아카이브 요약
이 페이지의 역할
디데이치과의원의 네이버 블로그 원문을 보존한 아카이브 페이지입니다. 임플란트 카테고리의 임플란트치아보험, 이렇게 하면 보장 못받을 수도 있습니다. 글을 통해 병원의 한국어 정보 제공 방식과 진료 관련 안내 톤을 확인할 수 있습니다.
원문 검증
필요하면 원문 블로그와 병원 프로필로 바로 이동해 문맥을 다시 확인할 수 있습니다.
출처 아카이브 열기아카이브된 블로그 글
디데이치과의원 · 통합치의학과 전문의 2명의 솔직한 치과 이야기
반갑습니다. #선릉역치과 #디데이치과 김무진 대표원장입니다. 어느 질환이나 마찬가지겠지만 치과 치료 역시도 치료할 치아 개수가 많아지거나, 상태가 악화되면 악화될수록 치료에 필요한 비용이 많이 들 수밖에 없는데요. 특히 치과 치료중에 가장 비싼 치료 항목인 #임플란트 의 경우 많은 환자...
게시일
2024년 1월 18일
원문 기준으로 확인된 발행일입니다.
카테고리
임플란트
원문 블로그 카테고리를 정리해 함께 표시합니다.
이미지 수
12
현재 아카이브에 연결된 이미지 수입니다.
아카이브 요약
디데이치과의원의 네이버 블로그 원문을 보존한 아카이브 페이지입니다. 임플란트 카테고리의 임플란트치아보험, 이렇게 하면 보장 못받을 수도 있습니다. 글을 통해 병원의 한국어 정보 제공 방식과 진료 관련 안내 톤을 확인할 수 있습니다.
원문 검증
필요하면 원문 블로그와 병원 프로필로 바로 이동해 문맥을 다시 확인할 수 있습니다.
출처 아카이브 열기반갑습니다. #선릉역치과 #디데이치과 김무진 대표원장입니다.
어느 질환이나 마찬가지겠지만 치과 치료 역시도 치료할 치아 개수가 많아지거나,
상태가 악화되면 악화될수록 치료에 필요한 비용이 많이 들 수밖에 없는데요.

특히 치과 치료중에 가장 비싼 치료 항목인 #임플란트 의 경우
많은 환자분들께서 비용 부담을 덜기 위해 #임플란트치아보험 에 가입하시는 분들이 많습니다.
하지만 잘못하면 애써 가입한 보험 혜택을 제대로 받을 수 없기 때문에 주의가 필요한데요.
저는 치과의사이지 보험전문가가 아니기 때문에 보험에 대해 자세하게 설명드릴 수는 없지만
여러분께서 임플란트치아보험 혜택을 받으시기 위해 주의하셔야 할 점을 몇 가지 말씀드리려고 합니다.

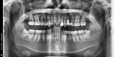
임플란트 수술 전 이미 치아가 발치되어 있는 상태
2023-01-06
치과에 오시는 환자분들 중에는 이미 치아가 발치 되어있는 환자분들도 꽤 계신데요.
다른 치과에서 발치를 하신 경우도 있고, 잇몸 상태가 너무 좋지 않아서 저절로 치아가 빠진 경우도 있습니다.
치주염이 악화되어 잇몸뼈가 소실된 나머지 치아를 계속 지탱하고 있을 수 없어 치아가 빠져버리는 것이죠.
다츤 치과에서 발치를 하신 경우라면 비교적 보장을 받기가 수월할 수 있지만
저절로 치아가 빠진 경우라면 임플란트치아보험 보장을 받기가 어려울 수도 있는데요.

보통 사보험은 보험의 보장 개시일 이후에 치아가 있었던 상태임이 확인이 되어야 보장을 해줍니다.
보장 개시일은 보험 상품마다, 회사마다 다를 수 있으니 가입하신 보험사에 확인하셔야 하는데
가입일로부터 최소 몇 개월은 지나야 보장이 개시가 되는 점 참고해주세요.


예를 들어 만약 환자분이 오늘, 2024년 1월 18일에 저희 치과에 오셔서 엑스레이를 찍으셨다고 가정해볼게요.
엑스레이에서 임플란트 해야할 치아가 있었던 것이 확인이 되는 경우에는
추후 발치 후 임플란트를 식립한다면 아마 보장받으시는데 큰 문제는 없으실 겁니다.

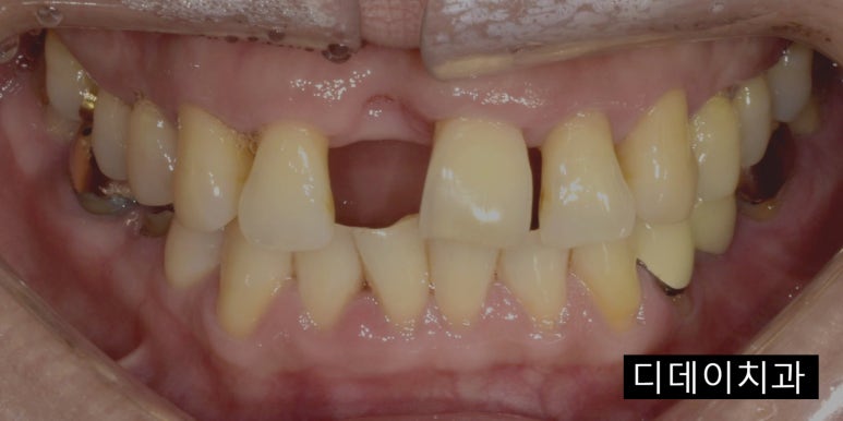
치아가 상실된 상태에서 내원해주신 케이스
2023-03-03
하지만 만약 임플란트 해야하는 치아가 엑스레이 상에서 확인이 되지 않는다면 문제가 될 수 있어요.
다른 치과에 해당 치아를 발치했다는 기록이 있고, 엑스레이로도 확인이 가능한 경우라면 괜찮지만
자연적으로 빠진 경우에는 보장개시일 이후 치아가 있었다는 것이 증명되지 않으니
임플란트치아보험 지급을 거절할 수도 있습니다.

그래서 만약에 치주 질환이 악화되어 치아가 자연적으로 빠졌다면
바로 가까운 치과로 가셔서 자연적으로 발치가 되었다는 소견서 또는 진단서를 받아두시는 것이 좋습니다.
또한 임플란트치아보험에서 보장을 받으려면 식립한 날짜가 아니라 치아를 발치한 날짜를 기준으로 한다는 점,
영구치는 보장이 가능하지만 유치나 사랑니는 보장 대상에서 제외된다는 점도 참고하시면 좋을 것 같네요 ^^
보험에 따라 다르지만 치아 머리도 남아있어야 보장이 가능하고, 뿌리만 남아있는 경우에는 보장이 되지 않기도 합니다.

가끔 보면 가입하신 보험이 어떤 치료를, 어떻게, 몇개나 보장하는지 잘 모르시는데요.
이는 보험 약관이나 증권을 보아야 알 수 있는 부분이기 때문에
치아보험을 가지고 계시고 곧 치과 치료를 받으실 예정이라면 반드시 체크를 해보신 후 치료 계획을 세우시는 것이 좋을 것 같습니다.
많이들 가입하시는 치아보험, 오늘 말씀드렸듯이 혜택을 제대로 받기 위해서는 주의사항도 있는데요.
만약 저희 디데이치과에서 치료받으신 후 보험 청구와 관련해 도움을 요청하신다면 물심양면으로 도와드리겠습니다.
하지만 치아보험 혜택을 받기 위해 A인 사실을 B로 작성해 달라거나,
날짜를 변경해 달라거나 하는 부탁은 절대 하시면 안되고, 저희가 들어드릴 수도 없다는 점은
여러분께 단호하게 말씀드리고 싶습니다.
언제나 바른 치료, 바른 길을 안내하는 디데이치과 김무진 대표원장이었습니다.
오늘도 긴 글 읽어주셔서 감사드립니다!



| 서울 디데이치과 진료 문의 |
|---|
| 대표전화 : 02-568-2877 (바로가기)네이버 톡톡 문의 (바로 가기) |
▲ 모바일에서 전화 버튼을 누르시면 병원으로 연결됩니다 ▲

| 본 게시물은 의료광고법 제56조 1항을 준수하여, 의료 정보 제공 및 병원 홍보를 목적으로 디데이치과의원에서 직접 작성하였습니다.다만, 블로그에서 제공해 드리는 정보는 참조용으로만 활용하시고, 정확한 개인의 증상 파악은 의료기관에 직접 내방하시어 의료진을 통해 확인하실 것을 권유 드립니다.치과에서 진행되는 모든 시술 및 수술은 개인에 따라 부작용 (염증, 출혈, 부기, 신경 손상 등) 가능성이 있습니다. 따라서 사전에 의료진과 충분한 상담을 통해 결정하시길 바랍니다.게시물의 치료 사진은 실제 본원에서 모든 치료 과정을 마친 환자분의 동의하에 촬영되었습니다. 전후 사진은 동일인이며, 동일 조건하에 촬영되었음을 밝힙니다. |