아카이브 요약
이 페이지의 역할
디데이치과의원의 네이버 블로그 원문을 보존한 아카이브 페이지입니다. 라미네이트 카테고리의 치아미백 vs 라미네이트, 누렁니 탈출하고 싶으신 분들만 글을 통해 병원의 한국어 정보 제공 방식과 진료 관련 안내 톤을 확인할 수 있습니다.
원문 검증
필요하면 원문 블로그와 병원 프로필로 바로 이동해 문맥을 다시 확인할 수 있습니다.
출처 아카이브 열기아카이브된 블로그 글
디데이치과의원 · Naver Blog
안녕하세요, 디데이치과 대표원장이자 통합치의학과 전문의 오태훈입니다. 많은 분들이 고민하시는 '누렁니 탈출'에 대해 이야기 나누고자 합니다 : ) 웃을 때마다 누런 치아가 보여서 자신 없어요. 사진 찍을 때 입 다물고 찍어요. 치아가 너무 부끄러워서… 누렇고 삐뚤삐뚤한 치아 때문에 면접에서 자꾸...
게시일
2024년 10월 25일
원문 기준으로 확인된 발행일입니다.
카테고리
라미네이트
원문 블로그 카테고리를 정리해 함께 표시합니다.
이미지 수
26
현재 아카이브에 연결된 이미지 수입니다.
아카이브 요약
디데이치과의원의 네이버 블로그 원문을 보존한 아카이브 페이지입니다. 라미네이트 카테고리의 치아미백 vs 라미네이트, 누렁니 탈출하고 싶으신 분들만 글을 통해 병원의 한국어 정보 제공 방식과 진료 관련 안내 톤을 확인할 수 있습니다.
원문 검증
필요하면 원문 블로그와 병원 프로필로 바로 이동해 문맥을 다시 확인할 수 있습니다.
출처 아카이브 열기안녕하세요, 디데이치과 대표원장이자
통합치의학과 전문의 오태훈입니다.

많은 분들이 고민하시는 '누렁니 탈출'에 대해 이야기 나누고자 합니다 : )
웃을 때마다 누런 치아가 보여서
자신 없어요.
사진 찍을 때 입 다물고 찍어요.
치아가 너무 부끄러워서…
누렇고 삐뚤삐뚤한 치아 때문에 면접에서
자꾸 떨어지는 것 같아요.
이런 고민, 너무나 잘 알고 있습니다.
치아는 우리의 첫인상을 좌우하는
중요한 요소니까요.

하지만 잘못된 선택으로 오히려
더 큰 후회를 하게 될 수도 있습니다.
부적절한 치료로 인해 치아가 영구적으로 손상되거나, 과도한 비용으로 인한 경제적 부담이 스트레스로 이어질 수 있습니다.
심한 경우 건강한 치아를 모두 갈아내 돌이킬 수 없는 상황이 될 수도 있죠.
이런 최악의 상황을 피하고 여러분의 미소를 되찾기 위해,
오늘은 누렁니 탈출을 위한 2가지 대표적인 방법인 '치아미백'과 '라미네이트'에 대해 자세히 알아보겠습니다.
1.치아미백이란? 장점과 단점
치아미백은 치아의 색을 밝게
만드는 시술입니다.

과산화수소나 과산화요소 등의 미백제를 사용하여 치아 표면과 내부의 착색을 제거합니다.
이 방법의 장점은 비교적 저렴한 비용으로 빠른 효과를 볼 수 있다는 것입니다.
또한 치아 삭제가 필요 없어 건강한 치아 구조를 유지할 수 있습니다.
반면 단점도 있습니다.
미백 효과가 영구적이지 않아 정기적인 관리가 필요하고, 시린 증상이 일시적으로 나타날 수 있습니다.
또한 치아의 모양이나 배열 문제는 해결할 수 없다는 한계가 있습니다.


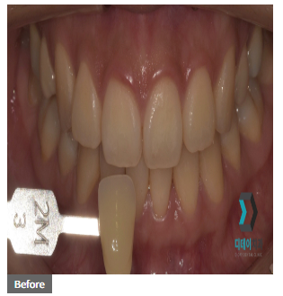
(전) 240219 (후) 240219
원데이치아미백 전후
위 사진은 커피와 담배로 인해 누렇게 변색된 30대 남성 환자의 치아입니다.
하지만 디데이치과에서 원데이치아미백으로
3회의 전문가 미백 시술 후, 치아 색이 눈에 띄게 밝아진 것을 확인할 수 있습니다.
2.라미네이트는 어떨까?
장점과 단점
라미네이트는 얇은 도자기 조각을 치아 앞면에 붙이는 시술입니다.

치아의 색상뿐만 아니라 모양, 크기, 배열까지 개선할 수 있어 '치아 성형'이라고도 불립니다.
이 방법의 장점은 한 번의 시술로 색상, 모양, 배열 등 여러 문제를 동시에 해결할 수 있다는 것입니다.
또한 효과가 오래 지속되어 장기적으로는 비용 효율이 높을 수 있습니다.
하지만 단점도 있습니다.
치아를 일부 삭제해야 하므로 건강한
치아 구조가 손상될 수 있습니다.
또한 초기 비용이 높고, 부자연스러워 보일 수 있는 위험도 있습니다.
3.나에게 맞는 방법은
무엇일까??
치아 미용 시술을 선택할 때는 겉모습만이 아닌 장기적인 치아 건강을 고려해야 합니다.
치아미백은 자연 치아를 보존하면서 색상을 개선하고 싶은 분들에게 적합합니다.

특히 치아 구조가 건강하고, 단순히 착색만 있는 경우에 추천됩니다.
라미네이트는 색상뿐만 아니라 치아의 모양, 크기, 배열 등 여러 가지 문제를 한 번에 해결하고 싶은 분들에게 적합합니다.
하지만 건강한 치아 구조를 일부
포기해야 한다는 점을 고려해야 합니다.
중요한 것은 개인의 상황과 요구사항에 맞는 최적의 선택을 하는 것입니다.
전문의와의 상담을 통해 자신의 구강 상태를 정확히 파악하고, 장단점을 충분히 이해한 후 결정을 내리는 것이 좋습니다.
오늘 배운 내용을 바탕으로 여러분의 치아 건강과 미소에 대해 한 번 더 생각해보시는 건 어떨까요?
누렁니로 인한 고민이 있으시다면
언제든 방문해주세요.
여러분께 가장 적합한 해결책을
함께 찾아나가겠습니다.
여러분의 건강한 미소를 응원합니다 : )
디데이치과 대표원장이자 통합치의학과 전문의 오태훈이였습니다. 읽어주셔서 감사합니다.
| 꼭 필요한 치료만 정직하게 권하는 곳디데이치과 네이버 예약 ✔ |
| 서울 디데이치과 진료 문의 |
|---|
| 대표전화 : 02-568-2877 (바로가기)네이버 톡톡 문의 (바로 가기) |

| 본 게시물은 의료광고법 제56조 1항을 준수하여, 의료 정보 제공 및 병원 홍보를 목적으로 디데이치과의원에서 직접 작성하였습니다.다만, 블로그에서 제공해 드리는 정보는 참조용으로만 활용하시고, 정확한 개인의 증상 파악은 의료기관에 직접 내방하시어 의료진을 통해 확인하실 것을 권유 드립니다.치과에서 진행되는 모든 시술 및 수술(임플란트 포함)은 개인에 따라 부작용 (염증, 출혈, 부기, 신경 손상 등) 가능성이 있습니다. 따라서 사전에 의료진과 충분한 상담을 통해 결정하시길 바랍니다.게시물의 치료 사진은 실제 본원에서 모든 치료 과정을 마친 환자분의 동의하에 촬영되었습니다. 전후 사진은 동일인이며, 동일 조건하에 촬영되었음을 밝힙니다. |

















