치과에서 받는 미백은 너무 비싼데...
그냥 집에서 혼자 해도 되나요?
요즘 그런거 많이 팔던데..
안녕하세요,
디데이치과 오태훈 대표원장입니다.
아무리 아름다운 이목구비를 가졌어도 웃을때
보이는 치아가 누렇다면 청결하고 세련된 인상을
주기 어렵습니다.
그렇기 때문에 많은 연예인이나 인플루언서들이
치아를 하얗게 만들어주는 미백 시술을
주기적으로 받는 것인데요.^^

하지만 시중에 판매되고 있는 자가미백 제품이
1만원에서 3만원대의 가격을 형성하고 있는
것과는 달리, 치과에서는 거의 10배에 달하는
비용을 지불해야 합니다.
그렇기 때문에 많은 분들께서 '굳이 전문가가
해주는 시술을 받을 필요가 있나..'라는 생각을
하실 수도 있습니다.
아무래도 금전적인 부담이 가장 크게 다가오는
것은 너무나도 당연한 것이지요.^^
그래서 오늘은 전문가 치아미백과 자가치아미백을 비교해보는 시간을 가져보려고 합니다.
700명이 넘는 환자분들께 미백 시술을
진행해드린 전문의인 제가 직접 설명해드릴테니, 여러분들의 선택에 꼭 도움이 되었으면
좋겠습니다.
| 목차 |
|---|
| 변색 요인 |
| 전문가 미백 |
| 전문가 미백 vs 자가 미백 차이점 |
| 시술 시 주의사항 |
- 치아는 왜 변색되나요?
원인은 다양하지만, 크게 내인성 요인과 외인성
요인으로 나뉩니다.
내인성 요인으로는 어릴적 심한 황달을 앓았거나
10세 이전에 일정량 이상의 테트라사이클린
항생제를 복용하는 경우 등이 존재합니다.
임신 중 산모가 해당 항생제를 투약해도 태어나는
아이의 영구치에 영향을 줄 수 있습니다.
외인성 요인의 경우, 일상생활에서 섭취하는
음식에 영향을 받는 경우가 많은데요.
콜라, 커피, 카레, 홍차와 같이 강한 색소를 띄고 있는 음식을 자주 섭취하면 아무래도 치아 색이 영향을 받을 가능성이 높습니다.
- 전문가 치아미백이란?
우선 시술 과정은 치아 표면에 미백약제를
도포하고 특수광선을 조사하는 방식으로
이루어집니다.
원리에 대해 설명해드리면 치아는 수분, 무기물,
유기물로 구성되어 있고 특히 유기물 사이에는
공간이 존재하여 색소들이 점차 쌓이기
시작합니다.
시술 시 미백약제에 들어있는 과산화수소가 이런
물질들을 분해하게 되는데, 그때 분출되는 산소가
표백작용을 일으키며 미세한 구멍에 낀 색소를
제거하게 됩니다.

240306
그러면서 무기질 특유의 깨끗하고 투명한
하얀빛이 드러나고 치아가 밝아지게 되는
것입니다.
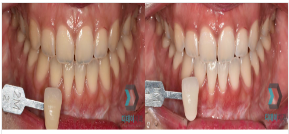
1회 시술당 보통 15분 정도 소요되며, 3회 정도
반복했을 때 평균적으로 세톤 정도 밝아지는
효과를 보실 수 있습니다.
자가 치아미백과의 차이는?
전문가미백과 자가미백의 가장 큰 차이는
바로 약제에 들어있는 과산화수소의 농도입니다.
치과에서 사용하는 약제는 고농도이므로,
입술이나 잇몸에 닿으면 화상의 우려가 있어
일반 소비자용으로는 판매되지 못하는데요.
그만큼 효과가 극적입니다.
반면 많은분들께서 손쉽게 구하실 수 있는
자가미백제의 경우, 안정상의 이유로
과산화수소 농도가 3%를 넘지 못하도록
규제되고 있습니다.
결과적으로 저농도 약제를 사용하기 때문에
시간이 오래 걸리고 균일하게 시술이 되지 않아
효과가 떨어질 수밖에 없습니다.
전문가 미백시 주의할 점은?
신경치료를 받은 치아가 있다면 시술 전 X-ray
촬영을 통해 해당 부위를 확인하고 의료진과
상의해보시는 것이 좋은데요.
신경치료를 받은 치아나 보철물의 표면은
그렇지 않은 영구치 표면과 달라 미백제가
작용하지 않기 때문입니다.
결과적으로 해당 부위는 일반적인 미백술로는
효과를 볼 수 없기 때문에 어떻게 주변치아 색과 맞출 수 있을지 치료 계획을 세워야합니다.

240710
이렇게 신경치료를 받은 영구치에 하는 미백
시술을 실활치미백이라고도 하는데요. 자세한
내용은 아래 글을 참고해주시면 이해가 되실
겁니다.^^
이 글을 읽고, 저희 디데이치과에서
전 문 가 미 백 과 관련하여 상담을 원하신다면
보건복지부에서 인증한 통합치의학과 전문의인
제가 1:1로 응대해드리겠습니다.
궁금하신 모든 내용에 대해 천천히 설명드릴테니
믿고 내원해주세요!^^
오늘도 긴 글을 읽어주셔서 감사합니다.
대표원장 오태훈 드림.
| 디데이치과 진료 문의 |
|---|
| 대표전화 : 02-568-2877 (바로가기) 네이버 톡톡 문의 (바로 가기) |

| 본 게시물은 의료광고법 제56조 1항을 준수하여, 의료 정보 제공 및 병원 홍보를 목적으로 디데이치과의원에서 직접 작성하였습니다. 다만, 블로그에서 제공해 드리는 정보는 참조용으로만 활용하시고, 정확한 개인의 증상 파악은 의료기관에 직접 내방하시어 의료진을 통해 확인하실 것을 권유 드립니다. 치과에서 진행되는 모든 시술 및 수술은 개인에 따라 부작용 (염증, 출혈, 부기, 신경 손상 등) 가능성이 있습니다. 따라서 사전에 의료진과 충분한 상담을 통해 결정하시길 바랍니다. 게시물의 치료 사진은 실제 본원에서 모든 치료 과정을 마친 환자분의 동의하에 촬영되었습니다. 전후 사진은 동일인이며, 동일 조건하에 촬영되었음을 밝힙니다. |