안녕하세요,
아랫니라미네이트 잘하는 곳 찾고 계신가요?
디데이치과 대표원장이자
통합치의학과 전문의 오태훈입니다.

저는 환자분들의 치아건강을
최우선으로 생각하며,
자연치아를 최대한 보존하는 치료 철학을
바탕으로 진료를 이어가고 있습니다 :)
현재 이 글을 보고 계시다면
'아랫니 라미네이트'를 고민 중인 분이실 겁니다.
아마도 아랫니가 삐뚤거나 색이 변색되어
웃을 때마다 입을 가리게 되고,
사진 찍을 때 자연스럽게 웃지 못해
스트레스받으셨을 것 같은데요.

인터넷으로 찾아보니
'아랫니는 라미네이트가 어렵다'는 의견도 있고,
'무삭제로 가능하다'는 광고도 있어서
혼란스러우셨을 텐데요.
하지만 여기서 가장 무서운 것은 잘못된 치과
선택으로 인한 돌이킬 수 없는 결과입니다.
만약 경험이 부족한 곳에서 시술받으신다면
라미네이트가 자꾸 떨어져
재시술을 반복하게 되거나,
심한 경우 치아를 과도하게 삭제해
신경치료까지 받아야 할 수 있습니다.
이는 단순히 돈과 시간의 문제가 아니라 건강한 자연치아를 영구적으로 손상시킬 수 있는
심각한 문제입니다.
목차
-
아랫니 라미네이트 경험이 풍부한 곳인지 확인하세요
-
사후관리 시스템이 체계적으로 갖춰진 곳을 선택하세요
-
아랫니 라미네이트 경험이
풍부한 곳인지 확인하세요
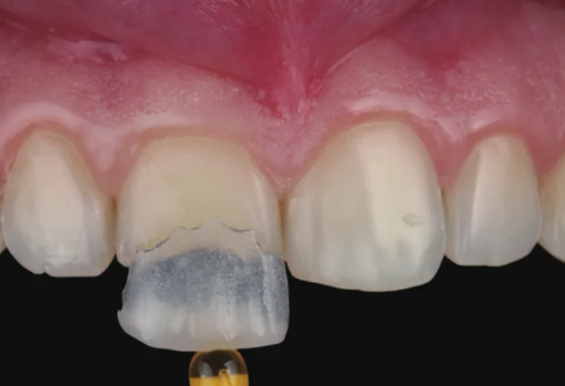
아랫니 라미네이트는 생각보다
까다로운 시술입니다.
아랫니는 혀의 움직임과 침의 영향을
많이 받는 부위라서 접착이 어렵고,

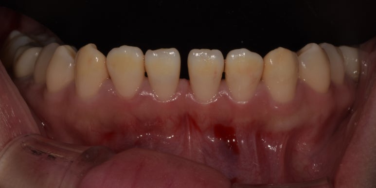
20230411 치료 전

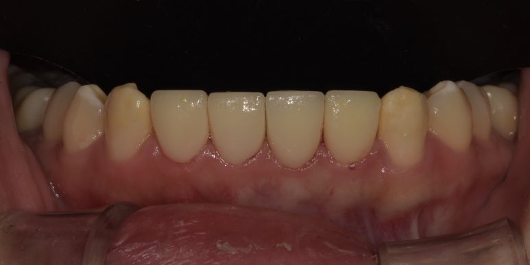
20230422 치료 후
저작 시 강한 압력을 받기 때문에
탈락 위험이 높습니다.
상담 시
"아랫니 라미네이트를 몇 년간 해오셨는지",
"연간 몇 케이스 정도 진행하시는지"
직접 물어보시기 바랍니다.
경험이 풍부한 의료진이라면 구체적인 숫자와
함께 아랫니 특유의 어려움에 대해서도 자세히
설명해드릴 것입니다.

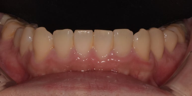
20231107 아랫니 라미네이트 전

20231120 아랫니 라미네이트 후
또한 시술 전 정밀검사를 통해 치아 상태를
꼼꼼히 분석하는지도 중요한 포인트입니다.
아랫니라미네이트는 개인차가 크기 때문에 획일적인
방법보다는 개별 맞춤 설계가 필요합니다.
치아의 크기, 배열, 교합 상태까지 종합적으로
고려해야 오래 사용할 수 있는 라미네이트가 완성됩니다.
- 사후관리 시스템이
체계적으로 갖춰진 곳을
선택하세요
아랫니 라미네이트는 시술 후 관리가 더욱 중요합니다.
특히 아랫니는 음식물이 끼기 쉽고
칫솔질이 어려운 부위라서
정기적인 점검과 관리가 필수입니다.
좋은 치과라면 시술 후
정기검진 일정을 미리 안내하고,
문제 발생 시 즉시 대응할 수 있는 시스템을
갖추고 있습니다.

예를 들어 라미네이트가
조금이라도 들떠 보인다면
바로 내원하여 점검받을 수 있어야 하고,
필요시 즉시 재접착이나 수정이 가능해야 합니다.
또한 올바른 관리법에 대한 교육도 중요합니다.
이런 세세한 부분까지 친절하게 안내해주는 곳이 진정 환자를 생각하는 치과입니다.
무엇보다 A/S 정책이 명확한지 확인해보세요.
탈락이나 파절 시
어떤 조건에서 무상 재시술이 가능한지,
보증기간은 얼마인지
미리 확인하는 것이 현명합니다.

이런 부분을 투명하게 공개하는 치과야말로
자신의 실력에 자신 있는 곳이라 할 수 있습니다.
아랫니 라미네이트는 단순히 치아를
예쁘게 만드는 것이 아닙니다.

환자분의 자신감을 되찾아드리고,
편안한 일상을 선사하는 의미 있는 치료입니다.
저 역시 환자분 한 분 한 분을 제 가족처럼
생각하며 진료에 임하고 있습니다.
하나를 붙이더라도
10년, 20년 후까지 생각하며
치료계획을 세웁니다.
치과 선택이 망설여지거나
아랫니 라미네이트에 대해
더 궁금한 점이 있으시다면
언제든 편하게 문의해 주세요.
충분한 상담을 통해 환자분께 가장 적합한
치료방법을 함께 찾아드리겠습니다.
여러분의 밝은 미소를 위해
디데이치과가 항상 곁에서 함께하겠습니다.
건강한 하루 보내세요 :)
| 꼭 필요한 치료만 정직하게 권하는 곳디데이치과 네이버 예약 ✔ |
| 서울 디데이치과 진료 문의 |
|---|
| 대표전화 : 02-568-2877 (바로가기)네이버 톡톡 문의 (바로 가기) |

| 본 게시물은 의료광고법 제56조 1항을 준수하여, 의료 정보 제공 및 병원 홍보를 목적으로 디데이치과의원에서 직접 작성하였습니다.다만, 블로그에서 제공해 드리는 정보는 참조용으로만 활용하시고, 정확한 개인의 증상 파악은 의료기관에 직접 내방하시어 의료진을 통해 확인하실 것을 권유 드립니다.치과에서 진행되는 모든 시술 및 수술(임플란트 포함)은 개인에 따라 부작용 (염증, 출혈, 부기, 신경 손상 등) 가능성이 있습니다. 따라서 사전에 의료진과 충분한 상담을 통해 결정하시길 바랍니다.게시물의 치료 사진은 실제 본원에서 모든 치료 과정을 마친 환자분의 동의하에 촬영되었습니다. 전후 사진은 동일인이며, 동일 조건하에 촬영되었음을 밝힙니다. |




