치아레진수명, 10년 이상 쓰려면 이것만은 알아야 합니다
안녕하세요,
치아레진수명 알아보고 계신가요?
디데이치과 대표원장이자
통합치의학과 전문의 오태훈입니다.

항상 환자분들의 치아건강을
최우선으로 생각하며,
보다 편안한 진료를 제공하기 위해
노력하고 있습니다 : )
혹시 치과에서 레진 치료를 받으신 후
이런 불안감을 느끼신 적 있으신가요?
치료받고 나서
씹을 때마다 시큰거려요
깨져서
다시 치료받아야 하나요?
때웠는데
별로 안 하얘졌어요..
이런 고민들로 인해 밤
잠을 설치셨던 분들이 계실 겁니다.
더 심각한 건,
잘못 관리된 레진이 2-3년 만에 깨지거나
변색되어 더 큰 치료가 필요해지는 상황입니다.

처음엔 간단한 치료로 끝날 수 있었던 것이, 관리 소홀로 인해 인레이나 심지어 크라운
치료까지 받아야 하는 경우를 종종 보게 됩니다.
마치 작은 구멍을 제때 메우지 않아
큰 홍수가 나는 것처럼 말이죠.
현재 이 글을 보고 계시다면
"치료를 받았는데
과연 얼마나 오래 쓸 수 있을까?",
"수명을 늘리려면 어떻게 해야 할까?" 같은 궁금증을 가지고 계실 겁니다.
인터넷에는 정보가 넘쳐나지만,
정작 신뢰할 만한 정보는 찾기 어려워
답답하셨을 것 같습니다.
오늘은 이런 분들에게 도움을 드리고자
치아레진수명에 대한 정확한 정보를 전해드리려 합니다.
목차
-
치아레진수명을 결정하는 핵심 요소들
-
치아레진수명 연장을 위한 전문적 접근
-
치아레진수명을 결정하는
핵심 요소들
레진의 수명은 단순히
재료의 품질만으로 결정되지 않습니다.
여러 요소들이 복합적으로 작용하죠.
가장 중요한 건 충치의
크기와 위치입니다.
작은 충치를 레진으로 치료했을 때와
광범위한 충치를 무리하게 레진으로 때운 경우는 수명에 큰 차이가 납니다.

특히 어금니처럼 씹는 힘을 많이 받는
부위에서는 레진이 깨질 위험이 높아집니다.
또한 레진의
접착 과정도 매우 중요합니다.
수분이 개입되거나
접착 과정에서 실수가 생기면
며칠 지나지 않아
떨어져 나올 수 있습니다.
치료 당시의 구강 환경과 의료진의 숙련도가
초기 접착력을 좌우하게 됩니다.
환자분의 개별적인 요소도 고려해야 합니다.
이갈이나 이 악물기 습관이 있으신 분,
딱딱한 음식을 자주 드시는 분,
구강 위생 관리가 소홀한 분들은
레진 수명이 상대적으로 짧아질 수 있습니다.


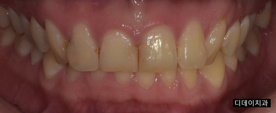
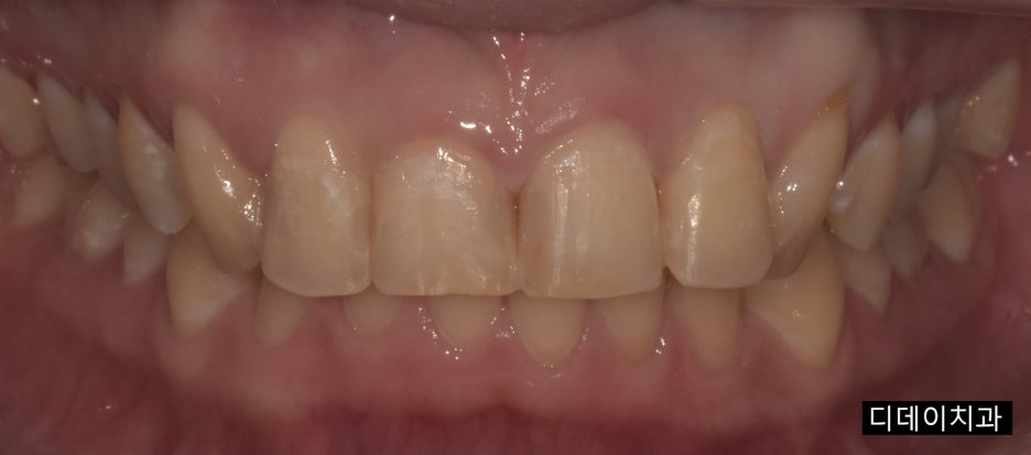
레진치료 전후
2024-01-02


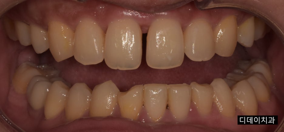
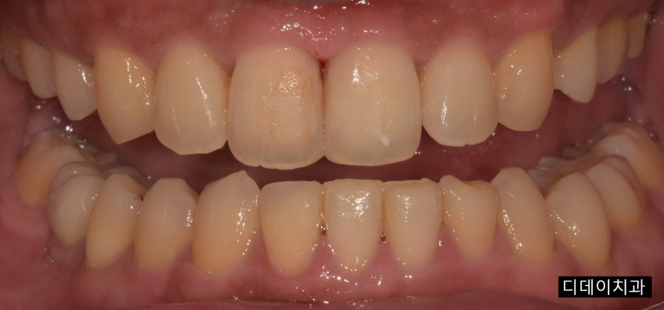
다이아스테마 레진치료 전후
2023-12-21


- 치아레진수명 연장을 위한
전문적 접근
레진의 장기적인 성공을 위해서는
치료 단계부터 신중해야 합니다.
충치 제거 시 완전한 세균 제거와
적절한 접착 과정이 이뤄져야 하며,
환자분의 교합 상태까지
고려한 정밀한 치료가 필요합니다.

재료의 선택도 중요합니다.
모든 레진이 같은 품질을 가진 것은 아닙니다.
우수한 접착력과 내구성을 가진
레진을 사용할 때 더 오래 사용할 수 있습니다.
또한 충치의 크기와 위치에 따라
플로우 타입 레진과 패커블 타입 레진을
적절히 조합하여 사용하는 것이 바람직합니다.

출처: 덴포라인
만약 레진으로는 한계가 있는 경우라면
과감히 인레이나 다른 치료법을 선택하는 것이
장기적으로 더 유리할 수 있습니다.
무리한 치료보다는 환자분의 상황에
가장 적합한 치료법을 선택하는 것이 중요하죠.
또한 정기적인 레진 표면 연마와 불소 도포 등의 예방 처치를 통해 레진의 수명을 더욱 연장할 수 있습니다.
전문적인 구강 관리와 함께
개인의 꾸준한 노력이 합쳐질 때 레진을
10년 이상 건강하게 사용하실 수 있습니다 : )

레진 치료는 단순히
충치를 때우는 것이 아닙니다.
환자분의 소중한 자연치아를 최대한
보존하면서도 기능과 심미성을 회복시키는
의미 있는 치료입니다.
제가 의사 생활을 하면서
늘 마음에 새기고 있는 것은
"환자분 한 분 한 분을
제 가족같이 생각하는 진료"입니다.
만약 제 가족이라면 당장은 비용이 더 들더라도 장기적으로 가장 좋은 치료를 선택할 것입니다.
치료도 마찬가지입니다.
단순히 당일 치료가 가능하고
저렴하다는 이유만으로 선택할 것이 아니라,
정말 환자분에게 가장 적합한 치료인지
신중히 판단해야 합니다.
때로는 환자분이
"레진으로 해주세요"라고 요청하셔도,
제가 봤을 때 인레이나 크라운이 더 적합하다면 충분한 설명과 함께 올바른 방향을
제시해드립니다.
이것이 진정한 양심 진료라고
생각하기 때문입니다.
여러분의 치아는 한 번 손상되면
되돌릴 수 없는 소중한 자산입니다.
정성을 다해 치료하고,
치료 후에도 꾸준히 관심을 가져주신다면
분명 오래도록 건강한 치아를
유지하실 수 있을 것입니다.
지금까지 치아레진수명을 알아보았는데요.
읽어주셔서 감사합니다.
| 꼭 필요한 치료만 정직하게 권하는 곳디데이치과 네이버 예약 ✔ |
| 서울 디데이치과 진료 문의 |
|---|
| 대표전화 : 02-568-2877 (바로가기)네이버 톡톡 문의 (바로 가기) |

| 본 게시물은 의료광고법 제56조 1항을 준수하여, 의료 정보 제공 및 병원 홍보를 목적으로 디데이치과의원에서 직접 작성하였습니다.다만, 블로그에서 제공해 드리는 정보는 참조용으로만 활용하시고, 정확한 개인의 증상 파악은 의료기관에 직접 내방하시어 의료진을 통해 확인하실 것을 권유 드립니다.치과에서 진행되는 모든 시술 및 수술(임플란트 포함)은 개인에 따라 부작용 (염증, 출혈, 부기, 신경 손상 등) 가능성이 있습니다. 따라서 사전에 의료진과 충분한 상담을 통해 결정하시길 바랍니다.게시물의 치료 사진은 실제 본원에서 모든 치료 과정을 마친 환자분의 동의하에 촬영되었습니다. 전후 사진은 동일인이며, 동일 조건하에 촬영되었음을 밝힙니다. |
치아레진수명, 10년 이상 쓰려면 이것만은 알아야 합니다









Previous image Next image