안녕하세요.
치아미백 라미네이트 잘하는 곳 찾으시나요?
디데이치과의 대표원장 오태훈입니다.

최근에 라미네이트 상담을 받으러
오시는 분들이 정말 많아졌는데요.
특히 "무삭제 라미네이트"라는 광고를 보고
오시는 분들이 부쩍 늘어났습니다.^^
그런데 상담을 해보면 많은 분들이
치아미백과 라미네이트의 차이를 잘 모르고
계시는 경우가 많더라고요.
라미네이트로
연예인처럼
깨끗하고 밝은 치아를
가지고 싶은데 저도 가능할까요?
이런 질문을 정말 자주 받습니다.

당연히 가능합니다.
하지만 모든 사람에게
라미네이트가 필요한 건 아닙니다.
어떤 분은 치아미백만으로도 충분히 만족스러운 결과를 얻을 수 있거든요.
굳이 비싸고 복잡한 라미네이트까지 할
필요가 없는 거죠.
반대로 미백으로는 한계가 있어서
라미네이트가 꼭 필요한 경우도 있습니다.
그래서 오늘은 치과의사인 제가 직접,
치아미백과 라미네이트의 차이점부터
정말 잘하는 곳을 찾는 핵심 기준까지
솔직하게 말씀드리겠습니다.
이 글만 제대로 읽으시면 나에게 맞는
현명한 선택을 하실 수 있을 겁니다.
<목차>
- 치아미백 vs 라미네이트,
어떤 걸 선택해야 할까?
- 치아미백 라미네이트 잘하는 곳 찾는
2가지 기준
- 치아미백 vs 라미네이트,
어떤 걸 선택해야 할까?
치아미백의 가장 큰 장점은
내 치아를 그대로 살릴 수 있다는 겁니다.
치아를 깎지 않고도
자연스럽게 밝아질 수 있거든요.

비용도 라미네이트에 비해 훨씬 저렴하죠.
하지만 미백에는 한계가 있습니다.
밝아질 수 있는 정도가 정해져 있습니다.
(물론 충분히 밝아질 순 있습니다. ^^)


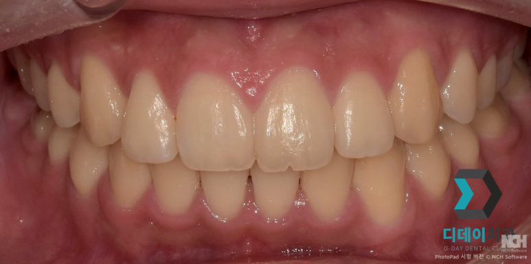
원데이 전문가 미백치료
25 - 08- 11
또한 시간이 지나면 다시 어두워집니다.
그래서 정기적으로 리터치가 필요하죠.
반면에 라미네이트는
정말 무제한으로 밝아질 수 있습니다.
어떤 색깔이든 원하는 대로 만들 수 있어요.
한 번 시술하면 1년이 지나도 2년이 지나도
10년이 지나도 그 색깔 그대로 유지되거든요.


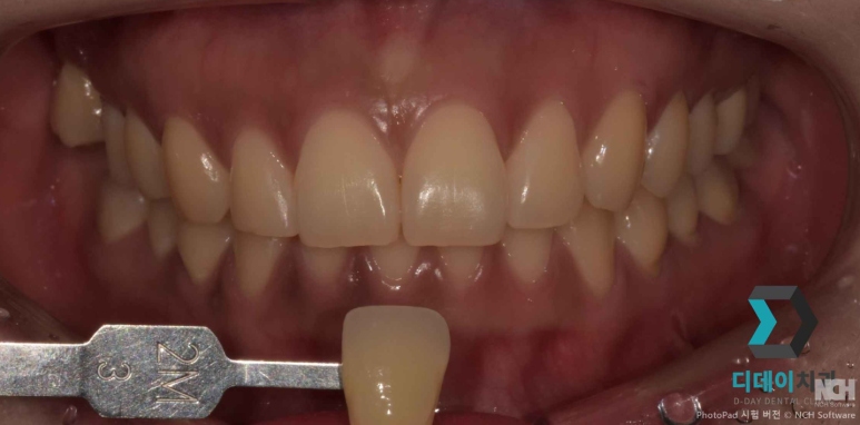
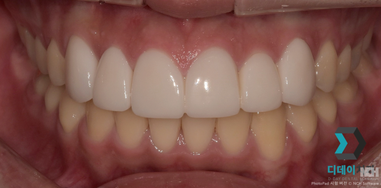
25-07-21
위앞니 6개치아 라미네이트
줄무늬나 얼룩 같은 것도
완전히 가릴 수 있습니다.
치아 모양까지 예쁘게 다듬을 수 있고요.
하지만 라미네이트에도 단점이 있습니다.
건강한 치아를 깎아야 한다는 거죠.
한 번 깎은 치아는 절대 되돌릴 수 없습니다.
비용도 미백에 비해 훨씬 많이 들게 되죠.
그렇다면 어떤 기준으로 선택해야 할까요?
제가 환자분들께 항상 드리는 말씀이 있습니다.
"미백으로 만족할 수 있는 정도라면 굳이
라미네이트까지 할 필요 없다"는 겁니다.
특히 젊은 분들은 더욱 신중해야 합니다.
어린 나이에 건강한 치아를 깎는 건
정말 아까운 일이거든요.
나이가 들어서 정말 필요할 때 해도 늦지 않아요.
- 치아미백 라미네이트
잘하는 곳 찾는 2가지 기준
첫 번째 기준은 무삭제 라미네이트의
진실을 솔직하게 말해주는 곳입니다.
요즘 "무삭제 라미네이트" 광고가 정말 많은데,
실제로는 대부분 어느 정도 삭제가 필요해요.
라미네이트를 아무리 얇게 만들어도 붙이게 되면
기존 치아보다 튀어나올 수밖에 없거든요.
그러면 치아가 뻐드렁니처럼 보일 수 있어요.
진짜 무삭제가 가능한 경우는
매우 제한적입니다.
치아가 특별히 작거나
왜소치인 경우에만 가능하죠.


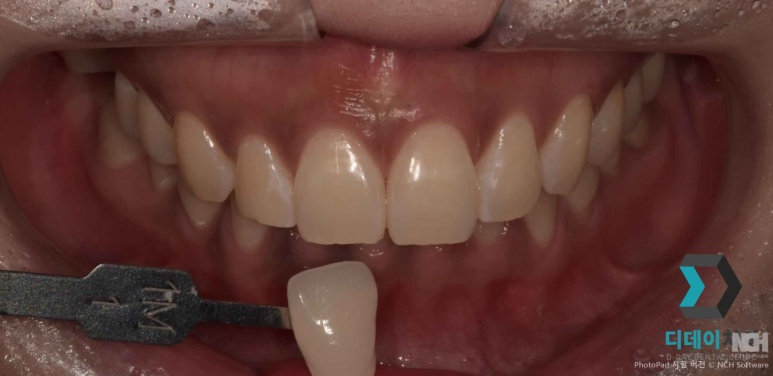
25-07-07
왜소치 라미네이트
정말 좋은 치과라면 상담 때부터
"환자분 경우에는 무삭제가 어렵습니다"라고
솔직하게 말해줄 겁니다.
또한 라미네이트보다 미백이 더 적합한 경우에는
"지금 당장은 미백부터 시도해보시는 게 어떨까요?"
라고 제안해주는 곳이어야 해요.
환자의 장기적인 치아 건강을
생각하는 곳이라는 증거거든요.
두 번째 기준은 개인별 맞춤 진단으로
상세하게 상담해주는 곳입니다.

치아 색깔, 모양, 잇몸 라인, 얼굴형까지
모든 걸 종합적으로 판단해야 하거든요.
좋은 치과는 단계별로 치료 계획을 제시해줍니다.
"우선 미백부터 해보시고, 만족스럽지 않으면
그때 라미네이트를 고려해보세요"라는 식으로
말이에요.
또한 각 치료법의 장단점을
솔직하게 설명해줍니다.

"미백은 비용이 저렴하지만
정기적으로 관리가 필요해요.
라미네이트는 비싸지만 한 번 하면
오래 갑니다"라고 현실적으로 말해주는 거죠.
무엇보다 환자가 이해할 때까지
충분히 설명해주는 곳이어야 합니다.
전문용어로 어렵게 설명하는 게 아니라
쉽고 친근하게 말해주는 곳 말이에요.
오늘 말씀드린 내용을 정리해보면 이렇습니다.

우선 내가 미백과 라미네이트 중
어떤 치료가 적합한지 정확히 진단받으세요.
그리고 무삭제의 한계를 솔직하게 말해주고,
개인별 맞춤 상담을 해주는 곳을
선택하시길 바랍니다.
화려한 광고 문구에만 현혹되지 마시고,
정말 나에게 맞는 치료가 무엇인지
꼼꼼히 상담받으시길 바라겠습니다.
건강하고 아름다운 미소로
자신감 넘치는 하루하루 보내세요.^^
| 꼭 필요한 치료만 정직하게 권하는 곳디데이치과 네이버 예약 ✔ |
| 서울 디데이치과 진료 문의 |
|---|
| 대표전화 : 02-568-2877 (바로가기)네이버 톡톡 문의 (바로 가기) |

| 본 게시물은 의료광고법 제56조 1항을 준수하여, 의료 정보 제공 및 병원 홍보를 목적으로 디데이치과의원에서 직접 작성하였습니다.다만, 블로그에서 제공해 드리는 정보는 참조용으로만 활용하시고, 정확한 개인의 증상 파악은 의료기관에 직접 내방하시어 의료진을 통해 확인하실 것을 권유 드립니다.치과에서 진행되는 모든 시술 및 수술(임플란트 포함)은 개인에 따라 부작용 (염증, 출혈, 부기, 신경 손상 등) 가능성이 있습니다. 따라서 사전에 의료진과 충분한 상담을 통해 결정하시길 바랍니다.게시물의 치료 사진은 실제 본원에서 모든 치료 과정을 마친 환자분의 동의하에 촬영되었습니다. 전후 사진은 동일인이며, 동일 조건하에 촬영되었음을 밝힙니다. |