아카이브 요약
이 페이지의 역할
디데이치과의원의 네이버 블로그 원문을 보존한 아카이브 페이지입니다. 라미네이트 카테고리의 무삭제 라미네이트, 장점과 단점 전문의가 설명드립니다. 글을 통해 병원의 한국어 정보 제공 방식과 진료 관련 안내 톤을 확인할 수 있습니다.
원문 검증
필요하면 원문 블로그와 병원 프로필로 바로 이동해 문맥을 다시 확인할 수 있습니다.
출처 아카이브 열기아카이브된 블로그 글
디데이치과의원 · 통합치의학과 전문의 2명의 솔직한 치과 이야기
안녕하세요, 디데이치과 통합치의학과 전문의 오태훈입니다. 매일 진료실에서 환자분들의 건강한 치아와 아름다운 미소를 위해 정성을 다하고 있습니다 : ) 선생님, 라미네이트 하고 싶은데... 인터넷 보니까 너무 무서워요. 치아가 망가졌다는 사람도 있고, 빼야 했다는 사람도 있고... 근데 또 무삭제는 괜찮다는 말도...
게시일
2024년 12월 9일
원문 기준으로 확인된 발행일입니다.
카테고리
라미네이트
원문 블로그 카테고리를 정리해 함께 표시합니다.
이미지 수
11
현재 아카이브에 연결된 이미지 수입니다.
아카이브 요약
디데이치과의원의 네이버 블로그 원문을 보존한 아카이브 페이지입니다. 라미네이트 카테고리의 무삭제 라미네이트, 장점과 단점 전문의가 설명드립니다. 글을 통해 병원의 한국어 정보 제공 방식과 진료 관련 안내 톤을 확인할 수 있습니다.
원문 검증
필요하면 원문 블로그와 병원 프로필로 바로 이동해 문맥을 다시 확인할 수 있습니다.
출처 아카이브 열기안녕하세요, 디데이치과 통합치의학과 전문의 오태훈입니다.

매일 진료실에서 환자분들의 건강한 치아와 아름다운 미소를 위해 정성을 다하고 있습니다 : )
선생님, 라미네이트 하고 싶은데... 인터넷 보니까 너무 무서워요. 치아가 망가졌다는 사람도 있고, 빼야 했다는 사람도 있고... 근데 또 무삭제는 괜찮다는 말도 있어서요.
진료실에서 자주 듣는 고민입니다.
실제로 잘못된 라미네이트 시술은 돌이킬 수 없는 결과를 초래할 수 있습니다.
치아는 손톱과 달리 한번 깎이면 다시 자라나지 않기 때문입니다.

시술 실패로 인한 치아 손상, 염증, 신경 치료, 심한 경우 발치까지... 이런 부작용 사례들이 적지 않습니다.
최근에는 '무삭제 라미네이트'가 대안으로 주목받고 있습니다.
치아를 깎지 않고도 하얗고 반듯한 치열을 만들 수 있다는 점에서 많은 관심을 받고 있는데요.
하지만 이 역시 신중한 선택이 필요합니다.
잘못된 시술은 치아 표면에 영구적인 손상을 줄 수 있고, 제거가 필요할 경우 건강한 치아 조직까지 함께 훼손될 수 있기 때문입니다.

오늘은 무삭제 라미네이트의 장점과 단점을 면밀히 살펴보며, 어떤 경우에 추천할 수 있고 어떤 경우에는 피해야 하는지 자세히 알아보도록 하겠습니다.
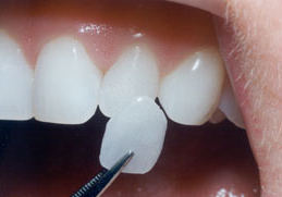
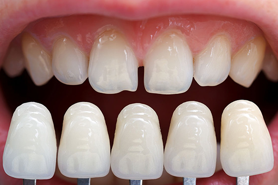
1.무삭제 라미네이트의 이해
무삭제 라미네이트는 치아를 깎지 않고도 미적 개선이 가능한 시술입니다.
마치 손톱에 네일아트를 하듯, 치아 표면에 0.2-0.3mm 두께의 얇은 라미네이트를 부착하는 방식입니다.

일반 라미네이트가 치아를 0.5-0.8mm 정도 삭제해야 하는 것과 달리, 무삭제 라미네이트는 건강한 치아를 그대로 보존할 수 있습니다.
특히 3D 스캐너와 최신 디지털 장비를 활용하면, 치아의 형태를 정밀하게 분석하고 더욱 얇고 정교한 라미네이트 제작이 가능합니다.

이는 마치 맞춤 옷을 제작하는 것처럼, 개개인의 치아 특성에 완벽하게 맞는 라미네이트를 만들 수 있다는 의미입니다.
2.무삭제 라미네이트의 장점
무삭제 라미네이트의 가장 큰 장점은 건강한 치아 조직을 그대로 보존할 수 있다는 점입니다.
치아는 한번 깎이면 다시 재생되지 않습니다.
마치 다이아몬드를 깎아내면 그 가치가 영영 사라지는 것처럼, 건강한 치아 조직도 한번 제거되면 돌이킬 수 없죠.

무삭제 라미네이트는 이런 소중한 치아 조직을 온전히 보존하면서도 심미적 개선이 가능합니다.
또한 시술 과정이 편안하다는 것도 큰 장점입니다.
치아를 깎지 않기 때문에 마취가 필요 없고, 시술 중 통증도 거의 없습니다.
특히 치과 치료에 대한 두려움이 있는 분들에게 무삭제 라미네이트는 좋은 대안이 될 수 있습니다.
시술 후에도 시린 증상이나 불편감 없이 일상생활이 가능합니다.
더불어 빠른 시일 내에 원하는 결과를 얻을 수 있다는 점도 매력적입니다.
디지털 장비를 활용한 정밀 분석과 맞춤 제작 시스템으로, 하루 만에도 새로운 미소를 되찾으실 수 있습니다.
교정 치료처럼 오랜 시간이 필요하지 않으면서도, 치아 색상과 형태를 자연스럽게 개선할 수 있죠.
특히 결혼식이나 중요한 행사를 앞둔 분들께 이상적인 솔루션이 될 수 있습니다.

무엇보다 자연스러운 심미성을 얻을 수 있다는 것이 큰 장점입니다.
최신 세라믹 소재와 정교한 제작 기술로, 마치 타고난 치아처럼 자연스러운 광택과 투명도를 구현할 수 있습니다.
기존 치아의 형태나 특징을 최대한 살리면서도, 더욱 아름답고 건강한 미소를 만들어드립니다.
3.무삭제 라미네이트의 주의사항
건강한 치아와 아름다운 미소를 위해 무삭제 라미네이트를 고려하고 계신다면, 먼저 알아두셔야 할 중요한 사항들이 있습니다.
시술의 성공을 위해서는 치아 상태, 구강 건강, 그리고 시술 후 관리까지 종합적인 고려가 필요하기 때문인데요.

우선 치아 배열 상태가 중요한 기준이 됩니다.
치아가 심하게 돌출되었거나 울퉁불퉁함이 심한 경우에는 오히려 부자연스러운 결과가 나올 수 있습니다.
이런 경우에는 교정치료나 다른 치료 옵션을 먼저 고려해보는 것이 현명한 선택일 수 있죠.
구강 건강 상태 역시 시술의 성패를 좌우하는 중요한 요소입니다.
건강한 치아와 잇몸이 있어야 라미네이트도 오래 유지될 수 있습니다.
충치나 잇몸 질환이 있다면, 이를 먼저 치료한 후 라미네이트 시술을 진행하는 것이 바람직합니다.
또한 한번 부착한 라미네이트는 쉽게 제거하기 어렵다는 점을 반드시 기억하셔야 합니다.
라미네이트 제거 과정에서 건강한 치아 표면이 손상될 수 있기 때문인데요.

따라서 처음 선택부터 신중해야 하며, 전문성 있는 의료진과의 상담이 필수적입니다.
이처럼 무삭제 라미네이트는 건강한 치아를 보존하면서도 아름다운 미소를 만들 수 있는 시술인데요.
하지만 모든 치료가 그렇듯, 개인의 구강 상태에 따라 적합성이 달라질 수 있습니다.

그렇기 때문에 시술을 고려하고 계신다면, 전문의와의 정확한 진단과 상담을 통해 본인에게 가장 적합한 치료 방법을 결정하시기 바랍니다.
특히 치아는 평생 함께하는 소중한 자산이므로, 신중한 결정이 필요합니다.
치아가 건강해야 음식을 맛있게 먹을 수 있고, 자신 있게 웃을 수 있으며, 밝은 인상으로 살아갈 수 있습니다.
읽어주셔서 감사합니다.
| 꼭 필요한 치료만 정직하게 권하는 곳디데이치과 네이버 예약 ✔ |
| 서울 디데이치과 진료 문의 |
|---|
| 대표전화 : 02-568-2877 (바로가기)네이버 톡톡 문의 (바로 가기) |

| 본 게시물은 의료광고법 제56조 1항을 준수하여, 의료 정보 제공 및 병원 홍보를 목적으로 디데이치과의원에서 직접 작성하였습니다.다만, 블로그에서 제공해 드리는 정보는 참조용으로만 활용하시고, 정확한 개인의 증상 파악은 의료기관에 직접 내방하시어 의료진을 통해 확인하실 것을 권유 드립니다.치과에서 진행되는 모든 시술 및 수술(임플란트 포함)은 개인에 따라 부작용 (염증, 출혈, 부기, 신경 손상 등) 가능성이 있습니다. 따라서 사전에 의료진과 충분한 상담을 통해 결정하시길 바랍니다.게시물의 치료 사진은 실제 본원에서 모든 치료 과정을 마친 환자분의 동의하에 촬영되었습니다. 전후 사진은 동일인이며, 동일 조건하에 촬영되었음을 밝힙니다. |