아카이브 요약
이 페이지의 역할
디데이치과의원의 네이버 블로그 원문을 보존한 아카이브 페이지입니다. 치아미백 카테고리의 최소증상 치아미백 치과 후기,일본에서도 오는 이유? 글을 통해 병원의 한국어 정보 제공 방식과 진료 관련 안내 톤을 확인할 수 있습니다.
원문 검증
필요하면 원문 블로그와 병원 프로필로 바로 이동해 문맥을 다시 확인할 수 있습니다.
출처 아카이브 열기아카이브된 블로그 글
디데이치과의원 · 통합치의학과 전문의 2명의 솔직한 치과 이야기
반갑습니다. 디데이치과 오태훈 대표원장입니다. 치아미백, 정말 효과가 있을까? 비용은 얼마나 들지? 부작용은 없을까? 이런 고민을 하고 계신 분들이 많으실 겁니다. 저 역시 치과 의사이지만, 환자의 입장에서 생각해보면 이런 걱정들이 당연하다고 생각합니다. 특히 요즘처럼 미용에 대한 관심이 높아진...
게시일
2024년 8월 28일
원문 기준으로 확인된 발행일입니다.
카테고리
치아미백
원문 블로그 카테고리를 정리해 함께 표시합니다.
이미지 수
27
현재 아카이브에 연결된 이미지 수입니다.
아카이브 요약
디데이치과의원의 네이버 블로그 원문을 보존한 아카이브 페이지입니다. 치아미백 카테고리의 최소증상 치아미백 치과 후기,일본에서도 오는 이유? 글을 통해 병원의 한국어 정보 제공 방식과 진료 관련 안내 톤을 확인할 수 있습니다.
원문 검증
필요하면 원문 블로그와 병원 프로필로 바로 이동해 문맥을 다시 확인할 수 있습니다.
출처 아카이브 열기반갑습니다.
디데이치과 오태훈 대표원장입니다.
치아미백, 정말 효과가 있을까?
비용은 얼마나 들지?
부작용은 없을까?
이런 고민을 하고 계신 분들이 많으실 겁니다.
저 역시 치과 의사이지만,
환자의 입장에서 생각해보면
이런 걱정들이 당연하다고 생각합니다.
특히 요즘처럼 미용에 대한
관심이 높아진 시대에,
하얗고 깨끗한 치아는
많은 분들의 로망이 되었죠.


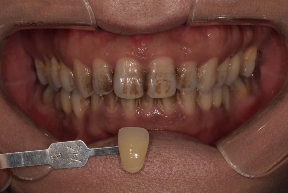
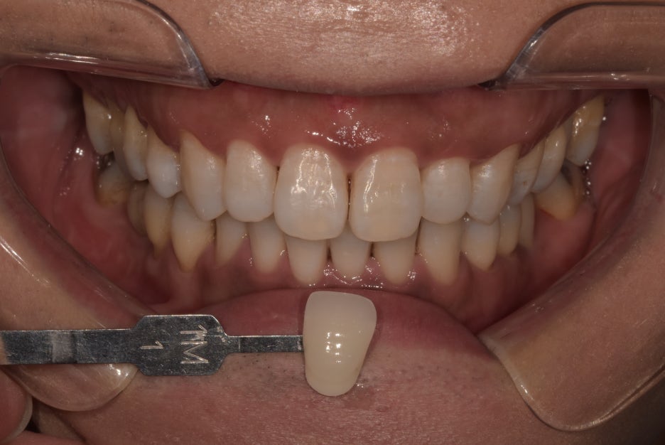
흡연으로 인해 치아가 착색된 상태로 치아미백 시술하신 환자분
디데이치과에서 실제로 시술하신 환자분의 사진입니다
2024-01-19
하지만 동시에 걱정도 많으실 것 같습니다.
최근 저희 디데이치과에는
특별한 손님들이 늘고 있습니다.

바로 일본에서 오시는 분들인데요. "왜 일본에서까지 한국으로 치아미백을 하러 오시나요?"라고 물어보면, 대부분 이렇게 대답하십니다.
한국의 의료기술이 뛰어나다고 들었어요.
친구가 다녀와서
너무 좋다고 추천해줬어요.
가격도 합리적이고,
효과도 좋좋다고 해서요.
실제로 일본에서 오신 Ki**ta님은
이렇게 말씀하셨어요.
친구가 한국에서 치아미백을 받고 왔는데,
정말 달라진 모습에 놀랐어요.
어디서 했냐고 물어보니
디데이치과를 추천해주더라고요.
그래서 저도 용기를 내어 한국 여행 겸
치아미백을 받으러 왔습니다.
이런 이야기를 들으면 감사함과
동시에 큰 책임감을 느끼게 됩니다.
먼 곳에서 저희를 믿고 찾아와 주시는 만큼,
더 좋은 결과로 보답해야 한다는
생각이 듭니다.
그래서 끊임없이 연구하고
노력하고 있습니다.
그 중 하나가 바로
'원데이 최소증상 치아미백'입니다.
들어보셨나요?
단 하루,
그것도 1시간 30분 만에
치아 색을 밝게 만드는 시술입니다.
바쁜 일상 속에서
여러 번 병원을 찾아오기 힘든 분들에게
특히 좋은 방법입니다.

원데이 치아미백은 고농도의
미백제와 특수 광원을 사용하여 단시간에 효과적으로 치아를 밝게 만드는 방법입니다.
일반적인 미백 시술이 여러 번의 내원을 필요로 하는 것과 달리, 최소증상 원데이 치아미백은 말 그대로 하루 만에 시술을 완료할 수 있어 바쁜 현대인들에게 특히 인기가 높습니다.
하지만 빠르다고 해서 무조건 좋은 건 아닙니다. 안전성과 효과가 보장되어야 하죠.
그래서 저희는 각 환자분의 치아 상태를 꼼꼼히 체크하고, 개인에게 맞는 방식으로 시술을 진행합니다.
치아의 색깔, 민감도, 전반적인 구강 건강 상태 등을 종합적으로 고려하여 가장 적합한 미백 방법을 선택합니다.


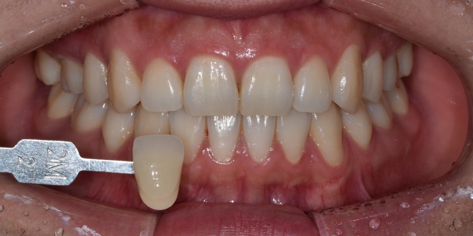
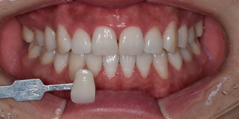
치아미백사례_20대 여성
(전, 후) 2022-05-10
사진으로 보시는 것처럼,
확실한 변화를 느끼실 수 있습니다.
하지만 여기서 중요한 점은,
모든 분들이 같은 결과를 얻으시는 건
아니라는 것입니다.
개인의 치아 상태나 생활 습관에 따라
차이가 있을 수 있습니다.
그래서 저희는 시술 전에 충분한 상담을 통해 예상되는 결과와 주의사항을 상세히 설명드리고 있습니다.
환자분께서 현실적인 기대를 가지고 시술을 받으실 수 있도록 돕는 것이 중요하다고 생각하기 때문이죠.

치아미백의 경우 특히
사후 관리가 매우 중요합니다.
아무리 좋은 시술을 받으셨다고 해도,
관리가 제대로 되지 않으면
그 효과가 오래가지 않기 때문이죠.

그래서 저희는 시술 후에도 지속적인 관리 방법을 안내해드리고, 궁금한 점이 있으면 언제든 연락주실 수 있도록 하고 있습니다.
일본에서 소문을 듣고 오시는 분들이 점차 많아져
디데이치과는 일본어로 된
SNS 계정도 운영하고 있습니다.

여기서 더 많은 후기와 정보를 확인하실 수 있습니다. 실제 일본인 환자분들의 생생한 경험담과 Before & After 사진들을 보실 수 있죠.
이렇게 해외 환자분들이 많이 찾아주시는 이유 중 하나는 바로 가격적인 측면도 있습니다.
일본에서의 치아미백 비용은 회당 약
20,000엔~50,000엔 정도로,
한국보다 훨씬 비싼 편입니다.
그래서 많은 분들이 한국 여행과 함께 치아미백을 받으러 오시는 경우가 많습니다.
하지만 저는 단순히 가격이 저렴하다고 해서 찾아오시는 건 아니라고 생각합니다.
합리적인 가격에 높은 퀄리티의 시술을 받을 수 있다는 점, 그리고 무엇보다 신뢰할 수 있는 의료진이 있다는 점이 중요하다고 봅니다.
치아미백을 고민하고 계신가요?
걱정되는 점이 있으시다면 언제든
문의를 주셔도 좋습니다.
여러분의 걱정과 고민을 듣고,
가장 적합한 방법을 함께 찾아보겠습니다.
치아 건강은 전체적인 건강과
밀접한 관련이 있습니다.

단순히 미용적인 측면뿐만 아니라,
구강 건강을 통해 전반적인 삶의 질을 높일 수 있다는 점을 기억해주세요.
또한, 밝은 미소는 여러분의 자신감과
행복을 높여줄 수 있습니다.
마지막으로, 치아미백은 만능해결책이 아니라는 점을 말씀드리고 싶습니다.
기본적인 구강 관리가 뒷받침되어야 효과도 오래 지속될 수 있어요. 올바른 칫솔질 방법, 정기적인 치과 검진, 건강한 식습관 등이 함께 이루어져야 합니다.
저희 디데이치과는 단순히 하얀 치아만을 만들어드리는 것이 아니라, 전반적인 구강 건강을 함께 고민하고 개선해나가는 동반자가 되고 싶습니다.
여러분의 건강하고 아름다운 미소를 위해
항상 최선을 다하겠습니다.
그 과정에 저희 디데이치과가 함께 할 수 있다면 영광이겠습니다.
여러분의 환한 미소를 기대하며,
디데이치과 오태훈 원장이었습니다.
감사합니다. : )
< 처음오신 분들을 위한 글 >
| 서울 디데이치과 진료 문의 |
|---|
| 대표전화 : 02-568-2877 (바로가기)네이버 톡톡 문의 (바로 가기) |
▲ 모바일에서 전화 버튼을 누르시면 병원으로 연결됩니다 ▲

| 본 게시물은 의료광고법 제56조 1항을 준수하여, 의료 정보 제공 및 병원 홍보를 목적으로 디데이치과의원에서 직접 작성하였습니다.다만, 블로그에서 제공해 드리는 정보는 참조용으로만 활용하시고, 정확한 개인의 증상 파악은 의료기관에 직접 내방하시어 의료진을 통해 확인하실 것을 권유 드립니다.치과에서 진행되는 모든 시술 및 수술은 개인에 따라 부작용 (염증, 출혈, 부기, 신경 손상 등) 가능성이 있습니다. 따라서 사전에 의료진과 충분한 상담을 통해 결정하시길 바랍니다.게시물의 치료 사진은 실제 본원에서 모든 치료 과정을 마친 환자분의 동의하에 촬영되었습니다. 전후 사진은 동일인이며, 동일 조건하에 촬영되었음을 밝힙니다. |








Previous image Next image








Previous image Next image