아카이브 요약
이 페이지의 역할
디데이치과의원의 네이버 블로그 원문을 보존한 아카이브 페이지입니다. 잇몸/치아 성형 카테고리의 선릉역 잇몸성형, 가격보다 글을 통해 병원의 한국어 정보 제공 방식과 진료 관련 안내 톤을 확인할 수 있습니다.
원문 검증
필요하면 원문 블로그와 병원 프로필로 바로 이동해 문맥을 다시 확인할 수 있습니다.
출처 아카이브 열기아카이브된 블로그 글
디데이치과의원 · 통합치의학과 전문의 2명의 솔직한 치과 이야기
안녕하세요, 선릉역에서 '자신있는 미소를 되찾아드리는 치과'를 운영 중인 통합치의학과 전문의 김무진입니다. 저는 항상 환자분들의 치아 건강을 최우선으로 생각하며, 좀 더 편안하게 진료받으실 수 있도록 노력하고 있습니다 : ) 현재 이 글을 보고 계신다면, 웃을 때 잇몸이 많이 보이거나 치아 길이가 짧아...
게시일
2024년 11월 13일
원문 기준으로 확인된 발행일입니다.
카테고리
잇몸/치아 성형
원문 블로그 카테고리를 정리해 함께 표시합니다.
이미지 수
15
현재 아카이브에 연결된 이미지 수입니다.
아카이브 요약
디데이치과의원의 네이버 블로그 원문을 보존한 아카이브 페이지입니다. 잇몸/치아 성형 카테고리의 선릉역 잇몸성형, 가격보다 글을 통해 병원의 한국어 정보 제공 방식과 진료 관련 안내 톤을 확인할 수 있습니다.
원문 검증
필요하면 원문 블로그와 병원 프로필로 바로 이동해 문맥을 다시 확인할 수 있습니다.
출처 아카이브 열기안녕하세요, 선릉역에서
'자신있는 미소를 되찾아드리는 치과'를
운영 중인 통합치의학과 전문의 김무진입니다.

저는 항상 환자분들의
치아 건강을 최우선으로 생각하며,
좀 더 편안하게 진료받으실 수 있도록
노력하고 있습니다 : )
현재 이 글을 보고 계신다면, 웃을 때 잇몸이 많이 보이거나 치아 길이가 짧아 보여 고민하고 계신 분일 것 같습니다.
혹시 이런 생각을
해보신 적 없으신가요?
웃을 때마다 잇몸이 너무 많이 보여서
사진 찍기가 꺼려져요.
어떻게 하면 좋을까요?
미팅 갈 때마다 잇몸이 많이 드러나는 게
신경 쓰여요.
자신 있게 웃고 싶은데...
이러한 고민들은 단순히
미용적인 문제를 넘어 자신감과
삶의 질에도 큰 영향을 미칠 수 있습니다.
오늘은 이런 분들에게 도움을 드리고자
잇몸성형에 대해 자세히
알아보려고 합니다.
잇몸성형은 단순히 가격만으로
결정할 수 있는 시술이 아닙니다.
그보다 더 중요한 것들이 있죠.
이 글을 끝까지 읽어보시면,
잇몸성형을 고려하실 때
꼭 알아두셔야 할 중요한
정보들을 얻으실 수 있을 거예요.

잇몸성형은 말 그대로 잇몸의 형태를 개선하는 시술입니다.
웃을 때 잇몸이 과도하게 노출되는
'거미 스마일'이나
치아가 짧아 보이는 경우, 또는 잇몸 라인이 고르지 않은 경우에 효과적입니다.
이 시술은 과도하게 노출된 잇몸을 자연스럽게 정리하고, 치아의 길이를 적절하게 조절함으로써 균형 잡힌 미소를 만들어냅니다.
선릉역 디데이치과에 내원해주
한 환자분은 이런 말씀을 하셨어요.
원장님, 웃을 때마다 잇몸이 많이 보여서
사진 찍기가 싫었어요.
하지만 잇몸성형 후에는
자신 있게 웃을 수 있게 되었고,
이제는 사진 찍는 게 즐거워졌어요!
이처럼 잇몸성형은 단순히
미용적인 효과를 넘어 자신감과
삶의 질 향상에도 큰 도움을 줍니다.
할 중요한 요소들
잇몸성형의 효과를 최대화하고 안전한
시술을 위해서는 몇 가지 중요한 요소들을
고려해야 합니다.
이는 시술의 안전성과 효과를 결정짓는
핵심 요인들이죠.
무엇보다 전문성을 갖춘
의료진이 필요합니다.
잇몸성형은 단순히 잇몸을 깎아내는 것이 아니라, 얼굴의 전체적인 조화를 고려해야 하는 섬세한 시술입니다.
따라서 풍부한 경험과 전문 지식을
갖춘 의사가 시술을 해야 합니다.
이와 함께 최신 장비와
기술의 사용도 중요한데요,
현대 치과 기술은 빠르게 발전하고 있어 레이저를 이용한 시술은 출혈을 최소화하고 회복 기간을 단축시켜줍니다.
이는 환자의 편안함과 시술의 효과를
모두 높여주는 중요한 요소입니다.
또한 개인맞춤 치료 계획이 필요합니다. 모든 사람의 얼굴 형태와 미소선이 다르듯, 잇몸성형도 개인에 따라 다르게 접근해야 합니다.
환자의 얼굴형과 미소선을 고려한 맞춤 설계를 통해 자연스러운 미소를 되찾을 수 있습니다.
이러한 요소들을 모두 갖춘 병원에서
시술을 받을 때,
가장 안전하고 효과적인
결과를 얻을 수 있습니다.

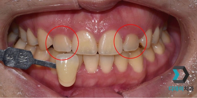
시술 전 사진입니다. 230906

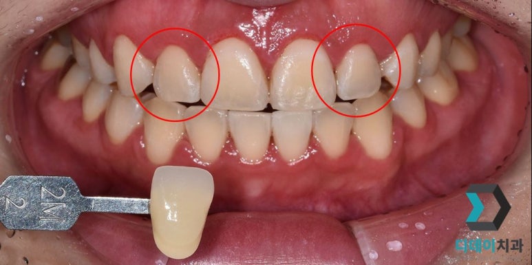
시술 후 사진입니다. 230920
좋은 병원을 찾는 것은 성공적인
잇몸성형의 첫 걸음입니다.
잇몸성형을 잘 하는 병원을 찾기 위해서는 몇 가지 중요한 점들을 살펴봐야 합니다.
먼저, 병원의 진료 철학을 살펴보는 것이 중요합니다.
진료 철학은 의사가 환자를 대하는 태도와 치료 방식의 근간이 됩니다.
예를 들어, '환자에게 꼭 필요한 진료만 도와드리자'라는 철학을 가진 병원은 불필요한 시술을 권하지 않고 환자의 실제 필요에 집중할 것입니다.
이와 함께 의사의 경력과
전문성도 확인해야 합니다.
통합치의학과 전문의나 관련 분야에서
오랜 경험을 쌓은 의사를 선택하는 것이
좋습니다.
이는 앞서 언급한 전문성 있는
의료진의 중요성과 직결됩니다.
환자 후기와 사례도
참고할 만한 좋은 정보입니다.
실제 시술 받은 환자들의 경험담을 통해 병원의 실력과 서비스 품질을 가늠해볼 수 있습니다.
이는 병원의
실제 성과를 확인할 수 있는
좋은 방법입니다.
그리고 무엇보다 직접 상담을
받아보는 것이 가장 확실한 방법입니다.
상담 과정에서 의사의 설명이 얼마나 자세하고 이해하기 쉬운지, 환자의 고민을 경청하고 적절한 해결책을 제시하는지 등을 판단할 수 있습니다.
이를 통해 개인맞춤 치료 계획의 가능성도
가늠해볼 수 있죠.
진료 철학을 꼼꼼히 살펴보는 것이
중요한 이유는,
이를 통해 해당 병원이 환자를 단순한 시술 대상이 아닌 개인으로 존중하는지, 장기적인 구강 건강을 고려하는지 알 수 있기 때문입니다.
좋은 진료 철학을 가진 병원은 단기적인 이익보다는 환자의 건강과 만족을 우선시할 것입니다.
결론적으로, 잇몸성형은 단순히 미용적인 시술이 아닙니다.
여러분의 자신감과 삶의 질을 높여주는 중요한 과정이라 생각합니다.

그래서 가격만을 고려해 선택하기보다는, 전문성, 안전성, 개인맞춤 치료 등을 종합적으로 고려해야 합니다.
이러한 요소들을 갖춘 병원을 선택함으로써, 여러분은 더 안전하고 효과적인 잇몸성형을 받을 수 있습니다.
건강한 치아와 아름다운 미소는 우리 삶의 질을 크게 향상시킵니다.
마치 한 폭의 그림처럼,
여러분의 미소도 세심한 손길로
가꾸어 나가는 것이 중요합니다.
잇몸성형에 대해 궁금한 점이 있으시다면, 언제든 편하게 상담받으실 수 있습니다.
여러분의 건강하고 아름다운 미소를 위해
최선을 다해 도와드리겠습니다.
감사합니다 : )
| 꼭 필요한 치료만 정직하게 권하는 곳디데이치과 네이버 예약 ✔ |
| 서울 디데이치과 진료 문의 |
|---|
| 대표전화 : 02-568-2877 (바로가기)네이버 톡톡 문의 (바로 가기) |

| 본 게시물은 의료광고법 제56조 1항을 준수하여, 의료 정보 제공 및 병원 홍보를 목적으로 디데이치과의원에서 직접 작성하였습니다.다만, 블로그에서 제공해 드리는 정보는 참조용으로만 활용하시고, 정확한 개인의 증상 파악은 의료기관에 직접 내방하시어 의료진을 통해 확인하실 것을 권유 드립니다.치과에서 진행되는 모든 시술 및 수술(임플란트 포함)은 개인에 따라 부작용 (염증, 출혈, 부기, 신경 손상 등) 가능성이 있습니다. 따라서 사전에 의료진과 충분한 상담을 통해 결정하시길 바랍니다.게시물의 치료 사진은 실제 본원에서 모든 치료 과정을 마친 환자분의 동의하에 촬영되었습니다. 전후 사진은 동일인이며, 동일 조건하에 촬영되었음을 밝힙니다. |









Previous image Next image