아카이브 요약
이 페이지의 역할
디데이치과의원의 네이버 블로그 원문을 보존한 아카이브 페이지입니다. 치아미백 카테고리의 승무원 치아미백, 그 비결이 궁금하다면? 글을 통해 병원의 한국어 정보 제공 방식과 진료 관련 안내 톤을 확인할 수 있습니다.
원문 검증
필요하면 원문 블로그와 병원 프로필로 바로 이동해 문맥을 다시 확인할 수 있습니다.
출처 아카이브 열기아카이브된 블로그 글
디데이치과의원 · 통합치의학과 전문의 2명의 솔직한 치과 이야기
안녕하세요, 강남구청역 디데이치과 김무진 대표원장입니다. 지금 이 글을 보시는 분들께서는 비행기에 탔을때 환하게 웃는 승무원분들의 하얀 이가 부러우셨던 분들이실 것 같습니다.^^ "승무원들은 어쩜 저렇게 치아가 가지런하고 예쁘지?" 라는 생각이 들어 치아미백에 대해 열심히 검색해보다 여기까지 오셨을텐데요....
게시일
2024년 3월 28일
원문 기준으로 확인된 발행일입니다.
카테고리
치아미백
원문 블로그 카테고리를 정리해 함께 표시합니다.
이미지 수
13
현재 아카이브에 연결된 이미지 수입니다.
아카이브 요약
디데이치과의원의 네이버 블로그 원문을 보존한 아카이브 페이지입니다. 치아미백 카테고리의 승무원 치아미백, 그 비결이 궁금하다면? 글을 통해 병원의 한국어 정보 제공 방식과 진료 관련 안내 톤을 확인할 수 있습니다.
원문 검증
필요하면 원문 블로그와 병원 프로필로 바로 이동해 문맥을 다시 확인할 수 있습니다.
출처 아카이브 열기안녕하세요,
강남구청역 디데이치과 김무진 대표원장입니다.
지금 이 글을 보시는 분들께서는 비행기에
탔을때 환하게 웃는 승무원분들의 하얀 이가
부러우셨던 분들이실 것 같습니다.^^
"승무원들은 어쩜 저렇게 치아가 가지런하고
예쁘지?" 라는 생각이 들어 치아미백에 대해
열심히 검색해보다 여기까지 오셨을텐데요.
실제로 저희 디데이치과에도 내원하셔서 미백시술을 받으시는 승무원분들이 많이 계십니다.
사실 미백시술만 받는다고 해서 이가 완전히
새하얘지는 것은 아닌데요,
우리가 TV에서 보는 연예인들처럼 새하얀 이는 라미네이트까지 같이 하신 결과물일 확률이 높습니다.
반면 승무원분들처럼 자연스럽게 밝은 치아는
미백 시술만으로도 가능한데요.
변색되기 전 본래 영구치가 갖고 있던
밝은 색을 되찾아주는 정도로 밝아지기때문에,
라미네이트까지 하는 것보다 오히려
더 자연스럽다는 장점이 있습니다.^^
승무원 치아미백,
그 과정은?
우선 영구치의 표면을 깨끗하게 만들어주고,
영구치와 잇몸 경계에 잇몸보호제를
도포해줍니다.
해당 시술이 고농도의 과산화수소를 포함한 약제를 사용하기 때문에 잇몸에 미백제가 닿으면
화상을 입을 수도 있기 때문입니다.
그리고 약제를 영구치에 잘 펴발라준 다음,
특수광선을 조사하여 변색 물질을 분해해줍니다.
영구치 속 착색되어 있는 물질을 제거해서
치아를 하얗게 만들어주는 원리이며,
이 과정에서 15분에서 30분 정도가 소요됩니다.
보통 미백은 최소 3회 정도는 진행해주시는게
좋은데요, 그래서 요즘 유행하는 원데이 치아미백과 같은 경우에는 3회를 기본 패키지로
제공합니다.
하루에 3회를 모두 진행하는 것도 가능하기 때문에 총 1시간 30분 정도면 밝아진 치아를 육안상
확인하실 수 있습니다.


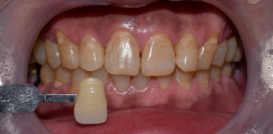
<전 2022-01-25>
<당일 시술 후 2022-01-25>
원데이치아미백에 대해 더 알고 싶으시다면
아래 글을 참고해주세요.^^
승무원 치아미백,
추천하지 않는 유형은?
(1) 보철물을 부착하고 있는 경우
보철물 같은 경우에는 미백이 불가능하기 때문에,
보철물을 제외한 영구치에 미백 시술을 해버리면
보철물과 주변 치아의 조화가 깨질 수 있습니다.
따라서 이 사실을 미리 염두에 두고 치료 여부를
결정하는 것이 좋습니다.
(2) 잇몸 질환이 심한 경우
이 경우는 미백보다 잇몸 치료가 먼저
선행되어야 합니다.
(3) 선천적 요인으로 인하여 치아가 노란 경우
선천적 변색이 있는 치아는 라미네이트까지 해야
밝아지는 효과를 볼 수 있습니다.
일반 시술만으로는, 승무원분들처럼 밝고
자연스러운 치아를 갖기 힘듭니다.
승무원 치아미백,
주의사항은?
시술 후 2-3시간 정도는 음식 섭취를
자제해주시는 것이 좋은데요,
시술 직후에는 치아 표면이 매끄럽지 않아 음식 속 색소가 치아에 더 잘 달라붙습니다.
결과적으로 기껏 시술한 치아에 착색을 유발할 수 있습니다.
시술 후 3일간은 자극으로 인하여 치아가 예민해진 상태이기 때문에 이가 시릴 수도 있습니다.
하지만 이것은 일시적인 증상일 뿐이니 너무 차거나 뜨거운 음식을 섭취하는 등의 자극이 될만한 행동만 주의해주시면 됩니다.
이시림으로 인하여 많이 불편하시다면 진통제를
복용하셔도 무방합니다.
승무원 치아미백,
그 가격은?
보통 1회에 부가세 포함 10만원~20만 원 정도가
평균입니다.
저희 디데이치과는 3회에 부가세 포함 33만원에
시술을 해드리고 있는데요.
감사하게도, 휴진일을 제외하고는 최소 하루에
5명 이상의 환자분들께서 치아미백을 받기 위해
찾아와주시고 계십니다.


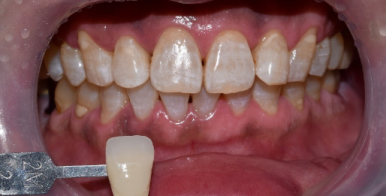
<전 2022-01-18>
<당일 시술 후, 2022-01-18>
이 글을 읽고 승무원 치 아 미 백에 관심이
생기셨거나, 상담부터 받아보고 싶으신
분들께서는 언제든지 저희 강남구청역
디데이치과를 방문해주세요.
저희 직원들조차도 직접 돈을 내고 미백시술을
받을 정도로 그 결과물의 퀄리티가 보장되어
있다고 보시면 될 것 같습니다.^^
궁금하신 분들은 아래 후기를 참고해주세요!
상담은 언제나 대환영입니다. 주저하지 마세요!^^
지금까지 글을 읽어주셔서 감사합니다.
김무진 드림.
| 강남구청역 디데이치과 진료 문의 |
|---|
| 진료 문의 : 02-568-2877 (바로가기)네이버 톡톡 문의 (바로 가기) |

| 본 게시물은 의료광고법 제56조 1항을 준수하여, 의료 정보 제공 및 병원 홍보를 목적으로 디데이치과의원에서 직접 작성하였습니다.다만, 블로그에서 제공해 드리는 정보는 참조용으로만 활용하시고, 정확한 개인의 증상 파악은 의료기관에 직접 내방하시어 의료진을 통해 확인하실 것을 권유 드립니다.치과에서 진행되는 모든 시술 및 수술은 개인에 따라 부작용 (염증, 출혈, 부기, 신경 손상 등) 가능성이 있습니다. 따라서 사전에 의료진과 충분한 상담을 통해 결정하시길 바랍니다.게시물의 치료 사진은 실제 본원에서 모든 치료 과정을 마친 환자분의 동의하에 촬영되었습니다. 전후 사진은 동일인이며, 동일 조건하에 촬영되었음을 밝힙니다. |








Previous image Next image