아카이브 요약
이 페이지의 역할
디데이치과의원의 네이버 블로그 원문을 보존한 아카이브 페이지입니다. 치아미백 카테고리의 치아미백 횟수? 병원? 시술 전 알면 좋은 체크리스트 글을 통해 병원의 한국어 정보 제공 방식과 진료 관련 안내 톤을 확인할 수 있습니다.
원문 검증
필요하면 원문 블로그와 병원 프로필로 바로 이동해 문맥을 다시 확인할 수 있습니다.
출처 아카이브 열기아카이브된 블로그 글
디데이치과의원 · 통합치의학과 전문의 2명의 솔직한 치과 이야기
치아미백 횟수? 병원? 시술 전 알면 좋은 체크리스트 안녕하세요, 디데이치과 대표원장 김무진입니다. 환자 한 분 한 분의 건강한 치아와 밝은 미소를 위해 늘 고민하며, 정성을 다해 진료하고 있습니다 : ) 원장님, 제가 이럴 줄 알았으면 절대 인터넷으로 미백제품 사지 않았을 텐데... 지난주 진료실에서...
게시일
2024년 12월 22일
원문 기준으로 확인된 발행일입니다.
카테고리
치아미백
원문 블로그 카테고리를 정리해 함께 표시합니다.
이미지 수
20
현재 아카이브에 연결된 이미지 수입니다.
아카이브 요약
디데이치과의원의 네이버 블로그 원문을 보존한 아카이브 페이지입니다. 치아미백 카테고리의 치아미백 횟수? 병원? 시술 전 알면 좋은 체크리스트 글을 통해 병원의 한국어 정보 제공 방식과 진료 관련 안내 톤을 확인할 수 있습니다.
원문 검증
필요하면 원문 블로그와 병원 프로필로 바로 이동해 문맥을 다시 확인할 수 있습니다.
출처 아카이브 열기안녕하세요,
디데이치과 대표원장 김무진입니다.

환자 한 분 한 분의 건강한 치아와 밝은 미소를 위해 늘 고민하며, 정성을 다해 진료하고 있습니다 : )
원장님, 제가 이럴 줄 알았으면 절대 인터넷으로 미백제품 사지 않았을 텐데...
지난주 진료실에서 만난 30대 직장인 환자분의 말씀이 아직도 마음에 남습니다.
해외 직구로 구매한 고농도 미백제를 사용했다가 치아가 너무 시리고 잇몸이 붓는 증상이 나타나 급하게 병원을 찾으셨더군요.

진찰 결과, 치아 표면이 심하게 손상되어 있었습니다.
법랑질이 약해져 음식을 먹을 때마다 시린 증상이 나타났고, 과다 농도의 미백제로 인해 잇몸 염증도 동반되어 있었습니다.
결국 치아 본연의 기능을 회복하기 위해 추가적인 치료가 필요한 상황이었죠.
이처럼 잘못된 미백은 단순히 효과가 없는 것을 넘어, 치아와 잇몸에 돌이킬 수 없는 손상을 줄 수 있습니다.
마치 새하얀 셔츠를 표백제로 무리하게 표백했다가, 오히려 옷감이 상하는 것처럼 말이죠.
오늘은 치아미백을 고민하시는 분들이 후회 없는 선택을 하실 수 있도록, 꼭 알아야 할 체크리스트를 준비했습니다.
이 글을 통해 전문가 미백과 셀프 미백의 차이, 주의사항, 그리고 효과적인 관리법까지 상세히 알아보도록 하겠습니다.
모든 치아미백이 같은 효과를 보일까요?
치아가 누렇게 변하는 원인은 크게 세 가지로 나눌 수 있습니다.
커피와 담배 같은 외부 착색으로 인한 경우, 노화나 약물 복용으로 인한 내부 변색, 그리고 선천적인 치아 색소 침착입니다.

마치 옷의 얼룩도 생긴 원인에 따라 세탁 방법이 다르듯, 치아 변색도 원인에 따라 미백 효과가 다르게 나타납니다.
커피나 담배로 인한 외부 착색은 전문가 미백으로 비교적 좋은 효과를 볼 수 있지만, 노화나 약물로 인한 내부 변색은 효과가 제한적일 수 있습니다.
그래서 시술 전 정확한 진단이 무엇보다 중요합니다.
변색의 원인을 정확히 파악하고, 환자의 치아 상태와 기대치를 고려한 맞춤 치료 계획이 세워져야 합니다.
전문가 미백 vs 자가 미백, 무엇이 다를까요?
전문가 미백은 치과에서 진행하는 시술로, 고농도의 미백제와 특수 광원을 사용합니다.
보통 1회 90분 정도 소요되며, 개인차는 있으나 1-2회 시술로도 눈에 띄는 효과를 볼 수 있습니다.

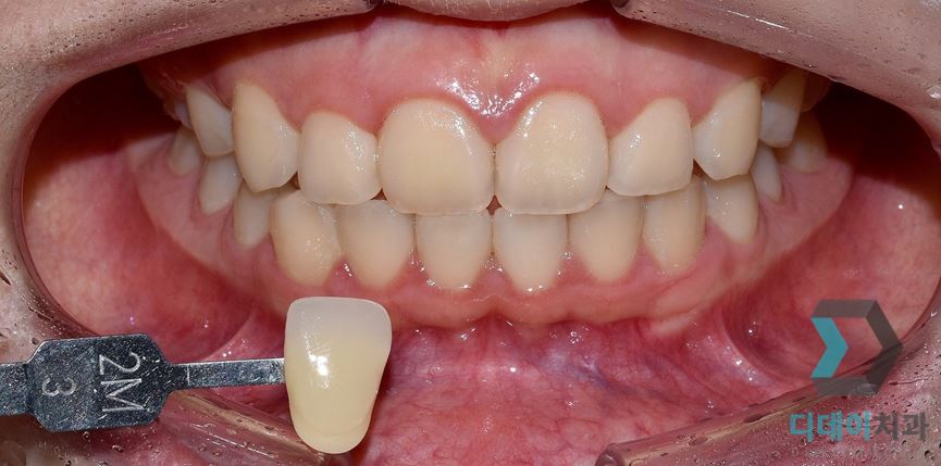
<당일 시술 전 240405>

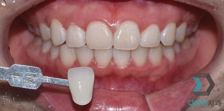
<당일 시술 후 240405>
자가 미백은 치과에서 개인 맞춤 트레이를 제작해 저농도 미백제를 사용하는 방법입니다.
취침 전 2-3시간 정도 착용하며, 2-3주 정도 지속적으로 관리해야 합니다.
주의할 점은 인터넷에서 판매되는 미백 제품들입니다.
이러한 제품들은 효과를 높이기 위해 과도하게 높은 농도의 과산화수소를 포함하는 경우가 많아, 치아 부식이나 시린 증상, 잇몸 손상 등의 부작용을 일으킬 수 있습니다.
치아미백 전후 체크리스트
시술 전에는 반드시 전문의의 정확한 진단이 필요합니다.

치아 균열이나 충치가 있다면 먼저 치료가 선행되어야 하며, 잇몸 질환이 있는 경우도 주의가 필요합니다.
또한 기존 보철물(크라운, 레진 등)은 미백이 되지 않기 때문에, 앞니에 보철물이 있다면 미백 후 색상 차이가 날 수 있다는 점도 고려해야 합니다.
시술 직후 48시간은 미백 효과가 안정화되는 중요한 시기입니다.
이 기간에는 커피, 홍차, 와인, 카레 등 착색을 유발하는 음식은 피해야 하며, 금연도 필수입니다.

이후에도 정기적인 스케일링과 올바른 칫솔질로 관리한다면, 미백 효과를 6개월에서 1년 정도 유지할 수 있습니다.
하얀 치아는 단순히 미적인 만족을 넘어, 자신감 있는 미소로 이어집니다.
하지만 잘못된 선택으로 치아 건강을 해치게 된다면, 그 후회는 오래 남을 수밖에 없습니다.
마치 정성스럽게 가꾼 정원처럼, 치아 미백도 전문가의 정확한 진단과 세심한 관리가 필요합니다.
당장의 비용 절감을 위해 검증되지 않은 제품을 선택하거나, 부작용을 간과한 채 무리한 시술을 진행한다면, 돌이킬 수 없는 결과를 마주하게 될 수 있기 때문입니다.
지난주 진료실에서 만난 환자분의 마지막 말씀이 생각납니다.
원장님, 처음부터 이렇게 상담 받고 치료 받았더라면 좋았을 텐데... 이제라도 찾아와서 다행이에요.
치아는 평생 함께하는 소중한 동반자입니다.
환한 미소를 되찾는 과정에서 후회하지 않도록, 전문가와 충분한 상담을 통해 현명한 선택을 하시길 바랍니다 : )
오늘 이 글이 치아미백을 고민하시는 분들께 작은 도움이 되었기를 진심으로 바랍니다.
건강하고 아름다운 미소로 더욱 빛나는 매일을 보내세요.
| 꼭 필요한 치료만 정직하게 권하는 곳디데이치과 네이버 예약 ✔ |
| 서울 디데이치과 진료 문의 |
|---|
| 대표전화 : 02-568-2877 (바로가기)네이버 톡톡 문의 (바로 가기) |

| 본 게시물은 의료광고법 제56조 1항을 준수하여, 의료 정보 제공 및 병원 홍보를 목적으로 디데이치과의원에서 직접 작성하였습니다.다만, 블로그에서 제공해 드리는 정보는 참조용으로만 활용하시고, 정확한 개인의 증상 파악은 의료기관에 직접 내방하시어 의료진을 통해 확인하실 것을 권유 드립니다.치과에서 진행되는 모든 시술 및 수술(임플란트 포함)은 개인에 따라 부작용 (염증, 출혈, 부기, 신경 손상 등) 가능성이 있습니다. 따라서 사전에 의료진과 충분한 상담을 통해 결정하시길 바랍니다.게시물의 치료 사진은 실제 본원에서 모든 치료 과정을 마친 환자분의 동의하에 촬영되었습니다. 전후 사진은 동일인이며, 동일 조건하에 촬영되었음을 밝힙니다. |











