아카이브 요약
이 페이지의 역할
디데이치과의원의 네이버 블로그 원문을 보존한 아카이브 페이지입니다. 치아미백 카테고리의 치아미백비용, 치과가 10배 비싼데도 시술하는 이유? 글을 통해 병원의 한국어 정보 제공 방식과 진료 관련 안내 톤을 확인할 수 있습니다.
원문 검증
필요하면 원문 블로그와 병원 프로필로 바로 이동해 문맥을 다시 확인할 수 있습니다.
출처 아카이브 열기아카이브된 블로그 글
디데이치과의원 · Naver Blog
반갑습니다. #선릉역치과 #디데이치과 오태훈 대표원장입니다. 환하게 웃을 때의 하얀 치아를 동경하는 사람들로 인해 시중에는 각종 #치아미백 제품들과 #미백치약 등 다양한 상품이 판매되고 있고 치과에서도 역시 이런 분들을 위해 전문가가 직접 치료하는 치아미백을 시행하고 있습니다. 흡연으로 인해...
게시일
2024년 1월 22일
원문 기준으로 확인된 발행일입니다.
카테고리
치아미백
원문 블로그 카테고리를 정리해 함께 표시합니다.
이미지 수
15
현재 아카이브에 연결된 이미지 수입니다.
아카이브 요약
디데이치과의원의 네이버 블로그 원문을 보존한 아카이브 페이지입니다. 치아미백 카테고리의 치아미백비용, 치과가 10배 비싼데도 시술하는 이유? 글을 통해 병원의 한국어 정보 제공 방식과 진료 관련 안내 톤을 확인할 수 있습니다.
원문 검증
필요하면 원문 블로그와 병원 프로필로 바로 이동해 문맥을 다시 확인할 수 있습니다.
출처 아카이브 열기반갑습니다. #선릉역치과 #디데이치과 오태훈 대표원장입니다.
환하게 웃을 때의 하얀 치아를 동경하는 사람들로 인해
시중에는 각종 #치아미백 제품들과 #미백치약 등 다양한 상품이 판매되고 있고
치과에서도 역시 이런 분들을 위해 전문가가 직접 치료하는 치아미백을 시행하고 있습니다.


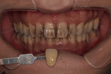
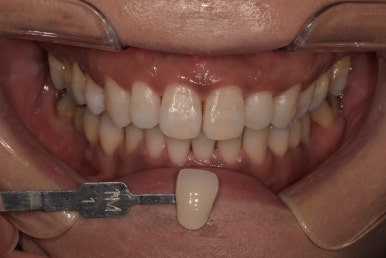
흡연으로 인해 치아가 착색된 상태로 치아미백 시술하신 환자분
디데이치과에서 실제로 시술하신 환자분의 사진입니다
2024-01-19
아마 치아미백에 관심이 있으신 분들이라면 알아보셨겠지만
치과에서 시행하는 치아미백은 적어도 30만원에서 많게는 60~70만원의 비용이 들기도 합니다.
(TMI: 저희 디데이치과는 1일 3회 원데이 치아미백이 33만원입니다.)
시중에 판매하는 치아미백 제품의 평균적인 가격은 약 2주 사용분 기준으로 2~3만원대인 것 같은데요.
#치과치아미백비용 이 시중에 판매되는 제품을 이용한 치아미백비용에 비해 약 10배 혹은 그 이상 비쌉니다.

그런데 왜 그럼에도 불구하고 많은 사람들이 치과에서 치아미백을 하는걸까요?
정답은 바로 치료 효과와 치료의 용이성 때문입니다.
물론 치과에서 치아미백 시술을 한다고 하더라도 모든 사람들이 효과를 보는 것은 아닙니다.
효과에는 개인차가 있고 개인마다 느끼는 정도도 다를 수 있습니다.
또한 미백 시술 시 치아가 간헐적으로 찌릿한 느낌이 드는 부작용도 있을 수 있지요.
치아가 일시적으로 예민해져서 그럴 수 있고 수일 내 사라지기는 하지만요.

하지만 제가 디데이치과를 개원한 이후로 현재까지 수많은 미백 환자를 본 결과
대부분의 환자분들은 평균적으로 치아 색상이 시술 전보다 2~3톤 정도 밝아지는 것을 확인할 수 있었습니다.
보통 시중에 판매하는 미백제품은 적어도 2주 정도 매일매일 하루 1회씩 꾸준히 사용해주셔야
효과를 볼 수 있는 반면에 (사실 효과를 볼 수 있을지 그렇지 않을지 미지수…)
블로그를 통해 여러번 말씀드렸듯 저희 치과는 하루 안에 미백 3회를 모두 진행하는 원데이 미백이기 때문에
빠르면 하루 안에도 효과를 체감할 수 있다는 장점이 있습니다.


만약 셀프로 치아미백을 하신다면 약 2주라는 시간동안 하루에 한번씩 스스로 미백제를 치아에 도포하거나,
치아에 끼울 수 있는 틀에 미백제를 짜넣어 입에 물고 일정시간 이상 있어야 하는데요.
이 과정이 꽤나 번거롭게 느껴질 수 있습니다.

또한 개인마다 치아의 배열과 모양, 형태가 다르기 때문에
일반적인 형식으로 제작된 틀에 미백제를 짜넣는 방식의 경우 내 치아에 딱 맞는 틀이 아니라서
미백이 고르게 되지 않는 경우도 있을 수 있습니다.

다른 것은 차치하고 무조건 비용이 저렴하고 부담 없이 치료하고 싶으신 분들,
혹은 치과에 방문하기는 번거롭고 꾸준히 관리차원에서 장기간으로 치료하고 싶으신 분들이라면
미백제품을 통해 치아미백비용을 세이브할 수 있겠죠.

하지만 이왕 미백치료를 한다면 효과도 체감할 수 있었으면 하고, 셀프로 매일 관리하기는 힘들어서
단기간에 빠르게 치료를 완료하고 싶다면 치아미백비용이 다소 비싸더라도 치과에서 치료하시면 됩니다.
즉, 제가 드리고 싶은 말씀은 제가 치과의사이고 저희 치과가 치아미백을 전문적으로 진행하고 있기 때문에
무조건 치과에서 하는 미백이 옳고 이 방식만이 효과가 있다는 말이 아닙니다.

개개인의 선호에 따라서 원하는 치료 방식이 달라질 수 있기 때문에 이 점을 아셔야
비용과 시간을 투자한 만큼의 효과를 얻을 수 있다는 점을 꼭 말씀드리고 싶습니다.
아무래도 제가 현직에 있는 치과의사이고 치아미백 후 밝아진 환자분들의 치아를 매일 보고 있어서
치과치아미백에 대해 더 긍정적으로 말씀드렸을 수 있습니다.

저의 의견을 참고 하셔서 여러분 스스로가 더 편하게, 비용적인 부담이 크지 않게,
투자한 만큼의 효과를 볼 수 있을 것이라 판단되는 선택을 하시길 바라며
저희 디데이치과로 관련 문의주시면 가능한 한 자세하고 친절하게 상담 도와드리겠습니다.
지금까지 디데이치과 오태훈 대표원장이었습니다. 감사합니다!



| 서울 디데이치과 진료 문의 |
|---|
| 대표전화 : 02-568-2877 (바로가기)네이버 톡톡 문의 (바로 가기) |
▲ 모바일에서 전화 버튼을 누르시면 병원으로 연결됩니다 ▲

| 본 게시물은 의료광고법 제56조 1항을 준수하여, 의료 정보 제공 및 병원 홍보를 목적으로 디데이치과의원에서 직접 작성하였습니다.다만, 블로그에서 제공해 드리는 정보는 참조용으로만 활용하시고, 정확한 개인의 증상 파악은 의료기관에 직접 내방하시어 의료진을 통해 확인하실 것을 권유 드립니다.치과에서 진행되는 모든 시술 및 수술은 개인에 따라 부작용 (염증, 출혈, 부기, 신경 손상 등) 가능성이 있습니다. 따라서 사전에 의료진과 충분한 상담을 통해 결정하시길 바랍니다.게시물의 치료 사진은 실제 본원에서 모든 치료 과정을 마친 환자분의 동의하에 촬영되었습니다. 전후 사진은 동일인이며, 동일 조건하에 촬영되었음을 밝힙니다. |