아카이브 요약
이 페이지의 역할
디데이치과의원의 네이버 블로그 원문을 보존한 아카이브 페이지입니다. 치아미백 카테고리의 프로필 촬영 전 치아미백 꼭 필요할까요? 글을 통해 병원의 한국어 정보 제공 방식과 진료 관련 안내 톤을 확인할 수 있습니다.
원문 검증
필요하면 원문 블로그와 병원 프로필로 바로 이동해 문맥을 다시 확인할 수 있습니다.
출처 아카이브 열기아카이브된 블로그 글
디데이치과의원 · 통합치의학과 전문의 2명의 솔직한 치과 이야기
안녕하세요, 여러분. 디데이치과 대표원장이자 통합치의학과 전문의 오태훈입니다. 오늘은 프로필 촬영을 앞두고 치아 미백에 대해 고민하시는 분들을 위해 이야기를 나누고자 합니다. 누런 이로 사진을 찍으면 어떡하지? 보정으로 다 가려질까? 생각으로 걱정이 되시는 분들이 많으실 텐데요. 저 역시 사진을 찍을 때...
게시일
2024년 8월 26일
원문 기준으로 확인된 발행일입니다.
카테고리
치아미백
원문 블로그 카테고리를 정리해 함께 표시합니다.
이미지 수
19
현재 아카이브에 연결된 이미지 수입니다.
아카이브 요약
디데이치과의원의 네이버 블로그 원문을 보존한 아카이브 페이지입니다. 치아미백 카테고리의 프로필 촬영 전 치아미백 꼭 필요할까요? 글을 통해 병원의 한국어 정보 제공 방식과 진료 관련 안내 톤을 확인할 수 있습니다.
원문 검증
필요하면 원문 블로그와 병원 프로필로 바로 이동해 문맥을 다시 확인할 수 있습니다.
출처 아카이브 열기안녕하세요, 여러분.
디데이치과 대표원장이자
통합치의학과 전문의 오태훈입니다.

오늘은 프로필 촬영을 앞두고
치아 미백에 대해 고민하시는 분들을 위해
이야기를 나누고자 합니다.
누런 이로 사진을 찍으면 어떡하지?
보정으로 다 가려질까?
생각으로 걱정이 되시는 분들이
많으실 텐데요.
저 역시 사진을 찍을 때마다
치아 색을 신경 쓰곤 했습니다.
하지만 제가 경험한 바로는,
치아 미백은 단순히 사진을
위한 것이 아니라
자신감과 인상에도 큰 영향을
미치는 중요한 요소입니다.
그래서 오늘은
프로필 촬영 전 치아 미백의
필요성과 효과,
그리고 안전하게 받는 방법에 대해
자세히 알려드리려고 합니다.

디데이치과에서 치아미백 치료를 받으신 600여명의 환자분들
이 글을 통해 여러분의
고민을 조금이나마 덜어드릴 수
있기를 바랍니다.
많은 분들이 '사진 보정으로 치아 색을 밝게 할 수 있지 않을까?'라고 생각하십니다.
물론 어느 정도는 가능합니다.
하지만 이는 마치
'가랑비에 옷 젖는 줄 모른다'는 속담처럼,

장기적으로 봤을 때
좋은 해결책이 아닙니다.
보정은 일시적인 해결책에 불과합니다.
실제 생활에서는
여전히 누런 치아로 인한
불편함을 겪게 되죠.
또한, 과도한 보정은 오히려
부자연스러운 결과를 낳을 수 있습니다.
제가 만난 한 환자분의 경우,
결혼식 사진을 찍을 때
치아 색 때문에 굉장히
스트레스를 받으셨다고 합니다.
결국 사진관에서 치아 색을 보정했지만,
실제 모습과 달라
오히려 더 불편해하셨죠.

이처럼 보정은 근본적인
해결책이 되지 못합니다.
오히려 자연스러운 미소를 짓는 데
방해가 됩니다.
치아미백을 하는 이유?
치아 미백은 단순히
하얀 치아를 갖기 위한 것이 아닙니다.
이는 '자신감'과 직결되는 문제입니다.

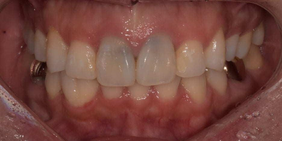
치료 전 : 230130
치아 미백 전, 많은 분들이
입을 가리고 웃거나
미소 짓는 것을 꺼리십니다.
이는 사진 촬영 시 자연스러운
표정을 짓는 데 방해가 되게 되는데요.

치료 후 : 230130
반면 치아 미백 후에는
자신 있게 웃을 수 있게 됩니다.
이는 사진에서뿐만 아니라
일상생활에서도 큰 변화를 가져옵니다.
치아 미백은 '첫인상'을 개선하는 데도 큰 도움이 되는 것은 물론,
밝고 깨끗한 치아는
상대방에게 건강하고 깔끔한 이미지를 줍니다.
마치 '보기 좋은 떡이 먹기도 좋다'는 말처럼,
긍정적인 이미지를 만드는 데
중요한 역할을 합니다.
원데이 치아미백은 하루 만에 미백을 하는
빠른 치아 미백 방법 중 하나 입니다.
하지만 많은 분들이
'치아가 시리지 않을까?',
'치아에 해로운 것은 아닐까?'라는
걱정을 많이들 하시는데요.
이런 걱정은 충분히
이해할 만합니다.
하지만 제가 경험한 바로는,
전문가의 손길로 진행되는
원데이 치아미백은 비교적
안전하고 효과적입니다.
디데이치과에서는 환자분의
치아 상태를 꼼꼼히 체크한 후,
개인에게 맞는 농도의
미백제를 사용합니다.
또한, 시술 중 지속적으로 상태를
확인하여 부작용을 최소화합니다.



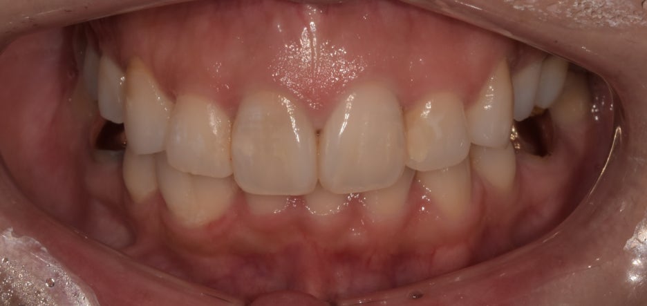
실활치미백 치료전후모습
(상) 2023-10-06
(중) 2023-10-23
(하) 2023-11-06
최근 20대 후반의 한 여성 환자분께서
프로필 촬영을 앞두고
치아 미백을 받으셨습니다.
처음에는 시린 증상이 걱정되셨지만,
시술 후 "생각보다 전혀 아프지 않았어요. 오히려 왜 진작 안 했나 싶어요."라고 말씀하셨죠.
원데이 치아미백의 장점 바로, 빠른 효과입니다. 한 번의 시술로 약 2-3단계 정도 치아 색이 밝아집니다.
프로필 촬영 전 짧은 시간 안에
효과를 보고 싶으신 분들께
특히 추천드립니다.
하지만 주의할 점도 있습니다.
시술 후 24시간 동안은
착색 유발 음식을 피해야 합니다.
다시 한 번 말씀드리지만
치아 미백은 단순히 미용적인 목적을 넘어
자신감과 삶의 질 향상에 큰 도움을 줍니다.
하지만 무조건적인 치아 미백보다는,
본인의 치아 상태와 목적에 맞는
적절한 방법을 선택하는 것이 중요합니다.
저희 디데이치과에서는
환자 한 분 한 분의 상태를 꼼꼼히 체크하고,
개인에게 가장 적합한
미백 방법을 제안해드리고 있습니다.
'환자의 건강과 만족'을 최우선으로 여기는 것이 디데이치과의 진료 철학이기 때문입니다.
프로필 촬영을 앞두고 치아 미백을
고민하고 계신다면,
전문의와의 상담을 통해
최선의 선택을 하시기 바랍니다.
여러분의 밝고 자신감 넘치는
미소를 위해 저희 디데이치과가
함께 하겠습니다.
건강하고 아름다운 미소로
가득한 하루 보내세요.
감사합니다 : )
< 처음오신 분들을 위한 글 >
| 서울 디데이치과 진료 문의 |
|---|
| 대표전화 : 02-568-2877 (바로가기) 네이버 톡톡 문의 (바로 가기) |
▲ 모바일에서 전화 버튼을 누르시면 병원으로 연결됩니다 ▲

| 본 게시물은 의료광고법 제56조 1항을 준수하여, 의료 정보 제공 및 병원 홍보를 목적으로 디데이치과의원에서 직접 작성하였습니다. 다만, 블로그에서 제공해 드리는 정보는 참조용으로만 활용하시고, 정확한 개인의 증상 파악은 의료기관에 직접 내방하시어 의료진을 통해 확인하실 것을 권유 드립니다. 치과에서 진행되는 모든 시술 및 수술은 개인에 따라 부작용 (염증, 출혈, 부기, 신경 손상 등) 가능성이 있습니다. 따라서 사전에 의료진과 충분한 상담을 통해 결정하시길 바랍니다. 게시물의 치료 사진은 실제 본원에서 모든 치료 과정을 마친 환자분의 동의하에 촬영되었습니다. 전후 사진은 동일인이며, 동일 조건하에 촬영되었음을 밝힙니다. |








