아카이브 요약
이 페이지의 역할
디데이치과의원의 네이버 블로그 원문을 보존한 아카이브 페이지입니다. 치아미백 카테고리의 치과 치아미백, 돈 날리고 싶지 않다면? 글을 통해 병원의 한국어 정보 제공 방식과 진료 관련 안내 톤을 확인할 수 있습니다.
원문 검증
필요하면 원문 블로그와 병원 프로필로 바로 이동해 문맥을 다시 확인할 수 있습니다.
출처 아카이브 열기아카이브된 블로그 글
디데이치과의원 · 통합치의학과 전문의 2명의 솔직한 치과 이야기
안녕하세요. 디데이치과 오태훈 대표원장입니다. 지금 이 글을 보고 계신 분들께서는 누런 치아를 하얗게 만들고 싶어서 치아 미백에 대해 알아보는 중이셨을 겁니다.^^ 미.백 치약만으로도 하얘지는 효과를 볼 수 있는 것인지 등 알고 싶은 내용이 많으셨을텐데요. (사실 치약은 그다지 미 백에 효과가 없습니다.^^...
게시일
2024년 3월 20일
원문 기준으로 확인된 발행일입니다.
카테고리
치아미백
원문 블로그 카테고리를 정리해 함께 표시합니다.
이미지 수
9
현재 아카이브에 연결된 이미지 수입니다.
아카이브 요약
디데이치과의원의 네이버 블로그 원문을 보존한 아카이브 페이지입니다. 치아미백 카테고리의 치과 치아미백, 돈 날리고 싶지 않다면? 글을 통해 병원의 한국어 정보 제공 방식과 진료 관련 안내 톤을 확인할 수 있습니다.
원문 검증
필요하면 원문 블로그와 병원 프로필로 바로 이동해 문맥을 다시 확인할 수 있습니다.
출처 아카이브 열기안녕하세요.
디데이치과 오태훈 대표원장입니다.
지금 이 글을 보고 계신 분들께서는 누런 치아를 하얗게 만들고 싶어서 치아 미백에 대해
알아보는 중이셨을 겁니다.^^
미.백 치약만으로도 하얘지는 효과를 볼 수 있는
것인지 등 알고 싶은 내용이 많으셨을텐데요.
(사실 치약은 그다지 미 백에 효과가 없습니다.^^)
하지만 '치아미백' 키워드로 검색을 하다보면
제품을 홍보하는 광고성 글들이 많아 원하시는
정보를 얻기가 어려우셨을겁니다.
또 치과에서 하는 미백은 몇십만원은 족히
든다고 하는데 진짜 그 돈주고 할 만큼의 효과와 가치가 있는건지 의아하기도 하실겁니다.
한두푼 하는게 아니기때문에 돌다리도
두들겨 보고 건너려고 하시는 우리 환자분들의
마음, 100번 이해하고 참 현명하다고
생각합니다.
저도 제 기준 고가인 가전제품 같은 것들을 살때
얼마나 꼼꼼하게 비교해보고, 열심히 후기를
찾아보는지 모릅니다.^^
그래서 이런 분들을 위해 오늘 글을
준비했습니다.
여러분께서 알고 싶어하실 그 모든 내용을,
보건복지부 인증 통합치의학과 전문의인
제가 한번에 알려드리겠습니다.
2-3만원 짜리 셀프미백제 소비도
여러번 반복되면 금방 십만원대 소비가
되지 않겠습니까.
여러분들께서 집에서 직접 이를 하얗게
만들겠다고 썼던 그 돈과 시간,
이제는 제가 아껴드리겠습니다.
3분만 시간을 내어 집중해주세요.^^
전문의가 하는 시술은 왜 다른지 이 글을 보고
나서는 이해가 되실겁니다.
다른 사람들은 아무것도 안해도
하얀이를 가지고 있는데
'왜 나만 이렇게 누렁니를 가져서 스트레스를 받아야만 하는지' 그 근본적인 원인이 궁금하셨을텐데요,
우선 첫번째로, 우리가 먹는 음식이 영구치 색상에 영향을 줄 수 있습니다.
녹차, 카레, 커피, 콜라와 같이 색소가 들어간 음식을 섭취하게 되면 아무래도 착색될 확률이
높습니다.
뿐만 아니라 담 배의 니 코 틴 성분이 치아를
노랗고 어둡게 만들기 때문에 흡.연을 하게 되면
치아가 변색될 수 있습니다.
그리고 두번째로는
노화로 인해 변색될 가능성도 있습니다.
나이가 들수록 치아 내부에 위치한 상아질에
무기질이 쌓이고, 상아질 위에 있는 법랑질의
두께가 점점 얇아지는데요.

상아질에 침착된 무기질이 변색되고 이것이
얇아진 법랑질을 통해 비침으로 인하여
치아가 노랗게 보일 수 있습니다.
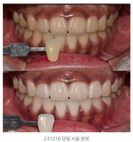
치과에서 제공하는 미백치료는
일정 농도의 미백 약제를 도포하고
특수광선을 조사하여 약제를 활성화해주는
방식으로 진행하는데,
이때 미백제 성분인 과산화요소, 과산화수소가
분해되면서 생성된 활성산소가 법랑질의
착색물질을 제거해줍니다.
보통 15-20분 정도 소요되고, 이 과정을
3회 반복하면 마무리 됩니다.

반면 셀프미백은 시중에 판매되는 미백제를 직접
영구치에 도포하고 일정 시간이 지나면 헹구는,
간단한 방식으로 이루어집니다.
그런데 이 셀프미백은 치과에서 전문가에게
받는 것보다 효과가 많이 떨어지는데요,
그 이유에 대해서 설명해드리겠습니다.
우선 셀프미백용 약제의 경우 과산화수소의 농도가 3% 미만으로 매우 낮습니다.
치과에서 사용하는 고농도의 약제는 잇몸과 같은
연조직에 자칫 상처를 입힐 수도 있는데요.

병원에서는 충분한 보호장치를 하고 숙련된
전문가가 시술을 하기 때문에 안전합다만,
셀프미백제의 경우 일반인이 집에서 직접하기
때문에, 고농도의 약제를 사용하게 되면 매우
위험합니다.
따라서, 시중에서 판매중인 셀프미백제는
농도를 3% 미만으로 제한합니다.
이 정도 농도로는 '영구치를 밝게해준다.'라기
보다는 '착색이 될만한 요소들의 접근을 조금
막아준다. 라고 보는 것이 맞습니다.
그리고 셀프로 진행을 하게 되면,
치아 표면이 완벽하게 깨끗해진 상태로 진행하는 것이 불가능해 효과가 떨어질 수밖에 없습니다.
치과에서 시술을 하게 되면, 표면에 이물질을
먼저 제거하고 필요시 스케일링까지 진행하여
미백 효과를 극대화할 수 있는 환경을 먼저
조성합니다.
아무래도 약제가 치아에 잘 스며드려면
영구치가 깨끗한 상태여야 하기 때문이죠.
그런데 셀프로 하게 되면 이런 과정을 생략하게
되어 기본적으로 큰 효과를 보기 어렵습니다.
시중에서 판매하는 셀프미백제가 약 1-3만원 정도인데,
저희 디데이치과 같은 경우에는 해당 시술을
부가세 포함 33만원에 진행하고 있는데요,
저라면 효과 없는 셀프 시술을 10번 받을
가격으로 효과가 확실한 전문가 시술을
한번 받고 잘 유지하려고 노력할 것 같습니다.^^
바다 건너 해외에서까지 찾아오는 디데이치과
미백 후기는 아래 글에서 확인해주세요!
이 글을 읽고 치 아 미 백 과 관련하여 상담을
원하신다면,
편하신 방법으로 소통을요청해주세요!
친절히 답변드리겠습니다.^^
감사합니다.
| 저희 디데이치과는양질의 의료 서비스를 제공해드리기 위해월 신규 환자 인원을 제한하고 있습니다.간혹 예약 대기가 발생할 수 있음을 양해 부탁드리며,예약 후 내원하셔서 "블로그 보고 왔어요"라고말씀해 주시면, 보다 빠른 진료를 도와드리겠습니다. |
| 종합운동장역 디데이치과 진료 문의 |
|---|
| 대표전화 : 02-568-2877 (바로가기)네이버 톡톡 문의 (바로 가기) |

| 본 게시물은 의료광고법 제56조 1항을 준수하여, 의료 정보 제공 및 병원 홍보를 목적으로 디데이치과의원에서 직접 작성하였습니다.다만, 블로그에서 제공해 드리는 정보는 참조용으로만 활용하시고, 정확한 개인의 증상 파악은 의료기관에 직접 내방하시어 의료진을 통해 확인하실 것을 권유 드립니다.치과에서 진행되는 모든 시술 및 수술(임플란트 포함)은 개인에 따라 부작용 (염증, 출혈, 부기, 감염, 신경 손상, 마비 등) 가능성이 있습니다. 따라서 사전에 의료진과 충분한 상담을 통해 결정하시길 바랍니다.게시물의 치료 사진은 실제 본원에서 모든 치료 과정을 마친 환자분의 동의하에 촬영되었습니다. 전후 사진은 동일인이며, 동일 조건하에 촬영되었음을 밝힙니다. |




