아카이브 요약
이 페이지의 역할
디데이치과의원의 네이버 블로그 원문을 보존한 아카이브 페이지입니다. 치아미백 카테고리의 치아미백치료가격만 보고 가면 안되는 이유 2가지 글을 통해 병원의 한국어 정보 제공 방식과 진료 관련 안내 톤을 확인할 수 있습니다.
원문 검증
필요하면 원문 블로그와 병원 프로필로 바로 이동해 문맥을 다시 확인할 수 있습니다.
출처 아카이브 열기아카이브된 블로그 글
디데이치과의원 · Naver Blog
치아미백치료가격만 보고 가면 안되는 이유 2가지 안녕하세요. 치아미백치료가격 찾고 계신가요? 디데이치과 대표원장 김무진입니다. 요즘 치아미백 문의를 정말 많이 받고 있습니다. 특히 치아가 너무 누래서 치아미백치과를 찾고 있어요 라고 말씀하시는 분들이 부쩍 늘었더라고요. 그런데 대부분 첫 번...
게시일
2025년 9월 11일
원문 기준으로 확인된 발행일입니다.
카테고리
치아미백
원문 블로그 카테고리를 정리해 함께 표시합니다.
이미지 수
19
현재 아카이브에 연결된 이미지 수입니다.
아카이브 요약
디데이치과의원의 네이버 블로그 원문을 보존한 아카이브 페이지입니다. 치아미백 카테고리의 치아미백치료가격만 보고 가면 안되는 이유 2가지 글을 통해 병원의 한국어 정보 제공 방식과 진료 관련 안내 톤을 확인할 수 있습니다.
원문 검증
필요하면 원문 블로그와 병원 프로필로 바로 이동해 문맥을 다시 확인할 수 있습니다.
출처 아카이브 열기안녕하세요.
치아미백치료가격 찾고 계신가요?
디데이치과 대표원장 김무진입니다.

요즘 치아미백 문의를
정말 많이 받고 있습니다.
특히
치아가 너무 누래서
치아미백치과를
찾고 있어요
라고 말씀하시는 분들이
부쩍 늘었더라고요.
그런데 대부분 첫 번째 질문이
"가격이 어떻게 되나요?"입니다.

물론 비용이 부담스러우신 마음
충분히 이해합니다.
하지만 치아미백은 단순히
가격만 보고 결정하시면 나중에
후회하실 수 있는 치료 중 하나입니다.
실제로 다른 치과에서
미백 받았는데 효과를 못 보셨다고
내원하시는 분들을 정말 많이 봐왔거든요.
"돈은 돈대로 쓰고 별로 안 하얘졌어요"라고
하시는 분들의 속상한 마음이 얼마나 클지...
저도 잘 알고 있습니다.
그래서 오늘은 치료비용만 보고
치과를 선택하면 안 되는 이유 2가지를
자세히 말씀드리겠습니다.
이 글을 끝까지 읽어보시면
현명한 선택을 하실 수 있을 것입니다.
<목차>
개인별 치아 상태
진단 없이는 효과 제한적
사후관리 시스템 차이가
지속력 좌우
개인별 치아 상태
진단 없이는 효과 제한적
치아미백에서 가장 중요한 건
바로 '정확한 진단'입니다.
같은 미백 치료를 받아도 사람마다
결과가 완전히 다르게 나오거든요.
어떤 분은 2단계까지 밝아지는데,
어떤 분은 거의 변화가 없는 경우도 있습니다.
왜 이런 차이가 생길까요?
치아가 누렇게 변하는 원인이
사람마다 다르기 때문입니다.

나이로 인한 자연스러운 변색,
흡연이나 커피 등의 착색,
어릴 때 항생제 복용으로 인한 변색,
신경치료 후 변색 등 원인이 정말 다양합니다.
마치 옷에 묻은 얼룩을 지울 때와
같다고 보시면 됩니다.
커피 얼룩과 기름 얼룩을
같은 방법으로 빼면 될까요?
당연히 얼룩의 종류에 따라
다른 방법을 써야 효과적이겠죠.

특히 법랑질이 많이 닳았거나 균열이 있는
치아는 단순히 미백제만으로는 한계가 있습니다.
이런 경우에는 오히려 라미네이트 같은
다른 치료가 더 적합할 수도 있거든요.
그런데 가격만 보고 선택한 치과에서는 이런
세심한 진단 과정을 생략하는 경우가 많습니다.
"일단 미백부터 해보고 안 되면
다른 방법을 생각해보자"는 식으로
접근하는 곳들이 생각보다 정말 많습니다.
결국 환자분은 돈만 쓰고
원하는 결과를 얻지 못하게 되는 거죠.
사후관리 시스템 차이가
지속력 좌우
치아미백은 영구적인 시술이 아닙니다.
아무리 좋은 미백 치료를 받으셔도
시간이 지나면서 다시 착색이 진행됩니다.
그런데 이 지속 기간이
치과마다 엄청나게 차이가 납니다.
왜 그럴까요?
바로 사후관리 시스템의 차이 때문입니다.
미백 치료 직후에는 치아 표면의
미세한 구멍들이 열려있는 상태입니다.
이때 관리를 어떻게 하느냐가
정말 중요하거든요.

제대로 된 치과라면 미백 후
주의사항을 자세히 설명해드리고,
정기적인 체크를 통해 상태를 확인합니다.
하지만 가격만
저렴한 곳에서는 어떨까요?
치료만 하고 끝인 경우가 대부분입니다.
"미백 완료됐으니 이제 알아서 관리하세요"라는 식으로 넘어가는 거죠.
당연히 효과 지속 기간도
짧을 수밖에 없습니다.

실제로 제대로 관리받은 분들은
1년 이상도 효과가 지속되는 반면,
그렇지 않은 분들은 3-4개월 만에
다시 원래 색으로 돌아가는 경우도 많습니다.
결국 가격만 보고 선택하시면
단기적으로는 비용을 아낀 것 같지만,
장기적으로는 오히려 더 많은
비용이 들어갈 수 있습니다.
치아미백은 단순히 약품을 바르고
광선을 쬐는 것만으로 끝나는 치료가 아닙니다.


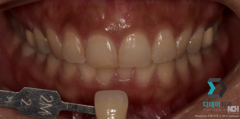
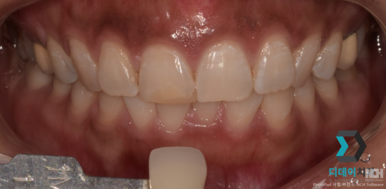
25-07-15
원데이전문가치아미백치료
개인별 정확한 진단부터 시작해서
체계적인 사후관리까지,
모든 과정이 유기적으로 연결되어야 만족스러운 결과를 얻을 수 있거든요.
그래서 치과 선택 시에는 가격보다는
얼마나 꼼꼼하게 진단하고 관리해주는
곳인지를 먼저 확인해보시길 바랍니다.
조금 더 비용이 들더라도,
결국 그것이 가장 현명한 선택이 될 것입니다.
| 꼭 필요한 치료만 정직하게 권하는 곳디데이치과 네이버 예약 ✔ |
| 서울 디데이치과 진료 문의 |
|---|
| 대표전화 : 02-568-2877 (바로가기)네이버 톡톡 문의 (바로 가기) |

| 본 게시물은 의료광고법 제56조 1항을 준수하여, 의료 정보 제공 및 병원 홍보를 목적으로 디데이치과의원에서 직접 작성하였습니다.다만, 블로그에서 제공해 드리는 정보는 참조용으로만 활용하시고, 정확한 개인의 증상 파악은 의료기관에 직접 내방하시어 의료진을 통해 확인하실 것을 권유 드립니다.치과에서 진행되는 모든 시술 및 수술(임플란트 포함)은 개인에 따라 부작용 (염증, 출혈, 부기, 신경 손상 등) 가능성이 있습니다. 따라서 사전에 의료진과 충분한 상담을 통해 결정하시길 바랍니다.게시물의 치료 사진은 실제 본원에서 모든 치료 과정을 마친 환자분의 동의하에 촬영되었습니다. 전후 사진은 동일인이며, 동일 조건하에 촬영되었음을 밝힙니다. |
치아미백치료가격만 보고 가면 안되는 이유 2가지









