아카이브 요약
이 페이지의 역할
디데이치과의원의 네이버 블로그 원문을 보존한 아카이브 페이지입니다. 라미네이트 카테고리의 라미네이트 치과? 라미네이트 잘하는 치과 특징 3가지 글을 통해 병원의 한국어 정보 제공 방식과 진료 관련 안내 톤을 확인할 수 있습니다.
원문 검증
필요하면 원문 블로그와 병원 프로필로 바로 이동해 문맥을 다시 확인할 수 있습니다.
출처 아카이브 열기아카이브된 블로그 글
디데이치과의원 · 통합치의학과 전문의 2명의 솔직한 치과 이야기
반갑습니다. 강남 디데이치과 김무진 대표원장입니다. 연예인들 볼때마다 '어쩜 치아가 저리 반듯하고 이쁠까..'라고 생각해본적 있으신가요? 연예인들의 예쁜 치아는 대부분 라미네이트 시술로 만들어졌을 확률이 높습니다. 물론 타고나길 고른 치아거나, 교정을 했을수도 있지만 삐뚤빼뚤한 치아를 가졌던 연예인이...
게시일
2024년 2월 29일
원문 기준으로 확인된 발행일입니다.
카테고리
라미네이트
원문 블로그 카테고리를 정리해 함께 표시합니다.
이미지 수
4
현재 아카이브에 연결된 이미지 수입니다.
아카이브 요약
디데이치과의원의 네이버 블로그 원문을 보존한 아카이브 페이지입니다. 라미네이트 카테고리의 라미네이트 치과? 라미네이트 잘하는 치과 특징 3가지 글을 통해 병원의 한국어 정보 제공 방식과 진료 관련 안내 톤을 확인할 수 있습니다.
원문 검증
필요하면 원문 블로그와 병원 프로필로 바로 이동해 문맥을 다시 확인할 수 있습니다.
출처 아카이브 열기반갑습니다.
강남 디데이치과 김무진 대표원장입니다.
연예인들 볼때마다
'어쩜 치아가 저리 반듯하고 이쁠까..'라고
생각해본적 있으신가요?

연예인들의 예쁜 치아는 대부분 라미네이트
시술로 만들어졌을 확률이 높습니다.
물론 타고나길 고른 치아거나, 교정을 했을수도
있지만 삐뚤빼뚤한 치아를 가졌던 연예인이
어느날 갑자기 고른 치아로 바꼈다면 거의
십중팔구 라미네이트를 했다고 보시면 됩니다.
연예인들은 미디어에 계속해서 노출되다보니
교정을 할 시간적 여유가 없고,
라미네이트의 가장 큰 장점이 단기간 안에
큰 심미적 효과를 볼 수 있는 것이기 때문인데요.
그럼 연예인처럼 예쁘게 라미네이트를 해주는
병원을 어떻게 찾을 수 있을까요?
홍보성 글이 너무 많아 병원 고르기가
어려우시다구요?
이런 분들을 위해 지금부터 라미네이트 잘하는
치과의 3가지 특징을 공개해보도록 하겠습니다.
해당 특징을 가진 치과에 내원하시면
환자분들께서도 연예인처럼 고르고 예쁜 치아를
가지실 수 있습니다. ^^
라미네이트 잘하는 치과 특징
라미네이트는 치과 시술 중에 심미적 감각이
가장 중요한 시술중 하나입니다.
따라서 수술을 하는 의사의 숙련도뿐만 아니라
미감이 매우 중요합니다.
그럼 한 치과 전문의가 실력과 미감을 갖추고
있는지 어떻게 확인할까요?
치과를 오래 운영했다고 해서 무조건 미감이
뛰어날까요?
치과 시술에는 심미적 시술만 있는게 아니기
때문에 긴 시간 진료를 해왔는다는 것만으로
라미네이트를 잘한다고 보긴 어렵습니다.
물론 한 자리에서 오랫동안 치과 진료를 했다면
인근 환자들에게 신뢰를 얻고 있는 병원이라고
생각되어지기는 하지만, 치과마다 주력으로
하는 시술은 다르니까요.
그래서 단순히 진료 경력이 높은 의사를 찾기보단
라미네이트 시술 사례가 많은 의사가 있는 곳으로
내원하시는게 좋습니다.
요즘은 치과 리뷰나 블로그만 검색해봐도
많은 치료 후기들을 접할 수 있는데요,
사례와 사진들을 꼼꼼히 확인해보세요.
그렇게 환자분들 개개인의 미감에 맞는 병원을
2-3개 정도 찾아서 직접 내원하여 상담을
진행하시면 됩니다.

1만명이 넘는 환자분들을 진료한 저희
강남 디데이치과에도 무수한 라미네이트
후기들이 쌓여있는데요,
어떻게 알고 오셨는지 감사하게도
바다 건너 해외에서까지 찾아와주시곤 합니다.
솔직한 후기가 궁금하시다면
아래 글을 참고해주세요!
라미네이트 잘하는 치과 특징
라미네이 트 시술이 치과 치료 중 가장 심미적인
영역에 속한다고 앞서 말씀드렸는데요.
사실 '아름다움'에 대한 기준은 사람마다
조금씩 다릅니다.
시대에 따라 선호되는 보편적인 미적 기준은
있을지언정, 그 안에서도 조금씩 차이가 있기
때문에 환자분들마다 원하시는 결과물도
상이하죠.
그렇기 때문에 의사 혼자 독단적으로 디자인하고
시술을 진행하면 환자분들의 기준에서는
불만족스러울 가능성이 높습니다.
따라서 아무리 실력과 미감이
뛰어난 의사일지라도,
그것과는 별개로 환자분들과
충분한 커뮤니케이션을 통해 환자분들의
요구사항을 반영해야 합니다.
만일 환자분들께서 심미적으로 추구하시는
방향성을 의사에게 말했을 때,
'아 그렇게 하면 안예뻐요.' 이런 식으로
딱 잘라낸다면.. 조심스레 거르시는걸 추천합니다^^
그런 곳에서는 시술을 받아도 환자 입장에서
만족스럽지 않을 확률이 큽니다.
물론 환자가 원하는 것이 치아의 기능적인 면에서 부작용을 일으킬 수 있어 의사가 반대할 수도 있는데, 그런 경우는 새겨들으셔야 합니다^^
라미네이트 잘하는 치과 특징
'얇은 라미네이트'를 강조하지 않는 치과
요즘 치아삭제없이 하는 이른바
무삭제 라미네이트 에 대한 홍보 경쟁이
치열한데요.
아무래도 많은분들께서 라미네이 트 시술에서
가장 꺼려하시는게 기능적 문제가 없는
치아를 삭제하는 것이기 때문이겠죠.
하지만 무조건적으로 무삭제로 시술을 한다고
하는 병원은...ㅎㅎ이익에 눈이 멀어 거짓말을
하는 거라고 보시면 됩니다.

물론 무삭제로도 효과를 볼 수 있는 치아도
있지만 치열이 많이 엇나간 경우는,
치아 삭제 없이는 심미적 효과를 보기
어렵기때문입니다.
마찬가지로 요즘은 0.1mm 혹은 그 이하로
라 미네이트를 제작하여 홍보하기도 하는데요.
이 역시도 치아 삭제에 대한 환자분들의 두려움을
이용하는 상술입니다.
두께가 얇으면 그 안쪽에 위치한 원래 치아가
비칠 수 있습니다. 그렇게 되면 환자분들께서
원하시는 색상이 나오기 어렵습니다.
뿐만 아니라, 얇게 만드는 만큼 내구성이
떨어집니다.
라미네이트 두께는 환자분들 개인의 치아가
가진 특성을 고려하여 제작해야 하는 것이지,
무조건 얇게 만든다고 좋은게 아닙니다.
절대 속지 마세요.
오늘 알려드린 내용을 바탕으로
신중하게 병원을 선택하셔서
꼭 원하시는 결과물을 얻으셨으면 좋겠습니다.
상담이 필요하면 언제든지
강남 디데이치과로 연락주십시오.
대표원장 김무진 드림.
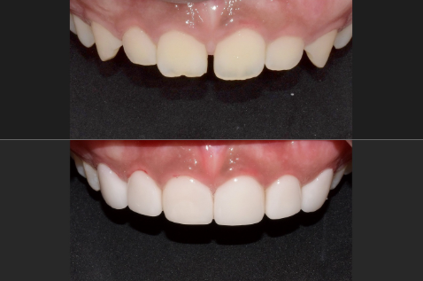
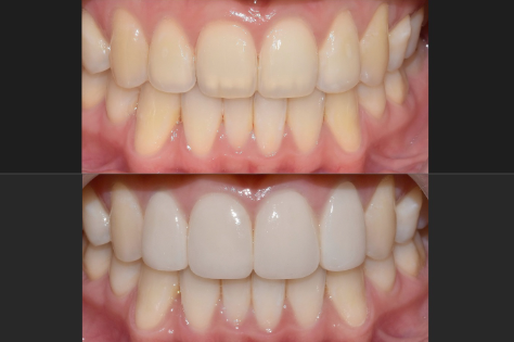
| 저희 디데이치과는양질의 의료 서비스를 제공해드리기 위해월 신규 환자 인원을 제한하고 있습니다.간혹 예약 대기가 발생할 수 있음을 양해 부탁드리며,예약 후 내원하셔서 "블로그 보고 왔어요"라고말씀해 주시면, 보다 빠른 진료를 도와드리겠습니다. |
| 강남 디데이치과 진료 문의 |
|---|
| 대표전화 : 02-568-2877 (바로가기)네이버 톡톡 문의 (바로 가기) |

| 본 게시물은 의료광고법 제56조 1항을 준수하여, 의료 정보 제공 및 병원 홍보를 목적으로 디데이치과의원에서 직접 작성하였습니다.다만, 블로그에서 제공해 드리는 정보는 참조용으로만 활용하시고, 정확한 개인의 증상 파악은 의료기관에 직접 내방하시어 의료진을 통해 확인하실 것을 권유 드립니다.치과에서 진행되는 모든 시술 및 수술(임플란트 포함)은 개인에 따라 부작용 (염증, 출혈, 부기, 감염, 신경 손상, 마비 등) 가능성이 있습니다. 따라서 사전에 의료진과 충분한 상담을 통해 결정하시길 바랍니다.게시물의 치료 사진은 실제 본원에서 모든 치료 과정을 마친 환자분의 동의하에 촬영되었습니다. 전후 사진은 동일인이며, 동일 조건하에 촬영되었음을 밝힙니다. |