아카이브 요약
이 페이지의 역할
디데이치과의원의 네이버 블로그 원문을 보존한 아카이브 페이지입니다. 일반치료 카테고리의 앞니브릿지, 오래된 브릿지교체하신 치료사례와 비용공개합니다. 글을 통해 병원의 한국어 정보 제공 방식과 진료 관련 안내 톤을 확인할 수 있습니다.
원문 검증
필요하면 원문 블로그와 병원 프로필로 바로 이동해 문맥을 다시 확인할 수 있습니다.
출처 아카이브 열기아카이브된 블로그 글
디데이치과의원 · Naver Blog
반갑습니다. #선릉역치과 #디데이치과 김무진 대표원장입니다. 오랜만에 인사드리는 것 같은데요. 보시는 여러분 모두 설날 명절 잘 보내셨기를 바랍니다 ^^ 오늘은 작년 저희 디데이치과에서 #앞니브릿지, #라미네이트 치료를 마치신 환자분의 사례를 소개해 드리려고 하는데요. 환자분의 치료 전후 모습...
게시일
2024년 2월 13일
원문 기준으로 확인된 발행일입니다.
카테고리
일반치료
원문 블로그 카테고리를 정리해 함께 표시합니다.
이미지 수
17
현재 아카이브에 연결된 이미지 수입니다.
아카이브 요약
디데이치과의원의 네이버 블로그 원문을 보존한 아카이브 페이지입니다. 일반치료 카테고리의 앞니브릿지, 오래된 브릿지교체하신 치료사례와 비용공개합니다. 글을 통해 병원의 한국어 정보 제공 방식과 진료 관련 안내 톤을 확인할 수 있습니다.
원문 검증
필요하면 원문 블로그와 병원 프로필로 바로 이동해 문맥을 다시 확인할 수 있습니다.
출처 아카이브 열기반갑습니다. #선릉역치과 #디데이치과 김무진 대표원장입니다.
오랜만에 인사드리는 것 같은데요. 보시는 여러분 모두 설날 명절 잘 보내셨기를 바랍니다 ^^

오늘은 작년 저희 디데이치과에서 #앞니브릿지, #라미네이트 치료를 마치신 환자분의 사례를 소개해 드리려고 하는데요.
환자분의 치료 전후 모습과 함께 #브릿지치료비용 또한 속 시원하게 밝혀드릴 예정이니 잠시만 주목해주세요!
앞니를 못쓰게 되어 브릿지 치료가 필요하시거나, 예전에 치료받은 브릿지를 교체하셔야 한다면
오늘 글을 통해 환자분께 꼭 필요한 정보를 얻어가실 수 있으리라 생각합니다.


앞니 브릿지 모형
우선 브릿지라는 시술이 무엇인지부터 설명을 드려야 할 것 같네요.
치아에 있어 브릿지란 못쓰게 된 치아를 대체할 용도로 크라운을 2개 이상 연결해 만드는 보철물입니다.
보통 크라운은 하나 하나가 별도의 보철물인데, 브릿지는 이 보철물이 서로 연결되어 있다는 차이점이 있습니다.
양 옆 치아를 크라운으로 씌워주면서 못쓰게 된 치아의 빈 공간을 가짜치아로 채워주는 것이죠.

브릿지 예시
요즘은 치아를 하나 이상 못쓰게 되었을 때 임플란트로 치료하는 경우가 많습니다.
하지만 임플란트 치료는 완료될 때까지 적어도 34개월 이상 걸리는 반면에 브릿지는 약 23주 정도면 완료할 수 있습니다.
따라서 치료할 수 있는 시간적 여유가 없으신 분들이나, 임플란트를 심기에 치아의 빈 공간이 좁거나 하는 경우 고려해볼 수 있는 치료이죠.

임플란트에 비해 개당 치료비용은 저렴한 편이지만, 브릿지는 2개 이상의 크라운 비용과 동일하기 때문에
(저희 디데이치과를 기준으로 하면 치아 3개로 브릿지를 만들 경우 45*3=약 135만원입니다.)
치료할 치아의 위치와 공간, 치료까지 필요한 시간과 비용을 잘 따져서
전문의와의 충분한 논의를 거쳐 치료를 진행하는 것이 좋습니다.

브릿지는 치료 기간이 임플란트에 비해 비교적 짧으면서도 상실한 치아를 대체할 수 있다는 장점이 있지만
브릿지를 장착하기 위해서 상실한 양 옆의 치아를 깎아내 씌워야 하고,
치아 하나에 문제가 생겨도 전체 앞니브릿지교체를 해야하거나 다시 치료해야한다는 단점도 있다는 점은 기억해주세요.

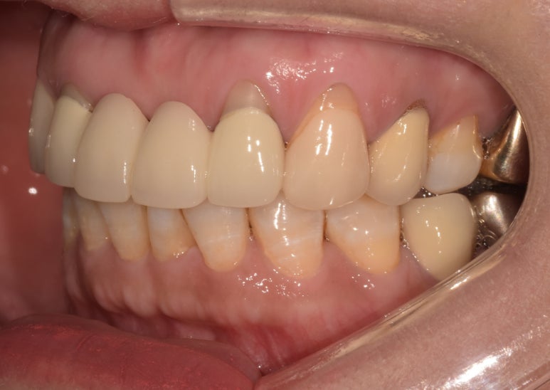
앞니브릿지교체 전
2023-11-17

앞니브릿지교체 전 앞니가 앞을 향해 뻗어있는 뻐드렁니인 모습
2023-11-17
이번에 저희 치과에서 치료를 받으신 위 사진의 환자분은 오래 전 앞니에 브릿지를 하셨다가
시간이 오래 지나면서 잇몸이 내려앉아 앞니 사이에 공간이 생기고,
보철물과 잇몸의 경계가 노출되어 이가 시릴 뿐 아니라 심미적으로도 만족스럽지 못한 상태를 개선하기 위해 내원해 주셨습니다.
보시는 것처럼 잇몸이 내려앉으면서 앞니 사이에 작게 틈새가 생겼고,
#12, 22, 23 치아는 보철물의 경계면이 노출되어 있는 것을 확인하실 수 있습니다.

잇몸이 내려앉으면 보철물의 경계 부분이 드러나보일 수 있어 교체해주는 것이 보다 자연스럽습니다.
이런 경우 온도 변화에 민감하거나 시린듯한 통증이 나타날 수 있고,
심미적으로 만족도가 떨어질 수 있기 때문에 보철물을 새롭게 교체해 주시는 것이 좋습니다.
따라서 이 환자분은 현재의 잇몸라인에 알맞도록 #앞니브릿지교체 해주고,
특히 잇몸이 많이 내려가있는 #23 치아의 라미네이트도 함께 교체하기로 했습니다.

크라운과 라미네이트 차이
이럴 때 브릿지(#지르코니아)와 라미네이트(#올세라믹)의 소재 차이로 인해 걱정하실 수 있는데,
최대한 두 보철물 사이의 차이가 크지 않도록 색상과 투명도를 신경써서 제작하기로 했고요.
더불어 심미적인 부분을 조금 더 보완하기 위해 기존에 길었던 치아의 길이도 짧게 줄이고
앞으로 뻐드러진 형태도 수정해서 더 가지런하게 했습니다.

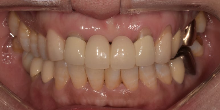
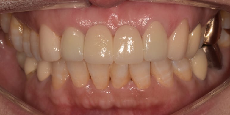
앞니브릿지 교체 전
2023-11-17

앞니브릿지 교체 후
2023-12-02
보철물 교체 후 모습을 보시면 전보다 더 자연스러워 보이면서도
잇몸라인과 보철물의 라인이 딱 맞도록 잘 맞춰진 것을 확인하실 수 있고,
치아의 길이도 다소 짧아져 더 가지런하게 보입니다.
브릿지와 라미네이트의 색상 차이도 거의 없어 구분이 잘 되지 않죠? ^^
적지 않은 비용이 들어가는 치아의 보철치료이기 때문에 할 수만 있다면 평생 사용하면 좋겠죠.
하지만 오늘 이 환자분의 사례처럼 잇몸이 내려앉는다거나, 충치나 염증이 생기는 등
다양한 이유로 앞니브릿지교체 또는 크라운 교체 등이 불가피할 수도 있습니다.

즉, 애써 큰 돈 들여서 한 보철물을 더 오래쓰기 위해서는 잇몸관리와 개인위생관리를 더 철저히 해주셔야 합니다.
아프지 않더라도 치과에 꼭 방문하셔서 현재 잇몸과 치아 상태, 보철물 상태를 체크해주시는 것이 바람직하고
스케일링, 필요한 경우 잇몸치료도 진행해주시면 염증 예방에 큰 도움이 됩니다.
치과와 친해지는 것이 건강한 치아와 잇몸을 지키는 지름길이라는 사실 꼭 기억해주시고
오늘 말씀드린 브릿지치료나 브릿지교체 등에 대해 더 궁금한 점 있으시다면 저희 디데이치과로 문의주셔도 좋습니다.
언제나 정확하게, 빠르게 안내 도와드릴 것을 약속드리며 이만 인사드리겠습니다.
긴 글 읽어주셔서 감사합니다. 지금까지 디데이치과 김무진 대표원장이었습니다!



| 서울 디데이치과 진료 문의 |
|---|
| 대표전화 : 02-568-2877 (바로가기)네이버 톡톡 문의 (바로 가기) |
▲ 모바일에서 전화 버튼을 누르시면 병원으로 연결됩니다 ▲

| 본 게시물은 의료광고법 제56조 1항을 준수하여, 의료 정보 제공 및 병원 홍보를 목적으로 디데이치과의원에서 직접 작성하였습니다.다만, 블로그에서 제공해 드리는 정보는 참조용으로만 활용하시고, 정확한 개인의 증상 파악은 의료기관에 직접 내방하시어 의료진을 통해 확인하실 것을 권유 드립니다.치과에서 진행되는 모든 시술 및 수술은 개인에 따라 부작용 (염증, 출혈, 부기, 신경 손상 등) 가능성이 있습니다. 따라서 사전에 의료진과 충분한 상담을 통해 결정하시길 바랍니다.게시물의 치료 사진은 실제 본원에서 모든 치료 과정을 마친 환자분의 동의하에 촬영되었습니다. 전후 사진은 동일인이며, 동일 조건하에 촬영되었음을 밝힙니다. |