아카이브 요약
이 페이지의 역할
디데이치과의원의 네이버 블로그 원문을 보존한 아카이브 페이지입니다. 라미네이트 카테고리의 덧니교정만 된다? 라미네이트로도 덧니 치료 가능합니다. 글을 통해 병원의 한국어 정보 제공 방식과 진료 관련 안내 톤을 확인할 수 있습니다.
원문 검증
필요하면 원문 블로그와 병원 프로필로 바로 이동해 문맥을 다시 확인할 수 있습니다.
출처 아카이브 열기아카이브된 블로그 글
디데이치과의원 · Naver Blog
반갑습니다. 치아 심미치료에 진심인 치과의사, #선릉역치과 #디데이치과 김무진 대표원장입니다. 치과 전 영역을 다룰 수 있는 통합치의학과 전문의이기 때문에 충치치료나 임플란트 등도 당연히 자신이 있지만, 특히 심미치료에 진심인 이유가 있는데요. 치아를 더 예뻐보이게 만드는 치료를...
게시일
2024년 2월 16일
원문 기준으로 확인된 발행일입니다.
카테고리
라미네이트
원문 블로그 카테고리를 정리해 함께 표시합니다.
이미지 수
15
현재 아카이브에 연결된 이미지 수입니다.
아카이브 요약
디데이치과의원의 네이버 블로그 원문을 보존한 아카이브 페이지입니다. 라미네이트 카테고리의 덧니교정만 된다? 라미네이트로도 덧니 치료 가능합니다. 글을 통해 병원의 한국어 정보 제공 방식과 진료 관련 안내 톤을 확인할 수 있습니다.
원문 검증
필요하면 원문 블로그와 병원 프로필로 바로 이동해 문맥을 다시 확인할 수 있습니다.
출처 아카이브 열기반갑습니다.
치아 심미치료에 진심인 치과의사, #선릉역치과 #디데이치과 김무진 대표원장입니다.

치과 전 영역을 다룰 수 있는 통합치의학과 전문의이기 때문에
충치치료나 임플란트 등도 당연히 자신이 있지만, 특히 심미치료에 진심인 이유가 있는데요.

치아를 더 예뻐보이게 만드는 치료를 해드려서 환자분의 자신감과 의욕을 북돋워드리는 일이 매우 보람차기 때문입니다.
오늘도 저의 글을 읽어보시고 덧니때문에 교정을 해야할지 고민이신 분들에게 조금이라도 도음이 되었으면 하는 마음에
#덧니교정, #덧니라미네이트 관련 정보를 아낌없이 퍼드릴 예정이니 잠시만 주목해주세요.

치아 한두개가 유난히 툭 튀어나와있는 #덧니 로 인해 스트레스 받는 분들 참 많으실겁니다.
덧니는 귀여운 이미지를 주기도 하지만, 반대로 가지런하지 못하다, 깔끔하지 못하다는 인상을 주기도 하니까요.
덧니는 치아가 맹출해야 할 공간의 부족으로 약간 비뚤어져 나거나, 덧대어져 나는 치아를 의미합니다.
이런 특성상 전체적인 치아의 배열이 어긋나보이기도 하고, 가지런하지 못하게 되죠.

덧니때문에 고민이셔서 이를 해소하기 위해 정보를 찾아보신 분들이라면 교정 치료를 한번쯤 고민해보셨을 것 같습니다.
하지만 덧니라고 해서 꼭 교정을 해야하는 것은 아닙니다.
심한 덧니가 아니라 비교적 정도가 심하지 않는 덧니는 라미네이트로도 치료할 수 있는데요.
최근 저희 디데이치과에서 덧니라미네이트를 실제로 진행하신 환자분도 계시고,
관련 문의들도 많이 받고 있는 상황이라 실제 환자분의 사례를 토대로 설명드려 보겠습니다.

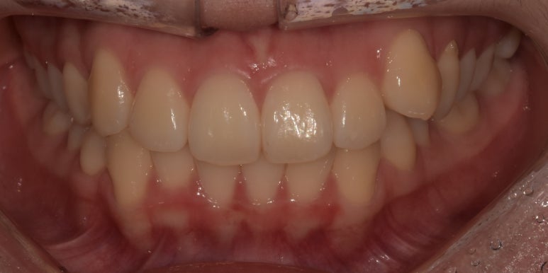
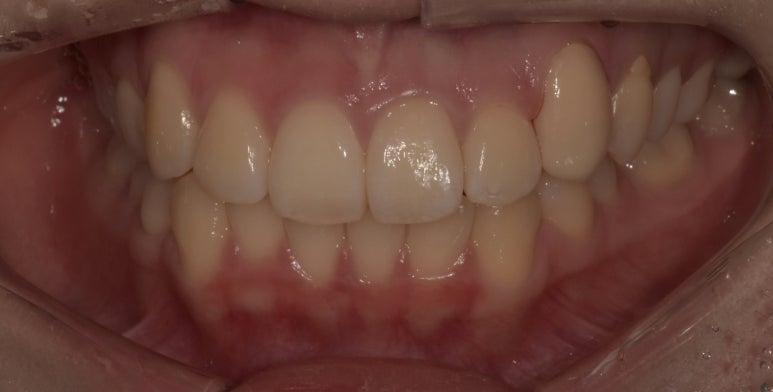
라미네이트 치료 전
2024-01-17
자, 먼저 이번 사례 환자분의 라미네이트 치료 전 사진을 먼저 보여드리겠습니다.
환자분은 다른 치아들은 비교적 가지런한 편인데 왼쪽 3번째 송곳니 (사진상 오른쪽)
#23 치아가 다소 뻐드러져있는 상태였습니다.
그래서 최대한 이 치아를 가지런하게 정돈하는 것을 목표로 치아 1개만 라미네이트 치료를 하기로 했고요.

사실 이렇게 다른 치아보다 앞으로 많이 튀어나온 치아들은
입술과 맞닿는 부분을 많이 깎아내야 다른 치아와 유사하게 맞출 수 있기 때문에 치아 삭제량이 많아질 수밖에 없습니다.
보통 삭제량이 많아지면 라미네이트로는 치아를 튼튼하게 유지하기 어려워
치아를 전체적으로 감싸면서 씌워주는 크라운 치료가 더 적합할 수 있는데요.
오늘 환자분의 경우에는 다행히도 라미네이트로 가능할 것으로 판단해 필요한 최소한의 삭제만으로 라미네이트 치료를 진행했습니다.
다른 치아는 그대로 두고 오로지 덧니라미네이트만 진행하는 상황이라
다른 치아와의 색상 차이에 대해서 걱정하실 수 있을 것 같은데요.
최대한 다른 치아와 이질감이 없이 자연스러운 치아를 완성하기 위해서 꼼꼼하게 쉐이드를 잘 맞춰 작업을 진행했습니다.


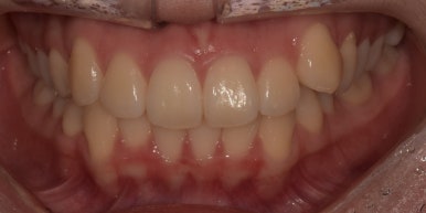
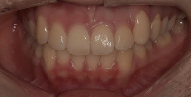
덧니라미네이트 시술 전후
(전) 20241-01-17 (후) 2024-01-24
치료를 마친 모습을 전과 비교해보니 어떤가요?
잇몸라인이 다소 올라가 있는 부분은 어쩔 수 없지만, 앞으로 툭 튀어나와있던 치아가
다른 치아와 유사한 라인으로 맞춰져 더 가지런해 보이죠?
만약 이 환자분이 덧니교정을 진행하셨다면 적어도 6개월~2년 이상의 시간이 걸렸을 겁니다.
그리고 이 치아 하나를 바로잡기 위해 너무 긴 시간과 비용을 투자하라고 추천해 드리기도 어려운 상황이고요.

보시면 라미네이트 한 치아와 다른 치아의 색상 또한 큰 차이가 없는 것이 느껴지시죠?
다른 치아들은 모양이나 색상, 배열에 큰 문제가 없었기 때문에
하나의 치아를 라미네이트로 치료하는 저렴한 비용으로 치료를 마무리할 수 있었습니다.
이렇게 치아 하나만 덧니라미네이트 할 때의 가격은 개당 약 45만원 정도인데요.
부가세가 10% 별도이니 대략 50만원 정도라고 생각해주시면 될 것 같습니다.

긴 시간동안 비용이 많이 드는 교정과 짧은 시간동안 비교적 적은 비용이 드는 라미네이트.
여러분은 어떤 치료를 선택하시겠습니까?
물론 교정 역시 가지런하지 못한 치아 배열을 바로잡아줄 수 있다는 점에서
매우 획기적이고, 또 누군가의 스트레스를 해소하고 치아가 제 기능을 할 수 있게 도와주는 좋은 치료입니다.
무조건 교정하지말고 라미네이트를 하시라는 말이 아닙니다.

개개인의 치아 상태마다 어떤 사람은 교정이 적합할 수도, 어떤 사람은 라미네이트가 적합할 수도 있죠.
그러니 치아를 가장 잘 아는 치과의사에게 조언을 구하고 여러분께 맞는 치료를 추천받아
시간과 비용을 절약하는 지름길을 찾으셨으면 하는 바람입니다.
덧니라미네이트 관련해 더 궁금한 점 있으시면 언제든지 저희 디데이치과로 문의주셔도 좋습니다 :)
그럼 여러분의 문의를 기다리며 이만 물러가겠습니다.
지금까지 치아 심미치료에 진심인 디데이치과 김무진 대표원장이었습니다!
< 이어서 보면 좋은 글 >



| 서울 디데이치과 진료 문의 |
|---|
| 대표전화 : 02-568-2877 (바로가기)네이버 톡톡 문의 (바로 가기) |
▲ 모바일에서 전화 버튼을 누르시면 병원으로 연결됩니다 ▲

| 본 게시물은 의료광고법 제56조 1항을 준수하여, 의료 정보 제공 및 병원 홍보를 목적으로 디데이치과의원에서 직접 작성하였습니다.다만, 블로그에서 제공해 드리는 정보는 참조용으로만 활용하시고, 정확한 개인의 증상 파악은 의료기관에 직접 내방하시어 의료진을 통해 확인하실 것을 권유 드립니다.치과에서 진행되는 모든 시술 및 수술은 개인에 따라 부작용 (염증, 출혈, 부기, 신경 손상 등) 가능성이 있습니다. 따라서 사전에 의료진과 충분한 상담을 통해 결정하시길 바랍니다.게시물의 치료 사진은 실제 본원에서 모든 치료 과정을 마친 환자분의 동의하에 촬영되었습니다. 전후 사진은 동일인이며, 동일 조건하에 촬영되었음을 밝힙니다. |