치과 치아미백, 진짜 효과가 있나요..?
광고가 너무 많아서 어디가서
받아야할지 모르겠어요..
안녕하세요,
디데이치과 오태훈 대표원장입니다.
연예인들이나 인플루언서들을 보면
유독 하얀 치아가 눈에 띄는데요.^^
지금 이 글을 읽고 계신 분들은 아마 그런 하얀
치아를 부러워한 경험이 한번쯤은 있으실 겁니다.
아무리 양치질을 자주, 깨끗하게 해줘도 변하지
않는 누런니를 보고 많이 속상한 마음이
드셨을 법도 한데요.

인스타그램이나 유튜브가 보편화되면서
외모도 하나의 경쟁력이라고 할 수 있는
시대가 되었기 때문에 여러분들의 마음을
충분히 이해합니다.^^
그런데 치과에서 하는 치아미백의 경우,
1-2만원 하는 것이 아니기 때문에 잘 알지 못하는
상태에서 하기에는 많은 부담이 있으실거라고
생각합니다.

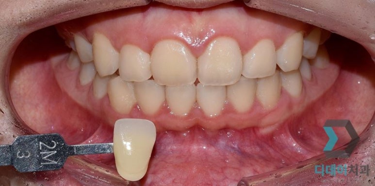
<당일 시술 전 240405>

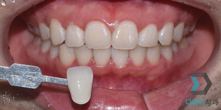
<당일 시술 후 240405>
그래서 오늘은 이 미백시술의 모든 것에 대해
총정리하는 시간을 가져보려고 하는데요.
영구치 변색의 원인부터 시작해서 시술 과정,
그리고 병원을 선택할 때 어떤 것을 중점으로
보는 것이 좋은지까지.
보건복지부 인증 통합치의학과 전문의인 제가,
실제로 이 시술을 진행하면서 환자분들께서
가장 궁금해하셨던 내용만 추려왔습니다.^^
후회하지 않는 3분을 만들어드릴테니,
조금만 집중해서 글을 읽어주세요!
치아 변색의 원인
(1) 유전적 질환
흔치는 않지만, 유전적인 요인이나 신생아 때
앓았던 심한 황달 등의 질환으로 인해
치아가 변색되는 경우가 존재합니다.
(2) 유년기 항생제 복용
치아가 형성될 시기에 테트라싸이클린 계열의
항생제를 복용하면 변색이 발생할 수 있습니다.
정확한 약물의 종류와 복용 횟수, 기간에 따라
그 정도가 달라지기 때문에 유년기에 이 약을
복용해야 한다면 주의를 기울여야 합니다.
(3) 유색음식과 흡연
카레, 녹차, 와인, 커피와 같이 색소가 강한
음식을 자주 섭취하는 것 역시 원인이 될 수
있습니다.
또한 담.배의 니코틴 성분이 치아 표면에
착색을 유발하기도 합니다.
(4) 외상
외부의 강한 충격에 의해 영구치 내부의 신경이 손상을 입으면 괴사가 진행되면서
변색이 일어날 수 있습니다.
이런 경우, 단순한 치아미백보다는 실활치미백을
진행해야 합니다.
실활치미백에 대해 자세히 알고 싶으신 분들은
아래 글을 참고해주시면 됩니다.
미백 과정
지금부터 치과에서 진행하는 전문가 치아미백의
과정에 대해 설명해드리도록 하겠습니다.
(1) 미백약제에 의해 잇몸이 손상되지 않도록
보호제를 도포합니다.
(2) 미백약제를 영구치에 골고루 도포해줍니다.
(3) 레이저를 조사하여 약제 성분을 치아에
흡수되도록 합니다.
(4) 약제를 제거합니다.
요즘은 많은 치과들이 이 과정을 3번 반복하는
'원데이치아미백' 시술을 진행하고 있는데요,
1회당 약 20분씩 소요되며, 3회를 당일에
모두 마칠 수 있어 편리하다는 장점이 있습니다.
저희 디데이치과에서 해당 시술을 받으신 분들은
평균적으로 치아가 3톤 정도 밝아지시는 것
같습니다.
(물론 사람마다 편차는 있을 수 있습니다.^^)
어떤 병원에서 받는게 좋은가요?
사실 다른 치과 시술에 비해서 미백 시술이
간단한 편에 속하는 것은 맞습니다.
하지만, 그렇다고 해서 어떤 노하우도 필요하지
않은 가벼운 시술이라고 보기는 어렵습니다.
약제의 성분인 과산화수소의 경우, 잇몸에
과도하게 노출되면 이시림이 발생하게 됩니다.
뿐만 아니라, 부주의로 인하여 이 화학 성분이
치아 속 신경에까지 흡수되면 영구치에 손상을
입게될 확률이 높습니다.
또한 의료진의 미적 감각도 매우 중요한
영역이라고 할 수 있기 때문에 결국 풍부한 임상경험을 가진 전문의를 찾는 것이 중요합니다.
저희 디데이치과에서 벌써 700명이 넘는
환자분들께서 미백시술을 받고 가셨는데요.
3회 부가세 포함 33만원이라는 저렴한 가격으로, 안정성이 높으면서도 자연스럽게
진행해드리고 있습니다.^^
이 글을 읽고 치 아 미 백 과 관련하여 상담을
원하신다면 대표원장인 제가 친절하게
1:1 상담을 진행해드리겠습니다.
다른 병원에서도 상담을 받고 비교해보셔도
좋습니다. 그만큼 자신있습니다.^^
편하실때 방문해주세요.
감사합니다.
| 디데이치과 진료 문의 |
|---|
| 대표전화 : 02-568-2877 (바로가기)네이버 톡톡 문의 (바로 가기) |

본 게시물은 의료광고법 제56조 1항을 준수하여, 의료 정보 제공 및 병원 홍보를 목적으로 디데이치과의원에서 직접 작성하였습니다.
다만, 블로그에서 제공해 드리는 정보는 참조용으로만 활용하시고, 정확한 개인의 증상 파악은 의료기관에 직접 내방하시어 의료진을 통해 확인하실 것을 권유 드립니다.
치과에서 진행되는 모든 시술 및 수술은 개인에 따라 부작용 (염증, 출혈, 부기, 신경 손상 등) 가능성이 있습니다. 따라서 사전에 의료진과 충분한 상담을 통해 결정하시길 바랍니다.
게시물의 치료 사진은 실제 본원에서 모든 치료 과정을 마친 환자분의 동의하에 촬영되었습니다. 전후 사진은 동일인이며, 동일 조건하에 촬영되었음을 밝힙니다.








Previous image Next image