수술은 개인에 따라 부작용 (염증, 출혈, 부기, 신경 손상 등) 가능성이 있습니다. 따라서 사전에 의료진과 충분한 상담을 통해 결정하시길 바랍니다.게시물의 치료 사진은 실제 본원에서 모든 치료 과정을 마친 환자분의 동의하에 촬영되었습니다. 전후 사진은 동일인이며, 동일 조건하에 촬영되었음을 밝힙니다. |